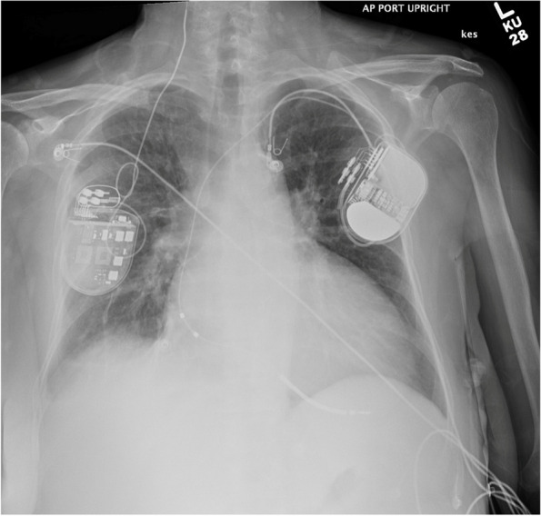
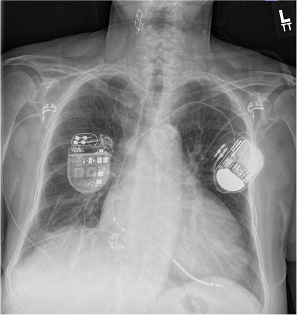
新技术解决老问题:Barostim NEO 的捻线机综合症。

Q2 Medicine
Anila Rao, Lakshmi Rao, Akarsh Parekh, Surya Rao
{"title":"新技术解决老问题:Barostim NEO 的捻线机综合症。","authors":"Anila Rao, Lakshmi Rao, Akarsh Parekh, Surya Rao","doi":"10.1186/s44348-024-00010-9","DOIUrl":null,"url":null,"abstract":"","PeriodicalId":15229,"journal":{"name":"Journal of Cardiovascular Imaging","volume":"32 1","pages":"16"},"PeriodicalIF":0.0000,"publicationDate":"2024-08-02","publicationTypes":"Journal Article","fieldsOfStudy":null,"isOpenAccess":false,"openAccessPdf":"https://www.ncbi.nlm.nih.gov/pmc/articles/PMC11295297/pdf/","citationCount":"0","resultStr":"{\"title\":\"Old problem surfaces with new technology: Twiddler's syndrome in Barostim NEO.\",\"authors\":\"Anila Rao, Lakshmi Rao, Akarsh Parekh, Surya Rao\",\"doi\":\"10.1186/s44348-024-00010-9\",\"DOIUrl\":null,\"url\":null,\"abstract\":\"\",\"PeriodicalId\":15229,\"journal\":{\"name\":\"Journal of Cardiovascular Imaging\",\"volume\":\"32 1\",\"pages\":\"16\"},\"PeriodicalIF\":0.0000,\"publicationDate\":\"2024-08-02\",\"publicationTypes\":\"Journal Article\",\"fieldsOfStudy\":null,\"isOpenAccess\":false,\"openAccessPdf\":\"https://www.ncbi.nlm.nih.gov/pmc/articles/PMC11295297/pdf/\",\"citationCount\":\"0\",\"resultStr\":null,\"platform\":\"Semanticscholar\",\"paperid\":null,\"PeriodicalName\":\"Journal of Cardiovascular Imaging\",\"FirstCategoryId\":\"1085\",\"ListUrlMain\":\"https://doi.org/10.1186/s44348-024-00010-9\",\"RegionNum\":0,\"RegionCategory\":null,\"ArticlePicture\":[],\"TitleCN\":null,\"AbstractTextCN\":null,\"PMCID\":null,\"EPubDate\":\"\",\"PubModel\":\"\",\"JCR\":\"Q2\",\"JCRName\":\"Medicine\",\"Score\":null,\"Total\":0}","platform":"Semanticscholar","paperid":null,"PeriodicalName":"Journal of Cardiovascular Imaging","FirstCategoryId":"1085","ListUrlMain":"https://doi.org/10.1186/s44348-024-00010-9","RegionNum":0,"RegionCategory":null,"ArticlePicture":[],"TitleCN":null,"AbstractTextCN":null,"PMCID":null,"EPubDate":"","PubModel":"","JCR":"Q2","JCRName":"Medicine","Score":null,"Total":0}
引用次数: 0

摘要

本文章由计算机程序翻译,如有差异,请以英文原文为准。

Old problem surfaces with new technology: Twiddler's syndrome in Barostim NEO.

Old problem surfaces with new technology: Twiddler's syndrome in Barostim NEO.

Old problem surfaces with new technology: Twiddler's syndrome in Barostim NEO.
求助全文
通过发布文献求助,成功后即可免费获取论文全文。 去求助
来源期刊
Journal of Cardiovascular Imaging
Journal of Cardiovascular Imaging Medicine-Cardiology and Cardiovascular Medicine
CiteScore
3.40
自引率
0.00%
发文量
42
×
引用
GB/T 7714-2015
复制
MLA
复制
APA
复制
导出至
BibTeX EndNote RefMan NoteFirst NoteExpress
×
提示
您的信息不完整,为了账户安全,请先补充。
现在去补充
×
提示
您因"违规操作"
具体请查看互助需知
我知道了
×
提示
确定
请完成安全验证×
copy
已复制链接
快去分享给好友吧!
我知道了
右上角分享
点击右上角分享
0
联系我们:info@booksci.cn Book学术提供免费学术资源搜索服务,方便国内外学者检索中英文文献。致力于提供最便捷和优质的服务体验。 Copyright © 2023 布克学术 All rights reserved.
京ICP备2023020795号-1
ghs 京公网安备 11010802042870号
Book学术文献互助
Book学术文献互助群
群 号:604180095
Book学术官方微信