炎性体对眼表的影响。

IF 2.6 4区 医学 Q2 ALLERGY
Gwen S Stinnett, Chuan-Hui Kuo, Santa J Ono
{"title":"炎性体对眼表的影响。","authors":"Gwen S Stinnett, Chuan-Hui Kuo, Santa J Ono","doi":"10.1097/ACI.0000000000001004","DOIUrl":null,"url":null,"abstract":"<p><strong>Purpose of review: </strong>The ocular surface is prone to inflammation due to exposure to environmental irritants and pathogens. Inflammasomes are intracellular, multiprotein complexes that communicate potentially dangerous signals to the immune system. The identification of inflammasomes in various inflammatory ocular surface conditions can aid in the development of therapeutics to treat these chronic inflammatory conditions.</p><p><strong>Recent findings: </strong>Several inflammasomes have been associated with ocular surface disorders including dry eye disease, keratitis, and allergies. Mechanisms for activation of these inflammasomes with regards to specific disorders have been explored in models to aid in the development of targeted treatments.</p><p><strong>Summary: </strong>Research efforts continue to characterize the types of inflammasomes and activators of these in inflammatory ocular surface conditions. Various therapies targeting specific inflammasome types or pyroptosis are being tested preclinically to assess effects on decreasing the associated chronic inflammation.</p>","PeriodicalId":10956,"journal":{"name":"Current Opinion in Allergy and Clinical Immunology","volume":" ","pages":"368-374"},"PeriodicalIF":2.6000,"publicationDate":"2024-10-01","publicationTypes":"Journal Article","fieldsOfStudy":null,"isOpenAccess":false,"openAccessPdf":"https://www.ncbi.nlm.nih.gov/pmc/articles/PMC11356675/pdf/","citationCount":"0","resultStr":"{\"title\":\"Impact of inflammasomes on the ocular surface.\",\"authors\":\"Gwen S Stinnett, Chuan-Hui Kuo, Santa J Ono\",\"doi\":\"10.1097/ACI.0000000000001004\",\"DOIUrl\":null,\"url\":null,\"abstract\":\"<p><strong>Purpose of review: </strong>The ocular surface is prone to inflammation due to exposure to environmental irritants and pathogens. Inflammasomes are intracellular, multiprotein complexes that communicate potentially dangerous signals to the immune system. The identification of inflammasomes in various inflammatory ocular surface conditions can aid in the development of therapeutics to treat these chronic inflammatory conditions.</p><p><strong>Recent findings: </strong>Several inflammasomes have been associated with ocular surface disorders including dry eye disease, keratitis, and allergies. Mechanisms for activation of these inflammasomes with regards to specific disorders have been explored in models to aid in the development of targeted treatments.</p><p><strong>Summary: </strong>Research efforts continue to characterize the types of inflammasomes and activators of these in inflammatory ocular surface conditions. Various therapies targeting specific inflammasome types or pyroptosis are being tested preclinically to assess effects on decreasing the associated chronic inflammation.</p>\",\"PeriodicalId\":10956,\"journal\":{\"name\":\"Current Opinion in Allergy and Clinical Immunology\",\"volume\":\" \",\"pages\":\"368-374\"},\"PeriodicalIF\":2.6000,\"publicationDate\":\"2024-10-01\",\"publicationTypes\":\"Journal Article\",\"fieldsOfStudy\":null,\"isOpenAccess\":false,\"openAccessPdf\":\"https://www.ncbi.nlm.nih.gov/pmc/articles/PMC11356675/pdf/\",\"citationCount\":\"0\",\"resultStr\":null,\"platform\":\"Semanticscholar\",\"paperid\":null,\"PeriodicalName\":\"Current Opinion in Allergy and Clinical Immunology\",\"FirstCategoryId\":\"3\",\"ListUrlMain\":\"https://doi.org/10.1097/ACI.0000000000001004\",\"RegionNum\":4,\"RegionCategory\":\"医学\",\"ArticlePicture\":[],\"TitleCN\":null,\"AbstractTextCN\":null,\"PMCID\":null,\"EPubDate\":\"2024/6/20 0:00:00\",\"PubModel\":\"Epub\",\"JCR\":\"Q2\",\"JCRName\":\"ALLERGY\",\"Score\":null,\"Total\":0}","platform":"Semanticscholar","paperid":null,"PeriodicalName":"Current Opinion in Allergy and Clinical Immunology","FirstCategoryId":"3","ListUrlMain":"https://doi.org/10.1097/ACI.0000000000001004","RegionNum":4,"RegionCategory":"医学","ArticlePicture":[],"TitleCN":null,"AbstractTextCN":null,"PMCID":null,"EPubDate":"2024/6/20 0:00:00","PubModel":"Epub","JCR":"Q2","JCRName":"ALLERGY","Score":null,"Total":0}
引用次数: 0

摘要

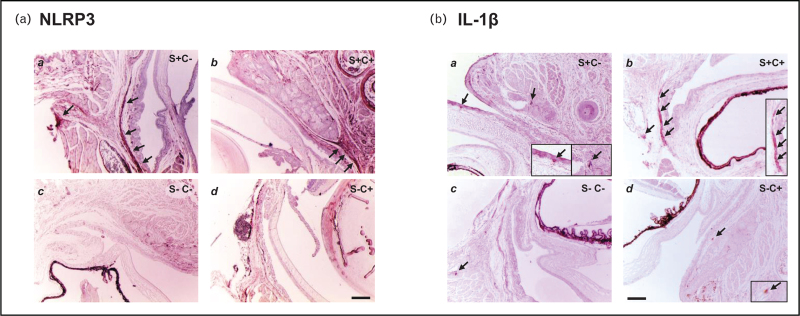
审查目的:由于暴露于环境刺激物和病原体,眼表很容易发生炎症。炎症体是一种细胞内多蛋白复合物,可向免疫系统传递潜在的危险信号。在各种炎症性眼表疾病中识别炎症体有助于开发治疗这些慢性炎症的疗法:一些炎症体与干眼症、角膜炎和过敏症等眼表疾病有关。我们在模型中探索了这些炎性体激活特定疾病的机制,以帮助开发有针对性的治疗方法:研究工作仍在继续,以确定炎症性眼表疾病中的炎性体类型及其激活剂的特征。目前正在对针对特定炎性体类型或炎症蛋白酶活性的各种疗法进行临床前测试,以评估其对减轻相关慢性炎症的效果。
本文章由计算机程序翻译,如有差异,请以英文原文为准。

Impact of inflammasomes on the ocular surface.

Impact of inflammasomes on the ocular surface.

Impact of inflammasomes on the ocular surface.

Impact of inflammasomes on the ocular surface.

Purpose of review: The ocular surface is prone to inflammation due to exposure to environmental irritants and pathogens. Inflammasomes are intracellular, multiprotein complexes that communicate potentially dangerous signals to the immune system. The identification of inflammasomes in various inflammatory ocular surface conditions can aid in the development of therapeutics to treat these chronic inflammatory conditions.

Recent findings: Several inflammasomes have been associated with ocular surface disorders including dry eye disease, keratitis, and allergies. Mechanisms for activation of these inflammasomes with regards to specific disorders have been explored in models to aid in the development of targeted treatments.

Summary: Research efforts continue to characterize the types of inflammasomes and activators of these in inflammatory ocular surface conditions. Various therapies targeting specific inflammasome types or pyroptosis are being tested preclinically to assess effects on decreasing the associated chronic inflammation.

求助全文
通过发布文献求助,成功后即可免费获取论文全文。 去求助
来源期刊
CiteScore
5.90
自引率
3.60%
发文量
109
审稿时长
6-12 weeks
期刊介绍: This reader-friendly, bimonthly resource provides a powerful, broad-based perspective on the most important advances from throughout the world literature. Featuring renowned guest editors and focusing exclusively on one to three topics, every issue of Current Opinion in Allergy and Clinical Immunology delivers unvarnished, expert assessments of developments from the previous year. Insightful editorials and on-the-mark invited reviews cover key subjects such as upper airway disease; mechanisms of allergy and adult asthma; paediatric asthma and development of atopy; food and drug allergies; and immunotherapy.
×
引用
GB/T 7714-2015
复制
MLA
复制
APA
复制
导出至
BibTeX EndNote RefMan NoteFirst NoteExpress
×
提示
您的信息不完整,为了账户安全,请先补充。
现在去补充
×
提示
您因"违规操作"
具体请查看互助需知
我知道了
×
提示
确定
请完成安全验证×
copy
已复制链接
快去分享给好友吧!
我知道了
右上角分享
点击右上角分享
0
联系我们:info@booksci.cn Book学术提供免费学术资源搜索服务,方便国内外学者检索中英文文献。致力于提供最便捷和优质的服务体验。 Copyright © 2023 布克学术 All rights reserved.
京ICP备2023020795号-1
ghs 京公网安备 11010802042870号
Book学术文献互助
Book学术文献互助群
群 号:604180095
Book学术官方微信