Janus 激酶抑制剂作为杜匹单抗诱发的银屑病的成功替代治疗方案。

IF 0.8 Q4 DERMATOLOGY
Case Reports in Dermatology Pub Date : 2024-06-17 eCollection Date: 2024-01-01 DOI:10.1159/000539124
Lina Weiss, Corinne Punsap Marbet, Lorenzo Barino Branca, Beda Mühleisen, Alexander Navarini
{"title":"Janus 激酶抑制剂作为杜匹单抗诱发的银屑病的成功替代治疗方案。","authors":"Lina Weiss, Corinne Punsap Marbet, Lorenzo Barino Branca, Beda Mühleisen, Alexander Navarini","doi":"10.1159/000539124","DOIUrl":null,"url":null,"abstract":"<p><strong>Introduction: </strong>After the introduction of dupilumab as systemic treatment for atopic dermatitis, an increasing number of patients have been successfully treated. However, reports of patients developing psoriasis as a secondary skin condition have been accumulating. The most likely reason is assumed to be an immune shift from Th2- to Th1-mediated auto-inflammatory processes.</p><p><strong>Case presentation: </strong>Our patient is a 38-year-old male suffering from head-neck type atopic dermatitis since childhood. As one of the first patients in Switzerland, he received dupilumab in 2018 leading to a significant improvement of his skin lesions. One year later he developed progressing circular erythematous-squamous plaques which correlated histologically with psoriasis. In 2021, 3 years after initiating dupilumab, we switched systemic therapy to baricitinib. Three months after initiation, his psoriatic lesions were completely healed, while the atopic lesions remained stable with low inflammatory activity.</p><p><strong>Conclusion: </strong>In patients treated with dupilumab for atopic dermatitis immune shift needs to be considered in case of newly appearing skin lesions. With a growing number of described cases, we conclude that baricitinib is a good alternative treatment for atopic dermatitis in patients suffering from biologic-induced psoriasis.</p>","PeriodicalId":9619,"journal":{"name":"Case Reports in Dermatology","volume":"16 1","pages":"144-148"},"PeriodicalIF":0.8000,"publicationDate":"2024-06-17","publicationTypes":"Journal Article","fieldsOfStudy":null,"isOpenAccess":false,"openAccessPdf":"https://www.ncbi.nlm.nih.gov/pmc/articles/PMC11250620/pdf/","citationCount":"0","resultStr":"{\"title\":\"Janus Kinase Inhibitors as Successful Treatment Alternative in Dupilumab-Induced Psoriasis.\",\"authors\":\"Lina Weiss, Corinne Punsap Marbet, Lorenzo Barino Branca, Beda Mühleisen, Alexander Navarini\",\"doi\":\"10.1159/000539124\",\"DOIUrl\":null,\"url\":null,\"abstract\":\"<p><strong>Introduction: </strong>After the introduction of dupilumab as systemic treatment for atopic dermatitis, an increasing number of patients have been successfully treated. However, reports of patients developing psoriasis as a secondary skin condition have been accumulating. The most likely reason is assumed to be an immune shift from Th2- to Th1-mediated auto-inflammatory processes.</p><p><strong>Case presentation: </strong>Our patient is a 38-year-old male suffering from head-neck type atopic dermatitis since childhood. As one of the first patients in Switzerland, he received dupilumab in 2018 leading to a significant improvement of his skin lesions. One year later he developed progressing circular erythematous-squamous plaques which correlated histologically with psoriasis. In 2021, 3 years after initiating dupilumab, we switched systemic therapy to baricitinib. Three months after initiation, his psoriatic lesions were completely healed, while the atopic lesions remained stable with low inflammatory activity.</p><p><strong>Conclusion: </strong>In patients treated with dupilumab for atopic dermatitis immune shift needs to be considered in case of newly appearing skin lesions. With a growing number of described cases, we conclude that baricitinib is a good alternative treatment for atopic dermatitis in patients suffering from biologic-induced psoriasis.</p>\",\"PeriodicalId\":9619,\"journal\":{\"name\":\"Case Reports in Dermatology\",\"volume\":\"16 1\",\"pages\":\"144-148\"},\"PeriodicalIF\":0.8000,\"publicationDate\":\"2024-06-17\",\"publicationTypes\":\"Journal Article\",\"fieldsOfStudy\":null,\"isOpenAccess\":false,\"openAccessPdf\":\"https://www.ncbi.nlm.nih.gov/pmc/articles/PMC11250620/pdf/\",\"citationCount\":\"0\",\"resultStr\":null,\"platform\":\"Semanticscholar\",\"paperid\":null,\"PeriodicalName\":\"Case Reports in Dermatology\",\"FirstCategoryId\":\"1085\",\"ListUrlMain\":\"https://doi.org/10.1159/000539124\",\"RegionNum\":0,\"RegionCategory\":null,\"ArticlePicture\":[],\"TitleCN\":null,\"AbstractTextCN\":null,\"PMCID\":null,\"EPubDate\":\"2024/1/1 0:00:00\",\"PubModel\":\"eCollection\",\"JCR\":\"Q4\",\"JCRName\":\"DERMATOLOGY\",\"Score\":null,\"Total\":0}","platform":"Semanticscholar","paperid":null,"PeriodicalName":"Case Reports in Dermatology","FirstCategoryId":"1085","ListUrlMain":"https://doi.org/10.1159/000539124","RegionNum":0,"RegionCategory":null,"ArticlePicture":[],"TitleCN":null,"AbstractTextCN":null,"PMCID":null,"EPubDate":"2024/1/1 0:00:00","PubModel":"eCollection","JCR":"Q4","JCRName":"DERMATOLOGY","Score":null,"Total":0}
引用次数: 0

摘要

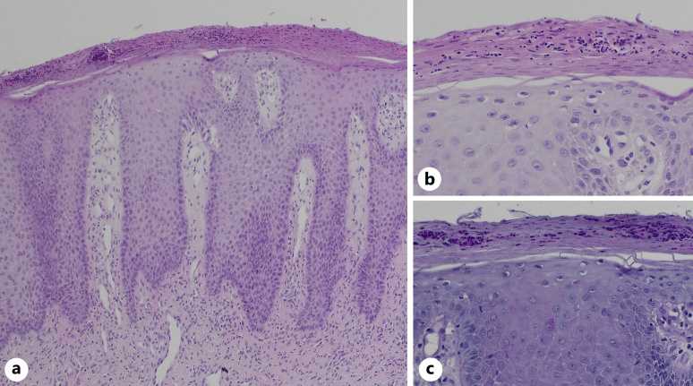
简介杜必鲁单抗作为特应性皮炎的全身治疗药物问世后,越来越多的患者获得了成功治疗。然而,有关患者继发银屑病的报道却越来越多。最可能的原因被认为是从 Th2 介导的自身炎症过程向 Th1 介导的自身炎症过程的免疫转变:我们的患者是一名 38 岁的男性,从小就患有头颈部特应性皮炎。作为瑞士首批患者之一,他于 2018 年接受了杜匹单抗治疗,皮损得到显著改善。一年后,他出现了进展性环状红斑鳞屑性斑块,组织学上与银屑病相关。2021 年,在开始使用杜必鲁单抗 3 年后,我们将全身治疗改为巴利昔替尼。开始治疗三个月后,他的银屑病皮损完全愈合,而特应性皮损保持稳定,炎症活动较低:结论:使用杜匹单抗治疗特应性皮炎的患者如果出现新的皮损,需要考虑免疫转移。随着描述的病例越来越多,我们认为巴利昔尼是治疗生物诱导型银屑病患者特应性皮炎的一种很好的替代疗法。
本文章由计算机程序翻译,如有差异,请以英文原文为准。

Janus Kinase Inhibitors as Successful Treatment Alternative in Dupilumab-Induced Psoriasis.

Janus Kinase Inhibitors as Successful Treatment Alternative in Dupilumab-Induced Psoriasis.

Janus Kinase Inhibitors as Successful Treatment Alternative in Dupilumab-Induced Psoriasis.

Introduction: After the introduction of dupilumab as systemic treatment for atopic dermatitis, an increasing number of patients have been successfully treated. However, reports of patients developing psoriasis as a secondary skin condition have been accumulating. The most likely reason is assumed to be an immune shift from Th2- to Th1-mediated auto-inflammatory processes.

Case presentation: Our patient is a 38-year-old male suffering from head-neck type atopic dermatitis since childhood. As one of the first patients in Switzerland, he received dupilumab in 2018 leading to a significant improvement of his skin lesions. One year later he developed progressing circular erythematous-squamous plaques which correlated histologically with psoriasis. In 2021, 3 years after initiating dupilumab, we switched systemic therapy to baricitinib. Three months after initiation, his psoriatic lesions were completely healed, while the atopic lesions remained stable with low inflammatory activity.

Conclusion: In patients treated with dupilumab for atopic dermatitis immune shift needs to be considered in case of newly appearing skin lesions. With a growing number of described cases, we conclude that baricitinib is a good alternative treatment for atopic dermatitis in patients suffering from biologic-induced psoriasis.

求助全文
通过发布文献求助,成功后即可免费获取论文全文。 去求助
来源期刊
CiteScore
1.60
自引率
0.00%
发文量
57
审稿时长
9 weeks
×
引用
GB/T 7714-2015
复制
MLA
复制
APA
复制
导出至
BibTeX EndNote RefMan NoteFirst NoteExpress
×
提示
您的信息不完整,为了账户安全,请先补充。
现在去补充
×
提示
您因"违规操作"
具体请查看互助需知
我知道了
×
提示
确定
请完成安全验证×
copy
已复制链接
快去分享给好友吧!
我知道了
右上角分享
点击右上角分享
0
联系我们:info@booksci.cn Book学术提供免费学术资源搜索服务,方便国内外学者检索中英文文献。致力于提供最便捷和优质的服务体验。 Copyright © 2023 布克学术 All rights reserved.
京ICP备2023020795号-1
ghs 京公网安备 11010802042870号
Book学术文献互助
Book学术文献互助群
群 号:604180095
Book学术官方微信