耳垂上有嗜酸性粒细胞的血管淋巴细胞增生症患者使用耳廓下沟技术进行耳小叶缩小术:病例报告和文献综述。

Q2 Medicine
Archives of Craniofacial Surgery Pub Date : 2024-08-01 Epub Date: 2024-07-17 DOI:10.7181/acfs.2023.00598
Yijun Moon, Haneul Kim, Hojin Park
{"title":"耳垂上有嗜酸性粒细胞的血管淋巴细胞增生症患者使用耳廓下沟技术进行耳小叶缩小术:病例报告和文献综述。","authors":"Yijun Moon, Haneul Kim, Hojin Park","doi":"10.7181/acfs.2023.00598","DOIUrl":null,"url":null,"abstract":"<p><p>Angiolymphoid hyperplasia with eosinophilia (ALHE) is a rare condition characterized by nodular lesions predominantly in the head and neck region, often causing discomfort or pain. Treatment remains challenging because of its rarity and the lack of established guidelines. This report presents a case of ALHE affecting the earlobes that was successfully managed using ear lobule reduction surgery and subsequent intralesional steroid injections. A 31-year-old woman with a history of recurrent earlobe masses underwent a partial excision to avoid the loss of the earlobe. Histopathological examination confirmed Kimura disease, a variant of ALHE. Subsequent local methylprednisolone injections effectively controlled the remaining lesions, resulting in significant size reduction without notching. Various treatment modalities have been attempted for this condition; however, recurrence rates remain high. Surgical resection combined with intralesional corticosteroid injections is the preferred approach. In this case, a sub-antitragal groove technique for earlobe reduction was employed to preserve the lateral edge of the ear lobule, minimize the risk of deformity, and achieve a predictable outcome. The sub-antitragal groove technique offers an approach to reduce earlobe size without compromising aesthetics. Further research is required to elucidate the pathogenesis of ALHE and establish standardized treatment protocols for this rare condition.</p>","PeriodicalId":52238,"journal":{"name":"Archives of Craniofacial Surgery","volume":" ","pages":"192-196"},"PeriodicalIF":0.0000,"publicationDate":"2024-08-01","publicationTypes":"Journal Article","fieldsOfStudy":null,"isOpenAccess":false,"openAccessPdf":"https://www.ncbi.nlm.nih.gov/pmc/articles/PMC11374520/pdf/","citationCount":"0","resultStr":"{\"title\":\"Ear lobule reduction using a sub-antitragal groove technique in patients with angiolymphoid hyperplasia with eosinophilia on the earlobe: a case report and literature review.\",\"authors\":\"Yijun Moon, Haneul Kim, Hojin Park\",\"doi\":\"10.7181/acfs.2023.00598\",\"DOIUrl\":null,\"url\":null,\"abstract\":\"<p><p>Angiolymphoid hyperplasia with eosinophilia (ALHE) is a rare condition characterized by nodular lesions predominantly in the head and neck region, often causing discomfort or pain. Treatment remains challenging because of its rarity and the lack of established guidelines. This report presents a case of ALHE affecting the earlobes that was successfully managed using ear lobule reduction surgery and subsequent intralesional steroid injections. A 31-year-old woman with a history of recurrent earlobe masses underwent a partial excision to avoid the loss of the earlobe. Histopathological examination confirmed Kimura disease, a variant of ALHE. Subsequent local methylprednisolone injections effectively controlled the remaining lesions, resulting in significant size reduction without notching. Various treatment modalities have been attempted for this condition; however, recurrence rates remain high. Surgical resection combined with intralesional corticosteroid injections is the preferred approach. In this case, a sub-antitragal groove technique for earlobe reduction was employed to preserve the lateral edge of the ear lobule, minimize the risk of deformity, and achieve a predictable outcome. The sub-antitragal groove technique offers an approach to reduce earlobe size without compromising aesthetics. Further research is required to elucidate the pathogenesis of ALHE and establish standardized treatment protocols for this rare condition.</p>\",\"PeriodicalId\":52238,\"journal\":{\"name\":\"Archives of Craniofacial Surgery\",\"volume\":\" \",\"pages\":\"192-196\"},\"PeriodicalIF\":0.0000,\"publicationDate\":\"2024-08-01\",\"publicationTypes\":\"Journal Article\",\"fieldsOfStudy\":null,\"isOpenAccess\":false,\"openAccessPdf\":\"https://www.ncbi.nlm.nih.gov/pmc/articles/PMC11374520/pdf/\",\"citationCount\":\"0\",\"resultStr\":null,\"platform\":\"Semanticscholar\",\"paperid\":null,\"PeriodicalName\":\"Archives of Craniofacial Surgery\",\"FirstCategoryId\":\"1085\",\"ListUrlMain\":\"https://doi.org/10.7181/acfs.2023.00598\",\"RegionNum\":0,\"RegionCategory\":null,\"ArticlePicture\":[],\"TitleCN\":null,\"AbstractTextCN\":null,\"PMCID\":null,\"EPubDate\":\"2024/7/17 0:00:00\",\"PubModel\":\"Epub\",\"JCR\":\"Q2\",\"JCRName\":\"Medicine\",\"Score\":null,\"Total\":0}","platform":"Semanticscholar","paperid":null,"PeriodicalName":"Archives of Craniofacial Surgery","FirstCategoryId":"1085","ListUrlMain":"https://doi.org/10.7181/acfs.2023.00598","RegionNum":0,"RegionCategory":null,"ArticlePicture":[],"TitleCN":null,"AbstractTextCN":null,"PMCID":null,"EPubDate":"2024/7/17 0:00:00","PubModel":"Epub","JCR":"Q2","JCRName":"Medicine","Score":null,"Total":0}
引用次数: 0

摘要

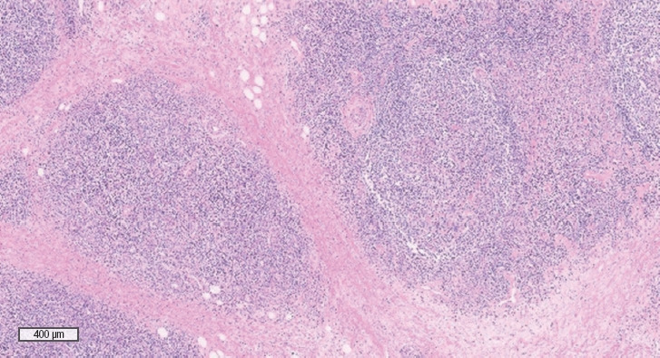
嗜酸性粒细胞增多性血管淋巴样增生症(ALHE)是一种罕见的疾病,主要表现为头颈部结节性病变,常引起不适或疼痛。由于其罕见性和缺乏既定的指南,治疗仍然具有挑战性。本报告介绍了一例影响耳垂的 ALHE 病例,该病例通过耳小叶缩小手术和随后的区域内类固醇注射成功治愈。一名 31 岁的女性患者曾反复出现耳垂肿块,为避免失去耳垂,她接受了部分切除手术。组织病理学检查确诊为木村病,这是 ALHE 的一种变异型。随后进行的局部甲基强的松龙注射有效控制了残余病灶,使病灶明显缩小,但未出现凹痕。针对这种疾病,人们尝试了各种治疗方法,但复发率仍然很高。手术切除结合皮质类固醇内注射是首选方法。在这个病例中,我们采用了颞下沟技术进行耳垂缩小,以保留耳小叶的外侧边缘,将畸形风险降至最低,并获得可预测的结果。颞沟下技术提供了一种在不影响美观的情况下缩小耳垂的方法。要阐明 ALHE 的发病机制,并为这种罕见病制定标准化治疗方案,还需要进一步的研究。
本文章由计算机程序翻译,如有差异,请以英文原文为准。

Ear lobule reduction using a sub-antitragal groove technique in patients with angiolymphoid hyperplasia with eosinophilia on the earlobe: a case report and literature review.

Ear lobule reduction using a sub-antitragal groove technique in patients with angiolymphoid hyperplasia with eosinophilia on the earlobe: a case report and literature review.

Ear lobule reduction using a sub-antitragal groove technique in patients with angiolymphoid hyperplasia with eosinophilia on the earlobe: a case report and literature review.

Ear lobule reduction using a sub-antitragal groove technique in patients with angiolymphoid hyperplasia with eosinophilia on the earlobe: a case report and literature review.

Angiolymphoid hyperplasia with eosinophilia (ALHE) is a rare condition characterized by nodular lesions predominantly in the head and neck region, often causing discomfort or pain. Treatment remains challenging because of its rarity and the lack of established guidelines. This report presents a case of ALHE affecting the earlobes that was successfully managed using ear lobule reduction surgery and subsequent intralesional steroid injections. A 31-year-old woman with a history of recurrent earlobe masses underwent a partial excision to avoid the loss of the earlobe. Histopathological examination confirmed Kimura disease, a variant of ALHE. Subsequent local methylprednisolone injections effectively controlled the remaining lesions, resulting in significant size reduction without notching. Various treatment modalities have been attempted for this condition; however, recurrence rates remain high. Surgical resection combined with intralesional corticosteroid injections is the preferred approach. In this case, a sub-antitragal groove technique for earlobe reduction was employed to preserve the lateral edge of the ear lobule, minimize the risk of deformity, and achieve a predictable outcome. The sub-antitragal groove technique offers an approach to reduce earlobe size without compromising aesthetics. Further research is required to elucidate the pathogenesis of ALHE and establish standardized treatment protocols for this rare condition.

求助全文
通过发布文献求助,成功后即可免费获取论文全文。 去求助
来源期刊
Archives of Craniofacial Surgery
Archives of Craniofacial Surgery Medicine-Otorhinolaryngology
CiteScore
2.90
自引率
0.00%
发文量
44
×
引用
GB/T 7714-2015
复制
MLA
复制
APA
复制
导出至
BibTeX EndNote RefMan NoteFirst NoteExpress
×
提示
您的信息不完整,为了账户安全,请先补充。
现在去补充
×
提示
您因"违规操作"
具体请查看互助需知
我知道了
×
提示
确定
请完成安全验证×
copy
已复制链接
快去分享给好友吧!
我知道了
右上角分享
点击右上角分享
0
联系我们:info@booksci.cn Book学术提供免费学术资源搜索服务,方便国内外学者检索中英文文献。致力于提供最便捷和优质的服务体验。 Copyright © 2023 布克学术 All rights reserved.
京ICP备2023020795号-1
ghs 京公网安备 11010802042870号
Book学术文献互助
Book学术文献互助群
群 号:604180095
Book学术官方微信