多奈哌齐诱发阿尔茨海默病患者的强迫症。

IF 0.9
PCN reports : psychiatry and clinical neurosciences Pub Date : 2024-06-17 eCollection Date: 2024-06-01 DOI:10.1002/pcn5.217
Kohei Echizen, Daisuke Hirose
{"title":"多奈哌齐诱发阿尔茨海默病患者的强迫症。","authors":"Kohei Echizen, Daisuke Hirose","doi":"10.1002/pcn5.217","DOIUrl":null,"url":null,"abstract":"<p><strong>Background: </strong>Donepezil, an acetylcholinesterase inhibitor commonly used to treat Alzheimer's disease (AD), is generally well tolerated. There have been no previous reports on donepezil-induced obsessive-compulsive disorder (OCD).</p><p><strong>Case presentation: </strong>The patient, a retired man in his 70s diagnosed with AD, displayed OCD symptoms following donepezil initiation, exacerbating post-stroke-specifically, a cerebral infarction in the right posterior limb of the internal capsule. Remarkably, the symptoms abated upon discontinuation of donepezil.</p><p><strong>Conclusion: </strong>Caution should be exercised when using donepezil in patients with a history of stroke.</p>","PeriodicalId":74405,"journal":{"name":"PCN reports : psychiatry and clinical neurosciences","volume":"3 2","pages":"e217"},"PeriodicalIF":0.9000,"publicationDate":"2024-06-17","publicationTypes":"Journal Article","fieldsOfStudy":null,"isOpenAccess":false,"openAccessPdf":"https://www.ncbi.nlm.nih.gov/pmc/articles/PMC11180973/pdf/","citationCount":"0","resultStr":"{\"title\":\"Obsessive-compulsive disorder induced by donepezil in a patient with Alzheimer's disease.\",\"authors\":\"Kohei Echizen, Daisuke Hirose\",\"doi\":\"10.1002/pcn5.217\",\"DOIUrl\":null,\"url\":null,\"abstract\":\"<p><strong>Background: </strong>Donepezil, an acetylcholinesterase inhibitor commonly used to treat Alzheimer's disease (AD), is generally well tolerated. There have been no previous reports on donepezil-induced obsessive-compulsive disorder (OCD).</p><p><strong>Case presentation: </strong>The patient, a retired man in his 70s diagnosed with AD, displayed OCD symptoms following donepezil initiation, exacerbating post-stroke-specifically, a cerebral infarction in the right posterior limb of the internal capsule. Remarkably, the symptoms abated upon discontinuation of donepezil.</p><p><strong>Conclusion: </strong>Caution should be exercised when using donepezil in patients with a history of stroke.</p>\",\"PeriodicalId\":74405,\"journal\":{\"name\":\"PCN reports : psychiatry and clinical neurosciences\",\"volume\":\"3 2\",\"pages\":\"e217\"},\"PeriodicalIF\":0.9000,\"publicationDate\":\"2024-06-17\",\"publicationTypes\":\"Journal Article\",\"fieldsOfStudy\":null,\"isOpenAccess\":false,\"openAccessPdf\":\"https://www.ncbi.nlm.nih.gov/pmc/articles/PMC11180973/pdf/\",\"citationCount\":\"0\",\"resultStr\":null,\"platform\":\"Semanticscholar\",\"paperid\":null,\"PeriodicalName\":\"PCN reports : psychiatry and clinical neurosciences\",\"FirstCategoryId\":\"1085\",\"ListUrlMain\":\"https://doi.org/10.1002/pcn5.217\",\"RegionNum\":0,\"RegionCategory\":null,\"ArticlePicture\":[],\"TitleCN\":null,\"AbstractTextCN\":null,\"PMCID\":null,\"EPubDate\":\"2024/6/1 0:00:00\",\"PubModel\":\"eCollection\",\"JCR\":\"\",\"JCRName\":\"\",\"Score\":null,\"Total\":0}","platform":"Semanticscholar","paperid":null,"PeriodicalName":"PCN reports : psychiatry and clinical neurosciences","FirstCategoryId":"1085","ListUrlMain":"https://doi.org/10.1002/pcn5.217","RegionNum":0,"RegionCategory":null,"ArticlePicture":[],"TitleCN":null,"AbstractTextCN":null,"PMCID":null,"EPubDate":"2024/6/1 0:00:00","PubModel":"eCollection","JCR":"","JCRName":"","Score":null,"Total":0}
引用次数: 0

摘要

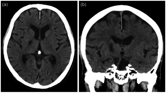
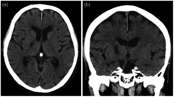
背景:多奈哌齐是一种乙酰胆碱酯酶抑制剂,常用于治疗阿尔茨海默病(AD),一般耐受性良好。以前没有关于多奈哌齐诱发强迫症(OCD)的报道:患者是一名 70 多岁的退休男子,被诊断患有 AD,在开始服用多奈哌齐后出现了强迫症症状,中风后症状加剧,特别是右侧内囊后肢脑梗塞。值得注意的是,这些症状在停用多奈哌齐后有所缓解:结论:对有中风病史的患者使用多奈哌齐时应谨慎。
本文章由计算机程序翻译,如有差异,请以英文原文为准。

Obsessive-compulsive disorder induced by donepezil in a patient with Alzheimer's disease.

Obsessive-compulsive disorder induced by donepezil in a patient with Alzheimer's disease.

Obsessive-compulsive disorder induced by donepezil in a patient with Alzheimer's disease.

Background: Donepezil, an acetylcholinesterase inhibitor commonly used to treat Alzheimer's disease (AD), is generally well tolerated. There have been no previous reports on donepezil-induced obsessive-compulsive disorder (OCD).

Case presentation: The patient, a retired man in his 70s diagnosed with AD, displayed OCD symptoms following donepezil initiation, exacerbating post-stroke-specifically, a cerebral infarction in the right posterior limb of the internal capsule. Remarkably, the symptoms abated upon discontinuation of donepezil.

Conclusion: Caution should be exercised when using donepezil in patients with a history of stroke.

求助全文
通过发布文献求助,成功后即可免费获取论文全文。 去求助
来源期刊
CiteScore
0.70
自引率
0.00%
发文量
0
×
引用
GB/T 7714-2015
复制
MLA
复制
APA
复制
导出至
BibTeX EndNote RefMan NoteFirst NoteExpress
×
提示
您的信息不完整,为了账户安全,请先补充。
现在去补充
×
提示
您因"违规操作"
具体请查看互助需知
我知道了
×
提示
确定
请完成安全验证×
copy
已复制链接
快去分享给好友吧!
我知道了
右上角分享
点击右上角分享
0
联系我们:info@booksci.cn Book学术提供免费学术资源搜索服务,方便国内外学者检索中英文文献。致力于提供最便捷和优质的服务体验。 Copyright © 2023 布克学术 All rights reserved.
京ICP备2023020795号-1
ghs 京公网安备 11010802042870号
Book学术文献互助
Book学术文献互助群
群 号:604180095
Book学术官方微信