子宫内膜样卵巢病变范围内的β-catenin、PAX2 和 PTEN 畸变

IF 1.7 4区 医学 Q3 OBSTETRICS & GYNECOLOGY
Maria M Del Mundo, Mitzi Aguilar, Hao Chen, Shuang Niu, Subhransu S Sahoo, Sambit Roy, Wenxin Zheng, Elena Lucas, Diego H Castrillon
{"title":"子宫内膜样卵巢病变范围内的β-catenin、PAX2 和 PTEN 畸变","authors":"Maria M Del Mundo, Mitzi Aguilar, Hao Chen, Shuang Niu, Subhransu S Sahoo, Sambit Roy, Wenxin Zheng, Elena Lucas, Diego H Castrillon","doi":"10.1097/PGP.0000000000001046","DOIUrl":null,"url":null,"abstract":"<p><p>Endometriosis is a common condition, with the ovary being the most common anatomic site. Endometriosis-particularly in the ovary-is associated with a risk of malignant progression, with a histologic spectrum of lesions from benign to malignant. Recently, a panel of 3 markers consisting of β-catenin, PAX2, and PTEN has been described as a potentially useful diagnostic adjunct in the diagnosis of intrauterine endometrioid neoplasia, where aberrancy for one or more of the markers is strongly associated with neoplasia. Here, we applied the panel to ovarian endometrioid lesions, including endometriosis, endometriosis with flat cytologic atypia, endometrioid borderline tumors, and endometrioid adenocarcinoma (n=85 cases in total). The incidence of aberrancy for the 3 markers increased along this putative neoplastic spectrum, arguing for a role of each of the markers in the neoplastic transformation of ovarian endometriosis. Just 1/32 (3%) of cases of nonatypical endometriosis was marker-aberrant, and this case was aberrant only for PAX2. One of 5 cases (20%) of endometriosis with atypia was marker-aberrant (both PAX2 and PTEN), supporting prior findings that some cases of flat atypia may represent bona fide precursor lesions. Of 19 endometrioid borderline tumors, 10 (53%) were aberrant for one or more markers, with PAX2 being the most frequently aberrant. Of 29 endometrioid adenocarcinomas, 28 (96.6%) were aberrant for at least 1 marker, with PAX2 again the most frequently aberrant. Patterns of aberrancy were well-preserved in areas of nonatypical endometriosis adjacent to borderline tumor or adenocarcinoma, supporting a biological origin in a common marker-aberrant precursor. The findings show that the biomarker panel could be of some diagnostic utility in the characterization of ovarian endometrioid neoplasia, such as in the diagnosis of endometrioid borderline tumor, distinguishing endometrioid from nonendometrioid lesions, or in identifying other types of early precursors at a higher risk of malignant transformation.</p>","PeriodicalId":14001,"journal":{"name":"International Journal of Gynecological Pathology","volume":" ","pages":"79-87"},"PeriodicalIF":1.7000,"publicationDate":"2025-01-01","publicationTypes":"Journal Article","fieldsOfStudy":null,"isOpenAccess":false,"openAccessPdf":"https://www.ncbi.nlm.nih.gov/pmc/articles/PMC11627306/pdf/","citationCount":"0","resultStr":"{\"title\":\"β-catenin, PAX2, and PTEN Aberrancy Across the Spectrum of Endometrioid Ovarian Lesions.\",\"authors\":\"Maria M Del Mundo, Mitzi Aguilar, Hao Chen, Shuang Niu, Subhransu S Sahoo, Sambit Roy, Wenxin Zheng, Elena Lucas, Diego H Castrillon\",\"doi\":\"10.1097/PGP.0000000000001046\",\"DOIUrl\":null,\"url\":null,\"abstract\":\"<p><p>Endometriosis is a common condition, with the ovary being the most common anatomic site. Endometriosis-particularly in the ovary-is associated with a risk of malignant progression, with a histologic spectrum of lesions from benign to malignant. Recently, a panel of 3 markers consisting of β-catenin, PAX2, and PTEN has been described as a potentially useful diagnostic adjunct in the diagnosis of intrauterine endometrioid neoplasia, where aberrancy for one or more of the markers is strongly associated with neoplasia. Here, we applied the panel to ovarian endometrioid lesions, including endometriosis, endometriosis with flat cytologic atypia, endometrioid borderline tumors, and endometrioid adenocarcinoma (n=85 cases in total). The incidence of aberrancy for the 3 markers increased along this putative neoplastic spectrum, arguing for a role of each of the markers in the neoplastic transformation of ovarian endometriosis. Just 1/32 (3%) of cases of nonatypical endometriosis was marker-aberrant, and this case was aberrant only for PAX2. One of 5 cases (20%) of endometriosis with atypia was marker-aberrant (both PAX2 and PTEN), supporting prior findings that some cases of flat atypia may represent bona fide precursor lesions. Of 19 endometrioid borderline tumors, 10 (53%) were aberrant for one or more markers, with PAX2 being the most frequently aberrant. Of 29 endometrioid adenocarcinomas, 28 (96.6%) were aberrant for at least 1 marker, with PAX2 again the most frequently aberrant. Patterns of aberrancy were well-preserved in areas of nonatypical endometriosis adjacent to borderline tumor or adenocarcinoma, supporting a biological origin in a common marker-aberrant precursor. The findings show that the biomarker panel could be of some diagnostic utility in the characterization of ovarian endometrioid neoplasia, such as in the diagnosis of endometrioid borderline tumor, distinguishing endometrioid from nonendometrioid lesions, or in identifying other types of early precursors at a higher risk of malignant transformation.</p>\",\"PeriodicalId\":14001,\"journal\":{\"name\":\"International Journal of Gynecological Pathology\",\"volume\":\" \",\"pages\":\"79-87\"},\"PeriodicalIF\":1.7000,\"publicationDate\":\"2025-01-01\",\"publicationTypes\":\"Journal Article\",\"fieldsOfStudy\":null,\"isOpenAccess\":false,\"openAccessPdf\":\"https://www.ncbi.nlm.nih.gov/pmc/articles/PMC11627306/pdf/\",\"citationCount\":\"0\",\"resultStr\":null,\"platform\":\"Semanticscholar\",\"paperid\":null,\"PeriodicalName\":\"International Journal of Gynecological Pathology\",\"FirstCategoryId\":\"3\",\"ListUrlMain\":\"https://doi.org/10.1097/PGP.0000000000001046\",\"RegionNum\":4,\"RegionCategory\":\"医学\",\"ArticlePicture\":[],\"TitleCN\":null,\"AbstractTextCN\":null,\"PMCID\":null,\"EPubDate\":\"2024/7/31 0:00:00\",\"PubModel\":\"Epub\",\"JCR\":\"Q3\",\"JCRName\":\"OBSTETRICS & GYNECOLOGY\",\"Score\":null,\"Total\":0}","platform":"Semanticscholar","paperid":null,"PeriodicalName":"International Journal of Gynecological Pathology","FirstCategoryId":"3","ListUrlMain":"https://doi.org/10.1097/PGP.0000000000001046","RegionNum":4,"RegionCategory":"医学","ArticlePicture":[],"TitleCN":null,"AbstractTextCN":null,"PMCID":null,"EPubDate":"2024/7/31 0:00:00","PubModel":"Epub","JCR":"Q3","JCRName":"OBSTETRICS & GYNECOLOGY","Score":null,"Total":0}
引用次数: 0

摘要

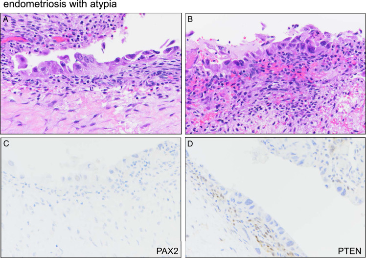
子宫内膜异位症是一种常见病,卵巢是最常见的解剖部位。子宫内膜异位症(尤其是卵巢子宫内膜异位症)与恶性进展的风险有关,病变的组织学类型从良性到恶性不等。最近,由β-catenin、PAX2和PTEN组成的3个标记物面板被描述为诊断子宫内膜样肿瘤的一种潜在有用的辅助诊断方法,其中一个或多个标记物的异常与肿瘤密切相关。在此,我们将该小组应用于卵巢子宫内膜样病变,包括子宫内膜异位症、扁平细胞学不典型性子宫内膜异位症、子宫内膜样边缘瘤和子宫内膜样腺癌(共 85 例)。在这一假定的肿瘤谱系中,3 种标记物的异常发生率均有所上升,这表明每种标记物在卵巢子宫内膜异位症的肿瘤转化过程中都发挥了作用。在非典型子宫内膜异位症病例中,仅有 1/32(3%)的病例存在标记物异常,而该病例仅 PAX2 存在异常。在 5 例(20%)不典型子宫内膜异位症病例中,有 1 例(20%)存在标记物异常(PAX2 和 PTEN),这支持了之前的研究结果,即一些扁平不典型病例可能是真正的前驱病变。在 19 例子宫内膜样边缘性肿瘤中,10 例(53%)存在一种或多种标记物异常,其中 PAX2 最常出现异常。在 29 个子宫内膜样腺癌中,28 个(96.6%)至少有一个标记物异常,其中 PAX2 又是最常见的异常标记物。与边缘瘤或腺癌相邻的非典型子宫内膜异位症区域保留了良好的异常模式,支持生物起源于共同的标记物异常前体。研究结果表明,该生物标记物面板可用于卵巢子宫内膜样肿瘤的特征诊断,如诊断子宫内膜样边缘瘤、区分子宫内膜样与非子宫内膜样病变,或识别恶性转化风险较高的其他类型早期前体。
本文章由计算机程序翻译,如有差异,请以英文原文为准。

β-catenin, PAX2, and PTEN Aberrancy Across the Spectrum of Endometrioid Ovarian Lesions.

β-catenin, PAX2, and PTEN Aberrancy Across the Spectrum of Endometrioid Ovarian Lesions.

β-catenin, PAX2, and PTEN Aberrancy Across the Spectrum of Endometrioid Ovarian Lesions.

β-catenin, PAX2, and PTEN Aberrancy Across the Spectrum of Endometrioid Ovarian Lesions.

Endometriosis is a common condition, with the ovary being the most common anatomic site. Endometriosis-particularly in the ovary-is associated with a risk of malignant progression, with a histologic spectrum of lesions from benign to malignant. Recently, a panel of 3 markers consisting of β-catenin, PAX2, and PTEN has been described as a potentially useful diagnostic adjunct in the diagnosis of intrauterine endometrioid neoplasia, where aberrancy for one or more of the markers is strongly associated with neoplasia. Here, we applied the panel to ovarian endometrioid lesions, including endometriosis, endometriosis with flat cytologic atypia, endometrioid borderline tumors, and endometrioid adenocarcinoma (n=85 cases in total). The incidence of aberrancy for the 3 markers increased along this putative neoplastic spectrum, arguing for a role of each of the markers in the neoplastic transformation of ovarian endometriosis. Just 1/32 (3%) of cases of nonatypical endometriosis was marker-aberrant, and this case was aberrant only for PAX2. One of 5 cases (20%) of endometriosis with atypia was marker-aberrant (both PAX2 and PTEN), supporting prior findings that some cases of flat atypia may represent bona fide precursor lesions. Of 19 endometrioid borderline tumors, 10 (53%) were aberrant for one or more markers, with PAX2 being the most frequently aberrant. Of 29 endometrioid adenocarcinomas, 28 (96.6%) were aberrant for at least 1 marker, with PAX2 again the most frequently aberrant. Patterns of aberrancy were well-preserved in areas of nonatypical endometriosis adjacent to borderline tumor or adenocarcinoma, supporting a biological origin in a common marker-aberrant precursor. The findings show that the biomarker panel could be of some diagnostic utility in the characterization of ovarian endometrioid neoplasia, such as in the diagnosis of endometrioid borderline tumor, distinguishing endometrioid from nonendometrioid lesions, or in identifying other types of early precursors at a higher risk of malignant transformation.

求助全文
通过发布文献求助,成功后即可免费获取论文全文。 去求助
来源期刊
CiteScore
3.90
自引率
12.50%
发文量
154
审稿时长
6-12 weeks
期刊介绍: International Journal of Gynecological Pathology is the official journal of the International Society of Gynecological Pathologists (ISGyP), and provides complete and timely coverage of advances in the understanding and management of gynecological disease. Emphasis is placed on investigations in the field of anatomic pathology. Articles devoted to experimental or animal pathology clearly relevant to an understanding of human disease are published, as are pathological and clinicopathological studies and individual case reports that offer new insights.
×
引用
GB/T 7714-2015
复制
MLA
复制
APA
复制
导出至
BibTeX EndNote RefMan NoteFirst NoteExpress
×
提示
您的信息不完整,为了账户安全,请先补充。
现在去补充
×
提示
您因"违规操作"
具体请查看互助需知
我知道了
×
提示
确定
请完成安全验证×
copy
已复制链接
快去分享给好友吧!
我知道了
右上角分享
点击右上角分享
0
联系我们:info@booksci.cn Book学术提供免费学术资源搜索服务,方便国内外学者检索中英文文献。致力于提供最便捷和优质的服务体验。 Copyright © 2023 布克学术 All rights reserved.
京ICP备2023020795号-1
ghs 京公网安备 11010802042870号
Book学术文献互助
Book学术文献互助群
群 号:604180095
Book学术官方微信