心脏套细胞淋巴瘤化疗后复发肺肿瘤栓塞的尸检病例。

IF 1.4 Q4 HEMATOLOGY
Himari Kudo, Kohei Shiroshita, Yuka Shiozawa, Shinya Fujita, Miki Sakamoto, Naoya Nakamura, Kuniaki Nakanishi, Takaaki Toyama
{"title":"心脏套细胞淋巴瘤化疗后复发肺肿瘤栓塞的尸检病例。","authors":"Himari Kudo, Kohei Shiroshita, Yuka Shiozawa, Shinya Fujita, Miki Sakamoto, Naoya Nakamura, Kuniaki Nakanishi, Takaaki Toyama","doi":"10.3960/jslrt.24024","DOIUrl":null,"url":null,"abstract":"<p><p>A 78-year-old Japanese man presented to the emergency department with a sore throat and fever that worsened over 3 weeks. A tonsil biopsy led to the diagnosis of pleomorphic mantle cell lymphoma (MCL) that had infiltrated the right adrenal gland, inferior vena cava, and right atrium (RA). Although the patient's cardiac tumor had high mobility, his hemodynamic state was stable, and he did not present with fatal arrhythmia. Therefore, we first introduced chemotherapy. However, the patient developed recurrent pulmonary embolisms (PEs) and died after starting chemotherapy. An autopsy revealed that the MCL had invaded the large vessels, causing the PEs. Although the high mobility of cardiac tumors is known to increase the risk of PE in diffuse large B-cell lymphoma (DLBCL), optimal management of cardiac MCL remains to be elucidated owing to its rarity. To the best of our knowledge, this is the first report of cardiac MCL with posttreatment PE development in a Japanese patient. It is worth considering preventive surgery before treatment not only in DLBCL, but also in MCL based on the mobility of the cardiac tumors. Our case highlights the need for close communication between hematologists and cardiologists to treat cardiac MCL.</p>","PeriodicalId":45936,"journal":{"name":"Journal of Clinical and Experimental Hematopathology","volume":" ","pages":"242-251"},"PeriodicalIF":1.4000,"publicationDate":"2024-09-28","publicationTypes":"Journal Article","fieldsOfStudy":null,"isOpenAccess":false,"openAccessPdf":"https://www.ncbi.nlm.nih.gov/pmc/articles/PMC11528258/pdf/","citationCount":"0","resultStr":"{\"title\":\"Autopsy case of cardiac mantle cell lymphoma presenting with recurrent pulmonary tumor embolism after chemotherapy.\",\"authors\":\"Himari Kudo, Kohei Shiroshita, Yuka Shiozawa, Shinya Fujita, Miki Sakamoto, Naoya Nakamura, Kuniaki Nakanishi, Takaaki Toyama\",\"doi\":\"10.3960/jslrt.24024\",\"DOIUrl\":null,\"url\":null,\"abstract\":\"<p><p>A 78-year-old Japanese man presented to the emergency department with a sore throat and fever that worsened over 3 weeks. A tonsil biopsy led to the diagnosis of pleomorphic mantle cell lymphoma (MCL) that had infiltrated the right adrenal gland, inferior vena cava, and right atrium (RA). Although the patient's cardiac tumor had high mobility, his hemodynamic state was stable, and he did not present with fatal arrhythmia. Therefore, we first introduced chemotherapy. However, the patient developed recurrent pulmonary embolisms (PEs) and died after starting chemotherapy. An autopsy revealed that the MCL had invaded the large vessels, causing the PEs. Although the high mobility of cardiac tumors is known to increase the risk of PE in diffuse large B-cell lymphoma (DLBCL), optimal management of cardiac MCL remains to be elucidated owing to its rarity. To the best of our knowledge, this is the first report of cardiac MCL with posttreatment PE development in a Japanese patient. It is worth considering preventive surgery before treatment not only in DLBCL, but also in MCL based on the mobility of the cardiac tumors. Our case highlights the need for close communication between hematologists and cardiologists to treat cardiac MCL.</p>\",\"PeriodicalId\":45936,\"journal\":{\"name\":\"Journal of Clinical and Experimental Hematopathology\",\"volume\":\" \",\"pages\":\"242-251\"},\"PeriodicalIF\":1.4000,\"publicationDate\":\"2024-09-28\",\"publicationTypes\":\"Journal Article\",\"fieldsOfStudy\":null,\"isOpenAccess\":false,\"openAccessPdf\":\"https://www.ncbi.nlm.nih.gov/pmc/articles/PMC11528258/pdf/\",\"citationCount\":\"0\",\"resultStr\":null,\"platform\":\"Semanticscholar\",\"paperid\":null,\"PeriodicalName\":\"Journal of Clinical and Experimental Hematopathology\",\"FirstCategoryId\":\"1085\",\"ListUrlMain\":\"https://doi.org/10.3960/jslrt.24024\",\"RegionNum\":0,\"RegionCategory\":null,\"ArticlePicture\":[],\"TitleCN\":null,\"AbstractTextCN\":null,\"PMCID\":null,\"EPubDate\":\"2024/7/31 0:00:00\",\"PubModel\":\"Epub\",\"JCR\":\"Q4\",\"JCRName\":\"HEMATOLOGY\",\"Score\":null,\"Total\":0}","platform":"Semanticscholar","paperid":null,"PeriodicalName":"Journal of Clinical and Experimental Hematopathology","FirstCategoryId":"1085","ListUrlMain":"https://doi.org/10.3960/jslrt.24024","RegionNum":0,"RegionCategory":null,"ArticlePicture":[],"TitleCN":null,"AbstractTextCN":null,"PMCID":null,"EPubDate":"2024/7/31 0:00:00","PubModel":"Epub","JCR":"Q4","JCRName":"HEMATOLOGY","Score":null,"Total":0}
引用次数: 0

摘要

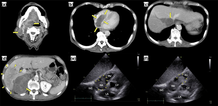
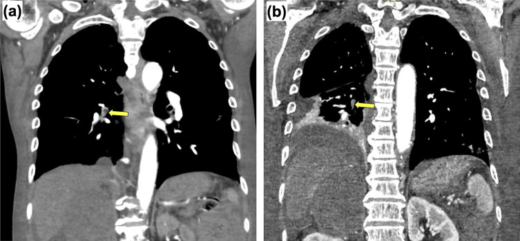
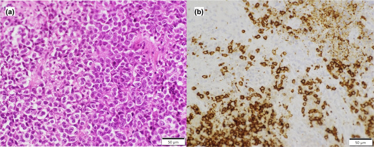
一名 78 岁的日本老人因咽喉痛和发烧到急诊科就诊,3 周后病情加重。扁桃体活检后确诊为多形性套细胞淋巴瘤(MCL),已浸润右肾上腺、下腔静脉和右心房(RA)。虽然患者的心脏肿瘤具有很高的移动性,但他的血流动力学状态稳定,没有出现致命性心律失常。因此,我们首先进行了化疗。然而,患者出现了复发性肺栓塞(PE),并在开始化疗后死亡。尸检显示,MCL 侵犯了大血管,导致了肺栓塞。尽管众所周知心脏肿瘤的高流动性会增加弥漫大B细胞淋巴瘤(DLBCL)发生肺栓塞的风险,但由于其罕见性,心脏MCL的最佳治疗方法仍有待阐明。据我们所知,这是日本患者首次报告治疗后出现 PE 的心脏 MCL。不仅是 DLBCL,基于心脏肿瘤的流动性,MCL 也值得考虑在治疗前进行预防性手术。我们的病例强调了血液科医生和心脏科医生在治疗心脏型 MCL 时密切沟通的必要性。
本文章由计算机程序翻译,如有差异,请以英文原文为准。

Autopsy case of cardiac mantle cell lymphoma presenting with recurrent pulmonary tumor embolism after chemotherapy.

Autopsy case of cardiac mantle cell lymphoma presenting with recurrent pulmonary tumor embolism after chemotherapy.

Autopsy case of cardiac mantle cell lymphoma presenting with recurrent pulmonary tumor embolism after chemotherapy.

Autopsy case of cardiac mantle cell lymphoma presenting with recurrent pulmonary tumor embolism after chemotherapy.

A 78-year-old Japanese man presented to the emergency department with a sore throat and fever that worsened over 3 weeks. A tonsil biopsy led to the diagnosis of pleomorphic mantle cell lymphoma (MCL) that had infiltrated the right adrenal gland, inferior vena cava, and right atrium (RA). Although the patient's cardiac tumor had high mobility, his hemodynamic state was stable, and he did not present with fatal arrhythmia. Therefore, we first introduced chemotherapy. However, the patient developed recurrent pulmonary embolisms (PEs) and died after starting chemotherapy. An autopsy revealed that the MCL had invaded the large vessels, causing the PEs. Although the high mobility of cardiac tumors is known to increase the risk of PE in diffuse large B-cell lymphoma (DLBCL), optimal management of cardiac MCL remains to be elucidated owing to its rarity. To the best of our knowledge, this is the first report of cardiac MCL with posttreatment PE development in a Japanese patient. It is worth considering preventive surgery before treatment not only in DLBCL, but also in MCL based on the mobility of the cardiac tumors. Our case highlights the need for close communication between hematologists and cardiologists to treat cardiac MCL.

求助全文
通过发布文献求助,成功后即可免费获取论文全文。 去求助
来源期刊
CiteScore
2.00
自引率
6.70%
发文量
25
审稿时长
11 weeks
×
引用
GB/T 7714-2015
复制
MLA
复制
APA
复制
导出至
BibTeX EndNote RefMan NoteFirst NoteExpress
×
提示
您的信息不完整,为了账户安全,请先补充。
现在去补充
×
提示
您因"违规操作"
具体请查看互助需知
我知道了
×
提示
确定
请完成安全验证×
copy
已复制链接
快去分享给好友吧!
我知道了
右上角分享
点击右上角分享
0
联系我们:info@booksci.cn Book学术提供免费学术资源搜索服务,方便国内外学者检索中英文文献。致力于提供最便捷和优质的服务体验。 Copyright © 2023 布克学术 All rights reserved.
京ICP备2023020795号-1
ghs 京公网安备 11010802042870号
Book学术文献互助
Book学术文献互助群
群 号:604180095
Book学术官方微信