评估长期膳食补充 Pereskia aculeata Miller 叶片的小鼠前卵巢卵泡的形态和发育情况。

IF 2.1 4区 农林科学 Q2 AGRICULTURE, DAIRY & ANIMAL SCIENCE
Animal Reproduction Pub Date : 2024-07-15 eCollection Date: 2024-01-01 DOI:10.1590/1984-3143-AR2024-0012
Alesandro Silva Ferreira, Francisco Glauber Peixoto Ferreira, Etho Roberio Medeiros Nascimento, Gildas Mbemya Tetaping, Laritza Ferreira de Lima, Said Gonçalves da Cruz Fonseca, José Ricardo de Figueiredo, Daniel Freire de Sousa, Juliana Jales de Hollanda Celestino
{"title":"评估长期膳食补充 Pereskia aculeata Miller 叶片的小鼠前卵巢卵泡的形态和发育情况。","authors":"Alesandro Silva Ferreira, Francisco Glauber Peixoto Ferreira, Etho Roberio Medeiros Nascimento, Gildas Mbemya Tetaping, Laritza Ferreira de Lima, Said Gonçalves da Cruz Fonseca, José Ricardo de Figueiredo, Daniel Freire de Sousa, Juliana Jales de Hollanda Celestino","doi":"10.1590/1984-3143-AR2024-0012","DOIUrl":null,"url":null,"abstract":"<p><p>This study aimed to investigate the effect of including mouse feed with different concentrations (5, 10, or 20%) of <i>Pereskia aculeata Miller</i> (PAM) leaves on the morphology and development of preantral ovarian follicles and ovarian stromal cell density. The oral toxicity was performed using repeated dose toxicity assays subdivided into experiments of 30 days and 90 days of treatment. After the experiments, the ovaries of each animal were collected and submitted to classical histology. At 30 and 90 days, there was an equivalent percentage of normal, primordial, and developing follicles (P > 0.05) between PAM treatments compared to the control. Regarding the different stages of follicular development, after 90 days, there was a higher percentage (P < 0.05) of developing follicles only in the control group compared to day 30. The PAM 5% treatment was the only one that affected the cell density in the stroma after 90 days of treatment. Thus, we observed that supplementing the diet with <i>P. aculeata</i> did not pose any risk concerning animal consumption; specifically, there were no toxic reproductive effects observed from adding <i>Pereskia aculeata Miller</i> to the mouse diet.</p>","PeriodicalId":7889,"journal":{"name":"Animal Reproduction","volume":"21 2","pages":"e20240012"},"PeriodicalIF":2.1000,"publicationDate":"2024-07-15","publicationTypes":"Journal Article","fieldsOfStudy":null,"isOpenAccess":false,"openAccessPdf":"https://www.ncbi.nlm.nih.gov/pmc/articles/PMC11253780/pdf/","citationCount":"0","resultStr":"{\"title\":\"Evaluation of the morphology and development of preantral ovarian follicles in mice submitted to a chronic diet of dietary supplementation with <i>Pereskia aculeata Miller</i> leaves.\",\"authors\":\"Alesandro Silva Ferreira, Francisco Glauber Peixoto Ferreira, Etho Roberio Medeiros Nascimento, Gildas Mbemya Tetaping, Laritza Ferreira de Lima, Said Gonçalves da Cruz Fonseca, José Ricardo de Figueiredo, Daniel Freire de Sousa, Juliana Jales de Hollanda Celestino\",\"doi\":\"10.1590/1984-3143-AR2024-0012\",\"DOIUrl\":null,\"url\":null,\"abstract\":\"<p><p>This study aimed to investigate the effect of including mouse feed with different concentrations (5, 10, or 20%) of <i>Pereskia aculeata Miller</i> (PAM) leaves on the morphology and development of preantral ovarian follicles and ovarian stromal cell density. The oral toxicity was performed using repeated dose toxicity assays subdivided into experiments of 30 days and 90 days of treatment. After the experiments, the ovaries of each animal were collected and submitted to classical histology. At 30 and 90 days, there was an equivalent percentage of normal, primordial, and developing follicles (P > 0.05) between PAM treatments compared to the control. Regarding the different stages of follicular development, after 90 days, there was a higher percentage (P < 0.05) of developing follicles only in the control group compared to day 30. The PAM 5% treatment was the only one that affected the cell density in the stroma after 90 days of treatment. Thus, we observed that supplementing the diet with <i>P. aculeata</i> did not pose any risk concerning animal consumption; specifically, there were no toxic reproductive effects observed from adding <i>Pereskia aculeata Miller</i> to the mouse diet.</p>\",\"PeriodicalId\":7889,\"journal\":{\"name\":\"Animal Reproduction\",\"volume\":\"21 2\",\"pages\":\"e20240012\"},\"PeriodicalIF\":2.1000,\"publicationDate\":\"2024-07-15\",\"publicationTypes\":\"Journal Article\",\"fieldsOfStudy\":null,\"isOpenAccess\":false,\"openAccessPdf\":\"https://www.ncbi.nlm.nih.gov/pmc/articles/PMC11253780/pdf/\",\"citationCount\":\"0\",\"resultStr\":null,\"platform\":\"Semanticscholar\",\"paperid\":null,\"PeriodicalName\":\"Animal Reproduction\",\"FirstCategoryId\":\"97\",\"ListUrlMain\":\"https://doi.org/10.1590/1984-3143-AR2024-0012\",\"RegionNum\":4,\"RegionCategory\":\"农林科学\",\"ArticlePicture\":[],\"TitleCN\":null,\"AbstractTextCN\":null,\"PMCID\":null,\"EPubDate\":\"2024/1/1 0:00:00\",\"PubModel\":\"eCollection\",\"JCR\":\"Q2\",\"JCRName\":\"AGRICULTURE, DAIRY & ANIMAL SCIENCE\",\"Score\":null,\"Total\":0}","platform":"Semanticscholar","paperid":null,"PeriodicalName":"Animal Reproduction","FirstCategoryId":"97","ListUrlMain":"https://doi.org/10.1590/1984-3143-AR2024-0012","RegionNum":4,"RegionCategory":"农林科学","ArticlePicture":[],"TitleCN":null,"AbstractTextCN":null,"PMCID":null,"EPubDate":"2024/1/1 0:00:00","PubModel":"eCollection","JCR":"Q2","JCRName":"AGRICULTURE, DAIRY & ANIMAL SCIENCE","Score":null,"Total":0}
引用次数: 0

摘要

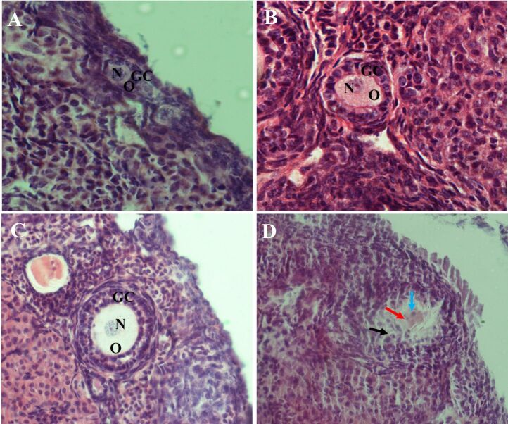
本研究旨在探讨在小鼠饲料中添加不同浓度(5%、10%或20%)的Pereskia aculeata Miller(PAM)叶对前卵巢卵泡的形态和发育以及卵巢基质细胞密度的影响。口服毒性试验采用重复剂量毒性试验,分为 30 天和 90 天处理实验。实验结束后,收集每只动物的卵巢并进行经典组织学检查。在 30 天和 90 天时,与对照组相比,PAM 处理的正常卵泡、原始卵泡和发育中卵泡的比例相当(P > 0.05)。就卵泡发育的不同阶段而言,90天后,与第30天相比,只有对照组中发育中卵泡的比例更高(P < 0.05)。PAM 5% 处理是唯一一种在处理 90 天后影响基质中细胞密度的处理。因此,我们观察到,在膳食中添加 P. aculeata 不会对动物的食用造成任何风险;具体来说,在小鼠膳食中添加 Pereskia aculeata Miller 不会对生殖系统造成任何毒性影响。
本文章由计算机程序翻译,如有差异,请以英文原文为准。

Evaluation of the morphology and development of preantral ovarian follicles in mice submitted to a chronic diet of dietary supplementation with <i>Pereskia aculeata Miller</i> leaves.

Evaluation of the morphology and development of preantral ovarian follicles in mice submitted to a chronic diet of dietary supplementation with <i>Pereskia aculeata Miller</i> leaves.

Evaluation of the morphology and development of preantral ovarian follicles in mice submitted to a chronic diet of dietary supplementation with <i>Pereskia aculeata Miller</i> leaves.

Evaluation of the morphology and development of preantral ovarian follicles in mice submitted to a chronic diet of dietary supplementation with Pereskia aculeata Miller leaves.

This study aimed to investigate the effect of including mouse feed with different concentrations (5, 10, or 20%) of Pereskia aculeata Miller (PAM) leaves on the morphology and development of preantral ovarian follicles and ovarian stromal cell density. The oral toxicity was performed using repeated dose toxicity assays subdivided into experiments of 30 days and 90 days of treatment. After the experiments, the ovaries of each animal were collected and submitted to classical histology. At 30 and 90 days, there was an equivalent percentage of normal, primordial, and developing follicles (P > 0.05) between PAM treatments compared to the control. Regarding the different stages of follicular development, after 90 days, there was a higher percentage (P < 0.05) of developing follicles only in the control group compared to day 30. The PAM 5% treatment was the only one that affected the cell density in the stroma after 90 days of treatment. Thus, we observed that supplementing the diet with P. aculeata did not pose any risk concerning animal consumption; specifically, there were no toxic reproductive effects observed from adding Pereskia aculeata Miller to the mouse diet.

求助全文
通过发布文献求助,成功后即可免费获取论文全文。 去求助
来源期刊
Animal Reproduction
Animal Reproduction AGRICULTURE, DAIRY & ANIMAL SCIENCE-
CiteScore
2.30
自引率
11.80%
发文量
49
审稿时长
70 days
期刊介绍: Animal Reproduction (AR) publishes original scientific papers and invited literature reviews, in the form of Basic Research, Biotechnology, Applied Research and Review Articles, with the goal of contributing to a better understanding of phenomena related to animal reproduction. The scope of the journal applies to students, researchers and practitioners in the fields of veterinary, biology and animal science, also being of interest to practitioners of human medicine. Animal Reproduction Journal is the official organ of the Brazilian College of Animal Reproduction in Brazil.
×
引用
GB/T 7714-2015
复制
MLA
复制
APA
复制
导出至
BibTeX EndNote RefMan NoteFirst NoteExpress
×
提示
您的信息不完整,为了账户安全,请先补充。
现在去补充
×
提示
您因"违规操作"
具体请查看互助需知
我知道了
×
提示
确定
请完成安全验证×
copy
已复制链接
快去分享给好友吧!
我知道了
右上角分享
点击右上角分享
0
联系我们:info@booksci.cn Book学术提供免费学术资源搜索服务,方便国内外学者检索中英文文献。致力于提供最便捷和优质的服务体验。 Copyright © 2023 布克学术 All rights reserved.
京ICP备2023020795号-1
ghs 京公网安备 11010802042870号
Book学术文献互助
Book学术文献互助群
群 号:604180095
Book学术官方微信