无特殊类型浸润性乳腺癌肿瘤微环境与预后参数之间关系的研究:回顾性分析

IF 2.1 Q4 PATHOLOGY
Mine Ozsen, Sahsine Tolunay, Kazim Senol, Adem Deligonul, Sehsuvar Gokgoz, Turkkan Evrensel
{"title":"无特殊类型浸润性乳腺癌肿瘤微环境与预后参数之间关系的研究:回顾性分析","authors":"Mine Ozsen, Sahsine Tolunay, Kazim Senol, Adem Deligonul, Sehsuvar Gokgoz, Turkkan Evrensel","doi":"10.5146/tjpath.2024.12805","DOIUrl":null,"url":null,"abstract":"<p><strong>Objective: </strong>The tumor microenvironment is a heterogeneous and constantly changing territory that plays an active role in tumor formation and progression. It constantly interacts with tumor cells, plays an active role in tumor development, and even appears as a parameter of prognostic importance, and the importance of the tumor microenvironment in breast cancer has been emphasized by recent studies. In this study, we aimed to retrospectively evaluate the relationship between the tumor microenvironment and prognostic parameters in invasive breast carcinomas of no special type.</p><p><strong>Material and methods: </strong>A total of 271 cases diagnosed as invasive breast carcinoma of no special type from resection materials in our center between 2007 and 2015 were included in the study. Hematoxylin-eosin stained slides with a thickness of 4-5 micrometers were evaluated in terms of tumor infiltrating lymphocytes, peritumoral and intratumoral desmoplastic reaction, intratumoral and peritumoral tumor budding, stromal features, and tumor growth pattern.</p><p><strong>Results: </strong>When parameters related to the tumor microenvironment were compared with other prognostic parameters, there was a significant relationship between TILs and tumor grade, size, stage, immunohistochemical subgroup and Ki-67 proliferation index. A significant relationship was detected between intratumoral stromal reaction and tumor grade, size, molecular subgroup and the Ki-67 proliferation index (p < 0.05). When stroma and other prognostic parameters were compared, tumors with desmoplastic stroma had higher grades and higher Ki-67 proliferation indexes, and they were observed more frequently in the triple negative molecular subgroup.</p><p><strong>Conclusion: </strong>We believe that including parameters related to tumor microenvironment in breast cancer reports, which hold a prognostic and predictive importance, will contribute to patient management. Considering the fact that these can be easily evaluated from routinely used hematoxylin-eosin stained slides, this does not cause additional costs or excessive time loss.</p>","PeriodicalId":45415,"journal":{"name":"Turkish Journal of Pathology","volume":" ","pages":"170-180"},"PeriodicalIF":2.1000,"publicationDate":"2024-01-01","publicationTypes":"Journal Article","fieldsOfStudy":null,"isOpenAccess":false,"openAccessPdf":"https://www.ncbi.nlm.nih.gov/pmc/articles/PMC11401734/pdf/","citationCount":"0","resultStr":"{\"title\":\"Investigation of the Relationship Between Tumor Microenvironment and Prognostic Parameters in Invasive Breast Carcinomas of No Special Type: A Retrospective Analysis.\",\"authors\":\"Mine Ozsen, Sahsine Tolunay, Kazim Senol, Adem Deligonul, Sehsuvar Gokgoz, Turkkan Evrensel\",\"doi\":\"10.5146/tjpath.2024.12805\",\"DOIUrl\":null,\"url\":null,\"abstract\":\"<p><strong>Objective: </strong>The tumor microenvironment is a heterogeneous and constantly changing territory that plays an active role in tumor formation and progression. It constantly interacts with tumor cells, plays an active role in tumor development, and even appears as a parameter of prognostic importance, and the importance of the tumor microenvironment in breast cancer has been emphasized by recent studies. In this study, we aimed to retrospectively evaluate the relationship between the tumor microenvironment and prognostic parameters in invasive breast carcinomas of no special type.</p><p><strong>Material and methods: </strong>A total of 271 cases diagnosed as invasive breast carcinoma of no special type from resection materials in our center between 2007 and 2015 were included in the study. Hematoxylin-eosin stained slides with a thickness of 4-5 micrometers were evaluated in terms of tumor infiltrating lymphocytes, peritumoral and intratumoral desmoplastic reaction, intratumoral and peritumoral tumor budding, stromal features, and tumor growth pattern.</p><p><strong>Results: </strong>When parameters related to the tumor microenvironment were compared with other prognostic parameters, there was a significant relationship between TILs and tumor grade, size, stage, immunohistochemical subgroup and Ki-67 proliferation index. A significant relationship was detected between intratumoral stromal reaction and tumor grade, size, molecular subgroup and the Ki-67 proliferation index (p < 0.05). When stroma and other prognostic parameters were compared, tumors with desmoplastic stroma had higher grades and higher Ki-67 proliferation indexes, and they were observed more frequently in the triple negative molecular subgroup.</p><p><strong>Conclusion: </strong>We believe that including parameters related to tumor microenvironment in breast cancer reports, which hold a prognostic and predictive importance, will contribute to patient management. Considering the fact that these can be easily evaluated from routinely used hematoxylin-eosin stained slides, this does not cause additional costs or excessive time loss.</p>\",\"PeriodicalId\":45415,\"journal\":{\"name\":\"Turkish Journal of Pathology\",\"volume\":\" \",\"pages\":\"170-180\"},\"PeriodicalIF\":2.1000,\"publicationDate\":\"2024-01-01\",\"publicationTypes\":\"Journal Article\",\"fieldsOfStudy\":null,\"isOpenAccess\":false,\"openAccessPdf\":\"https://www.ncbi.nlm.nih.gov/pmc/articles/PMC11401734/pdf/\",\"citationCount\":\"0\",\"resultStr\":null,\"platform\":\"Semanticscholar\",\"paperid\":null,\"PeriodicalName\":\"Turkish Journal of Pathology\",\"FirstCategoryId\":\"1085\",\"ListUrlMain\":\"https://doi.org/10.5146/tjpath.2024.12805\",\"RegionNum\":0,\"RegionCategory\":null,\"ArticlePicture\":[],\"TitleCN\":null,\"AbstractTextCN\":null,\"PMCID\":null,\"EPubDate\":\"\",\"PubModel\":\"\",\"JCR\":\"Q4\",\"JCRName\":\"PATHOLOGY\",\"Score\":null,\"Total\":0}","platform":"Semanticscholar","paperid":null,"PeriodicalName":"Turkish Journal of Pathology","FirstCategoryId":"1085","ListUrlMain":"https://doi.org/10.5146/tjpath.2024.12805","RegionNum":0,"RegionCategory":null,"ArticlePicture":[],"TitleCN":null,"AbstractTextCN":null,"PMCID":null,"EPubDate":"","PubModel":"","JCR":"Q4","JCRName":"PATHOLOGY","Score":null,"Total":0}
引用次数: 0

摘要

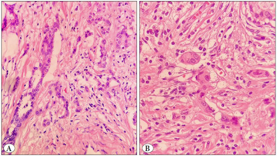
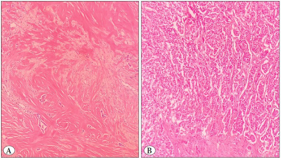
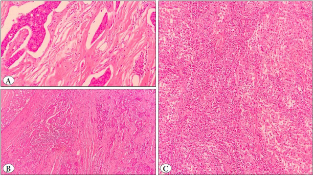
目的:肿瘤微环境是一个异构且不断变化的领域,在肿瘤的形成和发展过程中发挥着积极作用。它不断与肿瘤细胞相互作用,在肿瘤发生发展过程中发挥着积极作用,甚至作为一个重要的预后参数出现,近年来的研究强调了肿瘤微环境在乳腺癌中的重要性。本研究旨在回顾性评估无特殊类型浸润性乳腺癌的肿瘤微环境与预后参数之间的关系:研究纳入了本中心 2007 年至 2015 年间从切除材料中诊断为无特殊类型浸润性乳腺癌的 271 例病例。从肿瘤浸润淋巴细胞、瘤周和瘤内脱瘤反应、瘤内和瘤周肿瘤出芽、基质特征和肿瘤生长模式等方面对厚度为4-5微米的苏木精-伊红染色切片进行评估:将与肿瘤微环境有关的参数与其他预后参数进行比较,发现TILs与肿瘤分级、大小、分期、免疫组化亚组和Ki-67增殖指数有显著关系。瘤内基质反应与肿瘤分级、大小、分子亚组和Ki-67增殖指数之间存在明显关系(P<0.05)。在比较基质和其他预后参数时,基质脱落的肿瘤分级更高,Ki-67增殖指数也更高,而且在三阴性分子亚组中更常见:我们认为,在乳腺癌报告中纳入与肿瘤微环境有关的参数,对预后和预测具有重要意义,将有助于患者的管理。考虑到这些参数很容易通过常规使用的苏木精-伊红染色切片进行评估,因此不会造成额外费用或过多时间损失。
本文章由计算机程序翻译,如有差异,请以英文原文为准。

Investigation of the Relationship Between Tumor Microenvironment and Prognostic Parameters in Invasive Breast Carcinomas of No Special Type: A Retrospective Analysis.

Investigation of the Relationship Between Tumor Microenvironment and Prognostic Parameters in Invasive Breast Carcinomas of No Special Type: A Retrospective Analysis.

Investigation of the Relationship Between Tumor Microenvironment and Prognostic Parameters in Invasive Breast Carcinomas of No Special Type: A Retrospective Analysis.

Investigation of the Relationship Between Tumor Microenvironment and Prognostic Parameters in Invasive Breast Carcinomas of No Special Type: A Retrospective Analysis.

Objective: The tumor microenvironment is a heterogeneous and constantly changing territory that plays an active role in tumor formation and progression. It constantly interacts with tumor cells, plays an active role in tumor development, and even appears as a parameter of prognostic importance, and the importance of the tumor microenvironment in breast cancer has been emphasized by recent studies. In this study, we aimed to retrospectively evaluate the relationship between the tumor microenvironment and prognostic parameters in invasive breast carcinomas of no special type.

Material and methods: A total of 271 cases diagnosed as invasive breast carcinoma of no special type from resection materials in our center between 2007 and 2015 were included in the study. Hematoxylin-eosin stained slides with a thickness of 4-5 micrometers were evaluated in terms of tumor infiltrating lymphocytes, peritumoral and intratumoral desmoplastic reaction, intratumoral and peritumoral tumor budding, stromal features, and tumor growth pattern.

Results: When parameters related to the tumor microenvironment were compared with other prognostic parameters, there was a significant relationship between TILs and tumor grade, size, stage, immunohistochemical subgroup and Ki-67 proliferation index. A significant relationship was detected between intratumoral stromal reaction and tumor grade, size, molecular subgroup and the Ki-67 proliferation index (p < 0.05). When stroma and other prognostic parameters were compared, tumors with desmoplastic stroma had higher grades and higher Ki-67 proliferation indexes, and they were observed more frequently in the triple negative molecular subgroup.

Conclusion: We believe that including parameters related to tumor microenvironment in breast cancer reports, which hold a prognostic and predictive importance, will contribute to patient management. Considering the fact that these can be easily evaluated from routinely used hematoxylin-eosin stained slides, this does not cause additional costs or excessive time loss.

求助全文
通过发布文献求助,成功后即可免费获取论文全文。 去求助
来源期刊
CiteScore
1.90
自引率
10.00%
发文量
23
审稿时长
14 weeks
×
引用
GB/T 7714-2015
复制
MLA
复制
APA
复制
导出至
BibTeX EndNote RefMan NoteFirst NoteExpress
×
提示
您的信息不完整,为了账户安全,请先补充。
现在去补充
×
提示
您因"违规操作"
具体请查看互助需知
我知道了
×
提示
确定
请完成安全验证×
copy
已复制链接
快去分享给好友吧!
我知道了
右上角分享
点击右上角分享
0
联系我们:info@booksci.cn Book学术提供免费学术资源搜索服务,方便国内外学者检索中英文文献。致力于提供最便捷和优质的服务体验。 Copyright © 2023 布克学术 All rights reserved.
京ICP备2023020795号-1
ghs 京公网安备 11010802042870号
Book学术文献互助
Book学术文献互助群
群 号:604180095
Book学术官方微信