类风湿性关节炎的双侧快速破坏性关节病。

IF 1.7 Q3 RHEUMATOLOGY
Reumatologia Pub Date : 2024-01-01 Epub Date: 2024-04-30 DOI:10.5114/reum/186977
Stoimen Dimitrov, Georgi Gerganov, Simona Bogdanova, Svetlana Hristova, Rosina Moraliyska, Svetoslav Dimitrov, Zhaklin Apostolova, Desislava Simeonova, Tanya Shivacheva, Tsvetoslav Georgiev
{"title":"类风湿性关节炎的双侧快速破坏性关节病。","authors":"Stoimen Dimitrov, Georgi Gerganov, Simona Bogdanova, Svetlana Hristova, Rosina Moraliyska, Svetoslav Dimitrov, Zhaklin Apostolova, Desislava Simeonova, Tanya Shivacheva, Tsvetoslav Georgiev","doi":"10.5114/reum/186977","DOIUrl":null,"url":null,"abstract":"<p><p>Rapidly destructive coxopathy (RDC) is a rare type of coxarthritis marked by swift deterioration of the hip joint. Although its cause remains unclear, several pathophysiological mechanisms are proposed. To comprehensively analyze this poorly understood condition, a literature search was conducted focusing on associations of bilateral RDC and rheumatoid arthritis (RA). The problem of long-standing RA, bilateral RDC with a febrile episode that preceded a rapid decline in mobility and severe hip pain, with radiological assessment confirmed bilateral hip destruction, was presented. Rapidly destructive coxopathy, especially when linked to RA, poses diagnostic and therapeutic challenges. Our review confirmed by the clinical picture emphasizes the need for vigilance in RA patients with hip involvement and calls for further research to understand RDC's mechanisms and enhance clinical care.</p>","PeriodicalId":21312,"journal":{"name":"Reumatologia","volume":"62 2","pages":"134-141"},"PeriodicalIF":1.7000,"publicationDate":"2024-01-01","publicationTypes":"Journal Article","fieldsOfStudy":null,"isOpenAccess":false,"openAccessPdf":"https://www.ncbi.nlm.nih.gov/pmc/articles/PMC11114130/pdf/","citationCount":"0","resultStr":"{\"title\":\"Bilateral rapidly destructive coxopathy in rheumatoid arthritis.\",\"authors\":\"Stoimen Dimitrov, Georgi Gerganov, Simona Bogdanova, Svetlana Hristova, Rosina Moraliyska, Svetoslav Dimitrov, Zhaklin Apostolova, Desislava Simeonova, Tanya Shivacheva, Tsvetoslav Georgiev\",\"doi\":\"10.5114/reum/186977\",\"DOIUrl\":null,\"url\":null,\"abstract\":\"<p><p>Rapidly destructive coxopathy (RDC) is a rare type of coxarthritis marked by swift deterioration of the hip joint. Although its cause remains unclear, several pathophysiological mechanisms are proposed. To comprehensively analyze this poorly understood condition, a literature search was conducted focusing on associations of bilateral RDC and rheumatoid arthritis (RA). The problem of long-standing RA, bilateral RDC with a febrile episode that preceded a rapid decline in mobility and severe hip pain, with radiological assessment confirmed bilateral hip destruction, was presented. Rapidly destructive coxopathy, especially when linked to RA, poses diagnostic and therapeutic challenges. Our review confirmed by the clinical picture emphasizes the need for vigilance in RA patients with hip involvement and calls for further research to understand RDC's mechanisms and enhance clinical care.</p>\",\"PeriodicalId\":21312,\"journal\":{\"name\":\"Reumatologia\",\"volume\":\"62 2\",\"pages\":\"134-141\"},\"PeriodicalIF\":1.7000,\"publicationDate\":\"2024-01-01\",\"publicationTypes\":\"Journal Article\",\"fieldsOfStudy\":null,\"isOpenAccess\":false,\"openAccessPdf\":\"https://www.ncbi.nlm.nih.gov/pmc/articles/PMC11114130/pdf/\",\"citationCount\":\"0\",\"resultStr\":null,\"platform\":\"Semanticscholar\",\"paperid\":null,\"PeriodicalName\":\"Reumatologia\",\"FirstCategoryId\":\"1085\",\"ListUrlMain\":\"https://doi.org/10.5114/reum/186977\",\"RegionNum\":0,\"RegionCategory\":null,\"ArticlePicture\":[],\"TitleCN\":null,\"AbstractTextCN\":null,\"PMCID\":null,\"EPubDate\":\"2024/4/30 0:00:00\",\"PubModel\":\"Epub\",\"JCR\":\"Q3\",\"JCRName\":\"RHEUMATOLOGY\",\"Score\":null,\"Total\":0}","platform":"Semanticscholar","paperid":null,"PeriodicalName":"Reumatologia","FirstCategoryId":"1085","ListUrlMain":"https://doi.org/10.5114/reum/186977","RegionNum":0,"RegionCategory":null,"ArticlePicture":[],"TitleCN":null,"AbstractTextCN":null,"PMCID":null,"EPubDate":"2024/4/30 0:00:00","PubModel":"Epub","JCR":"Q3","JCRName":"RHEUMATOLOGY","Score":null,"Total":0}
引用次数: 0

摘要

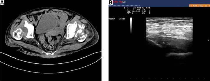
快速破坏性髋关节病(RDC)是一种罕见的髋关节炎,其特点是髋关节迅速恶化。虽然其病因尚不清楚,但已提出了几种病理生理机制。为了全面分析这一鲜为人知的疾病,我们进行了一次文献检索,重点是双侧 RDC 与类风湿性关节炎(RA)的关联。该研究提出了一个问题:长期患有类风湿性关节炎、双侧 RDC 的患者在活动能力急剧下降和髋部剧烈疼痛之前出现发热,放射学评估证实双侧髋部受到破坏。快速破坏性髋关节病,尤其是与 RA 相关时,给诊断和治疗带来了挑战。我们的综述与临床表现相印证,强调了对髋关节受累的 RA 患者保持警惕的必要性,并呼吁开展进一步研究,以了解 RDC 的机制并加强临床护理。
本文章由计算机程序翻译,如有差异,请以英文原文为准。

Bilateral rapidly destructive coxopathy in rheumatoid arthritis.

Bilateral rapidly destructive coxopathy in rheumatoid arthritis.

Bilateral rapidly destructive coxopathy in rheumatoid arthritis.

Bilateral rapidly destructive coxopathy in rheumatoid arthritis.

Rapidly destructive coxopathy (RDC) is a rare type of coxarthritis marked by swift deterioration of the hip joint. Although its cause remains unclear, several pathophysiological mechanisms are proposed. To comprehensively analyze this poorly understood condition, a literature search was conducted focusing on associations of bilateral RDC and rheumatoid arthritis (RA). The problem of long-standing RA, bilateral RDC with a febrile episode that preceded a rapid decline in mobility and severe hip pain, with radiological assessment confirmed bilateral hip destruction, was presented. Rapidly destructive coxopathy, especially when linked to RA, poses diagnostic and therapeutic challenges. Our review confirmed by the clinical picture emphasizes the need for vigilance in RA patients with hip involvement and calls for further research to understand RDC's mechanisms and enhance clinical care.

求助全文
通过发布文献求助,成功后即可免费获取论文全文。 去求助
来源期刊
Reumatologia
Reumatologia Medicine-Rheumatology
CiteScore
2.70
自引率
0.00%
发文量
44
审稿时长
10 weeks
×
引用
GB/T 7714-2015
复制
MLA
复制
APA
复制
导出至
BibTeX EndNote RefMan NoteFirst NoteExpress
×
提示
您的信息不完整,为了账户安全,请先补充。
现在去补充
×
提示
您因"违规操作"
具体请查看互助需知
我知道了
×
提示
确定
请完成安全验证×
copy
已复制链接
快去分享给好友吧!
我知道了
右上角分享
点击右上角分享
0
联系我们:info@booksci.cn Book学术提供免费学术资源搜索服务,方便国内外学者检索中英文文献。致力于提供最便捷和优质的服务体验。 Copyright © 2023 布克学术 All rights reserved.
京ICP备2023020795号-1
ghs 京公网安备 11010802042870号
Book学术文献互助
Book学术文献互助群
群 号:604180095
Book学术官方微信