结直肠腺癌肿瘤发生的组织病理学和预后意义:在伊朗设拉子进行的一项回顾性队列研究。

Q3 Medicine
Iranian Journal of Pathology Pub Date : 2024-01-01 Epub Date: 2021-12-15 DOI:10.30699/IJP.2023.1999329.3090
Mohammad Hossein Anbardar, Nadia Rahimizadeh
{"title":"结直肠腺癌肿瘤发生的组织病理学和预后意义:在伊朗设拉子进行的一项回顾性队列研究。","authors":"Mohammad Hossein Anbardar, Nadia Rahimizadeh","doi":"10.30699/IJP.2023.1999329.3090","DOIUrl":null,"url":null,"abstract":"<p><strong>Background & objective: </strong>Colorectal cancer is the second reason for cancer-associated death. The prognosis of the malignancy is defined by TNM scoring. However, tumor grading, lymphovascular invasion, perineural invasion, and tumor buddings may affect its prognosis. This study aimed to assess the prognostic and histologic impact of tumor budding in colorectal adenocarcinoma.</p><p><strong>Methods: </strong>This study is a retrospective cohort of 192 patients with colorectal adenocarcinoma. All four stages of colorectal adenocarcinoma patients were included, but the patients in stages I and II were also analyzed separately. We used pathology reports to extract the histopathologic data. The prognostic values were extracted by calling the patients.</p><p><strong>Results: </strong>Less than half of the patients were in stages I and II of the disease. According to our analysis, tumor extension and lymphovascular invasion were correlated with tumor budding count in patients in stages I and II, and lymphovascular invasion, tumor grade, tumor stage, lymph node involvement, tumor extension, tumor site, metastasis, and five-year survival were correlated with tumor budding within all stages.</p><p><strong>Conclusion: </strong>It is recommended that tumor budding count should be assessed and reported in pathology reports of adenocarcinomas due to its high correlation with poor prognosis.</p>","PeriodicalId":38900,"journal":{"name":"Iranian Journal of Pathology","volume":"19 1","pages":"59-66"},"PeriodicalIF":0.0000,"publicationDate":"2024-01-01","publicationTypes":"Journal Article","fieldsOfStudy":null,"isOpenAccess":false,"openAccessPdf":"https://www.ncbi.nlm.nih.gov/pmc/articles/PMC11164312/pdf/","citationCount":"0","resultStr":"{\"title\":\"Histopathologic and Prognostic Significance of Tumor Budding in Colorectal Adenocarcinoma: A Retrospective Cohort Study Conducted in Shiraz, Iran.\",\"authors\":\"Mohammad Hossein Anbardar, Nadia Rahimizadeh\",\"doi\":\"10.30699/IJP.2023.1999329.3090\",\"DOIUrl\":null,\"url\":null,\"abstract\":\"<p><strong>Background & objective: </strong>Colorectal cancer is the second reason for cancer-associated death. The prognosis of the malignancy is defined by TNM scoring. However, tumor grading, lymphovascular invasion, perineural invasion, and tumor buddings may affect its prognosis. This study aimed to assess the prognostic and histologic impact of tumor budding in colorectal adenocarcinoma.</p><p><strong>Methods: </strong>This study is a retrospective cohort of 192 patients with colorectal adenocarcinoma. All four stages of colorectal adenocarcinoma patients were included, but the patients in stages I and II were also analyzed separately. We used pathology reports to extract the histopathologic data. The prognostic values were extracted by calling the patients.</p><p><strong>Results: </strong>Less than half of the patients were in stages I and II of the disease. According to our analysis, tumor extension and lymphovascular invasion were correlated with tumor budding count in patients in stages I and II, and lymphovascular invasion, tumor grade, tumor stage, lymph node involvement, tumor extension, tumor site, metastasis, and five-year survival were correlated with tumor budding within all stages.</p><p><strong>Conclusion: </strong>It is recommended that tumor budding count should be assessed and reported in pathology reports of adenocarcinomas due to its high correlation with poor prognosis.</p>\",\"PeriodicalId\":38900,\"journal\":{\"name\":\"Iranian Journal of Pathology\",\"volume\":\"19 1\",\"pages\":\"59-66\"},\"PeriodicalIF\":0.0000,\"publicationDate\":\"2024-01-01\",\"publicationTypes\":\"Journal Article\",\"fieldsOfStudy\":null,\"isOpenAccess\":false,\"openAccessPdf\":\"https://www.ncbi.nlm.nih.gov/pmc/articles/PMC11164312/pdf/\",\"citationCount\":\"0\",\"resultStr\":null,\"platform\":\"Semanticscholar\",\"paperid\":null,\"PeriodicalName\":\"Iranian Journal of Pathology\",\"FirstCategoryId\":\"1085\",\"ListUrlMain\":\"https://doi.org/10.30699/IJP.2023.1999329.3090\",\"RegionNum\":0,\"RegionCategory\":null,\"ArticlePicture\":[],\"TitleCN\":null,\"AbstractTextCN\":null,\"PMCID\":null,\"EPubDate\":\"2021/12/15 0:00:00\",\"PubModel\":\"Epub\",\"JCR\":\"Q3\",\"JCRName\":\"Medicine\",\"Score\":null,\"Total\":0}","platform":"Semanticscholar","paperid":null,"PeriodicalName":"Iranian Journal of Pathology","FirstCategoryId":"1085","ListUrlMain":"https://doi.org/10.30699/IJP.2023.1999329.3090","RegionNum":0,"RegionCategory":null,"ArticlePicture":[],"TitleCN":null,"AbstractTextCN":null,"PMCID":null,"EPubDate":"2021/12/15 0:00:00","PubModel":"Epub","JCR":"Q3","JCRName":"Medicine","Score":null,"Total":0}
引用次数: 0

摘要

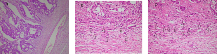
背景与目的:结直肠癌是癌症相关死亡的第二大原因。恶性肿瘤的预后由 TNM 评分确定。然而,肿瘤分级、淋巴管侵犯、神经周围侵犯和肿瘤萌芽可能会影响其预后。本研究旨在评估肿瘤出芽对结直肠腺癌预后和组织学的影响:本研究是一项回顾性队列研究,共纳入 192 名结直肠腺癌患者。所有四期结直肠腺癌患者均包括在内,但也对 I 期和 II 期患者进行了单独分析。我们使用病理报告来提取组织病理学数据。我们通过呼叫患者来提取预后值:结果:不到一半的患者处于疾病的 I 期和 II 期。根据我们的分析,Ⅰ期和Ⅱ期患者的肿瘤扩展和淋巴管侵犯与肿瘤出芽数相关,而各期患者的淋巴管侵犯、肿瘤分级、肿瘤分期、淋巴结受累、肿瘤扩展、肿瘤部位、转移和五年生存率与肿瘤出芽数相关:建议在腺癌病理报告中评估和报告肿瘤出芽数,因为它与不良预后高度相关。
本文章由计算机程序翻译,如有差异,请以英文原文为准。

Histopathologic and Prognostic Significance of Tumor Budding in Colorectal Adenocarcinoma: A Retrospective Cohort Study Conducted in Shiraz, Iran.

Histopathologic and Prognostic Significance of Tumor Budding in Colorectal Adenocarcinoma: A Retrospective Cohort Study Conducted in Shiraz, Iran.

Histopathologic and Prognostic Significance of Tumor Budding in Colorectal Adenocarcinoma: A Retrospective Cohort Study Conducted in Shiraz, Iran.

Histopathologic and Prognostic Significance of Tumor Budding in Colorectal Adenocarcinoma: A Retrospective Cohort Study Conducted in Shiraz, Iran.

Background & objective: Colorectal cancer is the second reason for cancer-associated death. The prognosis of the malignancy is defined by TNM scoring. However, tumor grading, lymphovascular invasion, perineural invasion, and tumor buddings may affect its prognosis. This study aimed to assess the prognostic and histologic impact of tumor budding in colorectal adenocarcinoma.

Methods: This study is a retrospective cohort of 192 patients with colorectal adenocarcinoma. All four stages of colorectal adenocarcinoma patients were included, but the patients in stages I and II were also analyzed separately. We used pathology reports to extract the histopathologic data. The prognostic values were extracted by calling the patients.

Results: Less than half of the patients were in stages I and II of the disease. According to our analysis, tumor extension and lymphovascular invasion were correlated with tumor budding count in patients in stages I and II, and lymphovascular invasion, tumor grade, tumor stage, lymph node involvement, tumor extension, tumor site, metastasis, and five-year survival were correlated with tumor budding within all stages.

Conclusion: It is recommended that tumor budding count should be assessed and reported in pathology reports of adenocarcinomas due to its high correlation with poor prognosis.

求助全文
通过发布文献求助,成功后即可免费获取论文全文。 去求助
来源期刊
Iranian Journal of Pathology
Iranian Journal of Pathology Medicine-Pathology and Forensic Medicine
CiteScore
2.00
自引率
0.00%
发文量
99
审稿时长
20 weeks
×
引用
GB/T 7714-2015
复制
MLA
复制
APA
复制
导出至
BibTeX EndNote RefMan NoteFirst NoteExpress
×
提示
您的信息不完整,为了账户安全,请先补充。
现在去补充
×
提示
您因"违规操作"
具体请查看互助需知
我知道了
×
提示
确定
请完成安全验证×
copy
已复制链接
快去分享给好友吧!
我知道了
右上角分享
点击右上角分享
0
联系我们:info@booksci.cn Book学术提供免费学术资源搜索服务,方便国内外学者检索中英文文献。致力于提供最便捷和优质的服务体验。 Copyright © 2023 布克学术 All rights reserved.
京ICP备2023020795号-1
ghs 京公网安备 11010802042870号
Book学术文献互助
Book学术文献互助群
群 号:604180095
Book学术官方微信