巨大喉肉芽肿导致致命窒息。

Q4 Medicine
Autopsy and Case Reports Pub Date : 2024-06-14 eCollection Date: 2024-01-01 DOI:10.4322/acr.2024.496
Ajay Kumar, Ravi Rautji, Asit Ranjan Mridha, Chittaranjan Behera
{"title":"巨大喉肉芽肿导致致命窒息。","authors":"Ajay Kumar, Ravi Rautji, Asit Ranjan Mridha, Chittaranjan Behera","doi":"10.4322/acr.2024.496","DOIUrl":null,"url":null,"abstract":"<p><p>Laryngeal granuloma, vocal process granuloma, or post-intubation granuloma are benign, inflammatory lesions of the arytenoid cartilage vocal process. The etiology of laryngeal granulomas is multifactorial, such as chronic irritation due to endotracheal intubation, vocal cord injury or trauma, and gastroesophageal reflux disease. They can arise postoperatively after mucosal injury due to orotracheal intubation. Clinical manifestations include voice change and dyspnea, which may start one to four months after extubation and may rarely lead to asphyxia. We presented a case of death due to glottic granuloma occurring after a surgical procedure to remove a laryngeal polyp attributed to previous laryngeal injuries by multiple intubations.</p>","PeriodicalId":53117,"journal":{"name":"Autopsy and Case Reports","volume":"14 ","pages":"e2024496"},"PeriodicalIF":0.0000,"publicationDate":"2024-06-14","publicationTypes":"Journal Article","fieldsOfStudy":null,"isOpenAccess":false,"openAccessPdf":"https://www.ncbi.nlm.nih.gov/pmc/articles/PMC11253911/pdf/","citationCount":"0","resultStr":"{\"title\":\"Fatal asphyxia due to large laryngeal granuloma.\",\"authors\":\"Ajay Kumar, Ravi Rautji, Asit Ranjan Mridha, Chittaranjan Behera\",\"doi\":\"10.4322/acr.2024.496\",\"DOIUrl\":null,\"url\":null,\"abstract\":\"<p><p>Laryngeal granuloma, vocal process granuloma, or post-intubation granuloma are benign, inflammatory lesions of the arytenoid cartilage vocal process. The etiology of laryngeal granulomas is multifactorial, such as chronic irritation due to endotracheal intubation, vocal cord injury or trauma, and gastroesophageal reflux disease. They can arise postoperatively after mucosal injury due to orotracheal intubation. Clinical manifestations include voice change and dyspnea, which may start one to four months after extubation and may rarely lead to asphyxia. We presented a case of death due to glottic granuloma occurring after a surgical procedure to remove a laryngeal polyp attributed to previous laryngeal injuries by multiple intubations.</p>\",\"PeriodicalId\":53117,\"journal\":{\"name\":\"Autopsy and Case Reports\",\"volume\":\"14 \",\"pages\":\"e2024496\"},\"PeriodicalIF\":0.0000,\"publicationDate\":\"2024-06-14\",\"publicationTypes\":\"Journal Article\",\"fieldsOfStudy\":null,\"isOpenAccess\":false,\"openAccessPdf\":\"https://www.ncbi.nlm.nih.gov/pmc/articles/PMC11253911/pdf/\",\"citationCount\":\"0\",\"resultStr\":null,\"platform\":\"Semanticscholar\",\"paperid\":null,\"PeriodicalName\":\"Autopsy and Case Reports\",\"FirstCategoryId\":\"1085\",\"ListUrlMain\":\"https://doi.org/10.4322/acr.2024.496\",\"RegionNum\":0,\"RegionCategory\":null,\"ArticlePicture\":[],\"TitleCN\":null,\"AbstractTextCN\":null,\"PMCID\":null,\"EPubDate\":\"2024/1/1 0:00:00\",\"PubModel\":\"eCollection\",\"JCR\":\"Q4\",\"JCRName\":\"Medicine\",\"Score\":null,\"Total\":0}","platform":"Semanticscholar","paperid":null,"PeriodicalName":"Autopsy and Case Reports","FirstCategoryId":"1085","ListUrlMain":"https://doi.org/10.4322/acr.2024.496","RegionNum":0,"RegionCategory":null,"ArticlePicture":[],"TitleCN":null,"AbstractTextCN":null,"PMCID":null,"EPubDate":"2024/1/1 0:00:00","PubModel":"eCollection","JCR":"Q4","JCRName":"Medicine","Score":null,"Total":0}
引用次数: 0

摘要

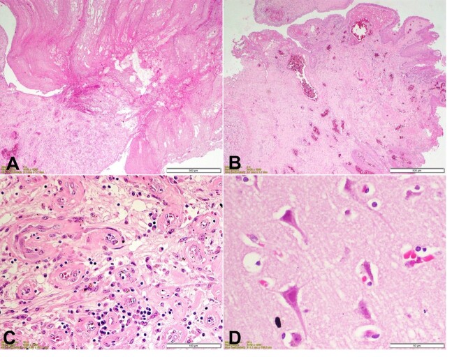
喉肉芽肿、声带肉芽肿或插管后肉芽肿是杓状软骨声带的良性炎性病变。喉肉芽肿的病因是多因素的,如气管插管引起的慢性刺激、声带损伤或外伤、胃食管反流病等。气管插管导致粘膜损伤后,也可能在术后发生。临床表现包括变声和呼吸困难,可能在拔管后一到四个月开始出现,很少会导致窒息。我们介绍了一例因多次插管导致喉部损伤而进行喉息肉摘除手术后因声门肉芽肿死亡的病例。
本文章由计算机程序翻译,如有差异,请以英文原文为准。

Fatal asphyxia due to large laryngeal granuloma.

Fatal asphyxia due to large laryngeal granuloma.

Fatal asphyxia due to large laryngeal granuloma.

Laryngeal granuloma, vocal process granuloma, or post-intubation granuloma are benign, inflammatory lesions of the arytenoid cartilage vocal process. The etiology of laryngeal granulomas is multifactorial, such as chronic irritation due to endotracheal intubation, vocal cord injury or trauma, and gastroesophageal reflux disease. They can arise postoperatively after mucosal injury due to orotracheal intubation. Clinical manifestations include voice change and dyspnea, which may start one to four months after extubation and may rarely lead to asphyxia. We presented a case of death due to glottic granuloma occurring after a surgical procedure to remove a laryngeal polyp attributed to previous laryngeal injuries by multiple intubations.

求助全文
通过发布文献求助,成功后即可免费获取论文全文。 去求助
来源期刊
Autopsy and Case Reports
Autopsy and Case Reports Medicine-Internal Medicine
CiteScore
1.20
自引率
0.00%
发文量
60
审稿时长
9 weeks
×
引用
GB/T 7714-2015
复制
MLA
复制
APA
复制
导出至
BibTeX EndNote RefMan NoteFirst NoteExpress
×
提示
您的信息不完整,为了账户安全,请先补充。
现在去补充
×
提示
您因"违规操作"
具体请查看互助需知
我知道了
×
提示
确定
请完成安全验证×
copy
已复制链接
快去分享给好友吧!
我知道了
右上角分享
点击右上角分享
0
联系我们:info@booksci.cn Book学术提供免费学术资源搜索服务,方便国内外学者检索中英文文献。致力于提供最便捷和优质的服务体验。 Copyright © 2023 布克学术 All rights reserved.
京ICP备2023020795号-1
ghs 京公网安备 11010802042870号
Book学术文献互助
Book学术文献互助群
群 号:604180095
Book学术官方微信