脂溢性角化病:报告罕见病例,提醒人们关注这一问题。

IF 1.9 Q3 PATHOLOGY
Clinical Pathology Pub Date : 2024-05-25 eCollection Date: 2024-01-01 DOI:10.1177/2632010X241255874
Bahaeddine Lahbacha, Salwa Nechi, Abir Chaabane, Amina Bani, Majdi Kchaou, Fadhel Chtourou, Mohamed Karim Mfarrej, Amel Douggaz, Emna Chelbi
{"title":"脂溢性角化病:报告罕见病例,提醒人们关注这一问题。","authors":"Bahaeddine Lahbacha, Salwa Nechi, Abir Chaabane, Amina Bani, Majdi Kchaou, Fadhel Chtourou, Mohamed Karim Mfarrej, Amel Douggaz, Emna Chelbi","doi":"10.1177/2632010X241255874","DOIUrl":null,"url":null,"abstract":"<p><p>A 75-year-old man presented with an abdominal enlarging painless tumor of the skin evolving over the last 30 years. His past medical history was unremarkable. Physical examination revealed a brownish pedunculated cutaneous mass which had an irregular keratotic warty surface with no discharge or ulceration. The mass was clinically presumed to be a melanocytic tumor, or a verrucous carcinoma. A monoblock excision of the mass was performed with a good outcome. The specimen was then sent to our pathology department to rule out malignancy. Macroscopic examination revealed a brownish tumor of 7.5 × 7 × 1.5 cm which had fissures and cauliflower-like appearance. Final histological report concluded to a giant seborrheic keratosis.</p>","PeriodicalId":53204,"journal":{"name":"Clinical Pathology","volume":"17 ","pages":"2632010X241255874"},"PeriodicalIF":1.9000,"publicationDate":"2024-05-25","publicationTypes":"Journal Article","fieldsOfStudy":null,"isOpenAccess":false,"openAccessPdf":"https://www.ncbi.nlm.nih.gov/pmc/articles/PMC11128169/pdf/","citationCount":"0","resultStr":"{\"title\":\"Seborrheic Keratosis: Report of a Rare Presentation and Reminder of the Current Knowledge of the Problem.\",\"authors\":\"Bahaeddine Lahbacha, Salwa Nechi, Abir Chaabane, Amina Bani, Majdi Kchaou, Fadhel Chtourou, Mohamed Karim Mfarrej, Amel Douggaz, Emna Chelbi\",\"doi\":\"10.1177/2632010X241255874\",\"DOIUrl\":null,\"url\":null,\"abstract\":\"<p><p>A 75-year-old man presented with an abdominal enlarging painless tumor of the skin evolving over the last 30 years. His past medical history was unremarkable. Physical examination revealed a brownish pedunculated cutaneous mass which had an irregular keratotic warty surface with no discharge or ulceration. The mass was clinically presumed to be a melanocytic tumor, or a verrucous carcinoma. A monoblock excision of the mass was performed with a good outcome. The specimen was then sent to our pathology department to rule out malignancy. Macroscopic examination revealed a brownish tumor of 7.5 × 7 × 1.5 cm which had fissures and cauliflower-like appearance. Final histological report concluded to a giant seborrheic keratosis.</p>\",\"PeriodicalId\":53204,\"journal\":{\"name\":\"Clinical Pathology\",\"volume\":\"17 \",\"pages\":\"2632010X241255874\"},\"PeriodicalIF\":1.9000,\"publicationDate\":\"2024-05-25\",\"publicationTypes\":\"Journal Article\",\"fieldsOfStudy\":null,\"isOpenAccess\":false,\"openAccessPdf\":\"https://www.ncbi.nlm.nih.gov/pmc/articles/PMC11128169/pdf/\",\"citationCount\":\"0\",\"resultStr\":null,\"platform\":\"Semanticscholar\",\"paperid\":null,\"PeriodicalName\":\"Clinical Pathology\",\"FirstCategoryId\":\"1085\",\"ListUrlMain\":\"https://doi.org/10.1177/2632010X241255874\",\"RegionNum\":0,\"RegionCategory\":null,\"ArticlePicture\":[],\"TitleCN\":null,\"AbstractTextCN\":null,\"PMCID\":null,\"EPubDate\":\"2024/1/1 0:00:00\",\"PubModel\":\"eCollection\",\"JCR\":\"Q3\",\"JCRName\":\"PATHOLOGY\",\"Score\":null,\"Total\":0}","platform":"Semanticscholar","paperid":null,"PeriodicalName":"Clinical Pathology","FirstCategoryId":"1085","ListUrlMain":"https://doi.org/10.1177/2632010X241255874","RegionNum":0,"RegionCategory":null,"ArticlePicture":[],"TitleCN":null,"AbstractTextCN":null,"PMCID":null,"EPubDate":"2024/1/1 0:00:00","PubModel":"eCollection","JCR":"Q3","JCRName":"PATHOLOGY","Score":null,"Total":0}
引用次数: 0

摘要

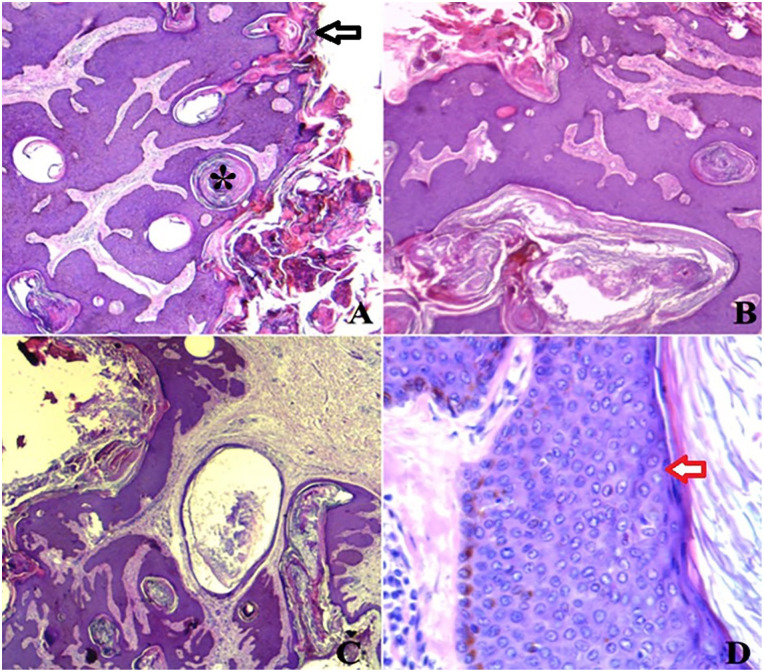
一名 75 岁的男子因腹部增大的无痛性皮肤肿瘤就诊,该肿瘤在过去 30 年中不断发展。既往病史无异常。体格检查显示,他的皮肤肿块呈褐色块状,表面呈不规则角化疣状,无分泌物或溃疡。临床推测该肿块为黑色素细胞瘤或疣状癌。对肿块进行了单块切除,结果良好。标本随后被送往病理科,以排除恶性肿瘤的可能性。显微镜检查发现,肿瘤呈褐色,大小为 7.5 × 7 × 1.5 厘米,有裂隙和菜花状外观。最终的组织学报告得出结论:这是一个巨大的脂溢性角化病。
本文章由计算机程序翻译,如有差异,请以英文原文为准。

Seborrheic Keratosis: Report of a Rare Presentation and Reminder of the Current Knowledge of the Problem.

Seborrheic Keratosis: Report of a Rare Presentation and Reminder of the Current Knowledge of the Problem.

Seborrheic Keratosis: Report of a Rare Presentation and Reminder of the Current Knowledge of the Problem.

Seborrheic Keratosis: Report of a Rare Presentation and Reminder of the Current Knowledge of the Problem.

A 75-year-old man presented with an abdominal enlarging painless tumor of the skin evolving over the last 30 years. His past medical history was unremarkable. Physical examination revealed a brownish pedunculated cutaneous mass which had an irregular keratotic warty surface with no discharge or ulceration. The mass was clinically presumed to be a melanocytic tumor, or a verrucous carcinoma. A monoblock excision of the mass was performed with a good outcome. The specimen was then sent to our pathology department to rule out malignancy. Macroscopic examination revealed a brownish tumor of 7.5 × 7 × 1.5 cm which had fissures and cauliflower-like appearance. Final histological report concluded to a giant seborrheic keratosis.

求助全文
通过发布文献求助,成功后即可免费获取论文全文。 去求助
来源期刊
Clinical Pathology
Clinical Pathology PATHOLOGY-
CiteScore
2.20
自引率
7.70%
发文量
66
×
引用
GB/T 7714-2015
复制
MLA
复制
APA
复制
导出至
BibTeX EndNote RefMan NoteFirst NoteExpress
×
提示
您的信息不完整,为了账户安全,请先补充。
现在去补充
×
提示
您因"违规操作"
具体请查看互助需知
我知道了
×
提示
确定
请完成安全验证×
copy
已复制链接
快去分享给好友吧!
我知道了
右上角分享
点击右上角分享
0
联系我们:info@booksci.cn Book学术提供免费学术资源搜索服务,方便国内外学者检索中英文文献。致力于提供最便捷和优质的服务体验。 Copyright © 2023 布克学术 All rights reserved.
京ICP备2023020795号-1
ghs 京公网安备 11010802042870号
Book学术文献互助
Book学术文献互助群
群 号:604180095
Book学术官方微信