异位综合征 - 导致成人肠梗阻的不常见原因。

IF 0.9 Q4 RADIOLOGY, NUCLEAR MEDICINE & MEDICAL IMAGING
SA Journal of Radiology Pub Date : 2024-05-30 eCollection Date: 2024-01-01 DOI:10.4102/sajr.v28i1.2831
Radhiya Minty, Tanaka Gomba, Rabia Abid
{"title":"异位综合征 - 导致成人肠梗阻的不常见原因。","authors":"Radhiya Minty, Tanaka Gomba, Rabia Abid","doi":"10.4102/sajr.v28i1.2831","DOIUrl":null,"url":null,"abstract":"<p><p>Heterotaxy syndrome, also known as situs ambiguous, is a spectrum of pathology due to loss of the normal right-to-left asymmetry of the thoraco-abdominal organs. This report describes the case of a 39-year-old female, previously well, who presented with bowel obstruction. CT showed features of left isomerism, with malrotation and volvulus.</p><p><strong>Contribution: </strong>Heterotaxy syndrome consists of cardiac and non-cardiac manifestations. Imaging studies play a crucial role in the individualised management of the patient.</p>","PeriodicalId":43442,"journal":{"name":"SA Journal of Radiology","volume":"28 1","pages":"2831"},"PeriodicalIF":0.9000,"publicationDate":"2024-05-30","publicationTypes":"Journal Article","fieldsOfStudy":null,"isOpenAccess":false,"openAccessPdf":"https://www.ncbi.nlm.nih.gov/pmc/articles/PMC11151419/pdf/","citationCount":"0","resultStr":"{\"title\":\"Heterotaxy syndrome - An unusual cause for bowel obstruction in an adult.\",\"authors\":\"Radhiya Minty, Tanaka Gomba, Rabia Abid\",\"doi\":\"10.4102/sajr.v28i1.2831\",\"DOIUrl\":null,\"url\":null,\"abstract\":\"<p><p>Heterotaxy syndrome, also known as situs ambiguous, is a spectrum of pathology due to loss of the normal right-to-left asymmetry of the thoraco-abdominal organs. This report describes the case of a 39-year-old female, previously well, who presented with bowel obstruction. CT showed features of left isomerism, with malrotation and volvulus.</p><p><strong>Contribution: </strong>Heterotaxy syndrome consists of cardiac and non-cardiac manifestations. Imaging studies play a crucial role in the individualised management of the patient.</p>\",\"PeriodicalId\":43442,\"journal\":{\"name\":\"SA Journal of Radiology\",\"volume\":\"28 1\",\"pages\":\"2831\"},\"PeriodicalIF\":0.9000,\"publicationDate\":\"2024-05-30\",\"publicationTypes\":\"Journal Article\",\"fieldsOfStudy\":null,\"isOpenAccess\":false,\"openAccessPdf\":\"https://www.ncbi.nlm.nih.gov/pmc/articles/PMC11151419/pdf/\",\"citationCount\":\"0\",\"resultStr\":null,\"platform\":\"Semanticscholar\",\"paperid\":null,\"PeriodicalName\":\"SA Journal of Radiology\",\"FirstCategoryId\":\"1085\",\"ListUrlMain\":\"https://doi.org/10.4102/sajr.v28i1.2831\",\"RegionNum\":0,\"RegionCategory\":null,\"ArticlePicture\":[],\"TitleCN\":null,\"AbstractTextCN\":null,\"PMCID\":null,\"EPubDate\":\"2024/1/1 0:00:00\",\"PubModel\":\"eCollection\",\"JCR\":\"Q4\",\"JCRName\":\"RADIOLOGY, NUCLEAR MEDICINE & MEDICAL IMAGING\",\"Score\":null,\"Total\":0}","platform":"Semanticscholar","paperid":null,"PeriodicalName":"SA Journal of Radiology","FirstCategoryId":"1085","ListUrlMain":"https://doi.org/10.4102/sajr.v28i1.2831","RegionNum":0,"RegionCategory":null,"ArticlePicture":[],"TitleCN":null,"AbstractTextCN":null,"PMCID":null,"EPubDate":"2024/1/1 0:00:00","PubModel":"eCollection","JCR":"Q4","JCRName":"RADIOLOGY, NUCLEAR MEDICINE & MEDICAL IMAGING","Score":null,"Total":0}
引用次数: 0

摘要

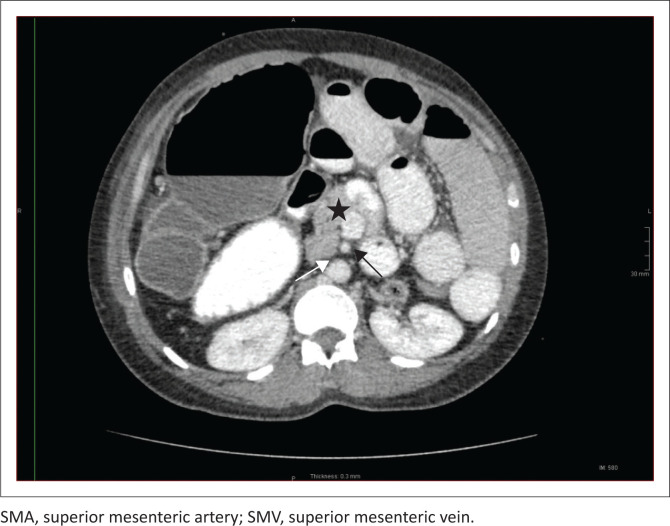
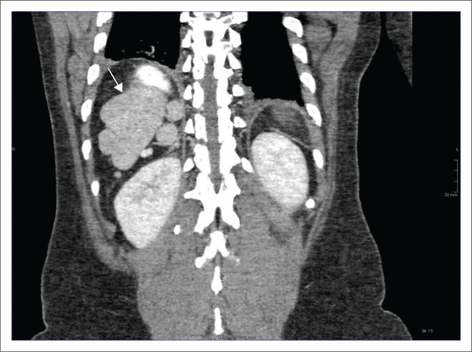
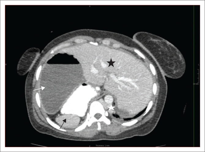
异位综合征(Heterotaxy Syndrome)又称 "坐位不清"(situs ambiguous),是一种因胸腹器官失去正常的左右不对称而导致的一系列病理现象。本报告描述了一例 39 岁女性的病例,她之前身体健康,但出现了肠梗阻。CT 显示左侧异位,伴有肠旋转不良和肠管内翻:异位综合征包括心脏和非心脏表现。影像学检查在患者的个体化治疗中起着至关重要的作用。
本文章由计算机程序翻译,如有差异,请以英文原文为准。

Heterotaxy syndrome - An unusual cause for bowel obstruction in an adult.

Heterotaxy syndrome - An unusual cause for bowel obstruction in an adult.

Heterotaxy syndrome - An unusual cause for bowel obstruction in an adult.

Heterotaxy syndrome - An unusual cause for bowel obstruction in an adult.

Heterotaxy syndrome, also known as situs ambiguous, is a spectrum of pathology due to loss of the normal right-to-left asymmetry of the thoraco-abdominal organs. This report describes the case of a 39-year-old female, previously well, who presented with bowel obstruction. CT showed features of left isomerism, with malrotation and volvulus.

Contribution: Heterotaxy syndrome consists of cardiac and non-cardiac manifestations. Imaging studies play a crucial role in the individualised management of the patient.

求助全文
通过发布文献求助,成功后即可免费获取论文全文。 去求助
来源期刊
SA Journal of Radiology
SA Journal of Radiology RADIOLOGY, NUCLEAR MEDICINE & MEDICAL IMAGING-
CiteScore
1.20
自引率
11.10%
发文量
35
审稿时长
16 weeks
期刊介绍: The SA Journal of Radiology is the official journal of the Radiological Society of South Africa and the Professional Association of Radiologists in South Africa and Namibia. The SA Journal of Radiology is a general diagnostic radiological journal which carries original research and review articles, pictorial essays, case reports, letters, editorials, radiological practice and other radiological articles.
×
引用
GB/T 7714-2015
复制
MLA
复制
APA
复制
导出至
BibTeX EndNote RefMan NoteFirst NoteExpress
×
提示
您的信息不完整,为了账户安全,请先补充。
现在去补充
×
提示
您因"违规操作"
具体请查看互助需知
我知道了
×
提示
确定
请完成安全验证×
copy
已复制链接
快去分享给好友吧!
我知道了
右上角分享
点击右上角分享
0
联系我们:info@booksci.cn Book学术提供免费学术资源搜索服务,方便国内外学者检索中英文文献。致力于提供最便捷和优质的服务体验。 Copyright © 2023 布克学术 All rights reserved.
京ICP备2023020795号-1
ghs 京公网安备 11010802042870号
Book学术文献互助
Book学术文献互助群
群 号:604180095
Book学术官方微信