短暂缓解后复发的肾梗塞病例:连续计算机断层扫描的证据

Q3 Medicine
Electrolyte and Blood Pressure Pub Date : 2024-06-01 Epub Date: 2024-06-27 DOI:10.5049/EBP.2024.22.1.16
In Hong Choi, Chang Seong Kim, Eun Hui Bae, Seong Kwon Ma, Soo Wan Kim, Hong Sang Choi
{"title":"短暂缓解后复发的肾梗塞病例:连续计算机断层扫描的证据","authors":"In Hong Choi, Chang Seong Kim, Eun Hui Bae, Seong Kwon Ma, Soo Wan Kim, Hong Sang Choi","doi":"10.5049/EBP.2024.22.1.16","DOIUrl":null,"url":null,"abstract":"<p><p>Although renal infarction (RI) is not a rare disease, its outcomes have not been well-documented. Furthermore, transient resolution and recurrence of RI have not been captured through imaging. We report a case of idiopathic RI that recurred within a short period following transient resolution, as demonstrated by serial computed tomography (CT). A 53-year-old man diagnosed with RI was transferred to the emergency room. An abdominal CT scan at the local hospital revealed a segmental wedge-shaped perfusion defect in the left kidney and a focal thrombotic filling defect in the anterior segmental branch of the left renal artery. Since his left flank pain improved, another CT scan was performed again 6 hours after the initial CT scan. A repeat CT scan showed that the thrombus in the renal artery remained, but the perfusion defect had spontaneously resolved. We initiated anticoagulant therapy using unfractionated heparin. On the sixth day of hospitalization, the left flank pain recurred, prompting another CT scan. The follow-up CT scan confirmed that RI had recurred in the same area as before. We continued anticoagulant therapy and switched to warfarin. After treatment, his symptoms improved, and he was discharged. RI can recur at any time, even after it has spontaneously resolved, as evidenced by our case. Therefore, it is crucial to closely monitor patients who experience resolution of RI for any recurrence of symptoms, and repeat radiological evaluation should be performed even within a short period.</p>","PeriodicalId":35352,"journal":{"name":"Electrolyte and Blood Pressure","volume":"22 1","pages":"16-20"},"PeriodicalIF":0.0000,"publicationDate":"2024-06-01","publicationTypes":"Journal Article","fieldsOfStudy":null,"isOpenAccess":false,"openAccessPdf":"https://www.ncbi.nlm.nih.gov/pmc/articles/PMC11214911/pdf/","citationCount":"0","resultStr":"{\"title\":\"A Case of Recurrent Renal Infarction Following Transient Resolution: Evidence From Serial Computed Tomography.\",\"authors\":\"In Hong Choi, Chang Seong Kim, Eun Hui Bae, Seong Kwon Ma, Soo Wan Kim, Hong Sang Choi\",\"doi\":\"10.5049/EBP.2024.22.1.16\",\"DOIUrl\":null,\"url\":null,\"abstract\":\"<p><p>Although renal infarction (RI) is not a rare disease, its outcomes have not been well-documented. Furthermore, transient resolution and recurrence of RI have not been captured through imaging. We report a case of idiopathic RI that recurred within a short period following transient resolution, as demonstrated by serial computed tomography (CT). A 53-year-old man diagnosed with RI was transferred to the emergency room. An abdominal CT scan at the local hospital revealed a segmental wedge-shaped perfusion defect in the left kidney and a focal thrombotic filling defect in the anterior segmental branch of the left renal artery. Since his left flank pain improved, another CT scan was performed again 6 hours after the initial CT scan. A repeat CT scan showed that the thrombus in the renal artery remained, but the perfusion defect had spontaneously resolved. We initiated anticoagulant therapy using unfractionated heparin. On the sixth day of hospitalization, the left flank pain recurred, prompting another CT scan. The follow-up CT scan confirmed that RI had recurred in the same area as before. We continued anticoagulant therapy and switched to warfarin. After treatment, his symptoms improved, and he was discharged. RI can recur at any time, even after it has spontaneously resolved, as evidenced by our case. Therefore, it is crucial to closely monitor patients who experience resolution of RI for any recurrence of symptoms, and repeat radiological evaluation should be performed even within a short period.</p>\",\"PeriodicalId\":35352,\"journal\":{\"name\":\"Electrolyte and Blood Pressure\",\"volume\":\"22 1\",\"pages\":\"16-20\"},\"PeriodicalIF\":0.0000,\"publicationDate\":\"2024-06-01\",\"publicationTypes\":\"Journal Article\",\"fieldsOfStudy\":null,\"isOpenAccess\":false,\"openAccessPdf\":\"https://www.ncbi.nlm.nih.gov/pmc/articles/PMC11214911/pdf/\",\"citationCount\":\"0\",\"resultStr\":null,\"platform\":\"Semanticscholar\",\"paperid\":null,\"PeriodicalName\":\"Electrolyte and Blood Pressure\",\"FirstCategoryId\":\"1085\",\"ListUrlMain\":\"https://doi.org/10.5049/EBP.2024.22.1.16\",\"RegionNum\":0,\"RegionCategory\":null,\"ArticlePicture\":[],\"TitleCN\":null,\"AbstractTextCN\":null,\"PMCID\":null,\"EPubDate\":\"2024/6/27 0:00:00\",\"PubModel\":\"Epub\",\"JCR\":\"Q3\",\"JCRName\":\"Medicine\",\"Score\":null,\"Total\":0}","platform":"Semanticscholar","paperid":null,"PeriodicalName":"Electrolyte and Blood Pressure","FirstCategoryId":"1085","ListUrlMain":"https://doi.org/10.5049/EBP.2024.22.1.16","RegionNum":0,"RegionCategory":null,"ArticlePicture":[],"TitleCN":null,"AbstractTextCN":null,"PMCID":null,"EPubDate":"2024/6/27 0:00:00","PubModel":"Epub","JCR":"Q3","JCRName":"Medicine","Score":null,"Total":0}
引用次数: 0

摘要

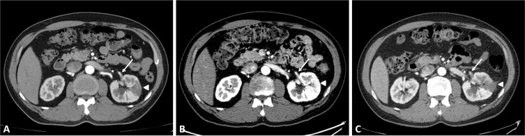
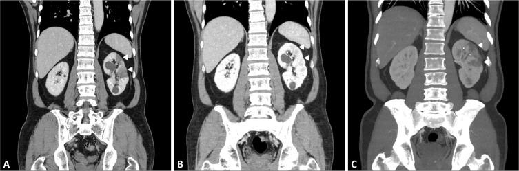
虽然肾梗塞(RI)并不是一种罕见疾病,但其结果却没有得到很好的记录。此外,RI 的一过性缓解和复发也没有通过影像学检查记录下来。我们报告了一例特发性 RI 病例,通过连续计算机断层扫描(CT)显示,该病在一过性缓解后的短时间内又复发了。一名 53 岁的男子被诊断为 RI,转入急诊室。在当地医院进行的腹部 CT 扫描显示左肾有节段性楔形灌注缺损,左肾动脉前段分支有局灶性血栓性充盈缺损。由于他的左侧腹痛有所改善,在首次 CT 扫描 6 小时后再次进行了 CT 扫描。复查 CT 显示,肾动脉内的血栓仍然存在,但灌注缺损已自行消退。我们开始使用非分数肝素进行抗凝治疗。住院第六天,左侧腹痛再次出现,促使我们再次进行了 CT 扫描。后续的 CT 扫描证实,RI 在之前的同一部位复发。我们继续进行抗凝治疗,并改用华法林。治疗后,他的症状有所改善,并已出院。正如我们的病例所示,RI 可在任何时候复发,即使在自发缓解后也是如此。因此,密切监测 RI 缓解的患者是否再次出现症状至关重要,即使在短时间内也应重复进行放射学评估。
本文章由计算机程序翻译,如有差异,请以英文原文为准。

A Case of Recurrent Renal Infarction Following Transient Resolution: Evidence From Serial Computed Tomography.

A Case of Recurrent Renal Infarction Following Transient Resolution: Evidence From Serial Computed Tomography.

A Case of Recurrent Renal Infarction Following Transient Resolution: Evidence From Serial Computed Tomography.

Although renal infarction (RI) is not a rare disease, its outcomes have not been well-documented. Furthermore, transient resolution and recurrence of RI have not been captured through imaging. We report a case of idiopathic RI that recurred within a short period following transient resolution, as demonstrated by serial computed tomography (CT). A 53-year-old man diagnosed with RI was transferred to the emergency room. An abdominal CT scan at the local hospital revealed a segmental wedge-shaped perfusion defect in the left kidney and a focal thrombotic filling defect in the anterior segmental branch of the left renal artery. Since his left flank pain improved, another CT scan was performed again 6 hours after the initial CT scan. A repeat CT scan showed that the thrombus in the renal artery remained, but the perfusion defect had spontaneously resolved. We initiated anticoagulant therapy using unfractionated heparin. On the sixth day of hospitalization, the left flank pain recurred, prompting another CT scan. The follow-up CT scan confirmed that RI had recurred in the same area as before. We continued anticoagulant therapy and switched to warfarin. After treatment, his symptoms improved, and he was discharged. RI can recur at any time, even after it has spontaneously resolved, as evidenced by our case. Therefore, it is crucial to closely monitor patients who experience resolution of RI for any recurrence of symptoms, and repeat radiological evaluation should be performed even within a short period.

求助全文
通过发布文献求助,成功后即可免费获取论文全文。 去求助
来源期刊
Electrolyte and Blood Pressure
Electrolyte and Blood Pressure Medicine-Internal Medicine
CiteScore
2.10
自引率
0.00%
发文量
0
×
引用
GB/T 7714-2015
复制
MLA
复制
APA
复制
导出至
BibTeX EndNote RefMan NoteFirst NoteExpress
×
提示
您的信息不完整,为了账户安全,请先补充。
现在去补充
×
提示
您因"违规操作"
具体请查看互助需知
我知道了
×
提示
确定
请完成安全验证×
copy
已复制链接
快去分享给好友吧!
我知道了
右上角分享
点击右上角分享
0
联系我们:info@booksci.cn Book学术提供免费学术资源搜索服务,方便国内外学者检索中英文文献。致力于提供最便捷和优质的服务体验。 Copyright © 2023 布克学术 All rights reserved.
京ICP备2023020795号-1
ghs 京公网安备 11010802042870号
Book学术文献互助
Book学术文献互助群
群 号:604180095
Book学术官方微信