一颗流血的心:心包血管肉瘤的病例报告和综述。

Q4 Medicine
Autopsy and Case Reports Pub Date : 2024-05-22 eCollection Date: 2024-01-01 DOI:10.4322/acr.2024.488
Ujjwal Madan, Himil Mahadevia, Parth Sharma, Satya Preetham Gunta, Ossama Tawfik, Karen Fritchie, Julian Magadan
{"title":"一颗流血的心:心包血管肉瘤的病例报告和综述。","authors":"Ujjwal Madan, Himil Mahadevia, Parth Sharma, Satya Preetham Gunta, Ossama Tawfik, Karen Fritchie, Julian Magadan","doi":"10.4322/acr.2024.488","DOIUrl":null,"url":null,"abstract":"<p><p>Primary cardiac tumors are rare. The cardiac sarcomas are the most common malignant cardiac tumors. These tumors have a dismal prognosis with an overall median survival of 25 months. Clinical features include dyspnea, arrhythmias, pericardial effusions, heart failure, and sudden cardiac death. The diagnosis is often challenging. Therefore, the cardiac imaging workup plays a central role in addition to a high clinical suspicion in the setting of atypical presentations that do not respond to standard therapies. The echocardiography, computed tomography, and cardiac MRI are crucial in clinching the diagnosis. Multimodal treatment with surgery, chemotherapy, and radiotherapy has been shown to improve outcomes, as opposed to using either of these modalities alone. We describe the case of a 30-year-old gentleman with COVID-19 infection who developed recurrent hemorrhagic pericardial effusions refractory to standard treatment and was eventually diagnosed as a case of pericardial angiosarcoma after his biopsy revealed the diagnosis and staging was performed using PET-CT-FDG scan. Our case re-emphasizes the importance of considering a malignant etiology early in the course of the disease presentation, especially in recurrent hemorrhagic effusions despite an inflammatory cytologic diagnosis of fluid. It also highlights the place for cardiac CT and MRI to ascertain the location and spread and to plan the further course of treatment. If diagnosed early, the estimated survival time can be prolonged by instituting a multimodal approach.</p>","PeriodicalId":53117,"journal":{"name":"Autopsy and Case Reports","volume":"14 ","pages":"e2024488"},"PeriodicalIF":0.0000,"publicationDate":"2024-05-22","publicationTypes":"Journal Article","fieldsOfStudy":null,"isOpenAccess":false,"openAccessPdf":"https://www.ncbi.nlm.nih.gov/pmc/articles/PMC11129860/pdf/","citationCount":"0","resultStr":"{\"title\":\"A bleeding heart: case report and review of pericardial angiosarcoma.\",\"authors\":\"Ujjwal Madan, Himil Mahadevia, Parth Sharma, Satya Preetham Gunta, Ossama Tawfik, Karen Fritchie, Julian Magadan\",\"doi\":\"10.4322/acr.2024.488\",\"DOIUrl\":null,\"url\":null,\"abstract\":\"<p><p>Primary cardiac tumors are rare. The cardiac sarcomas are the most common malignant cardiac tumors. These tumors have a dismal prognosis with an overall median survival of 25 months. Clinical features include dyspnea, arrhythmias, pericardial effusions, heart failure, and sudden cardiac death. The diagnosis is often challenging. Therefore, the cardiac imaging workup plays a central role in addition to a high clinical suspicion in the setting of atypical presentations that do not respond to standard therapies. The echocardiography, computed tomography, and cardiac MRI are crucial in clinching the diagnosis. Multimodal treatment with surgery, chemotherapy, and radiotherapy has been shown to improve outcomes, as opposed to using either of these modalities alone. We describe the case of a 30-year-old gentleman with COVID-19 infection who developed recurrent hemorrhagic pericardial effusions refractory to standard treatment and was eventually diagnosed as a case of pericardial angiosarcoma after his biopsy revealed the diagnosis and staging was performed using PET-CT-FDG scan. Our case re-emphasizes the importance of considering a malignant etiology early in the course of the disease presentation, especially in recurrent hemorrhagic effusions despite an inflammatory cytologic diagnosis of fluid. It also highlights the place for cardiac CT and MRI to ascertain the location and spread and to plan the further course of treatment. If diagnosed early, the estimated survival time can be prolonged by instituting a multimodal approach.</p>\",\"PeriodicalId\":53117,\"journal\":{\"name\":\"Autopsy and Case Reports\",\"volume\":\"14 \",\"pages\":\"e2024488\"},\"PeriodicalIF\":0.0000,\"publicationDate\":\"2024-05-22\",\"publicationTypes\":\"Journal Article\",\"fieldsOfStudy\":null,\"isOpenAccess\":false,\"openAccessPdf\":\"https://www.ncbi.nlm.nih.gov/pmc/articles/PMC11129860/pdf/\",\"citationCount\":\"0\",\"resultStr\":null,\"platform\":\"Semanticscholar\",\"paperid\":null,\"PeriodicalName\":\"Autopsy and Case Reports\",\"FirstCategoryId\":\"1085\",\"ListUrlMain\":\"https://doi.org/10.4322/acr.2024.488\",\"RegionNum\":0,\"RegionCategory\":null,\"ArticlePicture\":[],\"TitleCN\":null,\"AbstractTextCN\":null,\"PMCID\":null,\"EPubDate\":\"2024/1/1 0:00:00\",\"PubModel\":\"eCollection\",\"JCR\":\"Q4\",\"JCRName\":\"Medicine\",\"Score\":null,\"Total\":0}","platform":"Semanticscholar","paperid":null,"PeriodicalName":"Autopsy and Case Reports","FirstCategoryId":"1085","ListUrlMain":"https://doi.org/10.4322/acr.2024.488","RegionNum":0,"RegionCategory":null,"ArticlePicture":[],"TitleCN":null,"AbstractTextCN":null,"PMCID":null,"EPubDate":"2024/1/1 0:00:00","PubModel":"eCollection","JCR":"Q4","JCRName":"Medicine","Score":null,"Total":0}
引用次数: 0

摘要

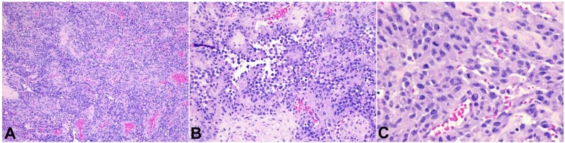
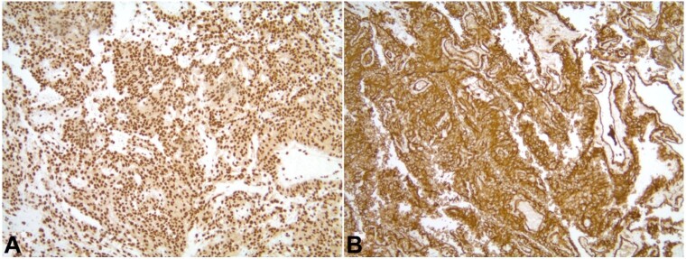
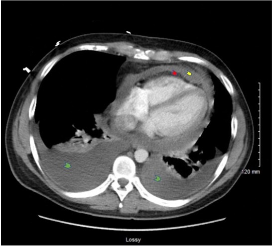
原发性心脏肿瘤很少见。心脏肉瘤是最常见的恶性心脏肿瘤。这些肿瘤的预后很差,总生存期中位数为 25 个月。临床特征包括呼吸困难、心律失常、心包积液、心力衰竭和心脏性猝死。诊断通常具有挑战性。因此,对于标准疗法无效的非典型表现,除了临床高度怀疑外,心脏成像检查也起着重要作用。超声心动图、计算机断层扫描和心脏磁共振成像对确诊至关重要。手术、化疗和放疗等多模式治疗比单独使用其中任何一种模式都能提高疗效。我们描述了一例感染 COVID-19 的 30 岁男性患者的病例,该患者反复出现出血性心包积液,标准治疗无效,最终在活检发现诊断结果并使用 PET-CT-FDG 扫描进行分期后被确诊为心包血管肉瘤。我们的病例再次强调了在发病早期考虑恶性病因的重要性,尤其是在炎性细胞学诊断为积液的情况下,仍反复出现出血性积液时。它还强调了心脏 CT 和 MRI 在确定位置和扩散情况以及计划进一步治疗方案中的重要地位。如果早期诊断,采用多模式方法可延长估计的存活时间。
本文章由计算机程序翻译,如有差异,请以英文原文为准。

A bleeding heart: case report and review of pericardial angiosarcoma.

A bleeding heart: case report and review of pericardial angiosarcoma.

A bleeding heart: case report and review of pericardial angiosarcoma.

A bleeding heart: case report and review of pericardial angiosarcoma.

Primary cardiac tumors are rare. The cardiac sarcomas are the most common malignant cardiac tumors. These tumors have a dismal prognosis with an overall median survival of 25 months. Clinical features include dyspnea, arrhythmias, pericardial effusions, heart failure, and sudden cardiac death. The diagnosis is often challenging. Therefore, the cardiac imaging workup plays a central role in addition to a high clinical suspicion in the setting of atypical presentations that do not respond to standard therapies. The echocardiography, computed tomography, and cardiac MRI are crucial in clinching the diagnosis. Multimodal treatment with surgery, chemotherapy, and radiotherapy has been shown to improve outcomes, as opposed to using either of these modalities alone. We describe the case of a 30-year-old gentleman with COVID-19 infection who developed recurrent hemorrhagic pericardial effusions refractory to standard treatment and was eventually diagnosed as a case of pericardial angiosarcoma after his biopsy revealed the diagnosis and staging was performed using PET-CT-FDG scan. Our case re-emphasizes the importance of considering a malignant etiology early in the course of the disease presentation, especially in recurrent hemorrhagic effusions despite an inflammatory cytologic diagnosis of fluid. It also highlights the place for cardiac CT and MRI to ascertain the location and spread and to plan the further course of treatment. If diagnosed early, the estimated survival time can be prolonged by instituting a multimodal approach.

求助全文
通过发布文献求助,成功后即可免费获取论文全文。 去求助
来源期刊
Autopsy and Case Reports
Autopsy and Case Reports Medicine-Internal Medicine
CiteScore
1.20
自引率
0.00%
发文量
60
审稿时长
9 weeks
×
引用
GB/T 7714-2015
复制
MLA
复制
APA
复制
导出至
BibTeX EndNote RefMan NoteFirst NoteExpress
×
提示
您的信息不完整,为了账户安全,请先补充。
现在去补充
×
提示
您因"违规操作"
具体请查看互助需知
我知道了
×
提示
确定
请完成安全验证×
copy
已复制链接
快去分享给好友吧!
我知道了
右上角分享
点击右上角分享
0
联系我们:info@booksci.cn Book学术提供免费学术资源搜索服务,方便国内外学者检索中英文文献。致力于提供最便捷和优质的服务体验。 Copyright © 2023 布克学术 All rights reserved.
京ICP备2023020795号-1
ghs 京公网安备 11010802042870号
Book学术文献互助
Book学术文献互助群
群 号:604180095
Book学术官方微信