全面分析容积 68Ga-PSMA PET/CT 参数、临床和组织病理学特征:评估预测作用。

IF 1.1 Q4 RADIOLOGY, NUCLEAR MEDICINE & MEDICAL IMAGING
Gözde Mutevelizade, Yasemin Parlak, Ceren Sezgin Arıkbası, Gül Gümüşer, Elvan Sayit
{"title":"全面分析容积 68Ga-PSMA PET/CT 参数、临床和组织病理学特征:评估预测作用。","authors":"Gözde Mutevelizade, Yasemin Parlak, Ceren Sezgin Arıkbası, Gül Gümüşer, Elvan Sayit","doi":"10.4274/mirt.galenos.2024.56933","DOIUrl":null,"url":null,"abstract":"<p><strong>Objectives: </strong>To evaluate the relationships between volumetric <sup>68</sup>Ga-prostate-specific membrane antigen (PSMA) positron emission tomography/computed tomography (PET/CT) parameters, Gleason score (GS), prostate-specific antigen (PSA) levels, histopathological data, and metastatic status in newly diagnosed prostate cancer (PCa) patients and to assess the predictive factors for progression despite treatment.</p><p><strong>Methods: </strong>A total of 78 newly diagnosed patients with PCa who had <sup>68</sup>Ga-PSMA PET/CT scans were included. Clinical parameters, histopathological data, and metastatic status were documented, and volumetric parameters of primary prostate lesions were measured. All obtained data were compared statistically.</p><p><strong>Results: </strong>Primary prostate tumor maximum standardized uptake value (SUV<sub>max</sub>) and GS were significantly related to serum PSA levels (p<0.05). PSA levels and SUV<sub>max</sub> values were significantly higher in patients with lymph node metastases than in those without. GS was found to be significantly increased in metastatic patients. PSMA-derived tumor volume (PSMA-TV) and total lesion PSMA of the primary lesion had a significant relationship with PSA value, GS, and regional lymph node metastases. Receiver operating characteristic analysis, conducted in patients with metastatic and localized disease, identified the cutoff value for SUV<sub>max</sub> as 10.85. According to the results of the logistic regression analysis, PSMA-TV was found to be a predictive factor for progression despite treatment.</p><p><strong>Conclusion: </strong><sup>68</sup>Ga-PSMA PET/CT remains an invaluable imaging modality that should be considered first in PCa staging because of its superior compatibility with clinical and histopathologic data. The importance of this method goes beyond diagnostic accuracy; it also extends into the predictive domain, where the PSMA-TV value of primary prostate lesions is a potential predictor of treatment efficacy. This information is valuable for personalizing patient treatment, improving prognostic accuracy, and predicting clinical outcomes.</p>","PeriodicalId":44681,"journal":{"name":"Molecular Imaging and Radionuclide Therapy","volume":"33 2","pages":"68-76"},"PeriodicalIF":1.1000,"publicationDate":"2024-06-28","publicationTypes":"Journal Article","fieldsOfStudy":null,"isOpenAccess":false,"openAccessPdf":"https://www.ncbi.nlm.nih.gov/pmc/articles/PMC11589271/pdf/","citationCount":"0","resultStr":"{\"title\":\"A Comprehensive Analysis of Volumetric <sup>68</sup>Ga-PSMA PET/CT Parameters, Clinical and Histopathologic Features: Evaluation of the Predictive Role.\",\"authors\":\"Gözde Mutevelizade, Yasemin Parlak, Ceren Sezgin Arıkbası, Gül Gümüşer, Elvan Sayit\",\"doi\":\"10.4274/mirt.galenos.2024.56933\",\"DOIUrl\":null,\"url\":null,\"abstract\":\"<p><strong>Objectives: </strong>To evaluate the relationships between volumetric <sup>68</sup>Ga-prostate-specific membrane antigen (PSMA) positron emission tomography/computed tomography (PET/CT) parameters, Gleason score (GS), prostate-specific antigen (PSA) levels, histopathological data, and metastatic status in newly diagnosed prostate cancer (PCa) patients and to assess the predictive factors for progression despite treatment.</p><p><strong>Methods: </strong>A total of 78 newly diagnosed patients with PCa who had <sup>68</sup>Ga-PSMA PET/CT scans were included. Clinical parameters, histopathological data, and metastatic status were documented, and volumetric parameters of primary prostate lesions were measured. All obtained data were compared statistically.</p><p><strong>Results: </strong>Primary prostate tumor maximum standardized uptake value (SUV<sub>max</sub>) and GS were significantly related to serum PSA levels (p<0.05). PSA levels and SUV<sub>max</sub> values were significantly higher in patients with lymph node metastases than in those without. GS was found to be significantly increased in metastatic patients. PSMA-derived tumor volume (PSMA-TV) and total lesion PSMA of the primary lesion had a significant relationship with PSA value, GS, and regional lymph node metastases. Receiver operating characteristic analysis, conducted in patients with metastatic and localized disease, identified the cutoff value for SUV<sub>max</sub> as 10.85. According to the results of the logistic regression analysis, PSMA-TV was found to be a predictive factor for progression despite treatment.</p><p><strong>Conclusion: </strong><sup>68</sup>Ga-PSMA PET/CT remains an invaluable imaging modality that should be considered first in PCa staging because of its superior compatibility with clinical and histopathologic data. The importance of this method goes beyond diagnostic accuracy; it also extends into the predictive domain, where the PSMA-TV value of primary prostate lesions is a potential predictor of treatment efficacy. This information is valuable for personalizing patient treatment, improving prognostic accuracy, and predicting clinical outcomes.</p>\",\"PeriodicalId\":44681,\"journal\":{\"name\":\"Molecular Imaging and Radionuclide Therapy\",\"volume\":\"33 2\",\"pages\":\"68-76\"},\"PeriodicalIF\":1.1000,\"publicationDate\":\"2024-06-28\",\"publicationTypes\":\"Journal Article\",\"fieldsOfStudy\":null,\"isOpenAccess\":false,\"openAccessPdf\":\"https://www.ncbi.nlm.nih.gov/pmc/articles/PMC11589271/pdf/\",\"citationCount\":\"0\",\"resultStr\":null,\"platform\":\"Semanticscholar\",\"paperid\":null,\"PeriodicalName\":\"Molecular Imaging and Radionuclide Therapy\",\"FirstCategoryId\":\"1085\",\"ListUrlMain\":\"https://doi.org/10.4274/mirt.galenos.2024.56933\",\"RegionNum\":0,\"RegionCategory\":null,\"ArticlePicture\":[],\"TitleCN\":null,\"AbstractTextCN\":null,\"PMCID\":null,\"EPubDate\":\"\",\"PubModel\":\"\",\"JCR\":\"Q4\",\"JCRName\":\"RADIOLOGY, NUCLEAR MEDICINE & MEDICAL IMAGING\",\"Score\":null,\"Total\":0}","platform":"Semanticscholar","paperid":null,"PeriodicalName":"Molecular Imaging and Radionuclide Therapy","FirstCategoryId":"1085","ListUrlMain":"https://doi.org/10.4274/mirt.galenos.2024.56933","RegionNum":0,"RegionCategory":null,"ArticlePicture":[],"TitleCN":null,"AbstractTextCN":null,"PMCID":null,"EPubDate":"","PubModel":"","JCR":"Q4","JCRName":"RADIOLOGY, NUCLEAR MEDICINE & MEDICAL IMAGING","Score":null,"Total":0}
引用次数: 0

摘要

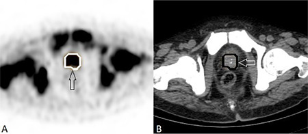
研究目的评估新诊断的前列腺癌(PCa)患者的容积68Ga-前列腺特异性膜抗原(PSMA)正电子发射断层扫描/计算机断层扫描(PET/CT)参数、格里森评分(GS)、前列腺特异性抗原(PSA)水平、组织病理学数据和转移状态之间的关系,并评估治疗后病情进展的预测因素:方法:共纳入 78 名接受过 68Ga-PSMA PET/CT 扫描的新诊断 PCa 患者。记录临床参数、组织病理学数据和转移状态,并测量原发性前列腺病变的体积参数。对所有获得的数据进行统计学比较:结果:原发性前列腺肿瘤的最大标准化摄取值(SUVmax)和GS与血清PSA水平有显著关系(有淋巴结转移的患者的pmax值明显高于无淋巴结转移的患者)。淋巴结转移患者的 GS 值明显升高。原发病灶的 PSMA 衍生肿瘤体积(PSMA-TV)和总病灶 PSMA 与 PSA 值、GS 和区域淋巴结转移有显著关系。对转移性和局部性疾病患者进行的接收器操作特征分析确定了 SUVmax 的临界值为 10.85。结论:68Ga-PSMA PET/CT 仍是一种宝贵的成像模式,由于其与临床和组织病理学数据的兼容性极佳,因此在 PCa 分期中应首先考虑使用这种模式。该方法的重要性不仅体现在诊断准确性上,还体现在预测性上,原发性前列腺病变的 PSMA-TV 值是治疗效果的潜在预测指标。这些信息对于患者的个性化治疗、提高预后准确性和预测临床结果都很有价值。
本文章由计算机程序翻译,如有差异,请以英文原文为准。

A Comprehensive Analysis of Volumetric <sup>68</sup>Ga-PSMA PET/CT Parameters, Clinical and Histopathologic Features: Evaluation of the Predictive Role.

A Comprehensive Analysis of Volumetric <sup>68</sup>Ga-PSMA PET/CT Parameters, Clinical and Histopathologic Features: Evaluation of the Predictive Role.

A Comprehensive Analysis of Volumetric 68Ga-PSMA PET/CT Parameters, Clinical and Histopathologic Features: Evaluation of the Predictive Role.

Objectives: To evaluate the relationships between volumetric 68Ga-prostate-specific membrane antigen (PSMA) positron emission tomography/computed tomography (PET/CT) parameters, Gleason score (GS), prostate-specific antigen (PSA) levels, histopathological data, and metastatic status in newly diagnosed prostate cancer (PCa) patients and to assess the predictive factors for progression despite treatment.

Methods: A total of 78 newly diagnosed patients with PCa who had 68Ga-PSMA PET/CT scans were included. Clinical parameters, histopathological data, and metastatic status were documented, and volumetric parameters of primary prostate lesions were measured. All obtained data were compared statistically.

Results: Primary prostate tumor maximum standardized uptake value (SUVmax) and GS were significantly related to serum PSA levels (p<0.05). PSA levels and SUVmax values were significantly higher in patients with lymph node metastases than in those without. GS was found to be significantly increased in metastatic patients. PSMA-derived tumor volume (PSMA-TV) and total lesion PSMA of the primary lesion had a significant relationship with PSA value, GS, and regional lymph node metastases. Receiver operating characteristic analysis, conducted in patients with metastatic and localized disease, identified the cutoff value for SUVmax as 10.85. According to the results of the logistic regression analysis, PSMA-TV was found to be a predictive factor for progression despite treatment.

Conclusion: 68Ga-PSMA PET/CT remains an invaluable imaging modality that should be considered first in PCa staging because of its superior compatibility with clinical and histopathologic data. The importance of this method goes beyond diagnostic accuracy; it also extends into the predictive domain, where the PSMA-TV value of primary prostate lesions is a potential predictor of treatment efficacy. This information is valuable for personalizing patient treatment, improving prognostic accuracy, and predicting clinical outcomes.

求助全文
通过发布文献求助,成功后即可免费获取论文全文。 去求助
来源期刊
Molecular Imaging and Radionuclide Therapy
Molecular Imaging and Radionuclide Therapy RADIOLOGY, NUCLEAR MEDICINE & MEDICAL IMAGING-
CiteScore
1.30
自引率
0.00%
发文量
50
期刊介绍: Molecular Imaging and Radionuclide Therapy (Mol Imaging Radionucl Ther, MIRT) is publishes original research articles, invited reviews, editorials, short communications, letters, consensus statements, guidelines and case reports with a literature review on the topic, in the field of molecular imaging, multimodality imaging, nuclear medicine, radionuclide therapy, radiopharmacy, medical physics, dosimetry and radiobiology.
×
引用
GB/T 7714-2015
复制
MLA
复制
APA
复制
导出至
BibTeX EndNote RefMan NoteFirst NoteExpress
×
提示
您的信息不完整,为了账户安全,请先补充。
现在去补充
×
提示
您因"违规操作"
具体请查看互助需知
我知道了
×
提示
确定
请完成安全验证×
copy
已复制链接
快去分享给好友吧!
我知道了
右上角分享
点击右上角分享
0
联系我们:info@booksci.cn Book学术提供免费学术资源搜索服务,方便国内外学者检索中英文文献。致力于提供最便捷和优质的服务体验。 Copyright © 2023 布克学术 All rights reserved.
京ICP备2023020795号-1
ghs 京公网安备 11010802042870号
Book学术文献互助
Book学术文献互助群
群 号:604180095
Book学术官方微信