一个前臂镜像伪影病例

IF 1.3 4区 医学 Q4 RADIOLOGY, NUCLEAR MEDICINE & MEDICAL IMAGING
Journal of the Belgian Society of Radiology Pub Date : 2024-07-05 eCollection Date: 2024-01-01 DOI:10.5334/jbsr.3641
Miloud Dewilde, Peter Brys
{"title":"一个前臂镜像伪影病例","authors":"Miloud Dewilde, Peter Brys","doi":"10.5334/jbsr.3641","DOIUrl":null,"url":null,"abstract":"<p><p><i>Teaching point:</i> To emphasize the importance of recognizing mirror image artifacts in musculoskeletal ultrasound to avoid misdiagnosis, unnecessary interventions, and additional diagnostic procedures that can lead to patient anxiety, increased healthcare costs, and potential harm.</p>","PeriodicalId":55987,"journal":{"name":"Journal of the Belgian Society of Radiology","volume":"108 1","pages":"68"},"PeriodicalIF":1.3000,"publicationDate":"2024-07-05","publicationTypes":"Journal Article","fieldsOfStudy":null,"isOpenAccess":false,"openAccessPdf":"https://www.ncbi.nlm.nih.gov/pmc/articles/PMC11225551/pdf/","citationCount":"0","resultStr":"{\"title\":\"A Case of a Mirror Image Artifact in the Forearm.\",\"authors\":\"Miloud Dewilde, Peter Brys\",\"doi\":\"10.5334/jbsr.3641\",\"DOIUrl\":null,\"url\":null,\"abstract\":\"<p><p><i>Teaching point:</i> To emphasize the importance of recognizing mirror image artifacts in musculoskeletal ultrasound to avoid misdiagnosis, unnecessary interventions, and additional diagnostic procedures that can lead to patient anxiety, increased healthcare costs, and potential harm.</p>\",\"PeriodicalId\":55987,\"journal\":{\"name\":\"Journal of the Belgian Society of Radiology\",\"volume\":\"108 1\",\"pages\":\"68\"},\"PeriodicalIF\":1.3000,\"publicationDate\":\"2024-07-05\",\"publicationTypes\":\"Journal Article\",\"fieldsOfStudy\":null,\"isOpenAccess\":false,\"openAccessPdf\":\"https://www.ncbi.nlm.nih.gov/pmc/articles/PMC11225551/pdf/\",\"citationCount\":\"0\",\"resultStr\":null,\"platform\":\"Semanticscholar\",\"paperid\":null,\"PeriodicalName\":\"Journal of the Belgian Society of Radiology\",\"FirstCategoryId\":\"3\",\"ListUrlMain\":\"https://doi.org/10.5334/jbsr.3641\",\"RegionNum\":4,\"RegionCategory\":\"医学\",\"ArticlePicture\":[],\"TitleCN\":null,\"AbstractTextCN\":null,\"PMCID\":null,\"EPubDate\":\"2024/1/1 0:00:00\",\"PubModel\":\"eCollection\",\"JCR\":\"Q4\",\"JCRName\":\"RADIOLOGY, NUCLEAR MEDICINE & MEDICAL IMAGING\",\"Score\":null,\"Total\":0}","platform":"Semanticscholar","paperid":null,"PeriodicalName":"Journal of the Belgian Society of Radiology","FirstCategoryId":"3","ListUrlMain":"https://doi.org/10.5334/jbsr.3641","RegionNum":4,"RegionCategory":"医学","ArticlePicture":[],"TitleCN":null,"AbstractTextCN":null,"PMCID":null,"EPubDate":"2024/1/1 0:00:00","PubModel":"eCollection","JCR":"Q4","JCRName":"RADIOLOGY, NUCLEAR MEDICINE & MEDICAL IMAGING","Score":null,"Total":0}
引用次数: 0

摘要

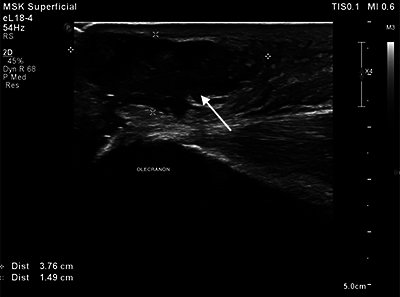
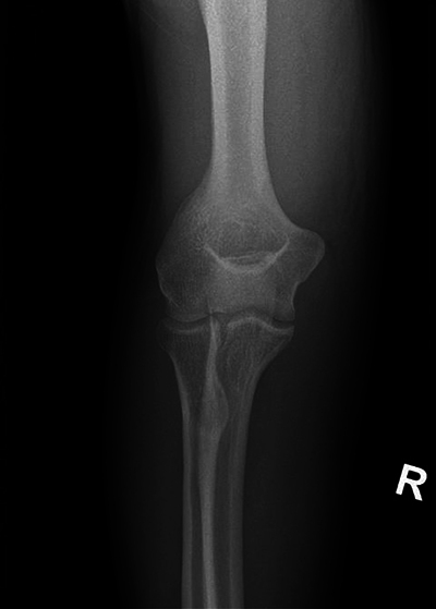
教学要点:强调在肌肉骨骼超声中识别镜像伪影的重要性,以避免误诊、不必要的干预和额外的诊断程序,从而导致患者焦虑、医疗费用增加和潜在的伤害。
本文章由计算机程序翻译,如有差异,请以英文原文为准。

A Case of a Mirror Image Artifact in the Forearm.

A Case of a Mirror Image Artifact in the Forearm.

A Case of a Mirror Image Artifact in the Forearm.

A Case of a Mirror Image Artifact in the Forearm.

Teaching point: To emphasize the importance of recognizing mirror image artifacts in musculoskeletal ultrasound to avoid misdiagnosis, unnecessary interventions, and additional diagnostic procedures that can lead to patient anxiety, increased healthcare costs, and potential harm.

求助全文
通过发布文献求助,成功后即可免费获取论文全文。 去求助
来源期刊
Journal of the Belgian Society of Radiology
Journal of the Belgian Society of Radiology Medicine-Radiology, Nuclear Medicine and Imaging
CiteScore
0.70
自引率
5.00%
发文量
96
期刊介绍: The purpose of the Journal of the Belgian Society of Radiology is the publication of articles dealing with diagnostic and interventional radiology, related imaging techniques, allied sciences, and continuing education.
×
引用
GB/T 7714-2015
复制
MLA
复制
APA
复制
导出至
BibTeX EndNote RefMan NoteFirst NoteExpress
×
提示
您的信息不完整,为了账户安全,请先补充。
现在去补充
×
提示
您因"违规操作"
具体请查看互助需知
我知道了
×
提示
确定
请完成安全验证×
copy
已复制链接
快去分享给好友吧!
我知道了
右上角分享
点击右上角分享
0
联系我们:info@booksci.cn Book学术提供免费学术资源搜索服务,方便国内外学者检索中英文文献。致力于提供最便捷和优质的服务体验。 Copyright © 2023 布克学术 All rights reserved.
京ICP备2023020795号-1
ghs 京公网安备 11010802042870号
Book学术文献互助
Book学术文献互助群
群 号:604180095
Book学术官方微信