两例难治性肌阵挛性癫痫患者的大脑叶酸转运缺陷。

Journal of epilepsy research Pub Date : 2024-06-30 eCollection Date: 2024-06-01 DOI:10.14581/jer.24005
Marian Y Girgis, Eman Mahfouz, Alshaimaa Abdellatif, Farah Taha, Walaa ElNaggar
{"title":"两例难治性肌阵挛性癫痫患者的大脑叶酸转运缺陷。","authors":"Marian Y Girgis, Eman Mahfouz, Alshaimaa Abdellatif, Farah Taha, Walaa ElNaggar","doi":"10.14581/jer.24005","DOIUrl":null,"url":null,"abstract":"<p><p>Cerebral folate transport deficiency due to folate receptor 1 gene (FOLR1) gene mutation results from impaired folate transport across the blood: choroidplexus: cerebrospinal fluid (CSF) barrier. This leads to low CSF 5-methyltetrahydrofolate, the active folate metabolite. We are reporting two children with this treatable cerebral folate transport deficiency. Eight years and 9-month-old female presented with delayed milestones followed by regression, seizures, and intention tremors. On examination child had microcephaly, generalized hypotonia, hyperreflexia, unsteady gait, and incoordination. Magnetic resonance imaging (MRI) of brain revealed dilated ventricular system and cerebellar atrophy. Computed tomography (CT) of brain showed brain calcifications. Whole exome sequencing was finally performed, revealing homozygous nonsense pathogenic variant in FOLR1 gene in exon 3 c.C382T p.R128W, confirming the diagnosis of cerebral folate deficiency. Twelve-year-old female child presented with global developmental delay since birth, myoclonic jerks and cognitive regression. Child had generalized hypotonia and hyperreflexia. Her coordination was markedly affected with intention tremors andunbalanced gait. CT brain showed bilateral basal ganglia and periventricular calcifications with brain atrophic changes. MRI brain showed a prominent cerebellar folia with mild brain atrophic changes. Genetic testing showed a homozygous pathogenic variant was identified in FOLR1 C.327_328 delinsAC, p.Cys109Ter. Both patients were started on intramuscular folinic acid injections with a decrease in seizure frequency. However, their seizures did not stop completely due to late initiation of therapy. In conclusion, cerebral folate transport deficiency should be suspected in every child with global developmental delay, intractable myoclonic epilepsy, ataxia with neuroimaging suggesting cerebellar atrophy and brain calcifications. Response to folinic acid supplementation is partial if diagnosed late and treatment initiation is delayed.</p>","PeriodicalId":73741,"journal":{"name":"Journal of epilepsy research","volume":"14 1","pages":"29-36"},"PeriodicalIF":0.0000,"publicationDate":"2024-06-30","publicationTypes":"Journal Article","fieldsOfStudy":null,"isOpenAccess":false,"openAccessPdf":"https://www.ncbi.nlm.nih.gov/pmc/articles/PMC11227922/pdf/","citationCount":"0","resultStr":"{\"title\":\"Cerebral Folate Transport Deficiency in 2 Cases with Intractable Myoclonic Epilepsy.\",\"authors\":\"Marian Y Girgis, Eman Mahfouz, Alshaimaa Abdellatif, Farah Taha, Walaa ElNaggar\",\"doi\":\"10.14581/jer.24005\",\"DOIUrl\":null,\"url\":null,\"abstract\":\"<p><p>Cerebral folate transport deficiency due to folate receptor 1 gene (FOLR1) gene mutation results from impaired folate transport across the blood: choroidplexus: cerebrospinal fluid (CSF) barrier. This leads to low CSF 5-methyltetrahydrofolate, the active folate metabolite. We are reporting two children with this treatable cerebral folate transport deficiency. Eight years and 9-month-old female presented with delayed milestones followed by regression, seizures, and intention tremors. On examination child had microcephaly, generalized hypotonia, hyperreflexia, unsteady gait, and incoordination. Magnetic resonance imaging (MRI) of brain revealed dilated ventricular system and cerebellar atrophy. Computed tomography (CT) of brain showed brain calcifications. Whole exome sequencing was finally performed, revealing homozygous nonsense pathogenic variant in FOLR1 gene in exon 3 c.C382T p.R128W, confirming the diagnosis of cerebral folate deficiency. Twelve-year-old female child presented with global developmental delay since birth, myoclonic jerks and cognitive regression. Child had generalized hypotonia and hyperreflexia. Her coordination was markedly affected with intention tremors andunbalanced gait. CT brain showed bilateral basal ganglia and periventricular calcifications with brain atrophic changes. MRI brain showed a prominent cerebellar folia with mild brain atrophic changes. Genetic testing showed a homozygous pathogenic variant was identified in FOLR1 C.327_328 delinsAC, p.Cys109Ter. Both patients were started on intramuscular folinic acid injections with a decrease in seizure frequency. However, their seizures did not stop completely due to late initiation of therapy. In conclusion, cerebral folate transport deficiency should be suspected in every child with global developmental delay, intractable myoclonic epilepsy, ataxia with neuroimaging suggesting cerebellar atrophy and brain calcifications. Response to folinic acid supplementation is partial if diagnosed late and treatment initiation is delayed.</p>\",\"PeriodicalId\":73741,\"journal\":{\"name\":\"Journal of epilepsy research\",\"volume\":\"14 1\",\"pages\":\"29-36\"},\"PeriodicalIF\":0.0000,\"publicationDate\":\"2024-06-30\",\"publicationTypes\":\"Journal Article\",\"fieldsOfStudy\":null,\"isOpenAccess\":false,\"openAccessPdf\":\"https://www.ncbi.nlm.nih.gov/pmc/articles/PMC11227922/pdf/\",\"citationCount\":\"0\",\"resultStr\":null,\"platform\":\"Semanticscholar\",\"paperid\":null,\"PeriodicalName\":\"Journal of epilepsy research\",\"FirstCategoryId\":\"1085\",\"ListUrlMain\":\"https://doi.org/10.14581/jer.24005\",\"RegionNum\":0,\"RegionCategory\":null,\"ArticlePicture\":[],\"TitleCN\":null,\"AbstractTextCN\":null,\"PMCID\":null,\"EPubDate\":\"2024/6/1 0:00:00\",\"PubModel\":\"eCollection\",\"JCR\":\"\",\"JCRName\":\"\",\"Score\":null,\"Total\":0}","platform":"Semanticscholar","paperid":null,"PeriodicalName":"Journal of epilepsy research","FirstCategoryId":"1085","ListUrlMain":"https://doi.org/10.14581/jer.24005","RegionNum":0,"RegionCategory":null,"ArticlePicture":[],"TitleCN":null,"AbstractTextCN":null,"PMCID":null,"EPubDate":"2024/6/1 0:00:00","PubModel":"eCollection","JCR":"","JCRName":"","Score":null,"Total":0}
引用次数: 0

摘要

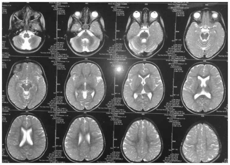
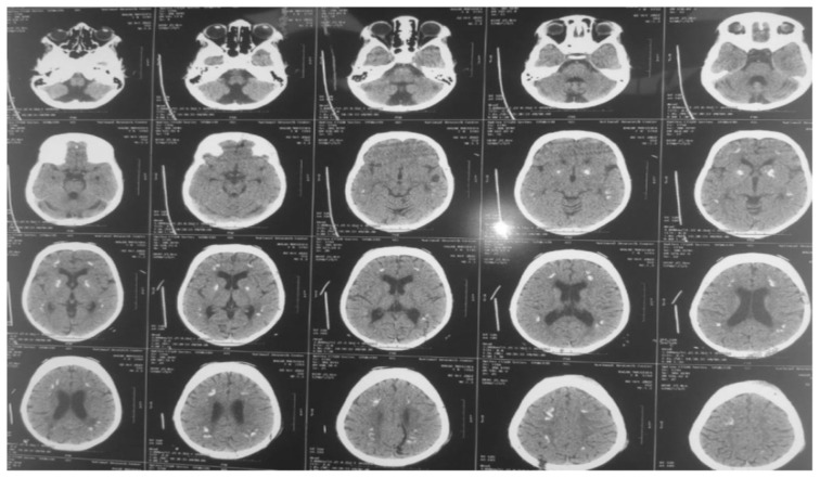
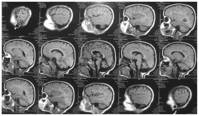
叶酸受体 1 基因(FOLR1)突变导致的脑叶酸转运缺陷,是由于叶酸通过血液:脉络膜:脑脊液(CSF)屏障的转运功能受损所致。这导致脑脊液中活性叶酸代谢物 5-甲基四氢叶酸含量偏低。我们报告了两名患有这种可治疗的脑叶酸转运缺乏症的儿童。八岁零九个月大的女婴发育迟缓,随后出现退步、癫痫发作和意向性震颤。经检查,患儿有小头畸形、全身肌张力低下、反射亢进、步态不稳和不协调等症状。脑部磁共振成像(MRI)显示脑室系统扩张和小脑萎缩。脑部计算机断层扫描(CT)显示脑部钙化。最后进行了全外显子测序,发现FOLR1基因第3外显子c.C382T p.R128W存在同型无义致病变异,确诊为脑叶酸缺乏症。12岁的女患儿自出生后就出现全面发育迟缓、肌阵挛性抽搐和认知能力退化。患儿全身肌张力低下,反射亢进。她的协调能力明显受到影响,并伴有意向性震颤和步态不平衡。脑部 CT 显示双侧基底节和脑室周围钙化,并伴有脑萎缩病变。脑部核磁共振成像显示小脑叶突出,伴有轻度脑萎缩病变。基因检测显示,在 FOLR1 C.327_328 delinsAC, p.Cys109Ter 中发现了一个同卵致病变体。两名患者开始肌肉注射亚叶酸,癫痫发作频率有所下降。然而,由于开始治疗较晚,他们的癫痫发作并没有完全停止。总之,如果患儿出现全面发育迟缓、顽固性肌阵挛性癫痫、共济失调并伴有神经影像学提示的小脑萎缩和脑钙化,则应怀疑其脑叶酸转运缺乏症。如果诊断较晚且治疗启动延迟,则对补充亚叶酸的反应是部分的。
本文章由计算机程序翻译,如有差异,请以英文原文为准。

Cerebral Folate Transport Deficiency in 2 Cases with Intractable Myoclonic Epilepsy.

Cerebral Folate Transport Deficiency in 2 Cases with Intractable Myoclonic Epilepsy.

Cerebral Folate Transport Deficiency in 2 Cases with Intractable Myoclonic Epilepsy.

Cerebral Folate Transport Deficiency in 2 Cases with Intractable Myoclonic Epilepsy.

Cerebral folate transport deficiency due to folate receptor 1 gene (FOLR1) gene mutation results from impaired folate transport across the blood: choroidplexus: cerebrospinal fluid (CSF) barrier. This leads to low CSF 5-methyltetrahydrofolate, the active folate metabolite. We are reporting two children with this treatable cerebral folate transport deficiency. Eight years and 9-month-old female presented with delayed milestones followed by regression, seizures, and intention tremors. On examination child had microcephaly, generalized hypotonia, hyperreflexia, unsteady gait, and incoordination. Magnetic resonance imaging (MRI) of brain revealed dilated ventricular system and cerebellar atrophy. Computed tomography (CT) of brain showed brain calcifications. Whole exome sequencing was finally performed, revealing homozygous nonsense pathogenic variant in FOLR1 gene in exon 3 c.C382T p.R128W, confirming the diagnosis of cerebral folate deficiency. Twelve-year-old female child presented with global developmental delay since birth, myoclonic jerks and cognitive regression. Child had generalized hypotonia and hyperreflexia. Her coordination was markedly affected with intention tremors andunbalanced gait. CT brain showed bilateral basal ganglia and periventricular calcifications with brain atrophic changes. MRI brain showed a prominent cerebellar folia with mild brain atrophic changes. Genetic testing showed a homozygous pathogenic variant was identified in FOLR1 C.327_328 delinsAC, p.Cys109Ter. Both patients were started on intramuscular folinic acid injections with a decrease in seizure frequency. However, their seizures did not stop completely due to late initiation of therapy. In conclusion, cerebral folate transport deficiency should be suspected in every child with global developmental delay, intractable myoclonic epilepsy, ataxia with neuroimaging suggesting cerebellar atrophy and brain calcifications. Response to folinic acid supplementation is partial if diagnosed late and treatment initiation is delayed.

求助全文
通过发布文献求助,成功后即可免费获取论文全文。 去求助
来源期刊
自引率
0.00%
发文量
0
×
引用
GB/T 7714-2015
复制
MLA
复制
APA
复制
导出至
BibTeX EndNote RefMan NoteFirst NoteExpress
×
提示
您的信息不完整,为了账户安全,请先补充。
现在去补充
×
提示
您因"违规操作"
具体请查看互助需知
我知道了
×
提示
确定
请完成安全验证×
copy
已复制链接
快去分享给好友吧!
我知道了
右上角分享
点击右上角分享
0
联系我们:info@booksci.cn Book学术提供免费学术资源搜索服务,方便国内外学者检索中英文文献。致力于提供最便捷和优质的服务体验。 Copyright © 2023 布克学术 All rights reserved.
京ICP备2023020795号-1
ghs 京公网安备 11010802042870号
Book学术文献互助
Book学术文献互助群
群 号:604180095
Book学术官方微信