包皮环切术后 HIV 阴性中年患者的原发性典型阴茎卡波西肉瘤:一个罕见病例的介绍

IF 0.9 Q3 MEDICINE, GENERAL & INTERNAL
Medical Bulletin of Sisli Etfal Hospital Pub Date : 2024-06-28 eCollection Date: 2024-01-01 DOI:10.14744/SEMB.2023.46034
Rifat Burak Ergul, Mazhar Ortac, Senol Tonyali, Gizem Pehlivan, Sule Ozturk Sari, Ozge Hurdogan, Ates Kadioglu
{"title":"包皮环切术后 HIV 阴性中年患者的原发性典型阴茎卡波西肉瘤:一个罕见病例的介绍","authors":"Rifat Burak Ergul, Mazhar Ortac, Senol Tonyali, Gizem Pehlivan, Sule Ozturk Sari, Ozge Hurdogan, Ates Kadioglu","doi":"10.14744/SEMB.2023.46034","DOIUrl":null,"url":null,"abstract":"<p><p>Kaposi's sarcoma should be considered in the differential diagnosis in young patients with penile lesions and no risk factors. A 37-year-old heterosexual man with no other medical history applied presented with a non-itchy and painless penile lesion, for three months. The HIV 1-2 serology was negative via ELISA test. Histopathological analysis of the lesion revealed a tumor composed of atypical spindle cells, below a partially ulcerated surface. There was also an abundance of plasma cells admixed within the neoplastic cells. The patient was diagnosed as HIV-negative, HHV-8 positive Kaposi sarcoma. Although penile Kaposi sarcoma is extremely rare, classical Kaposi sarcoma should be considered in the differential diagnosis of penile lesions.</p>","PeriodicalId":42218,"journal":{"name":"Medical Bulletin of Sisli Etfal Hospital","volume":"58 2","pages":"241-243"},"PeriodicalIF":0.9000,"publicationDate":"2024-06-28","publicationTypes":"Journal Article","fieldsOfStudy":null,"isOpenAccess":false,"openAccessPdf":"https://www.ncbi.nlm.nih.gov/pmc/articles/PMC11249993/pdf/","citationCount":"0","resultStr":"{\"title\":\"Primary Classic Penile Kaposi's Sarcoma in a Middle Age Circumcised HIV-Negative Patient: Presentation of an Unusual Case.\",\"authors\":\"Rifat Burak Ergul, Mazhar Ortac, Senol Tonyali, Gizem Pehlivan, Sule Ozturk Sari, Ozge Hurdogan, Ates Kadioglu\",\"doi\":\"10.14744/SEMB.2023.46034\",\"DOIUrl\":null,\"url\":null,\"abstract\":\"<p><p>Kaposi's sarcoma should be considered in the differential diagnosis in young patients with penile lesions and no risk factors. A 37-year-old heterosexual man with no other medical history applied presented with a non-itchy and painless penile lesion, for three months. The HIV 1-2 serology was negative via ELISA test. Histopathological analysis of the lesion revealed a tumor composed of atypical spindle cells, below a partially ulcerated surface. There was also an abundance of plasma cells admixed within the neoplastic cells. The patient was diagnosed as HIV-negative, HHV-8 positive Kaposi sarcoma. Although penile Kaposi sarcoma is extremely rare, classical Kaposi sarcoma should be considered in the differential diagnosis of penile lesions.</p>\",\"PeriodicalId\":42218,\"journal\":{\"name\":\"Medical Bulletin of Sisli Etfal Hospital\",\"volume\":\"58 2\",\"pages\":\"241-243\"},\"PeriodicalIF\":0.9000,\"publicationDate\":\"2024-06-28\",\"publicationTypes\":\"Journal Article\",\"fieldsOfStudy\":null,\"isOpenAccess\":false,\"openAccessPdf\":\"https://www.ncbi.nlm.nih.gov/pmc/articles/PMC11249993/pdf/\",\"citationCount\":\"0\",\"resultStr\":null,\"platform\":\"Semanticscholar\",\"paperid\":null,\"PeriodicalName\":\"Medical Bulletin of Sisli Etfal Hospital\",\"FirstCategoryId\":\"1085\",\"ListUrlMain\":\"https://doi.org/10.14744/SEMB.2023.46034\",\"RegionNum\":0,\"RegionCategory\":null,\"ArticlePicture\":[],\"TitleCN\":null,\"AbstractTextCN\":null,\"PMCID\":null,\"EPubDate\":\"2024/1/1 0:00:00\",\"PubModel\":\"eCollection\",\"JCR\":\"Q3\",\"JCRName\":\"MEDICINE, GENERAL & INTERNAL\",\"Score\":null,\"Total\":0}","platform":"Semanticscholar","paperid":null,"PeriodicalName":"Medical Bulletin of Sisli Etfal Hospital","FirstCategoryId":"1085","ListUrlMain":"https://doi.org/10.14744/SEMB.2023.46034","RegionNum":0,"RegionCategory":null,"ArticlePicture":[],"TitleCN":null,"AbstractTextCN":null,"PMCID":null,"EPubDate":"2024/1/1 0:00:00","PubModel":"eCollection","JCR":"Q3","JCRName":"MEDICINE, GENERAL & INTERNAL","Score":null,"Total":0}
引用次数: 0

摘要

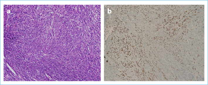
对于阴茎病变且无危险因素的年轻患者,在鉴别诊断时应考虑卡波西肉瘤。一名无其他病史的 37 岁异性恋男子因阴茎病变而就诊,病变不痛不痒,已持续三个月。经 ELISA 检测,HIV 1-2 血清学检测结果为阴性。病变组织病理学分析显示,肿瘤由非典型纺锤形细胞组成,表面部分溃烂。肿瘤细胞中还混有大量浆细胞。患者被诊断为 HIV 阴性、HHV-8 阳性的卡波西肉瘤。虽然阴茎卡波西肉瘤极为罕见,但在阴茎病变的鉴别诊断中应考虑典型的卡波西肉瘤。
本文章由计算机程序翻译,如有差异,请以英文原文为准。

Primary Classic Penile Kaposi's Sarcoma in a Middle Age Circumcised HIV-Negative Patient: Presentation of an Unusual Case.

Primary Classic Penile Kaposi's Sarcoma in a Middle Age Circumcised HIV-Negative Patient: Presentation of an Unusual Case.

Primary Classic Penile Kaposi's Sarcoma in a Middle Age Circumcised HIV-Negative Patient: Presentation of an Unusual Case.

Kaposi's sarcoma should be considered in the differential diagnosis in young patients with penile lesions and no risk factors. A 37-year-old heterosexual man with no other medical history applied presented with a non-itchy and painless penile lesion, for three months. The HIV 1-2 serology was negative via ELISA test. Histopathological analysis of the lesion revealed a tumor composed of atypical spindle cells, below a partially ulcerated surface. There was also an abundance of plasma cells admixed within the neoplastic cells. The patient was diagnosed as HIV-negative, HHV-8 positive Kaposi sarcoma. Although penile Kaposi sarcoma is extremely rare, classical Kaposi sarcoma should be considered in the differential diagnosis of penile lesions.

求助全文
通过发布文献求助,成功后即可免费获取论文全文。 去求助
来源期刊
Medical Bulletin of Sisli Etfal Hospital
Medical Bulletin of Sisli Etfal Hospital MEDICINE, GENERAL & INTERNAL-
自引率
16.70%
发文量
41
×
引用
GB/T 7714-2015
复制
MLA
复制
APA
复制
导出至
BibTeX EndNote RefMan NoteFirst NoteExpress
×
提示
您的信息不完整,为了账户安全,请先补充。
现在去补充
×
提示
您因"违规操作"
具体请查看互助需知
我知道了
×
提示
确定
请完成安全验证×
copy
已复制链接
快去分享给好友吧!
我知道了
右上角分享
点击右上角分享
0
联系我们:info@booksci.cn Book学术提供免费学术资源搜索服务,方便国内外学者检索中英文文献。致力于提供最便捷和优质的服务体验。 Copyright © 2023 布克学术 All rights reserved.
京ICP备2023020795号-1
ghs 京公网安备 11010802042870号
Book学术文献互助
Book学术文献互助群
群 号:604180095
Book学术官方微信