由铜绿假单胞菌引起的复杂皮肤和软组织感染猪模型。

IF 0.8 4区 农林科学 Q3 VETERINARY SCIENCES
Veterinarni Medicina Pub Date : 2024-06-27 eCollection Date: 2024-06-01 DOI:10.17221/25/2024-VETMED
Bretislav Lipovy, Lukas Vacek, Dominika Polastik Kleknerova, Edita Jeklova, Lenka Liskova, Jakub Holoubek, Dominika Matyskova, Filip Ruzicka
{"title":"由铜绿假单胞菌引起的复杂皮肤和软组织感染猪模型。","authors":"Bretislav Lipovy, Lukas Vacek, Dominika Polastik Kleknerova, Edita Jeklova, Lenka Liskova, Jakub Holoubek, Dominika Matyskova, Filip Ruzicka","doi":"10.17221/25/2024-VETMED","DOIUrl":null,"url":null,"abstract":"<p><p><i>Pseudomonas aeruginosa</i> poses a significant threat to both immunocompetent and immunocompromised individuals, often resulting in life-threatening infections. With increasing antimicrobial resistance, novel therapeutic strategies are urgently needed. Although animal models are crucial for preclinical studies, limited data are available for porcine models, more specifically for <i>P. aeruginosa</i> complicated skin and soft tissue infections (cSSTIs). This study presents a novel porcine model inducing and sustaining cSSTI for 14 days. Six pigs (120 wounds) were used for the development of infections, and within this group, two pigs (40 wounds) were used to evaluate the progression of the cSSTI infection. The model demonstrated bacterial loads of more than 10<sup>7</sup> CFU/gram of tissue or higher. The cSSTI fully developed within three days and remained well above these levels until day 14 post-infection. Due to the immunocompetence of this model, all the immunological processes associated with the response to the presence of infection and the wound healing process are preserved.</p>","PeriodicalId":23532,"journal":{"name":"Veterinarni Medicina","volume":"69 6","pages":"191-197"},"PeriodicalIF":0.8000,"publicationDate":"2024-06-27","publicationTypes":"Journal Article","fieldsOfStudy":null,"isOpenAccess":false,"openAccessPdf":"https://www.ncbi.nlm.nih.gov/pmc/articles/PMC11251702/pdf/","citationCount":"0","resultStr":"{\"title\":\"Porcine model of a complicated skin and soft tissue infection caused by <i>Pseudomonas aeruginosa</i>.\",\"authors\":\"Bretislav Lipovy, Lukas Vacek, Dominika Polastik Kleknerova, Edita Jeklova, Lenka Liskova, Jakub Holoubek, Dominika Matyskova, Filip Ruzicka\",\"doi\":\"10.17221/25/2024-VETMED\",\"DOIUrl\":null,\"url\":null,\"abstract\":\"<p><p><i>Pseudomonas aeruginosa</i> poses a significant threat to both immunocompetent and immunocompromised individuals, often resulting in life-threatening infections. With increasing antimicrobial resistance, novel therapeutic strategies are urgently needed. Although animal models are crucial for preclinical studies, limited data are available for porcine models, more specifically for <i>P. aeruginosa</i> complicated skin and soft tissue infections (cSSTIs). This study presents a novel porcine model inducing and sustaining cSSTI for 14 days. Six pigs (120 wounds) were used for the development of infections, and within this group, two pigs (40 wounds) were used to evaluate the progression of the cSSTI infection. The model demonstrated bacterial loads of more than 10<sup>7</sup> CFU/gram of tissue or higher. The cSSTI fully developed within three days and remained well above these levels until day 14 post-infection. Due to the immunocompetence of this model, all the immunological processes associated with the response to the presence of infection and the wound healing process are preserved.</p>\",\"PeriodicalId\":23532,\"journal\":{\"name\":\"Veterinarni Medicina\",\"volume\":\"69 6\",\"pages\":\"191-197\"},\"PeriodicalIF\":0.8000,\"publicationDate\":\"2024-06-27\",\"publicationTypes\":\"Journal Article\",\"fieldsOfStudy\":null,\"isOpenAccess\":false,\"openAccessPdf\":\"https://www.ncbi.nlm.nih.gov/pmc/articles/PMC11251702/pdf/\",\"citationCount\":\"0\",\"resultStr\":null,\"platform\":\"Semanticscholar\",\"paperid\":null,\"PeriodicalName\":\"Veterinarni Medicina\",\"FirstCategoryId\":\"97\",\"ListUrlMain\":\"https://doi.org/10.17221/25/2024-VETMED\",\"RegionNum\":4,\"RegionCategory\":\"农林科学\",\"ArticlePicture\":[],\"TitleCN\":null,\"AbstractTextCN\":null,\"PMCID\":null,\"EPubDate\":\"2024/6/1 0:00:00\",\"PubModel\":\"eCollection\",\"JCR\":\"Q3\",\"JCRName\":\"VETERINARY SCIENCES\",\"Score\":null,\"Total\":0}","platform":"Semanticscholar","paperid":null,"PeriodicalName":"Veterinarni Medicina","FirstCategoryId":"97","ListUrlMain":"https://doi.org/10.17221/25/2024-VETMED","RegionNum":4,"RegionCategory":"农林科学","ArticlePicture":[],"TitleCN":null,"AbstractTextCN":null,"PMCID":null,"EPubDate":"2024/6/1 0:00:00","PubModel":"eCollection","JCR":"Q3","JCRName":"VETERINARY SCIENCES","Score":null,"Total":0}
引用次数: 0

摘要

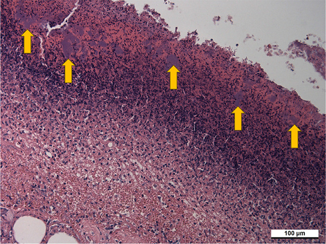
铜绿假单胞菌对免疫功能健全和免疫功能低下的人都构成了严重威胁,常常导致危及生命的感染。随着抗菌药耐药性的增加,迫切需要新的治疗策略。虽然动物模型对临床前研究至关重要,但猪模型,特别是铜绿假单胞菌并发皮肤和软组织感染(cSSTIs)的数据却很有限。本研究提出了一种新型猪模型,可诱导并维持 cSSTI 14 天。六头猪(120 个伤口)被用于发生感染,其中两头猪(40 个伤口)被用于评估 cSSTI 感染的进展情况。该模型显示细菌量超过 107 CFU/克组织或更高。cSSTI 在三天内完全发展,直到感染后第 14 天仍远高于上述水平。由于该模型的免疫能力强,所有与感染反应和伤口愈合过程相关的免疫过程都得以保留。
本文章由计算机程序翻译,如有差异,请以英文原文为准。

Porcine model of a complicated skin and soft tissue infection caused by <i>Pseudomonas aeruginosa</i>.

Porcine model of a complicated skin and soft tissue infection caused by <i>Pseudomonas aeruginosa</i>.

Porcine model of a complicated skin and soft tissue infection caused by <i>Pseudomonas aeruginosa</i>.

Porcine model of a complicated skin and soft tissue infection caused by Pseudomonas aeruginosa.

Pseudomonas aeruginosa poses a significant threat to both immunocompetent and immunocompromised individuals, often resulting in life-threatening infections. With increasing antimicrobial resistance, novel therapeutic strategies are urgently needed. Although animal models are crucial for preclinical studies, limited data are available for porcine models, more specifically for P. aeruginosa complicated skin and soft tissue infections (cSSTIs). This study presents a novel porcine model inducing and sustaining cSSTI for 14 days. Six pigs (120 wounds) were used for the development of infections, and within this group, two pigs (40 wounds) were used to evaluate the progression of the cSSTI infection. The model demonstrated bacterial loads of more than 107 CFU/gram of tissue or higher. The cSSTI fully developed within three days and remained well above these levels until day 14 post-infection. Due to the immunocompetence of this model, all the immunological processes associated with the response to the presence of infection and the wound healing process are preserved.

求助全文
通过发布文献求助,成功后即可免费获取论文全文。 去求助
来源期刊
Veterinarni Medicina
Veterinarni Medicina Veterinary Sciences-兽医学
CiteScore
1.30
自引率
0.00%
发文量
62
审稿时长
18-36 weeks
期刊介绍: The journal Veterinarni Medicina publishes in English original papers, short communications, critical reviews and case reports from all fields of veterinary and biomedical sciences.
×
引用
GB/T 7714-2015
复制
MLA
复制
APA
复制
导出至
BibTeX EndNote RefMan NoteFirst NoteExpress
×
提示
您的信息不完整,为了账户安全,请先补充。
现在去补充
×
提示
您因"违规操作"
具体请查看互助需知
我知道了
×
提示
确定
请完成安全验证×
copy
已复制链接
快去分享给好友吧!
我知道了
右上角分享
点击右上角分享
0
联系我们:info@booksci.cn Book学术提供免费学术资源搜索服务,方便国内外学者检索中英文文献。致力于提供最便捷和优质的服务体验。 Copyright © 2023 布克学术 All rights reserved.
京ICP备2023020795号-1
ghs 京公网安备 11010802042870号
Book学术文献互助
Book学术文献互助群
群 号:604180095
Book学术官方微信