15厘米巨大的他莫昔芬相关子宫内膜息肉伴有便秘:病例报告和文献综述。

IF 0.8 Q4 OBSTETRICS & GYNECOLOGY
Case Reports in Obstetrics and Gynecology Pub Date : 2024-07-08 eCollection Date: 2024-01-01 DOI:10.1155/2024/9826447
Sompon Apornvirat, Komsun Suwannarurk
{"title":"15厘米巨大的他莫昔芬相关子宫内膜息肉伴有便秘:病例报告和文献综述。","authors":"Sompon Apornvirat, Komsun Suwannarurk","doi":"10.1155/2024/9826447","DOIUrl":null,"url":null,"abstract":"<p><p>Endometrial polyps are benign disorganized growth of endometrial glands and stroma in the uterine cavity. They are associated with subfertility, abnormal uterine bleeding, and tamoxifen use. While most polyps are smaller than 2 cm in size, rare giant polyps can cause concerns over malignancy. We report a case of a 15 cm giant endometrial polyp in a 58-year-old woman with a history of tamoxifen use who presented with an uncommon complaint of constipation. Additionally, a literature review of giant endometrial polyp cases is presented. This case represents the largest reported endometrial polyp to date.</p>","PeriodicalId":9610,"journal":{"name":"Case Reports in Obstetrics and Gynecology","volume":"2024 ","pages":"9826447"},"PeriodicalIF":0.8000,"publicationDate":"2024-07-08","publicationTypes":"Journal Article","fieldsOfStudy":null,"isOpenAccess":false,"openAccessPdf":"https://www.ncbi.nlm.nih.gov/pmc/articles/PMC11250697/pdf/","citationCount":"0","resultStr":"{\"title\":\"Fifteen-Centimeter Giant Tamoxifen-Associated Endometrial Polyp Presenting With Constipation: A Case Report and Review of the Literature.\",\"authors\":\"Sompon Apornvirat, Komsun Suwannarurk\",\"doi\":\"10.1155/2024/9826447\",\"DOIUrl\":null,\"url\":null,\"abstract\":\"<p><p>Endometrial polyps are benign disorganized growth of endometrial glands and stroma in the uterine cavity. They are associated with subfertility, abnormal uterine bleeding, and tamoxifen use. While most polyps are smaller than 2 cm in size, rare giant polyps can cause concerns over malignancy. We report a case of a 15 cm giant endometrial polyp in a 58-year-old woman with a history of tamoxifen use who presented with an uncommon complaint of constipation. Additionally, a literature review of giant endometrial polyp cases is presented. This case represents the largest reported endometrial polyp to date.</p>\",\"PeriodicalId\":9610,\"journal\":{\"name\":\"Case Reports in Obstetrics and Gynecology\",\"volume\":\"2024 \",\"pages\":\"9826447\"},\"PeriodicalIF\":0.8000,\"publicationDate\":\"2024-07-08\",\"publicationTypes\":\"Journal Article\",\"fieldsOfStudy\":null,\"isOpenAccess\":false,\"openAccessPdf\":\"https://www.ncbi.nlm.nih.gov/pmc/articles/PMC11250697/pdf/\",\"citationCount\":\"0\",\"resultStr\":null,\"platform\":\"Semanticscholar\",\"paperid\":null,\"PeriodicalName\":\"Case Reports in Obstetrics and Gynecology\",\"FirstCategoryId\":\"1085\",\"ListUrlMain\":\"https://doi.org/10.1155/2024/9826447\",\"RegionNum\":0,\"RegionCategory\":null,\"ArticlePicture\":[],\"TitleCN\":null,\"AbstractTextCN\":null,\"PMCID\":null,\"EPubDate\":\"2024/1/1 0:00:00\",\"PubModel\":\"eCollection\",\"JCR\":\"Q4\",\"JCRName\":\"OBSTETRICS & GYNECOLOGY\",\"Score\":null,\"Total\":0}","platform":"Semanticscholar","paperid":null,"PeriodicalName":"Case Reports in Obstetrics and Gynecology","FirstCategoryId":"1085","ListUrlMain":"https://doi.org/10.1155/2024/9826447","RegionNum":0,"RegionCategory":null,"ArticlePicture":[],"TitleCN":null,"AbstractTextCN":null,"PMCID":null,"EPubDate":"2024/1/1 0:00:00","PubModel":"eCollection","JCR":"Q4","JCRName":"OBSTETRICS & GYNECOLOGY","Score":null,"Total":0}
引用次数: 0

摘要

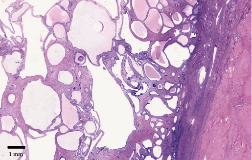
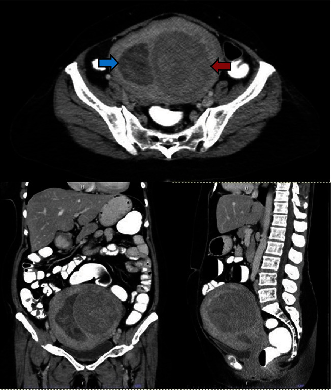
子宫内膜息肉是子宫内膜腺体和基质在子宫腔内无序生长的良性肿瘤。它们与不孕症、异常子宫出血和使用他莫昔芬有关。虽然大多数息肉的大小小于 2 厘米,但罕见的巨大息肉会引起恶性肿瘤的担忧。我们报告了一例 58 岁女性的 15 厘米巨大子宫内膜息肉病例,该女性有服用他莫昔芬的病史,并以便秘为常见主诉。此外,我们还对巨型子宫内膜息肉病例进行了文献综述。该病例是迄今为止报告的最大的子宫内膜息肉。
本文章由计算机程序翻译,如有差异,请以英文原文为准。

Fifteen-Centimeter Giant Tamoxifen-Associated Endometrial Polyp Presenting With Constipation: A Case Report and Review of the Literature.

Fifteen-Centimeter Giant Tamoxifen-Associated Endometrial Polyp Presenting With Constipation: A Case Report and Review of the Literature.

Fifteen-Centimeter Giant Tamoxifen-Associated Endometrial Polyp Presenting With Constipation: A Case Report and Review of the Literature.

Fifteen-Centimeter Giant Tamoxifen-Associated Endometrial Polyp Presenting With Constipation: A Case Report and Review of the Literature.

Endometrial polyps are benign disorganized growth of endometrial glands and stroma in the uterine cavity. They are associated with subfertility, abnormal uterine bleeding, and tamoxifen use. While most polyps are smaller than 2 cm in size, rare giant polyps can cause concerns over malignancy. We report a case of a 15 cm giant endometrial polyp in a 58-year-old woman with a history of tamoxifen use who presented with an uncommon complaint of constipation. Additionally, a literature review of giant endometrial polyp cases is presented. This case represents the largest reported endometrial polyp to date.

求助全文
通过发布文献求助,成功后即可免费获取论文全文。 去求助
来源期刊
Case Reports in Obstetrics and Gynecology
Case Reports in Obstetrics and Gynecology Medicine-Obstetrics and Gynecology
CiteScore
1.30
自引率
0.00%
发文量
64
审稿时长
12 weeks
×
引用
GB/T 7714-2015
复制
MLA
复制
APA
复制
导出至
BibTeX EndNote RefMan NoteFirst NoteExpress
×
提示
您的信息不完整,为了账户安全,请先补充。
现在去补充
×
提示
您因"违规操作"
具体请查看互助需知
我知道了
×
提示
确定
请完成安全验证×
copy
已复制链接
快去分享给好友吧!
我知道了
右上角分享
点击右上角分享
0
联系我们:info@booksci.cn Book学术提供免费学术资源搜索服务,方便国内外学者检索中英文文献。致力于提供最便捷和优质的服务体验。 Copyright © 2023 布克学术 All rights reserved.
京ICP备2023020795号-1
ghs 京公网安备 11010802042870号
Book学术文献互助
Book学术文献互助群
群 号:604180095
Book学术官方微信