治疗主动脉夹层缺血性脑卒中的血管内机械取栓术:病例报告。

IF 0.6 Q4 CLINICAL NEUROLOGY
Case Reports in Neurology Pub Date : 2024-06-21 eCollection Date: 2024-01-01 DOI:10.1159/000539441
Luis Alberto Cruz-Saavedra, Jeet Patel, Daniel Siragusa, Scott L Silliman
{"title":"治疗主动脉夹层缺血性脑卒中的血管内机械取栓术:病例报告。","authors":"Luis Alberto Cruz-Saavedra, Jeet Patel, Daniel Siragusa, Scott L Silliman","doi":"10.1159/000539441","DOIUrl":null,"url":null,"abstract":"<p><strong>Introduction: </strong>Acute ischemic stroke can occur in the setting of aortic dissection. Information concerning the utility of endovascular mechanical thrombectomy as an intervention for patients with aortic dissection who are experiencing an acute stroke due to large vessel occlusion is limited to a few case reports. Case series of patients presenting with this clinical situation are needed to further investigate the potential utility of this procedure when patients with acute ischemic stroke and aortic dissection are encountered.</p><p><strong>Case presentation: </strong>We report a patient with a chronic Stanford type A aortic dissection with dissection extension into the left common carotid artery and left internal carotid artery who had a good clinical outcome following mechanical thrombectomy for a symptomatic middle cerebral artery occlusion. We also review other cases in which endovascular mechanical thrombectomy was conducted in patients with aortic dissection and acute ischemic stroke and discuss the potential risks and benefits of carotid artery stenting in this clinical situation.</p><p><strong>Conclusion: </strong>The rate of successful arterial recanalization in patients with aortic dissection, large vessel occlusion, and acute ischemic stroke treated with mechanical thrombectomy is high. The intervention has been associated with good neurological outcomes and a low rate of procedure-related complications. Additional case series are needed to help discern if our observations are present in a broader array of patients in order to identify which patients are most likely to benefit from mechanical thrombectomy.</p>","PeriodicalId":9639,"journal":{"name":"Case Reports in Neurology","volume":"16 1","pages":"159-170"},"PeriodicalIF":0.6000,"publicationDate":"2024-06-21","publicationTypes":"Journal Article","fieldsOfStudy":null,"isOpenAccess":false,"openAccessPdf":"https://www.ncbi.nlm.nih.gov/pmc/articles/PMC11249457/pdf/","citationCount":"0","resultStr":"{\"title\":\"Endovascular Mechanical Thrombectomy for Ischemic Stroke Treatment in the Setting of Aortic Dissection: Case Report.\",\"authors\":\"Luis Alberto Cruz-Saavedra, Jeet Patel, Daniel Siragusa, Scott L Silliman\",\"doi\":\"10.1159/000539441\",\"DOIUrl\":null,\"url\":null,\"abstract\":\"<p><strong>Introduction: </strong>Acute ischemic stroke can occur in the setting of aortic dissection. Information concerning the utility of endovascular mechanical thrombectomy as an intervention for patients with aortic dissection who are experiencing an acute stroke due to large vessel occlusion is limited to a few case reports. Case series of patients presenting with this clinical situation are needed to further investigate the potential utility of this procedure when patients with acute ischemic stroke and aortic dissection are encountered.</p><p><strong>Case presentation: </strong>We report a patient with a chronic Stanford type A aortic dissection with dissection extension into the left common carotid artery and left internal carotid artery who had a good clinical outcome following mechanical thrombectomy for a symptomatic middle cerebral artery occlusion. We also review other cases in which endovascular mechanical thrombectomy was conducted in patients with aortic dissection and acute ischemic stroke and discuss the potential risks and benefits of carotid artery stenting in this clinical situation.</p><p><strong>Conclusion: </strong>The rate of successful arterial recanalization in patients with aortic dissection, large vessel occlusion, and acute ischemic stroke treated with mechanical thrombectomy is high. The intervention has been associated with good neurological outcomes and a low rate of procedure-related complications. Additional case series are needed to help discern if our observations are present in a broader array of patients in order to identify which patients are most likely to benefit from mechanical thrombectomy.</p>\",\"PeriodicalId\":9639,\"journal\":{\"name\":\"Case Reports in Neurology\",\"volume\":\"16 1\",\"pages\":\"159-170\"},\"PeriodicalIF\":0.6000,\"publicationDate\":\"2024-06-21\",\"publicationTypes\":\"Journal Article\",\"fieldsOfStudy\":null,\"isOpenAccess\":false,\"openAccessPdf\":\"https://www.ncbi.nlm.nih.gov/pmc/articles/PMC11249457/pdf/\",\"citationCount\":\"0\",\"resultStr\":null,\"platform\":\"Semanticscholar\",\"paperid\":null,\"PeriodicalName\":\"Case Reports in Neurology\",\"FirstCategoryId\":\"1085\",\"ListUrlMain\":\"https://doi.org/10.1159/000539441\",\"RegionNum\":0,\"RegionCategory\":null,\"ArticlePicture\":[],\"TitleCN\":null,\"AbstractTextCN\":null,\"PMCID\":null,\"EPubDate\":\"2024/1/1 0:00:00\",\"PubModel\":\"eCollection\",\"JCR\":\"Q4\",\"JCRName\":\"CLINICAL NEUROLOGY\",\"Score\":null,\"Total\":0}","platform":"Semanticscholar","paperid":null,"PeriodicalName":"Case Reports in Neurology","FirstCategoryId":"1085","ListUrlMain":"https://doi.org/10.1159/000539441","RegionNum":0,"RegionCategory":null,"ArticlePicture":[],"TitleCN":null,"AbstractTextCN":null,"PMCID":null,"EPubDate":"2024/1/1 0:00:00","PubModel":"eCollection","JCR":"Q4","JCRName":"CLINICAL NEUROLOGY","Score":null,"Total":0}
引用次数: 0

摘要

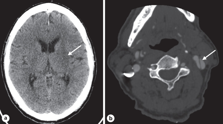
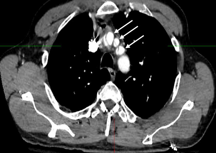
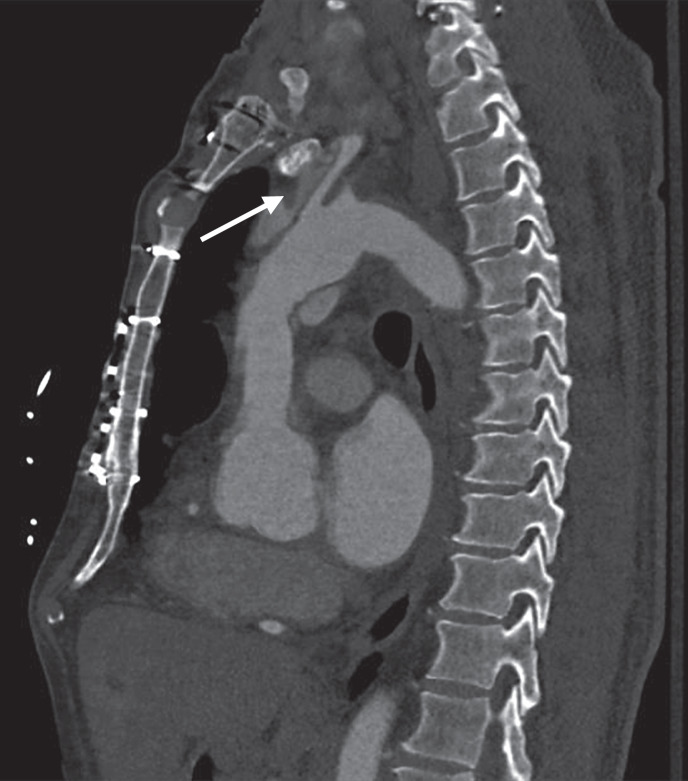
导言:主动脉夹层可导致急性缺血性中风。主动脉夹层患者因大血管闭塞导致急性脑卒中时,血管内机械血栓切除术作为一种干预手段的实用性仅有少数病例报告。需要对出现这种临床情况的患者进行病例系列研究,以进一步探讨这种手术在急性缺血性中风和主动脉夹层患者中的潜在作用:我们报告了一名患有慢性斯坦福A型主动脉夹层且夹层延伸至左侧颈总动脉和左侧颈内动脉的患者,该患者在接受机械取栓术治疗无症状的大脑中动脉闭塞后取得了良好的临床效果。我们还回顾了在主动脉夹层和急性缺血性卒中患者中进行血管内机械血栓切除术的其他病例,并讨论了在这种临床情况下进行颈动脉支架植入术的潜在风险和益处:主动脉夹层、大血管闭塞和急性缺血性卒中患者接受机械性血栓切除术治疗的动脉再通成功率很高。这种介入治疗具有良好的神经功能预后和较低的手术相关并发症发生率。我们需要更多的病例系列来帮助确定我们的观察结果是否存在于更广泛的患者中,从而确定哪些患者最有可能从机械性血栓切除术中获益。
本文章由计算机程序翻译,如有差异,请以英文原文为准。

Endovascular Mechanical Thrombectomy for Ischemic Stroke Treatment in the Setting of Aortic Dissection: Case Report.

Endovascular Mechanical Thrombectomy for Ischemic Stroke Treatment in the Setting of Aortic Dissection: Case Report.

Endovascular Mechanical Thrombectomy for Ischemic Stroke Treatment in the Setting of Aortic Dissection: Case Report.

Endovascular Mechanical Thrombectomy for Ischemic Stroke Treatment in the Setting of Aortic Dissection: Case Report.

Introduction: Acute ischemic stroke can occur in the setting of aortic dissection. Information concerning the utility of endovascular mechanical thrombectomy as an intervention for patients with aortic dissection who are experiencing an acute stroke due to large vessel occlusion is limited to a few case reports. Case series of patients presenting with this clinical situation are needed to further investigate the potential utility of this procedure when patients with acute ischemic stroke and aortic dissection are encountered.

Case presentation: We report a patient with a chronic Stanford type A aortic dissection with dissection extension into the left common carotid artery and left internal carotid artery who had a good clinical outcome following mechanical thrombectomy for a symptomatic middle cerebral artery occlusion. We also review other cases in which endovascular mechanical thrombectomy was conducted in patients with aortic dissection and acute ischemic stroke and discuss the potential risks and benefits of carotid artery stenting in this clinical situation.

Conclusion: The rate of successful arterial recanalization in patients with aortic dissection, large vessel occlusion, and acute ischemic stroke treated with mechanical thrombectomy is high. The intervention has been associated with good neurological outcomes and a low rate of procedure-related complications. Additional case series are needed to help discern if our observations are present in a broader array of patients in order to identify which patients are most likely to benefit from mechanical thrombectomy.

求助全文
通过发布文献求助,成功后即可免费获取论文全文。 去求助
来源期刊
Case Reports in Neurology
Case Reports in Neurology Medicine-Neurology (clinical)
CiteScore
1.50
自引率
0.00%
发文量
67
审稿时长
14 weeks
期刊介绍: This new peer-reviewed online-only journal publishes original case reports covering the entire spectrum of neurology. Clinicians and researchers are given a tool to disseminate their personal experience to a wider public as well as to review interesting cases encountered by colleagues all over the world. To complement the contributions supplementary material is welcomed. The reports are searchable according to the key words supplied by the authors; it will thus be possible to search across the entire growing collection of case reports with universally used terms, further facilitating the retrieval of specific information. Following the open access principle, the entire contents can be retrieved at no charge, guaranteeing easy access to this valuable source of anecdotal information at all times.
×
引用
GB/T 7714-2015
复制
MLA
复制
APA
复制
导出至
BibTeX EndNote RefMan NoteFirst NoteExpress
×
提示
您的信息不完整,为了账户安全,请先补充。
现在去补充
×
提示
您因"违规操作"
具体请查看互助需知
我知道了
×
提示
确定
请完成安全验证×
copy
已复制链接
快去分享给好友吧!
我知道了
右上角分享
点击右上角分享
0
联系我们:info@booksci.cn Book学术提供免费学术资源搜索服务,方便国内外学者检索中英文文献。致力于提供最便捷和优质的服务体验。 Copyright © 2023 布克学术 All rights reserved.
京ICP备2023020795号-1
ghs 京公网安备 11010802042870号
Book学术文献互助
Book学术文献互助群
群 号:604180095
Book学术官方微信