[肝脾肉瘤病:刚果布拉柴维尔大学医院中心的病例描述]。

Medecine tropicale et sante internationale Pub Date : 2024-02-05 eCollection Date: 2024-03-31 DOI:10.48327/mtsi.v4i1.2024.478
Alexis Elira Dokekias, M R Adegbinni Akande, Firmine Olivia Galiba Atipotsiba, Lydie Ocini Ngolet, Richard Mikouiyi Ngoulou, Jennifer Elira Samba, Didace Massamba Miabaou, Donatien Moukassa
{"title":"[肝脾肉瘤病:刚果布拉柴维尔大学医院中心的病例描述]。","authors":"Alexis Elira Dokekias, M R Adegbinni Akande, Firmine Olivia Galiba Atipotsiba, Lydie Ocini Ngolet, Richard Mikouiyi Ngoulou, Jennifer Elira Samba, Didace Massamba Miabaou, Donatien Moukassa","doi":"10.48327/mtsi.v4i1.2024.478","DOIUrl":null,"url":null,"abstract":"<p><p>Sarcoidosis is a multisystem inflammatory disease of unknown etiology. The isolated extrapulmonary form is rare. We report the case of hepatosplenic sarcoidosis in a 29-year-old female patient.It is a patient with no notable medical history, who was seen in consultation for repeated epistaxis. Clinical examination noted nodular hepatomegaly associated with signs of portal hypertension and splenomegaly. Sedimentation rate, alkaline phosphatase, serum angiotensin converting enzyme, aminotransferases were high. Histological examination of the spleen and liver biopsy noted granulomatous inflammatory infiltration without cancerous lesion or tonsil stones.This picture is comparable with sarcoidosis, despite the absence of PET scans. The main challenge remains the differential diagnosis with other granulomatoses. Corticosteroid therapy is the first-line treatment, and after splenectomy the patient has achieved clinical and biological stability.</p>","PeriodicalId":101416,"journal":{"name":"Medecine tropicale et sante internationale","volume":"4 1","pages":""},"PeriodicalIF":0.0000,"publicationDate":"2024-02-05","publicationTypes":"Journal Article","fieldsOfStudy":null,"isOpenAccess":false,"openAccessPdf":"https://www.ncbi.nlm.nih.gov/pmc/articles/PMC11151900/pdf/","citationCount":"0","resultStr":"{\"title\":\"[Hepatosplenic sarcoidosis: description of a case at the University hospital center of Brazzaville, Congo].\",\"authors\":\"Alexis Elira Dokekias, M R Adegbinni Akande, Firmine Olivia Galiba Atipotsiba, Lydie Ocini Ngolet, Richard Mikouiyi Ngoulou, Jennifer Elira Samba, Didace Massamba Miabaou, Donatien Moukassa\",\"doi\":\"10.48327/mtsi.v4i1.2024.478\",\"DOIUrl\":null,\"url\":null,\"abstract\":\"<p><p>Sarcoidosis is a multisystem inflammatory disease of unknown etiology. The isolated extrapulmonary form is rare. We report the case of hepatosplenic sarcoidosis in a 29-year-old female patient.It is a patient with no notable medical history, who was seen in consultation for repeated epistaxis. Clinical examination noted nodular hepatomegaly associated with signs of portal hypertension and splenomegaly. Sedimentation rate, alkaline phosphatase, serum angiotensin converting enzyme, aminotransferases were high. Histological examination of the spleen and liver biopsy noted granulomatous inflammatory infiltration without cancerous lesion or tonsil stones.This picture is comparable with sarcoidosis, despite the absence of PET scans. The main challenge remains the differential diagnosis with other granulomatoses. Corticosteroid therapy is the first-line treatment, and after splenectomy the patient has achieved clinical and biological stability.</p>\",\"PeriodicalId\":101416,\"journal\":{\"name\":\"Medecine tropicale et sante internationale\",\"volume\":\"4 1\",\"pages\":\"\"},\"PeriodicalIF\":0.0000,\"publicationDate\":\"2024-02-05\",\"publicationTypes\":\"Journal Article\",\"fieldsOfStudy\":null,\"isOpenAccess\":false,\"openAccessPdf\":\"https://www.ncbi.nlm.nih.gov/pmc/articles/PMC11151900/pdf/\",\"citationCount\":\"0\",\"resultStr\":null,\"platform\":\"Semanticscholar\",\"paperid\":null,\"PeriodicalName\":\"Medecine tropicale et sante internationale\",\"FirstCategoryId\":\"1085\",\"ListUrlMain\":\"https://doi.org/10.48327/mtsi.v4i1.2024.478\",\"RegionNum\":0,\"RegionCategory\":null,\"ArticlePicture\":[],\"TitleCN\":null,\"AbstractTextCN\":null,\"PMCID\":null,\"EPubDate\":\"2024/3/31 0:00:00\",\"PubModel\":\"eCollection\",\"JCR\":\"\",\"JCRName\":\"\",\"Score\":null,\"Total\":0}","platform":"Semanticscholar","paperid":null,"PeriodicalName":"Medecine tropicale et sante internationale","FirstCategoryId":"1085","ListUrlMain":"https://doi.org/10.48327/mtsi.v4i1.2024.478","RegionNum":0,"RegionCategory":null,"ArticlePicture":[],"TitleCN":null,"AbstractTextCN":null,"PMCID":null,"EPubDate":"2024/3/31 0:00:00","PubModel":"eCollection","JCR":"","JCRName":"","Score":null,"Total":0}
引用次数: 0

摘要

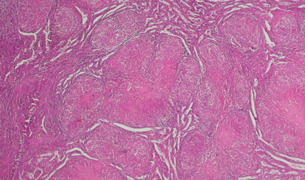
肉样瘤病是一种病因不明的多系统炎症性疾病。孤立的肺外病变非常罕见。我们报告了一例 29 岁女性患者的肝脾肉样肿大病。该患者无明显病史,因反复鼻衄就诊。临床检查发现肝脏结节性肿大,伴有门脉高压和脾脏肿大。血沉、碱性磷酸酶、血清血管紧张素转换酶和转氨酶均偏高。脾脏和肝脏活检组织学检查发现有肉芽肿性炎性浸润,但无癌症病变或扁桃体结石。主要的挑战仍然是与其他肉芽肿病的鉴别诊断。皮质类固醇疗法是一线治疗方法,脾脏切除术后,患者的临床和生物学状态均趋于稳定。
本文章由计算机程序翻译,如有差异,请以英文原文为准。

[Hepatosplenic sarcoidosis: description of a case at the University hospital center of Brazzaville, Congo].

[Hepatosplenic sarcoidosis: description of a case at the University hospital center of Brazzaville, Congo].

[Hepatosplenic sarcoidosis: description of a case at the University hospital center of Brazzaville, Congo].

[Hepatosplenic sarcoidosis: description of a case at the University hospital center of Brazzaville, Congo].

Sarcoidosis is a multisystem inflammatory disease of unknown etiology. The isolated extrapulmonary form is rare. We report the case of hepatosplenic sarcoidosis in a 29-year-old female patient.It is a patient with no notable medical history, who was seen in consultation for repeated epistaxis. Clinical examination noted nodular hepatomegaly associated with signs of portal hypertension and splenomegaly. Sedimentation rate, alkaline phosphatase, serum angiotensin converting enzyme, aminotransferases were high. Histological examination of the spleen and liver biopsy noted granulomatous inflammatory infiltration without cancerous lesion or tonsil stones.This picture is comparable with sarcoidosis, despite the absence of PET scans. The main challenge remains the differential diagnosis with other granulomatoses. Corticosteroid therapy is the first-line treatment, and after splenectomy the patient has achieved clinical and biological stability.

求助全文
通过发布文献求助,成功后即可免费获取论文全文。 去求助
来源期刊
CiteScore
0.20
自引率
0.00%
发文量
0
×
引用
GB/T 7714-2015
复制
MLA
复制
APA
复制
导出至
BibTeX EndNote RefMan NoteFirst NoteExpress
×
提示
您的信息不完整,为了账户安全,请先补充。
现在去补充
×
提示
您因"违规操作"
具体请查看互助需知
我知道了
×
提示
确定
请完成安全验证×
copy
已复制链接
快去分享给好友吧!
我知道了
右上角分享
点击右上角分享
0
联系我们:info@booksci.cn Book学术提供免费学术资源搜索服务,方便国内外学者检索中英文文献。致力于提供最便捷和优质的服务体验。 Copyright © 2023 布克学术 All rights reserved.
京ICP备2023020795号-1
ghs 京公网安备 11010802042870号
Book学术文献互助
Book学术文献互助群
群 号:604180095
Book学术官方微信
小红书