小儿漂浮肘:病例报告和文献综述。

Current health sciences journal Pub Date : 2024-01-01 Epub Date: 2024-03-31 DOI:10.12865/CHSJ.50.01.18
Gaetano Caruso, Antonio Caldaria, Edoardo Gambuti, Elisa Spadoni, Leo Massari
{"title":"小儿漂浮肘:病例报告和文献综述。","authors":"Gaetano Caruso, Antonio Caldaria, Edoardo Gambuti, Elisa Spadoni, Leo Massari","doi":"10.12865/CHSJ.50.01.18","DOIUrl":null,"url":null,"abstract":"<p><p>Floating elbow is defined as concomitant fracture of ipsilateral humerus and forearm. It is an uncommon injury with high potential to develop elevated forearm compartment pressures with potentially devastating neurological sequel. Several treatments have been reported. Although conservative treatment has been considered in the English literature, percutaneous or minimally invasive fixations is a goal when it is possible, soft tissue and growth plate preservation is crucial for fracture healing, mobility and bone growth.</p>","PeriodicalId":93963,"journal":{"name":"Current health sciences journal","volume":"50 1","pages":"151-154"},"PeriodicalIF":0.0000,"publicationDate":"2024-01-01","publicationTypes":"Journal Article","fieldsOfStudy":null,"isOpenAccess":false,"openAccessPdf":"https://www.ncbi.nlm.nih.gov/pmc/articles/PMC11151947/pdf/","citationCount":"0","resultStr":"{\"title\":\"Pediatric Floating Elbow: Case Report and Review of the Literature.\",\"authors\":\"Gaetano Caruso, Antonio Caldaria, Edoardo Gambuti, Elisa Spadoni, Leo Massari\",\"doi\":\"10.12865/CHSJ.50.01.18\",\"DOIUrl\":null,\"url\":null,\"abstract\":\"<p><p>Floating elbow is defined as concomitant fracture of ipsilateral humerus and forearm. It is an uncommon injury with high potential to develop elevated forearm compartment pressures with potentially devastating neurological sequel. Several treatments have been reported. Although conservative treatment has been considered in the English literature, percutaneous or minimally invasive fixations is a goal when it is possible, soft tissue and growth plate preservation is crucial for fracture healing, mobility and bone growth.</p>\",\"PeriodicalId\":93963,\"journal\":{\"name\":\"Current health sciences journal\",\"volume\":\"50 1\",\"pages\":\"151-154\"},\"PeriodicalIF\":0.0000,\"publicationDate\":\"2024-01-01\",\"publicationTypes\":\"Journal Article\",\"fieldsOfStudy\":null,\"isOpenAccess\":false,\"openAccessPdf\":\"https://www.ncbi.nlm.nih.gov/pmc/articles/PMC11151947/pdf/\",\"citationCount\":\"0\",\"resultStr\":null,\"platform\":\"Semanticscholar\",\"paperid\":null,\"PeriodicalName\":\"Current health sciences journal\",\"FirstCategoryId\":\"1085\",\"ListUrlMain\":\"https://doi.org/10.12865/CHSJ.50.01.18\",\"RegionNum\":0,\"RegionCategory\":null,\"ArticlePicture\":[],\"TitleCN\":null,\"AbstractTextCN\":null,\"PMCID\":null,\"EPubDate\":\"2024/3/31 0:00:00\",\"PubModel\":\"Epub\",\"JCR\":\"\",\"JCRName\":\"\",\"Score\":null,\"Total\":0}","platform":"Semanticscholar","paperid":null,"PeriodicalName":"Current health sciences journal","FirstCategoryId":"1085","ListUrlMain":"https://doi.org/10.12865/CHSJ.50.01.18","RegionNum":0,"RegionCategory":null,"ArticlePicture":[],"TitleCN":null,"AbstractTextCN":null,"PMCID":null,"EPubDate":"2024/3/31 0:00:00","PubModel":"Epub","JCR":"","JCRName":"","Score":null,"Total":0}
引用次数: 0

摘要

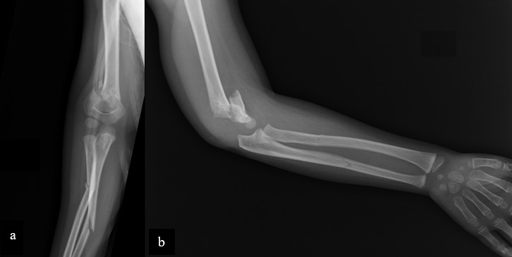
浮肘是指同侧肱骨和前臂同时骨折。这是一种不常见的损伤,极有可能导致前臂室压力升高,并可能造成破坏性的神经系统后遗症。已有多种治疗方法的报道。虽然在英文文献中已考虑过保守治疗,但在可能的情况下,经皮或微创固定是一个目标,软组织和生长板的保护对骨折愈合、活动度和骨生长至关重要。
本文章由计算机程序翻译,如有差异,请以英文原文为准。

Pediatric Floating Elbow: Case Report and Review of the Literature.

Pediatric Floating Elbow: Case Report and Review of the Literature.

Pediatric Floating Elbow: Case Report and Review of the Literature.

Pediatric Floating Elbow: Case Report and Review of the Literature.

Floating elbow is defined as concomitant fracture of ipsilateral humerus and forearm. It is an uncommon injury with high potential to develop elevated forearm compartment pressures with potentially devastating neurological sequel. Several treatments have been reported. Although conservative treatment has been considered in the English literature, percutaneous or minimally invasive fixations is a goal when it is possible, soft tissue and growth plate preservation is crucial for fracture healing, mobility and bone growth.

求助全文
通过发布文献求助,成功后即可免费获取论文全文。 去求助
来源期刊
自引率
0.00%
发文量
0
×
引用
GB/T 7714-2015
复制
MLA
复制
APA
复制
导出至
BibTeX EndNote RefMan NoteFirst NoteExpress
×
提示
您的信息不完整,为了账户安全,请先补充。
现在去补充
×
提示
您因"违规操作"
具体请查看互助需知
我知道了
×
提示
确定
请完成安全验证×
copy
已复制链接
快去分享给好友吧!
我知道了
右上角分享
点击右上角分享
0
联系我们:info@booksci.cn Book学术提供免费学术资源搜索服务,方便国内外学者检索中英文文献。致力于提供最便捷和优质的服务体验。 Copyright © 2023 布克学术 All rights reserved.
京ICP备2023020795号-1
ghs 京公网安备 11010802042870号
Book学术文献互助
Book学术文献互助群
群 号:604180095
Book学术官方微信