保留脾脏的胰腺远端切除术后诊断出胰腺癌的临床过程:两例病例报告。

Korean journal of clinical oncology Pub Date : 2024-05-01 Epub Date: 2024-06-30 DOI:10.14216/kjco.24006
Byeong Gwan Noh, Hyung Il Seo, Young Mok Park
{"title":"保留脾脏的胰腺远端切除术后诊断出胰腺癌的临床过程:两例病例报告。","authors":"Byeong Gwan Noh, Hyung Il Seo, Young Mok Park","doi":"10.14216/kjco.24006","DOIUrl":null,"url":null,"abstract":"<p><p>Distal pancreatectomy with splenectomy is considered the standard operation for pancreas tail and body cancer. However, splenectomy may be option for benign or low-grade malignant tumors including mucinous cystadenoma and intraductal papillary mucinous neoplasm. If spleen-preserving distal pancreatectomy (SPDP) with borderline lesion is performed and pancreas cancer is diagnosed on postoperative pathologic finding, if it is R0 resection, the necessity of additional splenectomy remains questionable. The authors would like report two clinical cases diagnosed as pancreatic cancer on postoperative pathology after SPDP and under observation without additional splenectomy.</p>","PeriodicalId":74045,"journal":{"name":"Korean journal of clinical oncology","volume":"20 1","pages":"36-40"},"PeriodicalIF":0.0000,"publicationDate":"2024-05-01","publicationTypes":"Journal Article","fieldsOfStudy":null,"isOpenAccess":false,"openAccessPdf":"https://www.ncbi.nlm.nih.gov/pmc/articles/PMC11261176/pdf/","citationCount":"0","resultStr":"{\"title\":\"Clinical course of pancreas cancer diagnosed after spleen-preserving distal pancreatectomy with borderline lesion: two case reports.\",\"authors\":\"Byeong Gwan Noh, Hyung Il Seo, Young Mok Park\",\"doi\":\"10.14216/kjco.24006\",\"DOIUrl\":null,\"url\":null,\"abstract\":\"<p><p>Distal pancreatectomy with splenectomy is considered the standard operation for pancreas tail and body cancer. However, splenectomy may be option for benign or low-grade malignant tumors including mucinous cystadenoma and intraductal papillary mucinous neoplasm. If spleen-preserving distal pancreatectomy (SPDP) with borderline lesion is performed and pancreas cancer is diagnosed on postoperative pathologic finding, if it is R0 resection, the necessity of additional splenectomy remains questionable. The authors would like report two clinical cases diagnosed as pancreatic cancer on postoperative pathology after SPDP and under observation without additional splenectomy.</p>\",\"PeriodicalId\":74045,\"journal\":{\"name\":\"Korean journal of clinical oncology\",\"volume\":\"20 1\",\"pages\":\"36-40\"},\"PeriodicalIF\":0.0000,\"publicationDate\":\"2024-05-01\",\"publicationTypes\":\"Journal Article\",\"fieldsOfStudy\":null,\"isOpenAccess\":false,\"openAccessPdf\":\"https://www.ncbi.nlm.nih.gov/pmc/articles/PMC11261176/pdf/\",\"citationCount\":\"0\",\"resultStr\":null,\"platform\":\"Semanticscholar\",\"paperid\":null,\"PeriodicalName\":\"Korean journal of clinical oncology\",\"FirstCategoryId\":\"1085\",\"ListUrlMain\":\"https://doi.org/10.14216/kjco.24006\",\"RegionNum\":0,\"RegionCategory\":null,\"ArticlePicture\":[],\"TitleCN\":null,\"AbstractTextCN\":null,\"PMCID\":null,\"EPubDate\":\"2024/6/30 0:00:00\",\"PubModel\":\"Epub\",\"JCR\":\"\",\"JCRName\":\"\",\"Score\":null,\"Total\":0}","platform":"Semanticscholar","paperid":null,"PeriodicalName":"Korean journal of clinical oncology","FirstCategoryId":"1085","ListUrlMain":"https://doi.org/10.14216/kjco.24006","RegionNum":0,"RegionCategory":null,"ArticlePicture":[],"TitleCN":null,"AbstractTextCN":null,"PMCID":null,"EPubDate":"2024/6/30 0:00:00","PubModel":"Epub","JCR":"","JCRName":"","Score":null,"Total":0}
引用次数: 0

摘要

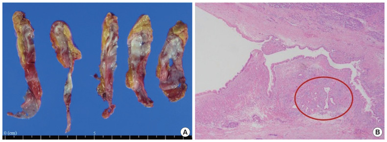
胰腺远端切除加脾切除术被认为是治疗胰腺尾癌和胰体癌的标准手术。不过,良性或低度恶性肿瘤(包括粘液性囊腺瘤和导管内乳头状粘液瘤)可选择脾切除术。如果进行了边界病变的保脾胰腺远端切除术(SPDP),术后病理结果确诊为胰腺癌,如果是 R0 切除术,是否有必要进行额外的脾切除术仍值得商榷。作者希望报告两例在 SPDP 术后病理诊断为胰腺癌的临床病例,在观察期间没有进行额外的脾切除术。
本文章由计算机程序翻译,如有差异,请以英文原文为准。

Clinical course of pancreas cancer diagnosed after spleen-preserving distal pancreatectomy with borderline lesion: two case reports.

Clinical course of pancreas cancer diagnosed after spleen-preserving distal pancreatectomy with borderline lesion: two case reports.

Clinical course of pancreas cancer diagnosed after spleen-preserving distal pancreatectomy with borderline lesion: two case reports.

Clinical course of pancreas cancer diagnosed after spleen-preserving distal pancreatectomy with borderline lesion: two case reports.

Distal pancreatectomy with splenectomy is considered the standard operation for pancreas tail and body cancer. However, splenectomy may be option for benign or low-grade malignant tumors including mucinous cystadenoma and intraductal papillary mucinous neoplasm. If spleen-preserving distal pancreatectomy (SPDP) with borderline lesion is performed and pancreas cancer is diagnosed on postoperative pathologic finding, if it is R0 resection, the necessity of additional splenectomy remains questionable. The authors would like report two clinical cases diagnosed as pancreatic cancer on postoperative pathology after SPDP and under observation without additional splenectomy.

求助全文
通过发布文献求助,成功后即可免费获取论文全文。 去求助
来源期刊
自引率
0.00%
发文量
0
×
引用
GB/T 7714-2015
复制
MLA
复制
APA
复制
导出至
BibTeX EndNote RefMan NoteFirst NoteExpress
×
提示
您的信息不完整,为了账户安全,请先补充。
现在去补充
×
提示
您因"违规操作"
具体请查看互助需知
我知道了
×
提示
确定
请完成安全验证×
copy
已复制链接
快去分享给好友吧!
我知道了
右上角分享
点击右上角分享
0
联系我们:info@booksci.cn Book学术提供免费学术资源搜索服务,方便国内外学者检索中英文文献。致力于提供最便捷和优质的服务体验。 Copyright © 2023 布克学术 All rights reserved.
京ICP备2023020795号-1
ghs 京公网安备 11010802042870号
Book学术文献互助
Book学术文献互助群
群 号:604180095
Book学术官方微信