临床实践中的绝佳模拟器:HIV 感染中的多发性单神经炎。

Q4 Medicine
Autopsy and Case Reports Pub Date : 2024-06-14 eCollection Date: 2024-01-01 DOI:10.4322/acr.2024.493
José Pedro Soares Baima, Beatriz Carneiro Gondim Silva, Vanessa Lopes Vieira, Luiz Pedro Meireles, Milton Hideaki Arai, Angelina Maria Martins Lino
{"title":"临床实践中的绝佳模拟器:HIV 感染中的多发性单神经炎。","authors":"José Pedro Soares Baima, Beatriz Carneiro Gondim Silva, Vanessa Lopes Vieira, Luiz Pedro Meireles, Milton Hideaki Arai, Angelina Maria Martins Lino","doi":"10.4322/acr.2024.493","DOIUrl":null,"url":null,"abstract":"<p><p>HIV infection is a chameleon, mimicking several diseases. Herein, we report a previously healthy 39-year-old woman who, over 2 months, developed arthritis, weight loss, and confluent multiple mononeuropathy. Extensive laboratory investigation showed positive serology for HIV, with a CD4 count of 100 cells, and necrotizing vasculitis on a nerve biopsy not associated with CMV co-infection, allowing the diagnosis of polyarteritis nodosa-like vasculitis in an HIV-infected patient. Apart from the infection, HIV-related autoimmunity can affect any organ and contribute to the complexity of the clinical presentation of HIV infection.</p>","PeriodicalId":53117,"journal":{"name":"Autopsy and Case Reports","volume":"14 ","pages":"e2024493"},"PeriodicalIF":0.0000,"publicationDate":"2024-06-14","publicationTypes":"Journal Article","fieldsOfStudy":null,"isOpenAccess":false,"openAccessPdf":"https://www.ncbi.nlm.nih.gov/pmc/articles/PMC11253905/pdf/","citationCount":"0","resultStr":"{\"title\":\"A great simulator in clinical practice: mononeuritis multiplex in HIV infection.\",\"authors\":\"José Pedro Soares Baima, Beatriz Carneiro Gondim Silva, Vanessa Lopes Vieira, Luiz Pedro Meireles, Milton Hideaki Arai, Angelina Maria Martins Lino\",\"doi\":\"10.4322/acr.2024.493\",\"DOIUrl\":null,\"url\":null,\"abstract\":\"<p><p>HIV infection is a chameleon, mimicking several diseases. Herein, we report a previously healthy 39-year-old woman who, over 2 months, developed arthritis, weight loss, and confluent multiple mononeuropathy. Extensive laboratory investigation showed positive serology for HIV, with a CD4 count of 100 cells, and necrotizing vasculitis on a nerve biopsy not associated with CMV co-infection, allowing the diagnosis of polyarteritis nodosa-like vasculitis in an HIV-infected patient. Apart from the infection, HIV-related autoimmunity can affect any organ and contribute to the complexity of the clinical presentation of HIV infection.</p>\",\"PeriodicalId\":53117,\"journal\":{\"name\":\"Autopsy and Case Reports\",\"volume\":\"14 \",\"pages\":\"e2024493\"},\"PeriodicalIF\":0.0000,\"publicationDate\":\"2024-06-14\",\"publicationTypes\":\"Journal Article\",\"fieldsOfStudy\":null,\"isOpenAccess\":false,\"openAccessPdf\":\"https://www.ncbi.nlm.nih.gov/pmc/articles/PMC11253905/pdf/\",\"citationCount\":\"0\",\"resultStr\":null,\"platform\":\"Semanticscholar\",\"paperid\":null,\"PeriodicalName\":\"Autopsy and Case Reports\",\"FirstCategoryId\":\"1085\",\"ListUrlMain\":\"https://doi.org/10.4322/acr.2024.493\",\"RegionNum\":0,\"RegionCategory\":null,\"ArticlePicture\":[],\"TitleCN\":null,\"AbstractTextCN\":null,\"PMCID\":null,\"EPubDate\":\"2024/1/1 0:00:00\",\"PubModel\":\"eCollection\",\"JCR\":\"Q4\",\"JCRName\":\"Medicine\",\"Score\":null,\"Total\":0}","platform":"Semanticscholar","paperid":null,"PeriodicalName":"Autopsy and Case Reports","FirstCategoryId":"1085","ListUrlMain":"https://doi.org/10.4322/acr.2024.493","RegionNum":0,"RegionCategory":null,"ArticlePicture":[],"TitleCN":null,"AbstractTextCN":null,"PMCID":null,"EPubDate":"2024/1/1 0:00:00","PubModel":"eCollection","JCR":"Q4","JCRName":"Medicine","Score":null,"Total":0}
引用次数: 0

摘要

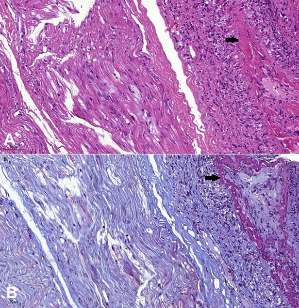
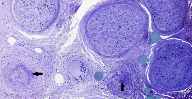
艾滋病病毒感染是一种变色龙,可以模仿多种疾病。在此,我们报告了一名原本健康的 39 岁女性,在 2 个月内出现关节炎、体重减轻和弥漫性多发性单神经病变。广泛的实验室检查显示,她的艾滋病病毒血清学检测呈阳性,CD4 细胞计数为 100,神经活检结果显示坏死性血管炎与 CMV 合并感染无关,因此可以诊断为艾滋病病毒感染者的结节性多动脉炎样血管炎。除感染外,与艾滋病病毒相关的自身免疫可影响任何器官,从而使艾滋病病毒感染的临床表现更加复杂。
本文章由计算机程序翻译,如有差异,请以英文原文为准。

A great simulator in clinical practice: mononeuritis multiplex in HIV infection.

A great simulator in clinical practice: mononeuritis multiplex in HIV infection.

A great simulator in clinical practice: mononeuritis multiplex in HIV infection.

HIV infection is a chameleon, mimicking several diseases. Herein, we report a previously healthy 39-year-old woman who, over 2 months, developed arthritis, weight loss, and confluent multiple mononeuropathy. Extensive laboratory investigation showed positive serology for HIV, with a CD4 count of 100 cells, and necrotizing vasculitis on a nerve biopsy not associated with CMV co-infection, allowing the diagnosis of polyarteritis nodosa-like vasculitis in an HIV-infected patient. Apart from the infection, HIV-related autoimmunity can affect any organ and contribute to the complexity of the clinical presentation of HIV infection.

求助全文
通过发布文献求助,成功后即可免费获取论文全文。 去求助
来源期刊
Autopsy and Case Reports
Autopsy and Case Reports Medicine-Internal Medicine
CiteScore
1.20
自引率
0.00%
发文量
60
审稿时长
9 weeks
×
引用
GB/T 7714-2015
复制
MLA
复制
APA
复制
导出至
BibTeX EndNote RefMan NoteFirst NoteExpress
×
提示
您的信息不完整,为了账户安全,请先补充。
现在去补充
×
提示
您因"违规操作"
具体请查看互助需知
我知道了
×
提示
确定
请完成安全验证×
copy
已复制链接
快去分享给好友吧!
我知道了
右上角分享
点击右上角分享
0
联系我们:info@booksci.cn Book学术提供免费学术资源搜索服务,方便国内外学者检索中英文文献。致力于提供最便捷和优质的服务体验。 Copyright © 2023 布克学术 All rights reserved.
京ICP备2023020795号-1
ghs 京公网安备 11010802042870号
Book学术文献互助
Book学术文献互助群
群 号:604180095
Book学术官方微信