双重栓塞:并发肺栓塞和栓塞性中风且无动脉分流的罕见病例。

IF 0.6 Q4 CARDIAC & CARDIOVASCULAR SYSTEMS
Rogayeh Pourkia, Asghar Mohamadi, Hoda Naghshineh, Mahmoud Sadeghi Haddad Zavareh, Faezeh Dehghani-Tafti
{"title":"双重栓塞:并发肺栓塞和栓塞性中风且无动脉分流的罕见病例。","authors":"Rogayeh Pourkia, Asghar Mohamadi, Hoda Naghshineh, Mahmoud Sadeghi Haddad Zavareh, Faezeh Dehghani-Tafti","doi":"10.48305/arya.2023.11560.2104","DOIUrl":null,"url":null,"abstract":"<p><p>Embolic material forms in many parts of the body and can affect anywhere in the body. Pulmonary embolism and embolic stroke are the most common presentations of embolic disorders in the body. Embolic events have different causes, and the heart is one of the most important places where emboli originate. One of the uncommon causes of embolic events is non-bacterial thrombotic endocarditis (NBTE), which can occur in patients with advanced cancer. NBTE can lead to embolism. Embolisation may occur in some organs including the central nervous system, kidneys, spleen, limb extremities, and coronary arteries. The authors aim to describe a rare case with concurrent pulmonary embolism (PE) and embolic stroke caused by non-bacterial thrombotic endocarditis (NBTE) in a woman with breast cancer.</p>","PeriodicalId":46477,"journal":{"name":"ARYA Atherosclerosis","volume":"19 4","pages":"67-71"},"PeriodicalIF":0.6000,"publicationDate":"2023-07-01","publicationTypes":"Journal Article","fieldsOfStudy":null,"isOpenAccess":false,"openAccessPdf":"https://www.ncbi.nlm.nih.gov/pmc/articles/PMC11179005/pdf/","citationCount":"0","resultStr":"{\"title\":\"Double Embolism: A Very Rare Presentation of Concurrent Pulmonary Embolism and Embolic Stroke without Arterivenous Shunt.\",\"authors\":\"Rogayeh Pourkia, Asghar Mohamadi, Hoda Naghshineh, Mahmoud Sadeghi Haddad Zavareh, Faezeh Dehghani-Tafti\",\"doi\":\"10.48305/arya.2023.11560.2104\",\"DOIUrl\":null,\"url\":null,\"abstract\":\"<p><p>Embolic material forms in many parts of the body and can affect anywhere in the body. Pulmonary embolism and embolic stroke are the most common presentations of embolic disorders in the body. Embolic events have different causes, and the heart is one of the most important places where emboli originate. One of the uncommon causes of embolic events is non-bacterial thrombotic endocarditis (NBTE), which can occur in patients with advanced cancer. NBTE can lead to embolism. Embolisation may occur in some organs including the central nervous system, kidneys, spleen, limb extremities, and coronary arteries. The authors aim to describe a rare case with concurrent pulmonary embolism (PE) and embolic stroke caused by non-bacterial thrombotic endocarditis (NBTE) in a woman with breast cancer.</p>\",\"PeriodicalId\":46477,\"journal\":{\"name\":\"ARYA Atherosclerosis\",\"volume\":\"19 4\",\"pages\":\"67-71\"},\"PeriodicalIF\":0.6000,\"publicationDate\":\"2023-07-01\",\"publicationTypes\":\"Journal Article\",\"fieldsOfStudy\":null,\"isOpenAccess\":false,\"openAccessPdf\":\"https://www.ncbi.nlm.nih.gov/pmc/articles/PMC11179005/pdf/\",\"citationCount\":\"0\",\"resultStr\":null,\"platform\":\"Semanticscholar\",\"paperid\":null,\"PeriodicalName\":\"ARYA Atherosclerosis\",\"FirstCategoryId\":\"1085\",\"ListUrlMain\":\"https://doi.org/10.48305/arya.2023.11560.2104\",\"RegionNum\":0,\"RegionCategory\":null,\"ArticlePicture\":[],\"TitleCN\":null,\"AbstractTextCN\":null,\"PMCID\":null,\"EPubDate\":\"\",\"PubModel\":\"\",\"JCR\":\"Q4\",\"JCRName\":\"CARDIAC & CARDIOVASCULAR SYSTEMS\",\"Score\":null,\"Total\":0}","platform":"Semanticscholar","paperid":null,"PeriodicalName":"ARYA Atherosclerosis","FirstCategoryId":"1085","ListUrlMain":"https://doi.org/10.48305/arya.2023.11560.2104","RegionNum":0,"RegionCategory":null,"ArticlePicture":[],"TitleCN":null,"AbstractTextCN":null,"PMCID":null,"EPubDate":"","PubModel":"","JCR":"Q4","JCRName":"CARDIAC & CARDIOVASCULAR SYSTEMS","Score":null,"Total":0}
引用次数: 0

摘要

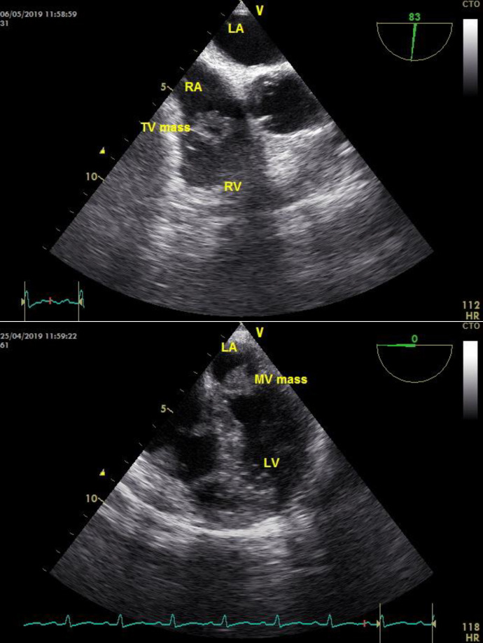
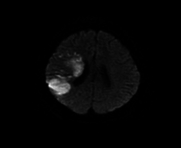
栓塞物质在身体的许多部位形成,可影响身体的任何部位。肺栓塞和栓塞性中风是体内栓塞性疾病最常见的表现形式。栓塞事件有不同的起因,而心脏是栓塞最重要的起源部位之一。非细菌性血栓性心内膜炎(NBTE)是导致栓塞事件的不常见原因之一,可发生在晚期癌症患者身上。NBTE 可导致栓塞。栓塞可能发生在一些器官,包括中枢神经系统、肾脏、脾脏、四肢和冠状动脉。作者旨在描述一例乳腺癌女性患者因非细菌性血栓性心内膜炎(NBTE)并发肺栓塞(PE)和栓塞性中风的罕见病例。
本文章由计算机程序翻译,如有差异,请以英文原文为准。

Double Embolism: A Very Rare Presentation of Concurrent Pulmonary Embolism and Embolic Stroke without Arterivenous Shunt.

Double Embolism: A Very Rare Presentation of Concurrent Pulmonary Embolism and Embolic Stroke without Arterivenous Shunt.

Double Embolism: A Very Rare Presentation of Concurrent Pulmonary Embolism and Embolic Stroke without Arterivenous Shunt.

Embolic material forms in many parts of the body and can affect anywhere in the body. Pulmonary embolism and embolic stroke are the most common presentations of embolic disorders in the body. Embolic events have different causes, and the heart is one of the most important places where emboli originate. One of the uncommon causes of embolic events is non-bacterial thrombotic endocarditis (NBTE), which can occur in patients with advanced cancer. NBTE can lead to embolism. Embolisation may occur in some organs including the central nervous system, kidneys, spleen, limb extremities, and coronary arteries. The authors aim to describe a rare case with concurrent pulmonary embolism (PE) and embolic stroke caused by non-bacterial thrombotic endocarditis (NBTE) in a woman with breast cancer.

求助全文
通过发布文献求助,成功后即可免费获取论文全文。 去求助
来源期刊
ARYA Atherosclerosis
ARYA Atherosclerosis CARDIAC & CARDIOVASCULAR SYSTEMS-
CiteScore
1.00
自引率
0.00%
发文量
0
审稿时长
18 weeks
×
引用
GB/T 7714-2015
复制
MLA
复制
APA
复制
导出至
BibTeX EndNote RefMan NoteFirst NoteExpress
×
提示
您的信息不完整,为了账户安全,请先补充。
现在去补充
×
提示
您因"违规操作"
具体请查看互助需知
我知道了
×
提示
确定
请完成安全验证×
copy
已复制链接
快去分享给好友吧!
我知道了
右上角分享
点击右上角分享
0
联系我们:info@booksci.cn Book学术提供免费学术资源搜索服务,方便国内外学者检索中英文文献。致力于提供最便捷和优质的服务体验。 Copyright © 2023 布克学术 All rights reserved.
京ICP备2023020795号-1
ghs 京公网安备 11010802042870号
Book学术文献互助
Book学术文献互助群
群 号:604180095
Book学术官方微信