子宫颈原发性胚胎发育不全瘤:罕见病例报告

IF 0.8 Q4 OBSTETRICS & GYNECOLOGY
Case Reports in Obstetrics and Gynecology Pub Date : 2024-05-31 eCollection Date: 2024-01-01 DOI:10.1155/2024/6465387
Biruck Gashawbeza, Bethel Dereje, Ferid A Abubeker
{"title":"子宫颈原发性胚胎发育不全瘤:罕见病例报告","authors":"Biruck Gashawbeza, Bethel Dereje, Ferid A Abubeker","doi":"10.1155/2024/6465387","DOIUrl":null,"url":null,"abstract":"<p><strong>Introduction: </strong>Primary extragonadal germ cell tumors (EGCTs) are a very rare clinical encounter most commonly reported in males. Among females, the placenta, pelvis, uterus, brain, and mediastinum are the most common extragonadal sites and predominantly display nondysgerminoma histology. In this report, we present a case of a primary cervical dysgerminoma in a young female patient. <i>Case Report</i>. An 18-year-old nulligravid woman presented with a 12-month history of vaginal bleeding and discharge. Routine blood tests and serum levels of tumor markers were within normal limits. The chest X-ray was normal. A high-resolution pelvic MRI showed a well-defined lobulated cervicovaginal mass measuring 8 × 6 × 5 cm expanding into the vaginal canal with mild homogenous contrast enhancement. An incisional biopsy was performed vaginally under anesthesia, and histologic findings were consistent with dysgerminoma. A repeat follow-up pelvic MRI was done and showed a reduction in the size of the mass by more than 70%. The patient was treated with 4 cycles of bleomycin, etoposide, and cisplatin chemotherapy. Additional external pelvic beam radiation treatment was administered for a partial response. After 3 months of radiotherapy, a contrast abdominopelvic CT scan showed a recurrent cervicovaginal mass with extension to the pelvic sidewalls. The patient was initiated with ifosfamide, paclitaxel, and cisplatin (ITP) as second-line chemotherapy for a recurrent germ cell tumor but later died from hydronephrosis, chronic anemia, and sepsis.</p><p><strong>Conclusion: </strong>The uterine cervix is a very unusual site for primary dysgerminoma and can have a very aggressive clinical course. A high index of suspicion and an exhaustive workup are necessary to reach a diagnosis, particularly in a young patient presenting with a cervical lesion.</p>","PeriodicalId":9610,"journal":{"name":"Case Reports in Obstetrics and Gynecology","volume":"2024 ","pages":"6465387"},"PeriodicalIF":0.8000,"publicationDate":"2024-05-31","publicationTypes":"Journal Article","fieldsOfStudy":null,"isOpenAccess":false,"openAccessPdf":"https://www.ncbi.nlm.nih.gov/pmc/articles/PMC11208782/pdf/","citationCount":"0","resultStr":"{\"title\":\"Primary Dysgerminoma of the Uterine Cervix: A Rare Case Report.\",\"authors\":\"Biruck Gashawbeza, Bethel Dereje, Ferid A Abubeker\",\"doi\":\"10.1155/2024/6465387\",\"DOIUrl\":null,\"url\":null,\"abstract\":\"<p><strong>Introduction: </strong>Primary extragonadal germ cell tumors (EGCTs) are a very rare clinical encounter most commonly reported in males. Among females, the placenta, pelvis, uterus, brain, and mediastinum are the most common extragonadal sites and predominantly display nondysgerminoma histology. In this report, we present a case of a primary cervical dysgerminoma in a young female patient. <i>Case Report</i>. An 18-year-old nulligravid woman presented with a 12-month history of vaginal bleeding and discharge. Routine blood tests and serum levels of tumor markers were within normal limits. The chest X-ray was normal. A high-resolution pelvic MRI showed a well-defined lobulated cervicovaginal mass measuring 8 × 6 × 5 cm expanding into the vaginal canal with mild homogenous contrast enhancement. An incisional biopsy was performed vaginally under anesthesia, and histologic findings were consistent with dysgerminoma. A repeat follow-up pelvic MRI was done and showed a reduction in the size of the mass by more than 70%. The patient was treated with 4 cycles of bleomycin, etoposide, and cisplatin chemotherapy. Additional external pelvic beam radiation treatment was administered for a partial response. After 3 months of radiotherapy, a contrast abdominopelvic CT scan showed a recurrent cervicovaginal mass with extension to the pelvic sidewalls. The patient was initiated with ifosfamide, paclitaxel, and cisplatin (ITP) as second-line chemotherapy for a recurrent germ cell tumor but later died from hydronephrosis, chronic anemia, and sepsis.</p><p><strong>Conclusion: </strong>The uterine cervix is a very unusual site for primary dysgerminoma and can have a very aggressive clinical course. A high index of suspicion and an exhaustive workup are necessary to reach a diagnosis, particularly in a young patient presenting with a cervical lesion.</p>\",\"PeriodicalId\":9610,\"journal\":{\"name\":\"Case Reports in Obstetrics and Gynecology\",\"volume\":\"2024 \",\"pages\":\"6465387\"},\"PeriodicalIF\":0.8000,\"publicationDate\":\"2024-05-31\",\"publicationTypes\":\"Journal Article\",\"fieldsOfStudy\":null,\"isOpenAccess\":false,\"openAccessPdf\":\"https://www.ncbi.nlm.nih.gov/pmc/articles/PMC11208782/pdf/\",\"citationCount\":\"0\",\"resultStr\":null,\"platform\":\"Semanticscholar\",\"paperid\":null,\"PeriodicalName\":\"Case Reports in Obstetrics and Gynecology\",\"FirstCategoryId\":\"1085\",\"ListUrlMain\":\"https://doi.org/10.1155/2024/6465387\",\"RegionNum\":0,\"RegionCategory\":null,\"ArticlePicture\":[],\"TitleCN\":null,\"AbstractTextCN\":null,\"PMCID\":null,\"EPubDate\":\"2024/1/1 0:00:00\",\"PubModel\":\"eCollection\",\"JCR\":\"Q4\",\"JCRName\":\"OBSTETRICS & GYNECOLOGY\",\"Score\":null,\"Total\":0}","platform":"Semanticscholar","paperid":null,"PeriodicalName":"Case Reports in Obstetrics and Gynecology","FirstCategoryId":"1085","ListUrlMain":"https://doi.org/10.1155/2024/6465387","RegionNum":0,"RegionCategory":null,"ArticlePicture":[],"TitleCN":null,"AbstractTextCN":null,"PMCID":null,"EPubDate":"2024/1/1 0:00:00","PubModel":"eCollection","JCR":"Q4","JCRName":"OBSTETRICS & GYNECOLOGY","Score":null,"Total":0}
引用次数: 0

摘要

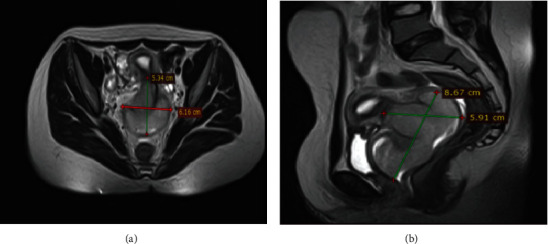
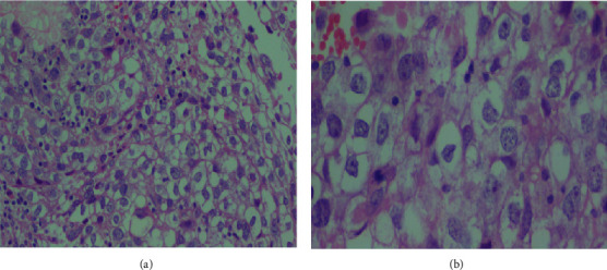
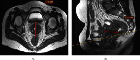
简介原发性对角线外生殖细胞瘤(EGCTs)是一种非常罕见的临床疾病,最常见于男性。在女性中,胎盘、骨盆、子宫、大脑和纵隔是最常见的生殖细胞瘤部位,其组织学主要表现为非生殖细胞瘤。在本报告中,我们介绍了一例年轻女性患者的原发性宫颈胚胎发育不良瘤。病例报告。一名 18 岁的无生育能力女性因 12 个月的阴道出血和分泌物病史前来就诊。血常规检查和血清肿瘤标志物水平均在正常范围内。胸部 X 光检查正常。高分辨率盆腔磁共振成像显示,宫颈阴道肿块轮廓清晰,大小为 8 × 6 × 5 厘米,向阴道口扩展,呈轻度均质对比增强。患者在麻醉状态下经阴道进行了切口活检,组织学检查结果与畸形精原细胞瘤一致。再次复查盆腔磁共振成像显示,肿块缩小了 70% 以上。患者接受了 4 个周期的博来霉素、依托泊苷和顺铂化疗。在获得部分反应后,又进行了盆腔外放射治疗。放疗 3 个月后,对比腹盆腔 CT 扫描显示宫颈阴道肿块复发,并向盆腔侧壁扩展。患者因生殖细胞瘤复发开始接受伊佛酰胺、紫杉醇和顺铂(ITP)二线化疗,但后来死于肾积水、慢性贫血和败血症:结论:子宫颈是原发性生精细胞畸形瘤的一个非常不寻常的部位,其临床病程可能非常凶险。要确诊该病,尤其是对宫颈病变的年轻患者,必须高度怀疑并进行全面检查。
本文章由计算机程序翻译,如有差异,请以英文原文为准。

Primary Dysgerminoma of the Uterine Cervix: A Rare Case Report.

Primary Dysgerminoma of the Uterine Cervix: A Rare Case Report.

Primary Dysgerminoma of the Uterine Cervix: A Rare Case Report.

Primary Dysgerminoma of the Uterine Cervix: A Rare Case Report.

Introduction: Primary extragonadal germ cell tumors (EGCTs) are a very rare clinical encounter most commonly reported in males. Among females, the placenta, pelvis, uterus, brain, and mediastinum are the most common extragonadal sites and predominantly display nondysgerminoma histology. In this report, we present a case of a primary cervical dysgerminoma in a young female patient. Case Report. An 18-year-old nulligravid woman presented with a 12-month history of vaginal bleeding and discharge. Routine blood tests and serum levels of tumor markers were within normal limits. The chest X-ray was normal. A high-resolution pelvic MRI showed a well-defined lobulated cervicovaginal mass measuring 8 × 6 × 5 cm expanding into the vaginal canal with mild homogenous contrast enhancement. An incisional biopsy was performed vaginally under anesthesia, and histologic findings were consistent with dysgerminoma. A repeat follow-up pelvic MRI was done and showed a reduction in the size of the mass by more than 70%. The patient was treated with 4 cycles of bleomycin, etoposide, and cisplatin chemotherapy. Additional external pelvic beam radiation treatment was administered for a partial response. After 3 months of radiotherapy, a contrast abdominopelvic CT scan showed a recurrent cervicovaginal mass with extension to the pelvic sidewalls. The patient was initiated with ifosfamide, paclitaxel, and cisplatin (ITP) as second-line chemotherapy for a recurrent germ cell tumor but later died from hydronephrosis, chronic anemia, and sepsis.

Conclusion: The uterine cervix is a very unusual site for primary dysgerminoma and can have a very aggressive clinical course. A high index of suspicion and an exhaustive workup are necessary to reach a diagnosis, particularly in a young patient presenting with a cervical lesion.

求助全文
通过发布文献求助,成功后即可免费获取论文全文。 去求助
来源期刊
Case Reports in Obstetrics and Gynecology
Case Reports in Obstetrics and Gynecology Medicine-Obstetrics and Gynecology
CiteScore
1.30
自引率
0.00%
发文量
64
审稿时长
12 weeks
×
引用
GB/T 7714-2015
复制
MLA
复制
APA
复制
导出至
BibTeX EndNote RefMan NoteFirst NoteExpress
×
提示
您的信息不完整,为了账户安全,请先补充。
现在去补充
×
提示
您因"违规操作"
具体请查看互助需知
我知道了
×
提示
确定
请完成安全验证×
copy
已复制链接
快去分享给好友吧!
我知道了
右上角分享
点击右上角分享
0
联系我们:info@booksci.cn Book学术提供免费学术资源搜索服务,方便国内外学者检索中英文文献。致力于提供最便捷和优质的服务体验。 Copyright © 2023 布克学术 All rights reserved.
京ICP备2023020795号-1
ghs 京公网安备 11010802042870号
Book学术文献互助
Book学术文献互助群
群 号:604180095
Book学术官方微信