脾脏微丝虫病和胰腺实性假乳头状上皮肿瘤并存的罕见病例--双重危险!

IF 0.8 Q3 MEDICINE, GENERAL & INTERNAL
Sangeeta Kini, Rima N Kamat, Sneha Janjal, Heena M Desai
{"title":"脾脏微丝虫病和胰腺实性假乳头状上皮肿瘤并存的罕见病例--双重危险!","authors":"Sangeeta Kini, Rima N Kamat, Sneha Janjal, Heena M Desai","doi":"10.4103/ijabmr.ijabmr_464_23","DOIUrl":null,"url":null,"abstract":"<p><p>Filariasis is a major public health concern in tropical and subtropical countries like India with <i>Wuchereria bancrofti</i> accounting for 90% of lymphatic filariasis. Rarely observed are extra lymphatic manifestations caused by interaction of immune system with microfilaria and their diffusible products. Among various organs involved, splenic involvement is a rare extra lymphatic manifestation of filariasis and can masquerade clinicoradiologically as metastasis when associated with a known malignancy or as a primary malignancy like lymphoma. Hereby, we present an unusual case of coincidence of splenic filariasis with pancreatic solid pseudopapillary epithelial neoplasm in a 20-year-old woman associated with peripheral blood eosinophilia.</p>","PeriodicalId":13727,"journal":{"name":"International Journal of Applied and Basic Medical Research","volume":"14 2","pages":"131-133"},"PeriodicalIF":0.8000,"publicationDate":"2024-04-01","publicationTypes":"Journal Article","fieldsOfStudy":null,"isOpenAccess":false,"openAccessPdf":"https://www.ncbi.nlm.nih.gov/pmc/articles/PMC11189261/pdf/","citationCount":"0","resultStr":"{\"title\":\"A Rare Co-existent Case of Splenic Microfilariasis and Pancreatic Solid Pseudopapillary Epithelial Neoplasm - A Double Jeopardy!\",\"authors\":\"Sangeeta Kini, Rima N Kamat, Sneha Janjal, Heena M Desai\",\"doi\":\"10.4103/ijabmr.ijabmr_464_23\",\"DOIUrl\":null,\"url\":null,\"abstract\":\"<p><p>Filariasis is a major public health concern in tropical and subtropical countries like India with <i>Wuchereria bancrofti</i> accounting for 90% of lymphatic filariasis. Rarely observed are extra lymphatic manifestations caused by interaction of immune system with microfilaria and their diffusible products. Among various organs involved, splenic involvement is a rare extra lymphatic manifestation of filariasis and can masquerade clinicoradiologically as metastasis when associated with a known malignancy or as a primary malignancy like lymphoma. Hereby, we present an unusual case of coincidence of splenic filariasis with pancreatic solid pseudopapillary epithelial neoplasm in a 20-year-old woman associated with peripheral blood eosinophilia.</p>\",\"PeriodicalId\":13727,\"journal\":{\"name\":\"International Journal of Applied and Basic Medical Research\",\"volume\":\"14 2\",\"pages\":\"131-133\"},\"PeriodicalIF\":0.8000,\"publicationDate\":\"2024-04-01\",\"publicationTypes\":\"Journal Article\",\"fieldsOfStudy\":null,\"isOpenAccess\":false,\"openAccessPdf\":\"https://www.ncbi.nlm.nih.gov/pmc/articles/PMC11189261/pdf/\",\"citationCount\":\"0\",\"resultStr\":null,\"platform\":\"Semanticscholar\",\"paperid\":null,\"PeriodicalName\":\"International Journal of Applied and Basic Medical Research\",\"FirstCategoryId\":\"1085\",\"ListUrlMain\":\"https://doi.org/10.4103/ijabmr.ijabmr_464_23\",\"RegionNum\":0,\"RegionCategory\":null,\"ArticlePicture\":[],\"TitleCN\":null,\"AbstractTextCN\":null,\"PMCID\":null,\"EPubDate\":\"2024/5/24 0:00:00\",\"PubModel\":\"Epub\",\"JCR\":\"Q3\",\"JCRName\":\"MEDICINE, GENERAL & INTERNAL\",\"Score\":null,\"Total\":0}","platform":"Semanticscholar","paperid":null,"PeriodicalName":"International Journal of Applied and Basic Medical Research","FirstCategoryId":"1085","ListUrlMain":"https://doi.org/10.4103/ijabmr.ijabmr_464_23","RegionNum":0,"RegionCategory":null,"ArticlePicture":[],"TitleCN":null,"AbstractTextCN":null,"PMCID":null,"EPubDate":"2024/5/24 0:00:00","PubModel":"Epub","JCR":"Q3","JCRName":"MEDICINE, GENERAL & INTERNAL","Score":null,"Total":0}
引用次数: 0

摘要

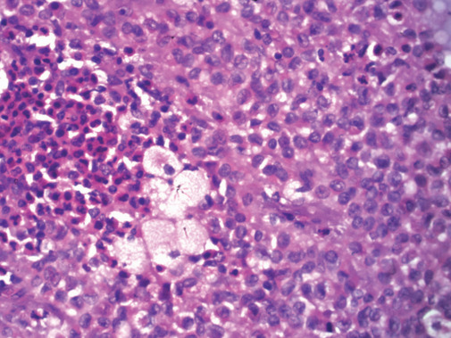
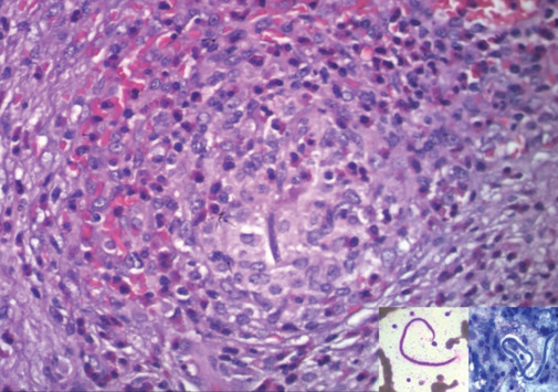
丝虫病是印度等热带和亚热带国家的主要公共卫生问题,其中90%的淋巴丝虫病是由班氏武契罗菲亚(Wuchereria bancrofti)引起的。由于免疫系统与微丝蚴及其扩散产物相互作用而引起的淋巴外表现很少见。在各种受累器官中,脾脏受累是丝虫病罕见的淋巴外表现,临床放射学上可表现为与已知恶性肿瘤相关的转移瘤或淋巴瘤等原发性恶性肿瘤。在此,我们介绍了一例不寻常的病例,患者为一名20岁女性,伴有外周血嗜酸性粒细胞增多,同时患有脾丝虫病和胰腺实性假乳头状上皮肿瘤。
本文章由计算机程序翻译,如有差异,请以英文原文为准。

A Rare Co-existent Case of Splenic Microfilariasis and Pancreatic Solid Pseudopapillary Epithelial Neoplasm - A Double Jeopardy!

A Rare Co-existent Case of Splenic Microfilariasis and Pancreatic Solid Pseudopapillary Epithelial Neoplasm - A Double Jeopardy!

A Rare Co-existent Case of Splenic Microfilariasis and Pancreatic Solid Pseudopapillary Epithelial Neoplasm - A Double Jeopardy!

A Rare Co-existent Case of Splenic Microfilariasis and Pancreatic Solid Pseudopapillary Epithelial Neoplasm - A Double Jeopardy!

Filariasis is a major public health concern in tropical and subtropical countries like India with Wuchereria bancrofti accounting for 90% of lymphatic filariasis. Rarely observed are extra lymphatic manifestations caused by interaction of immune system with microfilaria and their diffusible products. Among various organs involved, splenic involvement is a rare extra lymphatic manifestation of filariasis and can masquerade clinicoradiologically as metastasis when associated with a known malignancy or as a primary malignancy like lymphoma. Hereby, we present an unusual case of coincidence of splenic filariasis with pancreatic solid pseudopapillary epithelial neoplasm in a 20-year-old woman associated with peripheral blood eosinophilia.

求助全文
通过发布文献求助,成功后即可免费获取论文全文。 去求助
来源期刊
自引率
0.00%
发文量
46
×
引用
GB/T 7714-2015
复制
MLA
复制
APA
复制
导出至
BibTeX EndNote RefMan NoteFirst NoteExpress
×
提示
您的信息不完整,为了账户安全,请先补充。
现在去补充
×
提示
您因"违规操作"
具体请查看互助需知
我知道了
×
提示
确定
请完成安全验证×
copy
已复制链接
快去分享给好友吧!
我知道了
右上角分享
点击右上角分享
0
联系我们:info@booksci.cn Book学术提供免费学术资源搜索服务,方便国内外学者检索中英文文献。致力于提供最便捷和优质的服务体验。 Copyright © 2023 布克学术 All rights reserved.
京ICP备2023020795号-1
ghs 京公网安备 11010802042870号
Book学术文献互助
Book学术文献互助群
群 号:604180095
Book学术官方微信