肿瘤内核周LOXL2:口腔鳞状细胞癌的预后相关性及其与 YAP1 激活状态的关系

IF 2 4区 医学 Q3 CELL BIOLOGY
Pathobiology Pub Date : 2024-01-01 Epub Date: 2024-06-27 DOI:10.1159/000539928
Juan P Rodrigo, Gema Moreno-Bueno, Paloma Lequerica-Fernández, Tania Rodríguez-Santamarta, Eva Díaz, Llara Prieto-Fernández, Saúl Álvarez-Teijeiro, Juana M García-Pedrero, Juan Carlos de Vicente
{"title":"肿瘤内核周LOXL2:口腔鳞状细胞癌的预后相关性及其与 YAP1 激活状态的关系","authors":"Juan P Rodrigo, Gema Moreno-Bueno, Paloma Lequerica-Fernández, Tania Rodríguez-Santamarta, Eva Díaz, Llara Prieto-Fernández, Saúl Álvarez-Teijeiro, Juana M García-Pedrero, Juan Carlos de Vicente","doi":"10.1159/000539928","DOIUrl":null,"url":null,"abstract":"<p><strong>Introduction: </strong>Lysyl oxidase-like 2 (LOXL2) expression and function is frequently altered in different cancers but scarcely explored in oral squamous cell carcinoma (OSCC). This prompted us to investigate the clinical relevance of LOXL2 expression pattern in OSCC and also a possible crosstalk with Hippo/YAP1 pathway signaling.</p><p><strong>Methods: </strong>Immunohistochemical analysis of LOXL2 protein expression was performed in 158 OSCC patient samples, together with Yes-associated protein 1 (YAP1) activation status. Correlations with clinicopathological parameters and patient survival were assessed.</p><p><strong>Results: </strong>Tumor cell-intrinsic LOXL2 expression showed two distinct expression patterns: diffuse cytoplasmic staining (64.6%) and heterogeneous perinuclear staining (35.4%). Remarkably, perinuclear LOXL2 staining was significantly associated with lymph node metastasis, advanced clinical stage and perineural invasion. Moreover, patients harboring tumors with perinuclear LOXL2 expression exhibited significantly poorer disease-specific survival (DSS) rates, and perinuclear LOXL2 positivity gradually increased in relation to YAP1 activation. Patients harboring tumors with concomitant perinuclear LOXL2 and fully active YAP1 exhibited the worst DSS. Multivariate Cox analysis further revealed combined perinuclear LOXL2 and fully active YAP1 as a significant independent predictor of poor DSS.</p><p><strong>Conclusion: </strong>Tumor-intrinsic perinuclear LOXL2 emerges as a clinically and biologically relevant feature associated with advanced disease, tumor aggressiveness, and poor prognosis in OSCC. Moreover, this study unprecedentedly uncovers a functional relationship between perinuclear LOXL2 and YAP1 activation with major prognostic implications. Notably, combined perinuclear LOXL2 and fully active YAP1 was revealed as independent predictor of poor prognosis. These findings encourage targeting oncogenic LOXL2 functions for personalized treatment regimens.</p>","PeriodicalId":19805,"journal":{"name":"Pathobiology","volume":" ","pages":"422-433"},"PeriodicalIF":2.0000,"publicationDate":"2024-01-01","publicationTypes":"Journal Article","fieldsOfStudy":null,"isOpenAccess":false,"openAccessPdf":"https://www.ncbi.nlm.nih.gov/pmc/articles/PMC11614311/pdf/","citationCount":"0","resultStr":"{\"title\":\"Tumor-Intrinsic Perinuclear LOXL2: Prognostic Relevance and Relationship with YAP1 Activation Status in Oral Squamous Cell Carcinoma.\",\"authors\":\"Juan P Rodrigo, Gema Moreno-Bueno, Paloma Lequerica-Fernández, Tania Rodríguez-Santamarta, Eva Díaz, Llara Prieto-Fernández, Saúl Álvarez-Teijeiro, Juana M García-Pedrero, Juan Carlos de Vicente\",\"doi\":\"10.1159/000539928\",\"DOIUrl\":null,\"url\":null,\"abstract\":\"<p><strong>Introduction: </strong>Lysyl oxidase-like 2 (LOXL2) expression and function is frequently altered in different cancers but scarcely explored in oral squamous cell carcinoma (OSCC). This prompted us to investigate the clinical relevance of LOXL2 expression pattern in OSCC and also a possible crosstalk with Hippo/YAP1 pathway signaling.</p><p><strong>Methods: </strong>Immunohistochemical analysis of LOXL2 protein expression was performed in 158 OSCC patient samples, together with Yes-associated protein 1 (YAP1) activation status. Correlations with clinicopathological parameters and patient survival were assessed.</p><p><strong>Results: </strong>Tumor cell-intrinsic LOXL2 expression showed two distinct expression patterns: diffuse cytoplasmic staining (64.6%) and heterogeneous perinuclear staining (35.4%). Remarkably, perinuclear LOXL2 staining was significantly associated with lymph node metastasis, advanced clinical stage and perineural invasion. Moreover, patients harboring tumors with perinuclear LOXL2 expression exhibited significantly poorer disease-specific survival (DSS) rates, and perinuclear LOXL2 positivity gradually increased in relation to YAP1 activation. Patients harboring tumors with concomitant perinuclear LOXL2 and fully active YAP1 exhibited the worst DSS. Multivariate Cox analysis further revealed combined perinuclear LOXL2 and fully active YAP1 as a significant independent predictor of poor DSS.</p><p><strong>Conclusion: </strong>Tumor-intrinsic perinuclear LOXL2 emerges as a clinically and biologically relevant feature associated with advanced disease, tumor aggressiveness, and poor prognosis in OSCC. Moreover, this study unprecedentedly uncovers a functional relationship between perinuclear LOXL2 and YAP1 activation with major prognostic implications. Notably, combined perinuclear LOXL2 and fully active YAP1 was revealed as independent predictor of poor prognosis. These findings encourage targeting oncogenic LOXL2 functions for personalized treatment regimens.</p>\",\"PeriodicalId\":19805,\"journal\":{\"name\":\"Pathobiology\",\"volume\":\" \",\"pages\":\"422-433\"},\"PeriodicalIF\":2.0000,\"publicationDate\":\"2024-01-01\",\"publicationTypes\":\"Journal Article\",\"fieldsOfStudy\":null,\"isOpenAccess\":false,\"openAccessPdf\":\"https://www.ncbi.nlm.nih.gov/pmc/articles/PMC11614311/pdf/\",\"citationCount\":\"0\",\"resultStr\":null,\"platform\":\"Semanticscholar\",\"paperid\":null,\"PeriodicalName\":\"Pathobiology\",\"FirstCategoryId\":\"3\",\"ListUrlMain\":\"https://doi.org/10.1159/000539928\",\"RegionNum\":4,\"RegionCategory\":\"医学\",\"ArticlePicture\":[],\"TitleCN\":null,\"AbstractTextCN\":null,\"PMCID\":null,\"EPubDate\":\"2024/6/27 0:00:00\",\"PubModel\":\"Epub\",\"JCR\":\"Q3\",\"JCRName\":\"CELL BIOLOGY\",\"Score\":null,\"Total\":0}","platform":"Semanticscholar","paperid":null,"PeriodicalName":"Pathobiology","FirstCategoryId":"3","ListUrlMain":"https://doi.org/10.1159/000539928","RegionNum":4,"RegionCategory":"医学","ArticlePicture":[],"TitleCN":null,"AbstractTextCN":null,"PMCID":null,"EPubDate":"2024/6/27 0:00:00","PubModel":"Epub","JCR":"Q3","JCRName":"CELL BIOLOGY","Score":null,"Total":0}
引用次数: 0

摘要

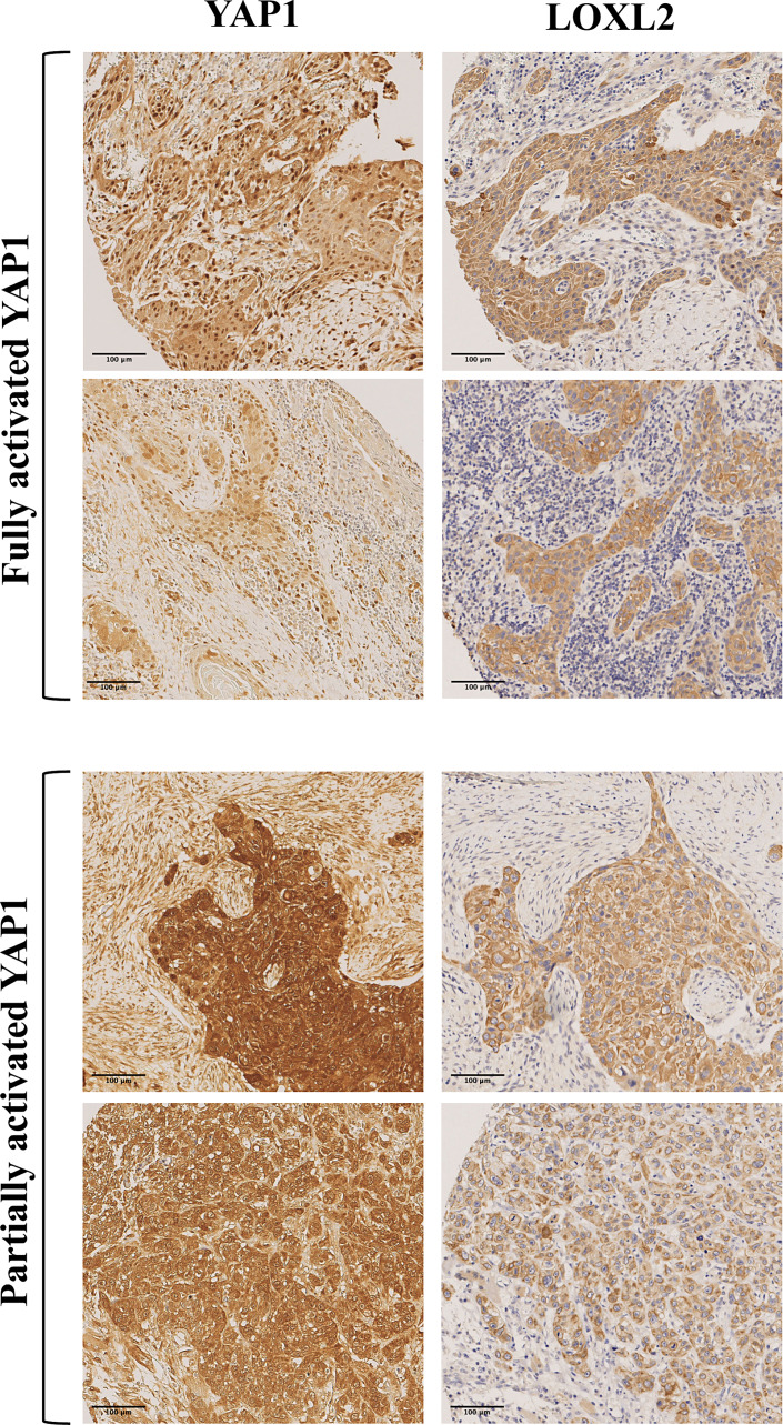
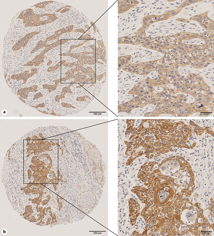
导言:赖氨酰氧化酶样2(LOXL2)的表达和功能在不同癌症中经常发生改变,但在口腔鳞状细胞癌(OSCC)中却鲜有发现。这促使我们研究LOXL2在OSCC中的表达模式的临床意义,以及与Hippo/YAP1通路信号转导之间可能存在的串扰:方法:我们对158例OSCC患者样本中LOXL2蛋白的表达以及Yes-associated protein 1 (YAP1)的激活状态进行了免疫组化分析。评估了LOXL2与临床病理参数和患者生存期的相关性:结果:肿瘤细胞内LOXL2的表达呈现出两种不同的表达模式:弥漫性胞浆染色(64.6%)和异质性核周染色(35.4%)。值得注意的是,核周LOXL2染色与淋巴结转移、临床分期晚期和会厌浸润显著相关。此外,LOXL2核周表达的肿瘤患者的疾病特异性生存率(DSS)明显较低。令人震惊的是,我们还发现,LOXL2核周阳性率随着YAP1的激活而逐渐升高,同时具有LOXL2核周和完全激活的YAP1的肿瘤患者的DSS最差。多变量考克斯分析进一步显示,LOXL2核周阳性和YAP1完全活跃是DSS不良的重要独立预测因素:结论:肿瘤内核周LOXL2是与OSCC晚期疾病、肿瘤侵袭性和不良预后相关的临床和生物学特征。此外,这项研究前所未有地发现了核周LOXL2和YAP1激活之间的功能关系,对预后具有重要影响。值得注意的是,核周LOXL2和完全活跃的YAP1被发现是预后不良的独立预测因素。这些发现鼓励以致癌 LOXL2 功能为靶点,采取个性化治疗方案。
本文章由计算机程序翻译,如有差异,请以英文原文为准。

Tumor-Intrinsic Perinuclear LOXL2: Prognostic Relevance and Relationship with YAP1 Activation Status in Oral Squamous Cell Carcinoma.

Tumor-Intrinsic Perinuclear LOXL2: Prognostic Relevance and Relationship with YAP1 Activation Status in Oral Squamous Cell Carcinoma.

Tumor-Intrinsic Perinuclear LOXL2: Prognostic Relevance and Relationship with YAP1 Activation Status in Oral Squamous Cell Carcinoma.

Tumor-Intrinsic Perinuclear LOXL2: Prognostic Relevance and Relationship with YAP1 Activation Status in Oral Squamous Cell Carcinoma.

Introduction: Lysyl oxidase-like 2 (LOXL2) expression and function is frequently altered in different cancers but scarcely explored in oral squamous cell carcinoma (OSCC). This prompted us to investigate the clinical relevance of LOXL2 expression pattern in OSCC and also a possible crosstalk with Hippo/YAP1 pathway signaling.

Methods: Immunohistochemical analysis of LOXL2 protein expression was performed in 158 OSCC patient samples, together with Yes-associated protein 1 (YAP1) activation status. Correlations with clinicopathological parameters and patient survival were assessed.

Results: Tumor cell-intrinsic LOXL2 expression showed two distinct expression patterns: diffuse cytoplasmic staining (64.6%) and heterogeneous perinuclear staining (35.4%). Remarkably, perinuclear LOXL2 staining was significantly associated with lymph node metastasis, advanced clinical stage and perineural invasion. Moreover, patients harboring tumors with perinuclear LOXL2 expression exhibited significantly poorer disease-specific survival (DSS) rates, and perinuclear LOXL2 positivity gradually increased in relation to YAP1 activation. Patients harboring tumors with concomitant perinuclear LOXL2 and fully active YAP1 exhibited the worst DSS. Multivariate Cox analysis further revealed combined perinuclear LOXL2 and fully active YAP1 as a significant independent predictor of poor DSS.

Conclusion: Tumor-intrinsic perinuclear LOXL2 emerges as a clinically and biologically relevant feature associated with advanced disease, tumor aggressiveness, and poor prognosis in OSCC. Moreover, this study unprecedentedly uncovers a functional relationship between perinuclear LOXL2 and YAP1 activation with major prognostic implications. Notably, combined perinuclear LOXL2 and fully active YAP1 was revealed as independent predictor of poor prognosis. These findings encourage targeting oncogenic LOXL2 functions for personalized treatment regimens.

求助全文
通过发布文献求助,成功后即可免费获取论文全文。 去求助
来源期刊
Pathobiology
Pathobiology 医学-病理学
CiteScore
8.50
自引率
0.00%
发文量
47
审稿时长
>12 weeks
期刊介绍: ''Pathobiology'' offers a valuable platform for the publication of high-quality original research into the mechanisms underlying human disease. Aiming to serve as a bridge between basic biomedical research and clinical medicine, the journal welcomes articles from scientific areas such as pathology, oncology, anatomy, virology, internal medicine, surgery, cell and molecular biology, and immunology. Published bimonthly, ''Pathobiology'' features original research papers and reviews on translational research. The journal offers the possibility to publish proceedings of meetings dedicated to one particular topic.
×
引用
GB/T 7714-2015
复制
MLA
复制
APA
复制
导出至
BibTeX EndNote RefMan NoteFirst NoteExpress
×
提示
您的信息不完整,为了账户安全,请先补充。
现在去补充
×
提示
您因"违规操作"
具体请查看互助需知
我知道了
×
提示
确定
请完成安全验证×
copy
已复制链接
快去分享给好友吧!
我知道了
右上角分享
点击右上角分享
0
联系我们:info@booksci.cn Book学术提供免费学术资源搜索服务,方便国内外学者检索中英文文献。致力于提供最便捷和优质的服务体验。 Copyright © 2023 布克学术 All rights reserved.
京ICP备2023020795号-1
ghs 京公网安备 11010802042870号
Book学术文献互助
Book学术文献互助群
群 号:604180095
Book学术官方微信