揭开代谢迷宫:腹膜癌的 FDG PET/CT 发现--一个病例系列。

Q3 Medicine
Vijay Singh, Dinesh Srivastava, Neha Kotarya, Manish Ora, Prasanta Kumar Pradhan
{"title":"揭开代谢迷宫:腹膜癌的 FDG PET/CT 发现--一个病例系列。","authors":"Vijay Singh, Dinesh Srivastava, Neha Kotarya, Manish Ora, Prasanta Kumar Pradhan","doi":"10.22038/AOJNMB.2024.78270.1552","DOIUrl":null,"url":null,"abstract":"<p><p>Peritoneal carcinomatosis (PC), the spread of cancer cells in the peritoneum, is a significant concern in advanced gastrointestinal and gynecological cancers. This case series includes findings on the appearance and pattern of PC on <sup>18</sup>F-fluorodeoxyglucose positron emission tomography/CT (<sup>18</sup>F-FDG PET/CT). The primary sources of peritoneal dissemination are direct invasion from abdominal or pelvic tumors and metastatic spread from distant tumors. The accurate preoperative diagnosis and quantification of PC play a vital role in determining the appropriate treatment approach, with a particular emphasis on surgical planning. Several imaging modalities have been employed in preoperative evaluation, such as computed tomography (CT), magnetic resonance imaging (MRI), and <sup>18</sup>F-FDG PET/CT. Among these modalities, <sup>18</sup>F-FDG PET/CT has demonstrated improved anatomical localization and accurate information about the nature of pathological findings. The case series showcases four cases that illustrate the imaging characteristics of PC on FDG PET/CT. FDG PET/CT plays a vital role in diagnosing and assessing PC, aiding in its detection, staging, and treatment planning. It surpasses conventional imaging techniques in identifying and characterizing lesions and detecting the primary tumor site in cases where its location is unknown. Furthermore, FDG PET/CT additionally assists in evaluating treatment response and monitoring disease progression, providing insights into treatment effectiveness and guiding patient management decisions.</p>","PeriodicalId":8503,"journal":{"name":"Asia Oceania Journal of Nuclear Medicine and Biology","volume":"12 2","pages":"189-201"},"PeriodicalIF":0.0000,"publicationDate":"2024-01-01","publicationTypes":"Journal Article","fieldsOfStudy":null,"isOpenAccess":false,"openAccessPdf":"https://www.ncbi.nlm.nih.gov/pmc/articles/PMC11263772/pdf/","citationCount":"0","resultStr":"{\"title\":\"Unveiling the Metabolic Maze: FDG PET/CT Findings in Peritoneal Carcinomatosis - A Case Series.\",\"authors\":\"Vijay Singh, Dinesh Srivastava, Neha Kotarya, Manish Ora, Prasanta Kumar Pradhan\",\"doi\":\"10.22038/AOJNMB.2024.78270.1552\",\"DOIUrl\":null,\"url\":null,\"abstract\":\"<p><p>Peritoneal carcinomatosis (PC), the spread of cancer cells in the peritoneum, is a significant concern in advanced gastrointestinal and gynecological cancers. This case series includes findings on the appearance and pattern of PC on <sup>18</sup>F-fluorodeoxyglucose positron emission tomography/CT (<sup>18</sup>F-FDG PET/CT). The primary sources of peritoneal dissemination are direct invasion from abdominal or pelvic tumors and metastatic spread from distant tumors. The accurate preoperative diagnosis and quantification of PC play a vital role in determining the appropriate treatment approach, with a particular emphasis on surgical planning. Several imaging modalities have been employed in preoperative evaluation, such as computed tomography (CT), magnetic resonance imaging (MRI), and <sup>18</sup>F-FDG PET/CT. Among these modalities, <sup>18</sup>F-FDG PET/CT has demonstrated improved anatomical localization and accurate information about the nature of pathological findings. The case series showcases four cases that illustrate the imaging characteristics of PC on FDG PET/CT. FDG PET/CT plays a vital role in diagnosing and assessing PC, aiding in its detection, staging, and treatment planning. It surpasses conventional imaging techniques in identifying and characterizing lesions and detecting the primary tumor site in cases where its location is unknown. Furthermore, FDG PET/CT additionally assists in evaluating treatment response and monitoring disease progression, providing insights into treatment effectiveness and guiding patient management decisions.</p>\",\"PeriodicalId\":8503,\"journal\":{\"name\":\"Asia Oceania Journal of Nuclear Medicine and Biology\",\"volume\":\"12 2\",\"pages\":\"189-201\"},\"PeriodicalIF\":0.0000,\"publicationDate\":\"2024-01-01\",\"publicationTypes\":\"Journal Article\",\"fieldsOfStudy\":null,\"isOpenAccess\":false,\"openAccessPdf\":\"https://www.ncbi.nlm.nih.gov/pmc/articles/PMC11263772/pdf/\",\"citationCount\":\"0\",\"resultStr\":null,\"platform\":\"Semanticscholar\",\"paperid\":null,\"PeriodicalName\":\"Asia Oceania Journal of Nuclear Medicine and Biology\",\"FirstCategoryId\":\"1085\",\"ListUrlMain\":\"https://doi.org/10.22038/AOJNMB.2024.78270.1552\",\"RegionNum\":0,\"RegionCategory\":null,\"ArticlePicture\":[],\"TitleCN\":null,\"AbstractTextCN\":null,\"PMCID\":null,\"EPubDate\":\"\",\"PubModel\":\"\",\"JCR\":\"Q3\",\"JCRName\":\"Medicine\",\"Score\":null,\"Total\":0}","platform":"Semanticscholar","paperid":null,"PeriodicalName":"Asia Oceania Journal of Nuclear Medicine and Biology","FirstCategoryId":"1085","ListUrlMain":"https://doi.org/10.22038/AOJNMB.2024.78270.1552","RegionNum":0,"RegionCategory":null,"ArticlePicture":[],"TitleCN":null,"AbstractTextCN":null,"PMCID":null,"EPubDate":"","PubModel":"","JCR":"Q3","JCRName":"Medicine","Score":null,"Total":0}
引用次数: 0

摘要

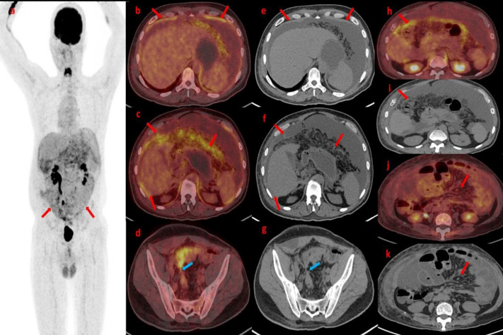
腹膜癌肿(PC)是癌细胞在腹膜中的扩散,是晚期胃肠道癌症和妇科癌症的一个重要问题。本病例系列包括 18F- 氟脱氧葡萄糖正电子发射断层扫描/CT(18F-FDG PET/CT)上 PC 的外观和模式。腹膜播散的主要来源是腹部或盆腔肿瘤的直接侵犯和远处肿瘤的转移扩散。准确的术前诊断和 PC 定量对确定适当的治疗方法起着至关重要的作用,尤其是在手术规划方面。术前评估采用了多种成像模式,如计算机断层扫描(CT)、磁共振成像(MRI)和 18F-FDG PET/CT。在这些方法中,18F-FDG PET/CT 显示了更好的解剖定位和病理结果性质的准确信息。本系列病例展示了四个病例,说明了 PC 在 FDG PET/CT 上的成像特点。FDG PET/CT 在诊断和评估 PC 方面发挥着重要作用,有助于 PC 的检测、分期和治疗计划。它在识别和描述病变以及在原发肿瘤位置不明的情况下检测原发肿瘤部位方面超越了传统的成像技术。此外,FDG PET/CT 还有助于评估治疗反应和监测疾病进展,为了解治疗效果和指导患者管理决策提供依据。
本文章由计算机程序翻译,如有差异,请以英文原文为准。

Unveiling the Metabolic Maze: FDG PET/CT Findings in Peritoneal Carcinomatosis - A Case Series.

Unveiling the Metabolic Maze: FDG PET/CT Findings in Peritoneal Carcinomatosis - A Case Series.

Unveiling the Metabolic Maze: FDG PET/CT Findings in Peritoneal Carcinomatosis - A Case Series.

Unveiling the Metabolic Maze: FDG PET/CT Findings in Peritoneal Carcinomatosis - A Case Series.

Peritoneal carcinomatosis (PC), the spread of cancer cells in the peritoneum, is a significant concern in advanced gastrointestinal and gynecological cancers. This case series includes findings on the appearance and pattern of PC on 18F-fluorodeoxyglucose positron emission tomography/CT (18F-FDG PET/CT). The primary sources of peritoneal dissemination are direct invasion from abdominal or pelvic tumors and metastatic spread from distant tumors. The accurate preoperative diagnosis and quantification of PC play a vital role in determining the appropriate treatment approach, with a particular emphasis on surgical planning. Several imaging modalities have been employed in preoperative evaluation, such as computed tomography (CT), magnetic resonance imaging (MRI), and 18F-FDG PET/CT. Among these modalities, 18F-FDG PET/CT has demonstrated improved anatomical localization and accurate information about the nature of pathological findings. The case series showcases four cases that illustrate the imaging characteristics of PC on FDG PET/CT. FDG PET/CT plays a vital role in diagnosing and assessing PC, aiding in its detection, staging, and treatment planning. It surpasses conventional imaging techniques in identifying and characterizing lesions and detecting the primary tumor site in cases where its location is unknown. Furthermore, FDG PET/CT additionally assists in evaluating treatment response and monitoring disease progression, providing insights into treatment effectiveness and guiding patient management decisions.

求助全文
通过发布文献求助,成功后即可免费获取论文全文。 去求助
来源期刊
Asia Oceania Journal of Nuclear Medicine and Biology
Asia Oceania Journal of Nuclear Medicine and Biology Medicine-Radiology, Nuclear Medicine and Imaging
CiteScore
1.80
自引率
0.00%
发文量
28
审稿时长
12 weeks
×
引用
GB/T 7714-2015
复制
MLA
复制
APA
复制
导出至
BibTeX EndNote RefMan NoteFirst NoteExpress
×
提示
您的信息不完整,为了账户安全,请先补充。
现在去补充
×
提示
您因"违规操作"
具体请查看互助需知
我知道了
×
提示
确定
请完成安全验证×
copy
已复制链接
快去分享给好友吧!
我知道了
右上角分享
点击右上角分享
0
联系我们:info@booksci.cn Book学术提供免费学术资源搜索服务,方便国内外学者检索中英文文献。致力于提供最便捷和优质的服务体验。 Copyright © 2023 布克学术 All rights reserved.
京ICP备2023020795号-1
ghs 京公网安备 11010802042870号
Book学术文献互助
Book学术文献互助群
群 号:604180095
Book学术官方微信