一例罕见的模仿克雅氏症的冠状病毒病 2019 年脑炎病例:病例报告。

IF 0.6 Q4 CLINICAL NEUROLOGY
Case Reports in Neurology Pub Date : 2024-06-13 eCollection Date: 2024-01-01 DOI:10.1159/000539741
Naveenkumar Nallathambi, Shriganesh P Naidu, Yogesh S, Balamanikandan P, Adithyan C, Navvin S, Hariharan Seshadri, Mohanapriya N, Suriya Prakash
{"title":"一例罕见的模仿克雅氏症的冠状病毒病 2019 年脑炎病例:病例报告。","authors":"Naveenkumar Nallathambi, Shriganesh P Naidu, Yogesh S, Balamanikandan P, Adithyan C, Navvin S, Hariharan Seshadri, Mohanapriya N, Suriya Prakash","doi":"10.1159/000539741","DOIUrl":null,"url":null,"abstract":"<p><strong>Introduction: </strong>Coronavirus disease 2019 (COVID-19) encephalitis is characterized by viral entry into the brain, resulting in inflammation and a cascade of neuronal damage. Clinical manifestations include headaches, seizures, and movement disorders. A mortality rate of 20% and infrequent presentation make COVID-19 encephalitis a diagnostic challenge.</p><p><strong>Case presentation: </strong>We hereby present the case of a 55-year-old man with a history of diabetes mellitus (potential impact on COVID-19 severity discussed in the supplementary material) presenting with altered sensorium, swelling in the left eye, and involuntary jerky limb movements. Neurological examination revealed neck rigidity, myoclonic jerks, and an extensor plantar response. Brain magnetic resonance imaging (MRI) was performed, which revealed cortical enhancement in the bifrontal, temporal, and occipital lobes. Rapid progression of myoclonus, altered sensorium, and cortical enhancement on MRI suggested Creutzfeldt-Jacob disease. After a thorough workup, the diagnosis was COVID-19 encephalitis with rhino-orbital mucormycosis. The treatment regimen consisted of adequate glycemic control, remdesivir injection, intravenous and retroorbital liposomal amphotericin, and levetiracetam. The patient's condition improved, and he was eventually discharged.</p><p><strong>Conclusion: </strong>This case illustrates the uncommon presentation of COVID-19 with neurological involvement and emphasizes the value of history-taking, neuroimaging, and cerebrospinal fluid analysis. A high index of suspicion is critical for a prompt diagnosis and initiating therapy.</p>","PeriodicalId":9639,"journal":{"name":"Case Reports in Neurology","volume":"16 1","pages":"180-187"},"PeriodicalIF":0.6000,"publicationDate":"2024-06-13","publicationTypes":"Journal Article","fieldsOfStudy":null,"isOpenAccess":false,"openAccessPdf":"https://www.ncbi.nlm.nih.gov/pmc/articles/PMC11249769/pdf/","citationCount":"0","resultStr":"{\"title\":\"A Rare Case of Coronavirus Disease 2019 Encephalitis Mimicking Creutzfeldt-Jacob Disease in an Immunocompromised Patient: A Case Report.\",\"authors\":\"Naveenkumar Nallathambi, Shriganesh P Naidu, Yogesh S, Balamanikandan P, Adithyan C, Navvin S, Hariharan Seshadri, Mohanapriya N, Suriya Prakash\",\"doi\":\"10.1159/000539741\",\"DOIUrl\":null,\"url\":null,\"abstract\":\"<p><strong>Introduction: </strong>Coronavirus disease 2019 (COVID-19) encephalitis is characterized by viral entry into the brain, resulting in inflammation and a cascade of neuronal damage. Clinical manifestations include headaches, seizures, and movement disorders. A mortality rate of 20% and infrequent presentation make COVID-19 encephalitis a diagnostic challenge.</p><p><strong>Case presentation: </strong>We hereby present the case of a 55-year-old man with a history of diabetes mellitus (potential impact on COVID-19 severity discussed in the supplementary material) presenting with altered sensorium, swelling in the left eye, and involuntary jerky limb movements. Neurological examination revealed neck rigidity, myoclonic jerks, and an extensor plantar response. Brain magnetic resonance imaging (MRI) was performed, which revealed cortical enhancement in the bifrontal, temporal, and occipital lobes. Rapid progression of myoclonus, altered sensorium, and cortical enhancement on MRI suggested Creutzfeldt-Jacob disease. After a thorough workup, the diagnosis was COVID-19 encephalitis with rhino-orbital mucormycosis. The treatment regimen consisted of adequate glycemic control, remdesivir injection, intravenous and retroorbital liposomal amphotericin, and levetiracetam. The patient's condition improved, and he was eventually discharged.</p><p><strong>Conclusion: </strong>This case illustrates the uncommon presentation of COVID-19 with neurological involvement and emphasizes the value of history-taking, neuroimaging, and cerebrospinal fluid analysis. A high index of suspicion is critical for a prompt diagnosis and initiating therapy.</p>\",\"PeriodicalId\":9639,\"journal\":{\"name\":\"Case Reports in Neurology\",\"volume\":\"16 1\",\"pages\":\"180-187\"},\"PeriodicalIF\":0.6000,\"publicationDate\":\"2024-06-13\",\"publicationTypes\":\"Journal Article\",\"fieldsOfStudy\":null,\"isOpenAccess\":false,\"openAccessPdf\":\"https://www.ncbi.nlm.nih.gov/pmc/articles/PMC11249769/pdf/\",\"citationCount\":\"0\",\"resultStr\":null,\"platform\":\"Semanticscholar\",\"paperid\":null,\"PeriodicalName\":\"Case Reports in Neurology\",\"FirstCategoryId\":\"1085\",\"ListUrlMain\":\"https://doi.org/10.1159/000539741\",\"RegionNum\":0,\"RegionCategory\":null,\"ArticlePicture\":[],\"TitleCN\":null,\"AbstractTextCN\":null,\"PMCID\":null,\"EPubDate\":\"2024/1/1 0:00:00\",\"PubModel\":\"eCollection\",\"JCR\":\"Q4\",\"JCRName\":\"CLINICAL NEUROLOGY\",\"Score\":null,\"Total\":0}","platform":"Semanticscholar","paperid":null,"PeriodicalName":"Case Reports in Neurology","FirstCategoryId":"1085","ListUrlMain":"https://doi.org/10.1159/000539741","RegionNum":0,"RegionCategory":null,"ArticlePicture":[],"TitleCN":null,"AbstractTextCN":null,"PMCID":null,"EPubDate":"2024/1/1 0:00:00","PubModel":"eCollection","JCR":"Q4","JCRName":"CLINICAL NEUROLOGY","Score":null,"Total":0}
引用次数: 0

摘要

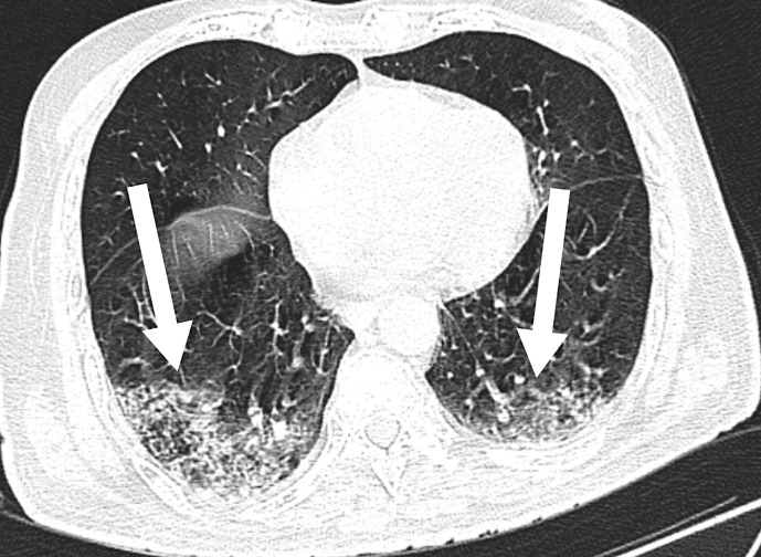
导言:2019年冠状病毒病(COVID-19)脑炎的特点是病毒进入大脑,导致炎症和一连串的神经元损伤。临床表现包括头痛、癫痫发作和运动障碍。COVID-19 脑炎的死亡率为 20%,且不常发病,因此是一种诊断难题:我们在此介绍一例 55 岁的男性病例,他有糖尿病史(补充材料中讨论了对 COVID-19 严重性的潜在影响),表现为感觉改变、左眼肿胀和肢体不自主抽搐运动。神经系统检查发现患者颈部僵硬、肌阵挛性抽搐和足底外展反应。脑磁共振成像(MRI)显示,双额叶、颞叶和枕叶皮质增强。肌阵挛的快速发展、感觉改变和核磁共振成像上的皮质增强提示克雅氏病。经过全面检查,诊断结果为COVID-19脑炎并发鼻眶粘液瘤病。治疗方案包括适当控制血糖、注射雷米替韦、静脉注射和眶后注射脂质体两性霉素以及左乙拉西坦。患者病情有所好转,最终康复出院:本病例说明了 COVID-19 并发神经系统受累的罕见表现,强调了病史采集、神经影像学检查和脑脊液分析的价值。高度怀疑是及时诊断和开始治疗的关键。
本文章由计算机程序翻译,如有差异,请以英文原文为准。

A Rare Case of Coronavirus Disease 2019 Encephalitis Mimicking Creutzfeldt-Jacob Disease in an Immunocompromised Patient: A Case Report.

A Rare Case of Coronavirus Disease 2019 Encephalitis Mimicking Creutzfeldt-Jacob Disease in an Immunocompromised Patient: A Case Report.

A Rare Case of Coronavirus Disease 2019 Encephalitis Mimicking Creutzfeldt-Jacob Disease in an Immunocompromised Patient: A Case Report.

A Rare Case of Coronavirus Disease 2019 Encephalitis Mimicking Creutzfeldt-Jacob Disease in an Immunocompromised Patient: A Case Report.

Introduction: Coronavirus disease 2019 (COVID-19) encephalitis is characterized by viral entry into the brain, resulting in inflammation and a cascade of neuronal damage. Clinical manifestations include headaches, seizures, and movement disorders. A mortality rate of 20% and infrequent presentation make COVID-19 encephalitis a diagnostic challenge.

Case presentation: We hereby present the case of a 55-year-old man with a history of diabetes mellitus (potential impact on COVID-19 severity discussed in the supplementary material) presenting with altered sensorium, swelling in the left eye, and involuntary jerky limb movements. Neurological examination revealed neck rigidity, myoclonic jerks, and an extensor plantar response. Brain magnetic resonance imaging (MRI) was performed, which revealed cortical enhancement in the bifrontal, temporal, and occipital lobes. Rapid progression of myoclonus, altered sensorium, and cortical enhancement on MRI suggested Creutzfeldt-Jacob disease. After a thorough workup, the diagnosis was COVID-19 encephalitis with rhino-orbital mucormycosis. The treatment regimen consisted of adequate glycemic control, remdesivir injection, intravenous and retroorbital liposomal amphotericin, and levetiracetam. The patient's condition improved, and he was eventually discharged.

Conclusion: This case illustrates the uncommon presentation of COVID-19 with neurological involvement and emphasizes the value of history-taking, neuroimaging, and cerebrospinal fluid analysis. A high index of suspicion is critical for a prompt diagnosis and initiating therapy.

求助全文
通过发布文献求助,成功后即可免费获取论文全文。 去求助
来源期刊
Case Reports in Neurology
Case Reports in Neurology Medicine-Neurology (clinical)
CiteScore
1.50
自引率
0.00%
发文量
67
审稿时长
14 weeks
期刊介绍: This new peer-reviewed online-only journal publishes original case reports covering the entire spectrum of neurology. Clinicians and researchers are given a tool to disseminate their personal experience to a wider public as well as to review interesting cases encountered by colleagues all over the world. To complement the contributions supplementary material is welcomed. The reports are searchable according to the key words supplied by the authors; it will thus be possible to search across the entire growing collection of case reports with universally used terms, further facilitating the retrieval of specific information. Following the open access principle, the entire contents can be retrieved at no charge, guaranteeing easy access to this valuable source of anecdotal information at all times.
×
引用
GB/T 7714-2015
复制
MLA
复制
APA
复制
导出至
BibTeX EndNote RefMan NoteFirst NoteExpress
×
提示
您的信息不完整,为了账户安全,请先补充。
现在去补充
×
提示
您因"违规操作"
具体请查看互助需知
我知道了
×
提示
确定
请完成安全验证×
copy
已复制链接
快去分享给好友吧!
我知道了
右上角分享
点击右上角分享
0
联系我们:info@booksci.cn Book学术提供免费学术资源搜索服务,方便国内外学者检索中英文文献。致力于提供最便捷和优质的服务体验。 Copyright © 2023 布克学术 All rights reserved.
京ICP备2023020795号-1
ghs 京公网安备 11010802042870号
Book学术文献互助
Book学术文献互助群
群 号:604180095
Book学术官方微信