一例罕见的小儿骨髓纤维腺瘤影像学病例报告。

IF 2.1 Q3 DENTISTRY, ORAL SURGERY & MEDICINE
Imaging Science in Dentistry Pub Date : 2024-06-01 Epub Date: 2024-04-02 DOI:10.5624/isd.20230247
Youjin Jung, Kyu-Young Oh, Sang-Sun Han, Chena Lee
{"title":"一例罕见的小儿骨髓纤维腺瘤影像学病例报告。","authors":"Youjin Jung, Kyu-Young Oh, Sang-Sun Han, Chena Lee","doi":"10.5624/isd.20230247","DOIUrl":null,"url":null,"abstract":"<p><p>Ameloblastic fibrodentinoma (AFD) is a rare benign odontogenic tumor that resembles an ameloblastic fibroma with dysplastic dentin. This report presents a rare case of mandibular AFD with imaging features in a young patient. Panoramic radiography and computed tomography revealed a well-defined lesion with internal septa and calcified foci, causing inferior displacement of the adjacent molars as well as buccolingual cortical thinning and expansion of the posterior mandible. The lesion was surgically removed via mass excision, and the involved tooth was extracted under general anesthesia. During the 5-year follow-up period, no evidence of recurrence was observed. Radiologic features of AFD typically reveal a moderately to well-defined mixed lesion with varying degrees of radiopacity, reflecting the extent of dentin formation. Radiologists should consider AFD in the differential diagnosis when encountering a multilocular lesion with little dense radiopacity, particularly if it is associated with delayed eruption, impaction, or absence of involved teeth, on radiographic images of young patients.</p>","PeriodicalId":51714,"journal":{"name":"Imaging Science in Dentistry","volume":"54 2","pages":"207-210"},"PeriodicalIF":2.1000,"publicationDate":"2024-06-01","publicationTypes":"Journal Article","fieldsOfStudy":null,"isOpenAccess":false,"openAccessPdf":"https://www.ncbi.nlm.nih.gov/pmc/articles/PMC11211030/pdf/","citationCount":"0","resultStr":"{\"title\":\"A rare case report of ameloblastic fibrodentinoma with imaging features in a pediatric patient.\",\"authors\":\"Youjin Jung, Kyu-Young Oh, Sang-Sun Han, Chena Lee\",\"doi\":\"10.5624/isd.20230247\",\"DOIUrl\":null,\"url\":null,\"abstract\":\"<p><p>Ameloblastic fibrodentinoma (AFD) is a rare benign odontogenic tumor that resembles an ameloblastic fibroma with dysplastic dentin. This report presents a rare case of mandibular AFD with imaging features in a young patient. Panoramic radiography and computed tomography revealed a well-defined lesion with internal septa and calcified foci, causing inferior displacement of the adjacent molars as well as buccolingual cortical thinning and expansion of the posterior mandible. The lesion was surgically removed via mass excision, and the involved tooth was extracted under general anesthesia. During the 5-year follow-up period, no evidence of recurrence was observed. Radiologic features of AFD typically reveal a moderately to well-defined mixed lesion with varying degrees of radiopacity, reflecting the extent of dentin formation. Radiologists should consider AFD in the differential diagnosis when encountering a multilocular lesion with little dense radiopacity, particularly if it is associated with delayed eruption, impaction, or absence of involved teeth, on radiographic images of young patients.</p>\",\"PeriodicalId\":51714,\"journal\":{\"name\":\"Imaging Science in Dentistry\",\"volume\":\"54 2\",\"pages\":\"207-210\"},\"PeriodicalIF\":2.1000,\"publicationDate\":\"2024-06-01\",\"publicationTypes\":\"Journal Article\",\"fieldsOfStudy\":null,\"isOpenAccess\":false,\"openAccessPdf\":\"https://www.ncbi.nlm.nih.gov/pmc/articles/PMC11211030/pdf/\",\"citationCount\":\"0\",\"resultStr\":null,\"platform\":\"Semanticscholar\",\"paperid\":null,\"PeriodicalName\":\"Imaging Science in Dentistry\",\"FirstCategoryId\":\"1085\",\"ListUrlMain\":\"https://doi.org/10.5624/isd.20230247\",\"RegionNum\":0,\"RegionCategory\":null,\"ArticlePicture\":[],\"TitleCN\":null,\"AbstractTextCN\":null,\"PMCID\":null,\"EPubDate\":\"2024/4/2 0:00:00\",\"PubModel\":\"Epub\",\"JCR\":\"Q3\",\"JCRName\":\"DENTISTRY, ORAL SURGERY & MEDICINE\",\"Score\":null,\"Total\":0}","platform":"Semanticscholar","paperid":null,"PeriodicalName":"Imaging Science in Dentistry","FirstCategoryId":"1085","ListUrlMain":"https://doi.org/10.5624/isd.20230247","RegionNum":0,"RegionCategory":null,"ArticlePicture":[],"TitleCN":null,"AbstractTextCN":null,"PMCID":null,"EPubDate":"2024/4/2 0:00:00","PubModel":"Epub","JCR":"Q3","JCRName":"DENTISTRY, ORAL SURGERY & MEDICINE","Score":null,"Total":0}
引用次数: 0

摘要

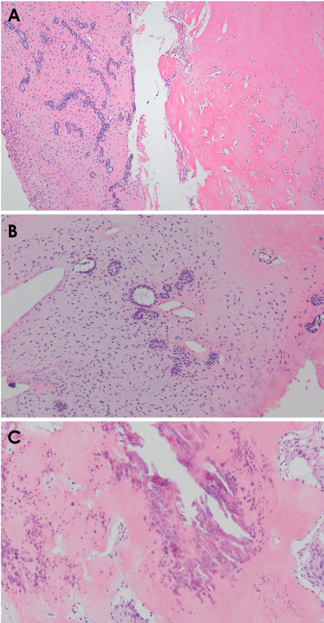
成釉细胞纤维牙本质瘤(AFD)是一种罕见的良性牙源性肿瘤,类似于牙本质发育不良的成釉细胞纤维瘤。本报告介绍了一例罕见的下颌骨纤维牙本质瘤病例,该病例为一名年轻患者,具有影像学特征。全景X光片和计算机断层扫描显示病变界限清晰,有内隔膜和钙化灶,导致相邻磨牙下移,颊舌侧皮质变薄,下颌后部扩张。手术通过肿块切除术切除了病灶,并在全身麻醉下拔除了患牙。在 5 年的随访期间,没有发现复发的迹象。AFD的放射学特征通常表现为中度到界限清楚的混合病变,具有不同程度的放射通透性,反映了牙本质形成的程度。当放射科医生在年轻患者的放射影像中发现多形性病变且几乎没有致密的放射通透性时,尤其是当病变伴有延迟萌出、嵌塞或缺失受累牙齿时,应将无牙颌畸形纳入鉴别诊断。
本文章由计算机程序翻译,如有差异,请以英文原文为准。

A rare case report of ameloblastic fibrodentinoma with imaging features in a pediatric patient.

A rare case report of ameloblastic fibrodentinoma with imaging features in a pediatric patient.

A rare case report of ameloblastic fibrodentinoma with imaging features in a pediatric patient.

A rare case report of ameloblastic fibrodentinoma with imaging features in a pediatric patient.

Ameloblastic fibrodentinoma (AFD) is a rare benign odontogenic tumor that resembles an ameloblastic fibroma with dysplastic dentin. This report presents a rare case of mandibular AFD with imaging features in a young patient. Panoramic radiography and computed tomography revealed a well-defined lesion with internal septa and calcified foci, causing inferior displacement of the adjacent molars as well as buccolingual cortical thinning and expansion of the posterior mandible. The lesion was surgically removed via mass excision, and the involved tooth was extracted under general anesthesia. During the 5-year follow-up period, no evidence of recurrence was observed. Radiologic features of AFD typically reveal a moderately to well-defined mixed lesion with varying degrees of radiopacity, reflecting the extent of dentin formation. Radiologists should consider AFD in the differential diagnosis when encountering a multilocular lesion with little dense radiopacity, particularly if it is associated with delayed eruption, impaction, or absence of involved teeth, on radiographic images of young patients.

求助全文
通过发布文献求助,成功后即可免费获取论文全文。 去求助
来源期刊
Imaging Science in Dentistry
Imaging Science in Dentistry DENTISTRY, ORAL SURGERY & MEDICINE-
CiteScore
2.90
自引率
11.10%
发文量
42
×
引用
GB/T 7714-2015
复制
MLA
复制
APA
复制
导出至
BibTeX EndNote RefMan NoteFirst NoteExpress
×
提示
您的信息不完整,为了账户安全,请先补充。
现在去补充
×
提示
您因"违规操作"
具体请查看互助需知
我知道了
×
提示
确定
请完成安全验证×
copy
已复制链接
快去分享给好友吧!
我知道了
右上角分享
点击右上角分享
0
联系我们:info@booksci.cn Book学术提供免费学术资源搜索服务,方便国内外学者检索中英文文献。致力于提供最便捷和优质的服务体验。 Copyright © 2023 布克学术 All rights reserved.
京ICP备2023020795号-1
ghs 京公网安备 11010802042870号
Book学术文献互助
Book学术文献互助群
群 号:604180095
Book学术官方微信