ATF4 作为雌激素受体阳性乳腺癌的预后标志和谷氨酰胺代谢调节剂

IF 2 4区 医学 Q3 CELL BIOLOGY
Pathobiology Pub Date : 2024-01-01 Epub Date: 2024-06-11 DOI:10.1159/000539564
Roshni Patel, Lutfi H Alfarsi, Rokaya El-Ansari, Brendah K Masisi, Busra Erkan, Ali Fakroun, Ian O Ellis, Emad A Rakha, Andrew R Green
{"title":"ATF4 作为雌激素受体阳性乳腺癌的预后标志和谷氨酰胺代谢调节剂","authors":"Roshni Patel, Lutfi H Alfarsi, Rokaya El-Ansari, Brendah K Masisi, Busra Erkan, Ali Fakroun, Ian O Ellis, Emad A Rakha, Andrew R Green","doi":"10.1159/000539564","DOIUrl":null,"url":null,"abstract":"<p><strong>Introduction: </strong>ATF4, a stress-responsive transcription factor that upregulates adaptive genes, is a potential prognostic marker and modulator of glutamine metabolism in breast cancer. However, its exact role remains to be elucidated.</p><p><strong>Methods: </strong>ATF4 expression was evaluated at genomic and transcriptomic levels using METABRIC (n = 1,980), GeneMiner (n = 4,712), and KM-Plotter datasets. Proteomic expression was assessed via immunohistochemistry (n = 2,225) in the Nottingham Primary Breast Cancer Series. ATF4 genomic copy number (CN) variation and mRNA/protein in association with clinicopathological parameters, amino acid transporters (AATs), and patient outcome were investigated.</p><p><strong>Results: </strong>Genomic, transcriptomic, and proteomic overexpression of ATF4 was associated with more aggressive ER-negative tumours. ATF4 mRNA and protein expression were significantly associated with increased expression of glutamine related AATs including SLC1A5 (p < 0.01) and SLC7A11 (p < 0.02). High ATF4 and SLC1A5 protein expression was significantly associated with shorter breast cancer-specific survival (p < 0.01), especially in ER+ tumours (p < 0.01), while high ATF4 and SLC7A11 protein expression was associated with shorter survival (p < 0.01).</p><p><strong>Conclusion: </strong>These findings suggest a complex interplay between ATF4 and AATs in breast cancer biology and underscore the potential role for ATF4 as a prognostic marker in ER+ breast cancer, offering a unique opportunity for risk stratification and personalized treatment strategies.</p>","PeriodicalId":19805,"journal":{"name":"Pathobiology","volume":" ","pages":"411-421"},"PeriodicalIF":2.0000,"publicationDate":"2024-01-01","publicationTypes":"Journal Article","fieldsOfStudy":null,"isOpenAccess":false,"openAccessPdf":"https://www.ncbi.nlm.nih.gov/pmc/articles/PMC11614298/pdf/","citationCount":"0","resultStr":"{\"title\":\"ATF4 as a Prognostic Marker and Modulator of Glutamine Metabolism in Oestrogen Receptor-Positive Breast Cancer.\",\"authors\":\"Roshni Patel, Lutfi H Alfarsi, Rokaya El-Ansari, Brendah K Masisi, Busra Erkan, Ali Fakroun, Ian O Ellis, Emad A Rakha, Andrew R Green\",\"doi\":\"10.1159/000539564\",\"DOIUrl\":null,\"url\":null,\"abstract\":\"<p><strong>Introduction: </strong>ATF4, a stress-responsive transcription factor that upregulates adaptive genes, is a potential prognostic marker and modulator of glutamine metabolism in breast cancer. However, its exact role remains to be elucidated.</p><p><strong>Methods: </strong>ATF4 expression was evaluated at genomic and transcriptomic levels using METABRIC (n = 1,980), GeneMiner (n = 4,712), and KM-Plotter datasets. Proteomic expression was assessed via immunohistochemistry (n = 2,225) in the Nottingham Primary Breast Cancer Series. ATF4 genomic copy number (CN) variation and mRNA/protein in association with clinicopathological parameters, amino acid transporters (AATs), and patient outcome were investigated.</p><p><strong>Results: </strong>Genomic, transcriptomic, and proteomic overexpression of ATF4 was associated with more aggressive ER-negative tumours. ATF4 mRNA and protein expression were significantly associated with increased expression of glutamine related AATs including SLC1A5 (p < 0.01) and SLC7A11 (p < 0.02). High ATF4 and SLC1A5 protein expression was significantly associated with shorter breast cancer-specific survival (p < 0.01), especially in ER+ tumours (p < 0.01), while high ATF4 and SLC7A11 protein expression was associated with shorter survival (p < 0.01).</p><p><strong>Conclusion: </strong>These findings suggest a complex interplay between ATF4 and AATs in breast cancer biology and underscore the potential role for ATF4 as a prognostic marker in ER+ breast cancer, offering a unique opportunity for risk stratification and personalized treatment strategies.</p>\",\"PeriodicalId\":19805,\"journal\":{\"name\":\"Pathobiology\",\"volume\":\" \",\"pages\":\"411-421\"},\"PeriodicalIF\":2.0000,\"publicationDate\":\"2024-01-01\",\"publicationTypes\":\"Journal Article\",\"fieldsOfStudy\":null,\"isOpenAccess\":false,\"openAccessPdf\":\"https://www.ncbi.nlm.nih.gov/pmc/articles/PMC11614298/pdf/\",\"citationCount\":\"0\",\"resultStr\":null,\"platform\":\"Semanticscholar\",\"paperid\":null,\"PeriodicalName\":\"Pathobiology\",\"FirstCategoryId\":\"3\",\"ListUrlMain\":\"https://doi.org/10.1159/000539564\",\"RegionNum\":4,\"RegionCategory\":\"医学\",\"ArticlePicture\":[],\"TitleCN\":null,\"AbstractTextCN\":null,\"PMCID\":null,\"EPubDate\":\"2024/6/11 0:00:00\",\"PubModel\":\"Epub\",\"JCR\":\"Q3\",\"JCRName\":\"CELL BIOLOGY\",\"Score\":null,\"Total\":0}","platform":"Semanticscholar","paperid":null,"PeriodicalName":"Pathobiology","FirstCategoryId":"3","ListUrlMain":"https://doi.org/10.1159/000539564","RegionNum":4,"RegionCategory":"医学","ArticlePicture":[],"TitleCN":null,"AbstractTextCN":null,"PMCID":null,"EPubDate":"2024/6/11 0:00:00","PubModel":"Epub","JCR":"Q3","JCRName":"CELL BIOLOGY","Score":null,"Total":0}
引用次数: 0

摘要

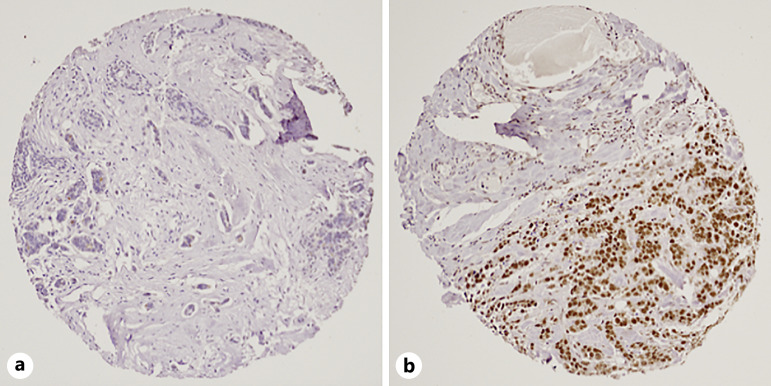
目的:ATF4是一种上调适应性基因的应激反应转录因子,是乳腺癌潜在的预后标志物和谷氨酰胺代谢的调节因子。然而,它的确切作用仍有待阐明:方法:使用 METABRIC(n=1980)、GeneMiner(n=4712)和 KM-Plotter 数据集评估 ATF4 在基因组和转录组水平的表达。诺丁汉原发性乳腺癌系列中的蛋白质组表达通过免疫组化进行评估(n=2225)。研究了ATF4基因组拷贝数(CN)变异和mRNA/蛋白质与临床病理参数、氨基酸转运体(AATs)和患者预后的关系:结果:ATF4的基因组、转录组和蛋白质组过表达与侵袭性更强的ER阴性肿瘤有关。ATF4 mRNA和蛋白质的表达与谷氨酰胺相关AATs(包括SLC1A5(p<0.01)和SLC7A11(p<0.02))的表达增加密切相关。ATF4和SLC1A5蛋白高表达与乳腺癌特异性生存期缩短显著相关(p<0.01),尤其是在ER+肿瘤中(p<0.01),而ATF4和SLC7A11蛋白高表达与生存期缩短相关(p<0.01):这些研究结果表明,ATF4和AATs在乳腺癌生物学中存在复杂的相互作用,并强调了ATF4作为ER+乳腺癌预后标志物的潜在作用,为风险分层和个性化治疗策略提供了独特的机会。
本文章由计算机程序翻译,如有差异,请以英文原文为准。

ATF4 as a Prognostic Marker and Modulator of Glutamine Metabolism in Oestrogen Receptor-Positive Breast Cancer.

ATF4 as a Prognostic Marker and Modulator of Glutamine Metabolism in Oestrogen Receptor-Positive Breast Cancer.

ATF4 as a Prognostic Marker and Modulator of Glutamine Metabolism in Oestrogen Receptor-Positive Breast Cancer.

ATF4 as a Prognostic Marker and Modulator of Glutamine Metabolism in Oestrogen Receptor-Positive Breast Cancer.

Introduction: ATF4, a stress-responsive transcription factor that upregulates adaptive genes, is a potential prognostic marker and modulator of glutamine metabolism in breast cancer. However, its exact role remains to be elucidated.

Methods: ATF4 expression was evaluated at genomic and transcriptomic levels using METABRIC (n = 1,980), GeneMiner (n = 4,712), and KM-Plotter datasets. Proteomic expression was assessed via immunohistochemistry (n = 2,225) in the Nottingham Primary Breast Cancer Series. ATF4 genomic copy number (CN) variation and mRNA/protein in association with clinicopathological parameters, amino acid transporters (AATs), and patient outcome were investigated.

Results: Genomic, transcriptomic, and proteomic overexpression of ATF4 was associated with more aggressive ER-negative tumours. ATF4 mRNA and protein expression were significantly associated with increased expression of glutamine related AATs including SLC1A5 (p < 0.01) and SLC7A11 (p < 0.02). High ATF4 and SLC1A5 protein expression was significantly associated with shorter breast cancer-specific survival (p < 0.01), especially in ER+ tumours (p < 0.01), while high ATF4 and SLC7A11 protein expression was associated with shorter survival (p < 0.01).

Conclusion: These findings suggest a complex interplay between ATF4 and AATs in breast cancer biology and underscore the potential role for ATF4 as a prognostic marker in ER+ breast cancer, offering a unique opportunity for risk stratification and personalized treatment strategies.

求助全文
通过发布文献求助,成功后即可免费获取论文全文。 去求助
来源期刊
Pathobiology
Pathobiology 医学-病理学
CiteScore
8.50
自引率
0.00%
发文量
47
审稿时长
>12 weeks
期刊介绍: ''Pathobiology'' offers a valuable platform for the publication of high-quality original research into the mechanisms underlying human disease. Aiming to serve as a bridge between basic biomedical research and clinical medicine, the journal welcomes articles from scientific areas such as pathology, oncology, anatomy, virology, internal medicine, surgery, cell and molecular biology, and immunology. Published bimonthly, ''Pathobiology'' features original research papers and reviews on translational research. The journal offers the possibility to publish proceedings of meetings dedicated to one particular topic.
×
引用
GB/T 7714-2015
复制
MLA
复制
APA
复制
导出至
BibTeX EndNote RefMan NoteFirst NoteExpress
×
提示
您的信息不完整,为了账户安全,请先补充。
现在去补充
×
提示
您因"违规操作"
具体请查看互助需知
我知道了
×
提示
确定
请完成安全验证×
copy
已复制链接
快去分享给好友吧!
我知道了
右上角分享
点击右上角分享
0
联系我们:info@booksci.cn Book学术提供免费学术资源搜索服务,方便国内外学者检索中英文文献。致力于提供最便捷和优质的服务体验。 Copyright © 2023 布克学术 All rights reserved.
京ICP备2023020795号-1
ghs 京公网安备 11010802042870号
Book学术文献互助
Book学术文献互助群
群 号:604180095
Book学术官方微信