机器人辅助腹腔镜前列腺癌根治术治疗睾丸癌转移复发。

Case Reports in Urology Pub Date : 2024-06-11 eCollection Date: 2024-01-01 DOI:10.1155/2024/1941414
Kohei Hirose, Yasukazu Nakanishi, Ryo Andy Ogasawara, Naoki Imasato, Sao Katsumura, Madoka Kataoka, Shugo Yajima, Hitoshi Masuda
{"title":"机器人辅助腹腔镜前列腺癌根治术治疗睾丸癌转移复发。","authors":"Kohei Hirose, Yasukazu Nakanishi, Ryo Andy Ogasawara, Naoki Imasato, Sao Katsumura, Madoka Kataoka, Shugo Yajima, Hitoshi Masuda","doi":"10.1155/2024/1941414","DOIUrl":null,"url":null,"abstract":"<p><strong>Introduction: </strong>Treatment evidence for malignancies metastatic to the prostate in young patients is scarce. Herein, we present a case of prostatic metastasis from testicular cancer treated with induction chemotherapy followed by robot-assisted radical prostatectomy. <i>Case Presentation.</i> The patient is a 34-year-old male who underwent radical orchiectomy for a left testicular tumor two years ago and was diagnosed with a mixed germ cell tumor. He was followed up without adjuvant therapy, but symptoms of dysuria lead to suspicion of a prostate tumor, which was diagnosed by prostate biopsy as seminoma of the prostate. After four cycles of chemotherapy, normalization of tumor markers, and tumor shrinkage on imaging, he underwent robot-assisted radical prostatectomy. No recurrence has been observed nine months after treatment.</p><p><strong>Conclusion: </strong>In men with a history of testicular cancer presenting with lower urinary tract symptoms, it is important to consider recurrent prostate metastases.</p>","PeriodicalId":30323,"journal":{"name":"Case Reports in Urology","volume":"2024 ","pages":"1941414"},"PeriodicalIF":0.0000,"publicationDate":"2024-06-11","publicationTypes":"Journal Article","fieldsOfStudy":null,"isOpenAccess":false,"openAccessPdf":"https://www.ncbi.nlm.nih.gov/pmc/articles/PMC11186679/pdf/","citationCount":"0","resultStr":"{\"title\":\"Robot-Assisted Laparoscopic Radical Prostatectomy for Prostatic Metastatic Recurrence from Testicular Cancer.\",\"authors\":\"Kohei Hirose, Yasukazu Nakanishi, Ryo Andy Ogasawara, Naoki Imasato, Sao Katsumura, Madoka Kataoka, Shugo Yajima, Hitoshi Masuda\",\"doi\":\"10.1155/2024/1941414\",\"DOIUrl\":null,\"url\":null,\"abstract\":\"<p><strong>Introduction: </strong>Treatment evidence for malignancies metastatic to the prostate in young patients is scarce. Herein, we present a case of prostatic metastasis from testicular cancer treated with induction chemotherapy followed by robot-assisted radical prostatectomy. <i>Case Presentation.</i> The patient is a 34-year-old male who underwent radical orchiectomy for a left testicular tumor two years ago and was diagnosed with a mixed germ cell tumor. He was followed up without adjuvant therapy, but symptoms of dysuria lead to suspicion of a prostate tumor, which was diagnosed by prostate biopsy as seminoma of the prostate. After four cycles of chemotherapy, normalization of tumor markers, and tumor shrinkage on imaging, he underwent robot-assisted radical prostatectomy. No recurrence has been observed nine months after treatment.</p><p><strong>Conclusion: </strong>In men with a history of testicular cancer presenting with lower urinary tract symptoms, it is important to consider recurrent prostate metastases.</p>\",\"PeriodicalId\":30323,\"journal\":{\"name\":\"Case Reports in Urology\",\"volume\":\"2024 \",\"pages\":\"1941414\"},\"PeriodicalIF\":0.0000,\"publicationDate\":\"2024-06-11\",\"publicationTypes\":\"Journal Article\",\"fieldsOfStudy\":null,\"isOpenAccess\":false,\"openAccessPdf\":\"https://www.ncbi.nlm.nih.gov/pmc/articles/PMC11186679/pdf/\",\"citationCount\":\"0\",\"resultStr\":null,\"platform\":\"Semanticscholar\",\"paperid\":null,\"PeriodicalName\":\"Case Reports in Urology\",\"FirstCategoryId\":\"1085\",\"ListUrlMain\":\"https://doi.org/10.1155/2024/1941414\",\"RegionNum\":0,\"RegionCategory\":null,\"ArticlePicture\":[],\"TitleCN\":null,\"AbstractTextCN\":null,\"PMCID\":null,\"EPubDate\":\"2024/1/1 0:00:00\",\"PubModel\":\"eCollection\",\"JCR\":\"\",\"JCRName\":\"\",\"Score\":null,\"Total\":0}","platform":"Semanticscholar","paperid":null,"PeriodicalName":"Case Reports in Urology","FirstCategoryId":"1085","ListUrlMain":"https://doi.org/10.1155/2024/1941414","RegionNum":0,"RegionCategory":null,"ArticlePicture":[],"TitleCN":null,"AbstractTextCN":null,"PMCID":null,"EPubDate":"2024/1/1 0:00:00","PubModel":"eCollection","JCR":"","JCRName":"","Score":null,"Total":0}
引用次数: 0

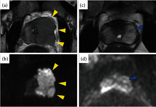
摘要

导言:针对年轻患者转移至前列腺的恶性肿瘤的治疗证据很少。在此,我们将介绍一例睾丸癌前列腺转移的病例,患者在接受诱导化疗后接受了机器人辅助前列腺癌根治术。病例介绍。患者是一名 34 岁的男性,两年前因左侧睾丸肿瘤接受了根治性睾丸切除术,被诊断为混合性生殖细胞肿瘤。他在没有辅助治疗的情况下接受了随访,但排尿困难的症状使他怀疑患上了前列腺肿瘤,经前列腺活检确诊为前列腺精原细胞瘤。经过四个周期的化疗,肿瘤标志物恢复正常,影像学显示肿瘤缩小,他接受了机器人辅助前列腺癌根治术。治疗九个月后未发现复发:结论:对于有睾丸癌病史并伴有下尿路症状的男性,考虑前列腺复发转移非常重要。
本文章由计算机程序翻译,如有差异,请以英文原文为准。

Robot-Assisted Laparoscopic Radical Prostatectomy for Prostatic Metastatic Recurrence from Testicular Cancer.

Robot-Assisted Laparoscopic Radical Prostatectomy for Prostatic Metastatic Recurrence from Testicular Cancer.

Introduction: Treatment evidence for malignancies metastatic to the prostate in young patients is scarce. Herein, we present a case of prostatic metastasis from testicular cancer treated with induction chemotherapy followed by robot-assisted radical prostatectomy. Case Presentation. The patient is a 34-year-old male who underwent radical orchiectomy for a left testicular tumor two years ago and was diagnosed with a mixed germ cell tumor. He was followed up without adjuvant therapy, but symptoms of dysuria lead to suspicion of a prostate tumor, which was diagnosed by prostate biopsy as seminoma of the prostate. After four cycles of chemotherapy, normalization of tumor markers, and tumor shrinkage on imaging, he underwent robot-assisted radical prostatectomy. No recurrence has been observed nine months after treatment.

Conclusion: In men with a history of testicular cancer presenting with lower urinary tract symptoms, it is important to consider recurrent prostate metastases.

求助全文
通过发布文献求助,成功后即可免费获取论文全文。 去求助
来源期刊
自引率
0.00%
发文量
28
审稿时长
13 weeks
×
引用
GB/T 7714-2015
复制
MLA
复制
APA
复制
导出至
BibTeX EndNote RefMan NoteFirst NoteExpress
×
提示
您的信息不完整,为了账户安全,请先补充。
现在去补充
×
提示
您因"违规操作"
具体请查看互助需知
我知道了
×
提示
确定
请完成安全验证×
copy
已复制链接
快去分享给好友吧!
我知道了
右上角分享
点击右上角分享
0
联系我们:info@booksci.cn Book学术提供免费学术资源搜索服务,方便国内外学者检索中英文文献。致力于提供最便捷和优质的服务体验。 Copyright © 2023 布克学术 All rights reserved.
京ICP备2023020795号-1
ghs 京公网安备 11010802042870号
Book学术文献互助
Book学术文献互助群
群 号:604180095
Book学术官方微信