早期真菌病组织病理学特征的预后价值:一项回顾性-前瞻性队列研究的启示

IF 1.7 Q3 DERMATOLOGY
Sandra Jerkovic Gulin, Ivana Ilic, Romana Ceovic
{"title":"早期真菌病组织病理学特征的预后价值:一项回顾性-前瞻性队列研究的启示","authors":"Sandra Jerkovic Gulin, Ivana Ilic, Romana Ceovic","doi":"10.3390/dermatopathology11020017","DOIUrl":null,"url":null,"abstract":"<p><p>Primary cutaneous lymphomas (PCLs), especially mycosis fungoides (MF), pose significant diagnostic and therapeutic challenges. This study aims to correlate initial histological features with the disease course and survival in MF patients. A retrospective-prospective cohort study was conducted on 83 patients diagnosed with early-stage MF at the Departments of Dermatovenerology and Pathology, UHC Zagreb, from January 2003 to December 2012. The analyzed histopathological parameters included lichenoid dermal lymphocyte infiltrate, Pautrier microabscesses, and lymphocyte atypia. Patients with more than 30 guardian lymphocytes per 100 keratinocytes exhibited worse overall and progression-free survival. Furthermore, those with over 50% atypical lymphocytes demonstrated a faster progression rate. A dense lichenoid dermal infiltrate and a high count of lymphocyte \"keepers\" significantly increased the mortality risk within five years of diagnosis. This study did not fully confirm the hypothesis regarding the prognostic value of large Pautrier microabscesses but highlighted the importance of dense lichenoid infiltrates. The study identified new potential histopathological prognostic factors in early-stage MF, suggesting the need for larger studies to confirm these findings. The identification of such predictors could enhance the prognostic stratification and guide more tailored therapeutic approaches for MF patients.</p>","PeriodicalId":42885,"journal":{"name":"Dermatopathology","volume":"11 2","pages":"161-176"},"PeriodicalIF":1.7000,"publicationDate":"2024-06-14","publicationTypes":"Journal Article","fieldsOfStudy":null,"isOpenAccess":false,"openAccessPdf":"https://www.ncbi.nlm.nih.gov/pmc/articles/PMC11202688/pdf/","citationCount":"0","resultStr":"{\"title\":\"The Prognostic Value of Histopathological Features in Early-Stage Mycosis Fungoides: Insights from a Retrospective-Prospective Cohort Study.\",\"authors\":\"Sandra Jerkovic Gulin, Ivana Ilic, Romana Ceovic\",\"doi\":\"10.3390/dermatopathology11020017\",\"DOIUrl\":null,\"url\":null,\"abstract\":\"<p><p>Primary cutaneous lymphomas (PCLs), especially mycosis fungoides (MF), pose significant diagnostic and therapeutic challenges. This study aims to correlate initial histological features with the disease course and survival in MF patients. A retrospective-prospective cohort study was conducted on 83 patients diagnosed with early-stage MF at the Departments of Dermatovenerology and Pathology, UHC Zagreb, from January 2003 to December 2012. The analyzed histopathological parameters included lichenoid dermal lymphocyte infiltrate, Pautrier microabscesses, and lymphocyte atypia. Patients with more than 30 guardian lymphocytes per 100 keratinocytes exhibited worse overall and progression-free survival. Furthermore, those with over 50% atypical lymphocytes demonstrated a faster progression rate. A dense lichenoid dermal infiltrate and a high count of lymphocyte \\\"keepers\\\" significantly increased the mortality risk within five years of diagnosis. This study did not fully confirm the hypothesis regarding the prognostic value of large Pautrier microabscesses but highlighted the importance of dense lichenoid infiltrates. The study identified new potential histopathological prognostic factors in early-stage MF, suggesting the need for larger studies to confirm these findings. The identification of such predictors could enhance the prognostic stratification and guide more tailored therapeutic approaches for MF patients.</p>\",\"PeriodicalId\":42885,\"journal\":{\"name\":\"Dermatopathology\",\"volume\":\"11 2\",\"pages\":\"161-176\"},\"PeriodicalIF\":1.7000,\"publicationDate\":\"2024-06-14\",\"publicationTypes\":\"Journal Article\",\"fieldsOfStudy\":null,\"isOpenAccess\":false,\"openAccessPdf\":\"https://www.ncbi.nlm.nih.gov/pmc/articles/PMC11202688/pdf/\",\"citationCount\":\"0\",\"resultStr\":null,\"platform\":\"Semanticscholar\",\"paperid\":null,\"PeriodicalName\":\"Dermatopathology\",\"FirstCategoryId\":\"1085\",\"ListUrlMain\":\"https://doi.org/10.3390/dermatopathology11020017\",\"RegionNum\":0,\"RegionCategory\":null,\"ArticlePicture\":[],\"TitleCN\":null,\"AbstractTextCN\":null,\"PMCID\":null,\"EPubDate\":\"\",\"PubModel\":\"\",\"JCR\":\"Q3\",\"JCRName\":\"DERMATOLOGY\",\"Score\":null,\"Total\":0}","platform":"Semanticscholar","paperid":null,"PeriodicalName":"Dermatopathology","FirstCategoryId":"1085","ListUrlMain":"https://doi.org/10.3390/dermatopathology11020017","RegionNum":0,"RegionCategory":null,"ArticlePicture":[],"TitleCN":null,"AbstractTextCN":null,"PMCID":null,"EPubDate":"","PubModel":"","JCR":"Q3","JCRName":"DERMATOLOGY","Score":null,"Total":0}
引用次数: 0

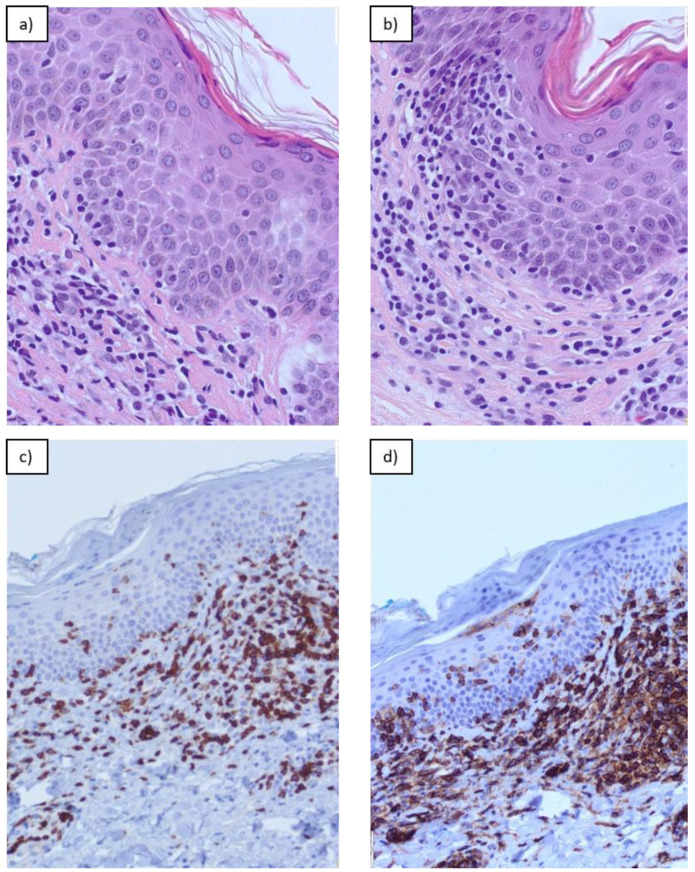
摘要

原发性皮肤淋巴瘤(PCL),尤其是真菌病(MF),给诊断和治疗带来了巨大挑战。本研究旨在将MF患者的初始组织学特征与病程和存活率联系起来。这项回顾性-前瞻性队列研究的对象是2003年1月至2012年12月期间在萨格勒布UHC皮肤变性科和病理科确诊的83名早期MF患者。分析的组织病理学参数包括苔癣样真皮淋巴细胞浸润、保特里尔微脓肿和淋巴细胞不典型性。每100个角质细胞中有超过30个守护淋巴细胞的患者的总生存率和无进展生存率均较低。此外,非典型淋巴细胞超过 50%的患者病情恶化速度更快。密集的苔藓样真皮浸润和高数量的淋巴细胞 "守护者 "会显著增加确诊后五年内的死亡风险。这项研究没有完全证实关于大面积保特里尔微脓肿预后价值的假设,但强调了致密苔癣样浸润的重要性。该研究发现了早期多发性骨髓瘤新的潜在组织病理学预后因素,这表明需要更大规模的研究来证实这些发现。这些预测因素的确定可加强预后分层,并指导对MF患者采取更有针对性的治疗方法。
本文章由计算机程序翻译,如有差异,请以英文原文为准。

The Prognostic Value of Histopathological Features in Early-Stage Mycosis Fungoides: Insights from a Retrospective-Prospective Cohort Study.

The Prognostic Value of Histopathological Features in Early-Stage Mycosis Fungoides: Insights from a Retrospective-Prospective Cohort Study.

The Prognostic Value of Histopathological Features in Early-Stage Mycosis Fungoides: Insights from a Retrospective-Prospective Cohort Study.

The Prognostic Value of Histopathological Features in Early-Stage Mycosis Fungoides: Insights from a Retrospective-Prospective Cohort Study.

Primary cutaneous lymphomas (PCLs), especially mycosis fungoides (MF), pose significant diagnostic and therapeutic challenges. This study aims to correlate initial histological features with the disease course and survival in MF patients. A retrospective-prospective cohort study was conducted on 83 patients diagnosed with early-stage MF at the Departments of Dermatovenerology and Pathology, UHC Zagreb, from January 2003 to December 2012. The analyzed histopathological parameters included lichenoid dermal lymphocyte infiltrate, Pautrier microabscesses, and lymphocyte atypia. Patients with more than 30 guardian lymphocytes per 100 keratinocytes exhibited worse overall and progression-free survival. Furthermore, those with over 50% atypical lymphocytes demonstrated a faster progression rate. A dense lichenoid dermal infiltrate and a high count of lymphocyte "keepers" significantly increased the mortality risk within five years of diagnosis. This study did not fully confirm the hypothesis regarding the prognostic value of large Pautrier microabscesses but highlighted the importance of dense lichenoid infiltrates. The study identified new potential histopathological prognostic factors in early-stage MF, suggesting the need for larger studies to confirm these findings. The identification of such predictors could enhance the prognostic stratification and guide more tailored therapeutic approaches for MF patients.

求助全文
通过发布文献求助,成功后即可免费获取论文全文。 去求助
来源期刊
Dermatopathology
Dermatopathology DERMATOLOGY-
自引率
5.30%
发文量
39
审稿时长
11 weeks
×
引用
GB/T 7714-2015
复制
MLA
复制
APA
复制
导出至
BibTeX EndNote RefMan NoteFirst NoteExpress
×
提示
您的信息不完整,为了账户安全,请先补充。
现在去补充
×
提示
您因"违规操作"
具体请查看互助需知
我知道了
×
提示
确定
请完成安全验证×
copy
已复制链接
快去分享给好友吧!
我知道了
右上角分享
点击右上角分享
0
联系我们:info@booksci.cn Book学术提供免费学术资源搜索服务,方便国内外学者检索中英文文献。致力于提供最便捷和优质的服务体验。 Copyright © 2023 布克学术 All rights reserved.
京ICP备2023020795号-1
ghs 京公网安备 11010802042870号
Book学术文献互助
Book学术文献互助群
群 号:604180095
Book学术官方微信