在初次数字减影血管造影阴性的自发性蛛网膜下腔出血病例中,重复计算机断层扫描血管造影的诊断率。

Polish journal of radiology Pub Date : 2024-04-04 eCollection Date: 2024-01-01 DOI:10.5114/pjr.2024.138787
Amonlaya Amantakul, Withawat Vuthiwong, Natthapong Khiawsa
{"title":"在初次数字减影血管造影阴性的自发性蛛网膜下腔出血病例中,重复计算机断层扫描血管造影的诊断率。","authors":"Amonlaya Amantakul, Withawat Vuthiwong, Natthapong Khiawsa","doi":"10.5114/pjr.2024.138787","DOIUrl":null,"url":null,"abstract":"<p><strong>Purpose: </strong>It is currently unclear how useful repeat computed tomography angiography (CTA) is in spontaneous subarachnoid haemorrhage (SAH) patients after negative initial digital subtraction angiography (DSA). The purpose of this study is to assess the yield of repeat CTA for the detection of causative vascular lesions in patients with SAH in whom there has been a negative initial DSA.</p><p><strong>Material and methods: </strong>This observational retrospective study was carried out from January 2013 to July 2022 at a single institution. Analysis of the SAH pattern on unenhanced CT showed that patients were divided into perimesencephalic SAH and diffuse SAH groups. A repeat CTA was performed on all spontaneous SAH patients who had a nega-tive initial CTA and DSA within a 2-week period. An interventional neuroradiologist and a diagnostic radiologist examined all images to search for causative vascular abnormalities.</p><p><strong>Results: </strong>Forty-seven patients were included in our study, with a median age of 55 years and a range of 28-81 years. Thirty-seven had diffuse SAH (66%), and 16 had perimesencephalic SAH (34%). The repeat CTA revealed 2 causa-tive vascular lesions (a right PICA aneurysm and a mycotic aneurysm) in 2 separate patients (yield of 4.3%), both of whom had diffuse SAH (yield of 6.5%). In retrospect, none of these vascular lesions were evident in the initial CTA and DSA. No evidence of re-bleeding was observed in the follow-up period.</p><p><strong>Conclusions: </strong>It is beneficial to repeat CTA when evaluating patients with diffuse SAH who initially present with nega-tive initial DSA. For occult aneurysms, the diagnostic yield of the follow-up CTA is 6.5%.</p>","PeriodicalId":94174,"journal":{"name":"Polish journal of radiology","volume":"89 ","pages":"e179-e186"},"PeriodicalIF":0.0000,"publicationDate":"2024-04-04","publicationTypes":"Journal Article","fieldsOfStudy":null,"isOpenAccess":false,"openAccessPdf":"https://www.ncbi.nlm.nih.gov/pmc/articles/PMC11112413/pdf/","citationCount":"0","resultStr":"{\"title\":\"The diagnostic yield of repeat computed tomography angiography in cases of spontaneous subarachnoid haemorrhage after negative initial digital subtraction angiography.\",\"authors\":\"Amonlaya Amantakul, Withawat Vuthiwong, Natthapong Khiawsa\",\"doi\":\"10.5114/pjr.2024.138787\",\"DOIUrl\":null,\"url\":null,\"abstract\":\"<p><strong>Purpose: </strong>It is currently unclear how useful repeat computed tomography angiography (CTA) is in spontaneous subarachnoid haemorrhage (SAH) patients after negative initial digital subtraction angiography (DSA). The purpose of this study is to assess the yield of repeat CTA for the detection of causative vascular lesions in patients with SAH in whom there has been a negative initial DSA.</p><p><strong>Material and methods: </strong>This observational retrospective study was carried out from January 2013 to July 2022 at a single institution. Analysis of the SAH pattern on unenhanced CT showed that patients were divided into perimesencephalic SAH and diffuse SAH groups. A repeat CTA was performed on all spontaneous SAH patients who had a nega-tive initial CTA and DSA within a 2-week period. An interventional neuroradiologist and a diagnostic radiologist examined all images to search for causative vascular abnormalities.</p><p><strong>Results: </strong>Forty-seven patients were included in our study, with a median age of 55 years and a range of 28-81 years. Thirty-seven had diffuse SAH (66%), and 16 had perimesencephalic SAH (34%). The repeat CTA revealed 2 causa-tive vascular lesions (a right PICA aneurysm and a mycotic aneurysm) in 2 separate patients (yield of 4.3%), both of whom had diffuse SAH (yield of 6.5%). In retrospect, none of these vascular lesions were evident in the initial CTA and DSA. No evidence of re-bleeding was observed in the follow-up period.</p><p><strong>Conclusions: </strong>It is beneficial to repeat CTA when evaluating patients with diffuse SAH who initially present with nega-tive initial DSA. For occult aneurysms, the diagnostic yield of the follow-up CTA is 6.5%.</p>\",\"PeriodicalId\":94174,\"journal\":{\"name\":\"Polish journal of radiology\",\"volume\":\"89 \",\"pages\":\"e179-e186\"},\"PeriodicalIF\":0.0000,\"publicationDate\":\"2024-04-04\",\"publicationTypes\":\"Journal Article\",\"fieldsOfStudy\":null,\"isOpenAccess\":false,\"openAccessPdf\":\"https://www.ncbi.nlm.nih.gov/pmc/articles/PMC11112413/pdf/\",\"citationCount\":\"0\",\"resultStr\":null,\"platform\":\"Semanticscholar\",\"paperid\":null,\"PeriodicalName\":\"Polish journal of radiology\",\"FirstCategoryId\":\"1085\",\"ListUrlMain\":\"https://doi.org/10.5114/pjr.2024.138787\",\"RegionNum\":0,\"RegionCategory\":null,\"ArticlePicture\":[],\"TitleCN\":null,\"AbstractTextCN\":null,\"PMCID\":null,\"EPubDate\":\"2024/1/1 0:00:00\",\"PubModel\":\"eCollection\",\"JCR\":\"\",\"JCRName\":\"\",\"Score\":null,\"Total\":0}","platform":"Semanticscholar","paperid":null,"PeriodicalName":"Polish journal of radiology","FirstCategoryId":"1085","ListUrlMain":"https://doi.org/10.5114/pjr.2024.138787","RegionNum":0,"RegionCategory":null,"ArticlePicture":[],"TitleCN":null,"AbstractTextCN":null,"PMCID":null,"EPubDate":"2024/1/1 0:00:00","PubModel":"eCollection","JCR":"","JCRName":"","Score":null,"Total":0}
引用次数: 0

摘要

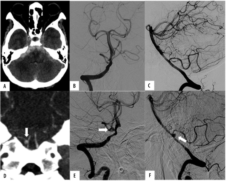
目的:目前尚不清楚对初次数字减影血管造影(DSA)阴性的自发性蛛网膜下腔出血(SAH)患者重复进行计算机断层扫描血管造影(CTA)的作用。本研究的目的是评估重复CTA对初次数字减影血管造影阴性的SAH患者检测致病血管病变的效果:这项观察性回顾研究于2013年1月至2022年7月在一家医疗机构进行。对未增强 CT 上 SAH 形态的分析表明,患者分为脑周 SAH 组和弥漫 SAH 组。所有在两周内初次CTA和DSA均为阴性的自发性SAH患者均接受了重复CTA检查。一位介入神经放射科医生和一位放射诊断科医生检查了所有图像,以寻找致病血管异常:研究共纳入 47 名患者,中位年龄为 55 岁,年龄范围为 28-81 岁。37例为弥漫性SAH(66%),16例为脑周SAH(34%)。重复CTA检查发现2名患者有2处致病血管病变(右侧PICA动脉瘤和霉菌性动脉瘤)(检出率为4.3%),这2名患者均为弥漫性SAH(检出率为6.5%)。回想起来,这些血管病变在最初的 CTA 和 DSA 中都不明显。随访期间未观察到再次出血的证据:结论:弥漫性SAH患者最初的DSA结果为阴性,在对患者进行评估时重复CTA是有益的。对于隐匿性动脉瘤,随访CTA的诊断率为6.5%。
本文章由计算机程序翻译,如有差异,请以英文原文为准。

The diagnostic yield of repeat computed tomography angiography in cases of spontaneous subarachnoid haemorrhage after negative initial digital subtraction angiography.

The diagnostic yield of repeat computed tomography angiography in cases of spontaneous subarachnoid haemorrhage after negative initial digital subtraction angiography.

The diagnostic yield of repeat computed tomography angiography in cases of spontaneous subarachnoid haemorrhage after negative initial digital subtraction angiography.

Purpose: It is currently unclear how useful repeat computed tomography angiography (CTA) is in spontaneous subarachnoid haemorrhage (SAH) patients after negative initial digital subtraction angiography (DSA). The purpose of this study is to assess the yield of repeat CTA for the detection of causative vascular lesions in patients with SAH in whom there has been a negative initial DSA.

Material and methods: This observational retrospective study was carried out from January 2013 to July 2022 at a single institution. Analysis of the SAH pattern on unenhanced CT showed that patients were divided into perimesencephalic SAH and diffuse SAH groups. A repeat CTA was performed on all spontaneous SAH patients who had a nega-tive initial CTA and DSA within a 2-week period. An interventional neuroradiologist and a diagnostic radiologist examined all images to search for causative vascular abnormalities.

Results: Forty-seven patients were included in our study, with a median age of 55 years and a range of 28-81 years. Thirty-seven had diffuse SAH (66%), and 16 had perimesencephalic SAH (34%). The repeat CTA revealed 2 causa-tive vascular lesions (a right PICA aneurysm and a mycotic aneurysm) in 2 separate patients (yield of 4.3%), both of whom had diffuse SAH (yield of 6.5%). In retrospect, none of these vascular lesions were evident in the initial CTA and DSA. No evidence of re-bleeding was observed in the follow-up period.

Conclusions: It is beneficial to repeat CTA when evaluating patients with diffuse SAH who initially present with nega-tive initial DSA. For occult aneurysms, the diagnostic yield of the follow-up CTA is 6.5%.

求助全文
通过发布文献求助,成功后即可免费获取论文全文。 去求助
来源期刊
CiteScore
2.10
自引率
0.00%
发文量
0
×
引用
GB/T 7714-2015
复制
MLA
复制
APA
复制
导出至
BibTeX EndNote RefMan NoteFirst NoteExpress
×
提示
您的信息不完整,为了账户安全,请先补充。
现在去补充
×
提示
您因"违规操作"
具体请查看互助需知
我知道了
×
提示
确定
请完成安全验证×
copy
已复制链接
快去分享给好友吧!
我知道了
右上角分享
点击右上角分享
0
联系我们:info@booksci.cn Book学术提供免费学术资源搜索服务,方便国内外学者检索中英文文献。致力于提供最便捷和优质的服务体验。 Copyright © 2023 布克学术 All rights reserved.
京ICP备2023020795号-1
ghs 京公网安备 11010802042870号
Book学术文献互助
Book学术文献互助群
群 号:604180095
Book学术官方微信