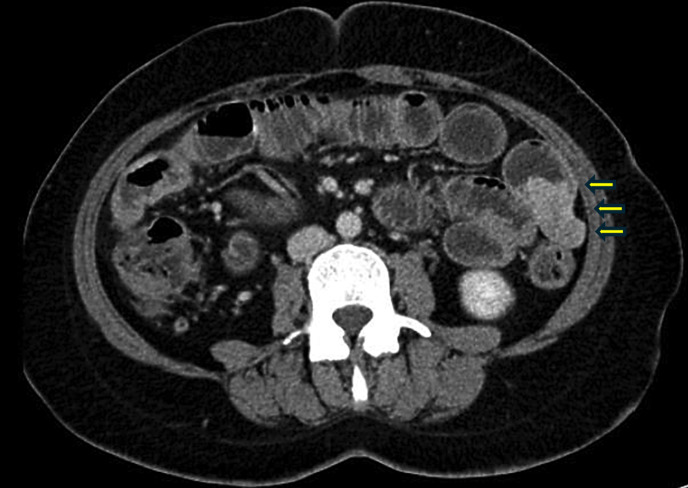
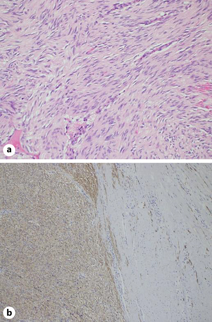
神经纤维瘤病 1 型表现为出血性空肠胃肠道间质瘤。

IF 0.6 Q4 GASTROENTEROLOGY & HEPATOLOGY
Case Reports in Gastroenterology Pub Date : 2024-06-07 eCollection Date: 2024-01-01 DOI:10.1159/000538688
Raymond Fueng-Hin Liang, Cora Yuk-Ping Chau, Wee Chian Lim
{"title":"神经纤维瘤病 1 型表现为出血性空肠胃肠道间质瘤。","authors":"Raymond Fueng-Hin Liang, Cora Yuk-Ping Chau, Wee Chian Lim","doi":"10.1159/000538688","DOIUrl":null,"url":null,"abstract":"<p><strong>Introduction: </strong>Gastrointestinal stromal tumours (GISTs) are an important, though uncommon, cause of obscure gastrointestinal bleeding and may rarely be associated with genodermatoses such as neurofibromatosis type 1 (NF1). NF1-related GISTs have unique phenotypic features compared with sporadic GISTs and may elude diagnosis due to their predilection for the small bowel.</p><p><strong>Case presentation: </strong>We report a case of a 45-year-old Singaporean woman with café-au-lait macules and cutaneous neurofibromas who presented with occult obscure gastrointestinal bleeding and was eventually discovered to have a bleeding jejunal GIST. This finding, considered together with her cutaneous signs, eventually led to the diagnosis of NF1.</p><p><strong>Conclusion: </strong>Genodermatoses and their gastrointestinal complications are likely under-reported in adult Southeast Asian populations and deserve greater awareness from gastroenterologists practising in this region.</p>","PeriodicalId":9614,"journal":{"name":"Case Reports in Gastroenterology","volume":"18 1","pages":"299-305"},"PeriodicalIF":0.6000,"publicationDate":"2024-06-07","publicationTypes":"Journal Article","fieldsOfStudy":null,"isOpenAccess":false,"openAccessPdf":"https://www.ncbi.nlm.nih.gov/pmc/articles/PMC11185854/pdf/","citationCount":"0","resultStr":"{\"title\":\"Neurofibromatosis Type 1 Presenting as Bleeding Jejunal Gastrointestinal Stromal Tumour.\",\"authors\":\"Raymond Fueng-Hin Liang, Cora Yuk-Ping Chau, Wee Chian Lim\",\"doi\":\"10.1159/000538688\",\"DOIUrl\":null,\"url\":null,\"abstract\":\"<p><strong>Introduction: </strong>Gastrointestinal stromal tumours (GISTs) are an important, though uncommon, cause of obscure gastrointestinal bleeding and may rarely be associated with genodermatoses such as neurofibromatosis type 1 (NF1). NF1-related GISTs have unique phenotypic features compared with sporadic GISTs and may elude diagnosis due to their predilection for the small bowel.</p><p><strong>Case presentation: </strong>We report a case of a 45-year-old Singaporean woman with café-au-lait macules and cutaneous neurofibromas who presented with occult obscure gastrointestinal bleeding and was eventually discovered to have a bleeding jejunal GIST. This finding, considered together with her cutaneous signs, eventually led to the diagnosis of NF1.</p><p><strong>Conclusion: </strong>Genodermatoses and their gastrointestinal complications are likely under-reported in adult Southeast Asian populations and deserve greater awareness from gastroenterologists practising in this region.</p>\",\"PeriodicalId\":9614,\"journal\":{\"name\":\"Case Reports in Gastroenterology\",\"volume\":\"18 1\",\"pages\":\"299-305\"},\"PeriodicalIF\":0.6000,\"publicationDate\":\"2024-06-07\",\"publicationTypes\":\"Journal Article\",\"fieldsOfStudy\":null,\"isOpenAccess\":false,\"openAccessPdf\":\"https://www.ncbi.nlm.nih.gov/pmc/articles/PMC11185854/pdf/\",\"citationCount\":\"0\",\"resultStr\":null,\"platform\":\"Semanticscholar\",\"paperid\":null,\"PeriodicalName\":\"Case Reports in Gastroenterology\",\"FirstCategoryId\":\"1085\",\"ListUrlMain\":\"https://doi.org/10.1159/000538688\",\"RegionNum\":0,\"RegionCategory\":null,\"ArticlePicture\":[],\"TitleCN\":null,\"AbstractTextCN\":null,\"PMCID\":null,\"EPubDate\":\"2024/1/1 0:00:00\",\"PubModel\":\"eCollection\",\"JCR\":\"Q4\",\"JCRName\":\"GASTROENTEROLOGY & HEPATOLOGY\",\"Score\":null,\"Total\":0}","platform":"Semanticscholar","paperid":null,"PeriodicalName":"Case Reports in Gastroenterology","FirstCategoryId":"1085","ListUrlMain":"https://doi.org/10.1159/000538688","RegionNum":0,"RegionCategory":null,"ArticlePicture":[],"TitleCN":null,"AbstractTextCN":null,"PMCID":null,"EPubDate":"2024/1/1 0:00:00","PubModel":"eCollection","JCR":"Q4","JCRName":"GASTROENTEROLOGY & HEPATOLOGY","Score":null,"Total":0}
引用次数: 0

摘要

导言:胃肠道间质瘤(GISTs)是导致隐匿性胃肠道出血的一个重要原因,尽管并不常见,但很少与1型神经纤维瘤病(NF1)等遗传性皮肤病有关。与散发性 GIST 相比,与 NF1 相关的 GIST 具有独特的表型特征,并且由于其偏爱小肠而可能无法确诊:我们报告了一例 45 岁的新加坡妇女的病例,她患有咖啡色斑块和皮肤神经纤维瘤,并伴有隐匿性消化道出血,最终被发现患有出血的空肠 GIST。考虑到这一发现以及她的皮肤症状,最终确诊为 NF1:结论:遗传性皮肤病及其胃肠道并发症在东南亚成年人群中的报告率可能偏低,值得在该地区执业的消化内科医生进一步关注。
本文章由计算机程序翻译,如有差异,请以英文原文为准。

Neurofibromatosis Type 1 Presenting as Bleeding Jejunal Gastrointestinal Stromal Tumour.

Neurofibromatosis Type 1 Presenting as Bleeding Jejunal Gastrointestinal Stromal Tumour.

Neurofibromatosis Type 1 Presenting as Bleeding Jejunal Gastrointestinal Stromal Tumour.

Neurofibromatosis Type 1 Presenting as Bleeding Jejunal Gastrointestinal Stromal Tumour.

Introduction: Gastrointestinal stromal tumours (GISTs) are an important, though uncommon, cause of obscure gastrointestinal bleeding and may rarely be associated with genodermatoses such as neurofibromatosis type 1 (NF1). NF1-related GISTs have unique phenotypic features compared with sporadic GISTs and may elude diagnosis due to their predilection for the small bowel.

Case presentation: We report a case of a 45-year-old Singaporean woman with café-au-lait macules and cutaneous neurofibromas who presented with occult obscure gastrointestinal bleeding and was eventually discovered to have a bleeding jejunal GIST. This finding, considered together with her cutaneous signs, eventually led to the diagnosis of NF1.

Conclusion: Genodermatoses and their gastrointestinal complications are likely under-reported in adult Southeast Asian populations and deserve greater awareness from gastroenterologists practising in this region.

求助全文
通过发布文献求助,成功后即可免费获取论文全文。 去求助
来源期刊
Case Reports in Gastroenterology
Case Reports in Gastroenterology Medicine-Gastroenterology
CiteScore
1.10
自引率
0.00%
发文量
99
审稿时长
7 weeks
期刊介绍:
×
引用
GB/T 7714-2015
复制
MLA
复制
APA
复制
导出至
BibTeX EndNote RefMan NoteFirst NoteExpress
×
提示
您的信息不完整,为了账户安全,请先补充。
现在去补充
×
提示
您因"违规操作"
具体请查看互助需知
我知道了
×
提示
确定
请完成安全验证×
copy
已复制链接
快去分享给好友吧!
我知道了
右上角分享
点击右上角分享
0
联系我们:info@booksci.cn Book学术提供免费学术资源搜索服务,方便国内外学者检索中英文文献。致力于提供最便捷和优质的服务体验。 Copyright © 2023 布克学术 All rights reserved.
京ICP备2023020795号-1
ghs 京公网安备 11010802042870号
Book学术文献互助
Book学术文献互助群
群 号:604180095
Book学术官方微信