13 三体综合征,具有典型的贝克维茨-维德曼光谱(Beckwith-Wiedemann Spectrum)异常组织学特征。

Q4 Medicine
Autopsy and Case Reports Pub Date : 2024-05-08 eCollection Date: 2024-01-01 DOI:10.4322/acr.2024.486
Wilker Dias Martins, Elisa França Chaves, Flavia Cristina Gonçalves de Aquino, Sean Brasil de Oliveira, Isabela Dorneles Pasa, Bruno Guimarães Marcarini, Vitor Ribeiro Paes, Chong Ae Kim, Regina Schultz
{"title":"13 三体综合征,具有典型的贝克维茨-维德曼光谱(Beckwith-Wiedemann Spectrum)异常组织学特征。","authors":"Wilker Dias Martins, Elisa França Chaves, Flavia Cristina Gonçalves de Aquino, Sean Brasil de Oliveira, Isabela Dorneles Pasa, Bruno Guimarães Marcarini, Vitor Ribeiro Paes, Chong Ae Kim, Regina Schultz","doi":"10.4322/acr.2024.486","DOIUrl":null,"url":null,"abstract":"<p><p>Trisomy 13, known as Patau syndrome, is a common aneuploidy with a well-known clinical phenotype. This case report describes a trisomy 13 patient with unusual autopsy findings, including features resembling the Beckwith-Wiedemann Spectrum. Due to abnormalities of gestational ultrasounds, a prenatal karyotype of amniotic fluid cells was performed, which resulted in 47, XY+13. Autopsy microscopy studies identified leptomeningeal glioneuronal heterotopia, which was not described as belonging to Patau syndrome. Other atypical findings were diffuse hyperplasia of pancreatic islets of Langerhans and adrenals enlargement with marked adrenocortical cytomegaly, characteristically seen in the Beckwith-Wiedemann Spectrum. Molecular genetic tests were not performed for the Beckwith-Wiedemann Spectrum. Still, due to the rarity of both disorders, this report may support the evidence that trisomy 13 can affect tissue organization and lead to unusual histopathologic features resembling classic overgrowth disorders.</p>","PeriodicalId":53117,"journal":{"name":"Autopsy and Case Reports","volume":"14 ","pages":"e2024486"},"PeriodicalIF":0.0000,"publicationDate":"2024-05-08","publicationTypes":"Journal Article","fieldsOfStudy":null,"isOpenAccess":false,"openAccessPdf":"https://www.ncbi.nlm.nih.gov/pmc/articles/PMC11104766/pdf/","citationCount":"0","resultStr":"{\"title\":\"Trisomy 13 with unusual histological features typically described in Beckwith-Wiedemann Spectrum.\",\"authors\":\"Wilker Dias Martins, Elisa França Chaves, Flavia Cristina Gonçalves de Aquino, Sean Brasil de Oliveira, Isabela Dorneles Pasa, Bruno Guimarães Marcarini, Vitor Ribeiro Paes, Chong Ae Kim, Regina Schultz\",\"doi\":\"10.4322/acr.2024.486\",\"DOIUrl\":null,\"url\":null,\"abstract\":\"<p><p>Trisomy 13, known as Patau syndrome, is a common aneuploidy with a well-known clinical phenotype. This case report describes a trisomy 13 patient with unusual autopsy findings, including features resembling the Beckwith-Wiedemann Spectrum. Due to abnormalities of gestational ultrasounds, a prenatal karyotype of amniotic fluid cells was performed, which resulted in 47, XY+13. Autopsy microscopy studies identified leptomeningeal glioneuronal heterotopia, which was not described as belonging to Patau syndrome. Other atypical findings were diffuse hyperplasia of pancreatic islets of Langerhans and adrenals enlargement with marked adrenocortical cytomegaly, characteristically seen in the Beckwith-Wiedemann Spectrum. Molecular genetic tests were not performed for the Beckwith-Wiedemann Spectrum. Still, due to the rarity of both disorders, this report may support the evidence that trisomy 13 can affect tissue organization and lead to unusual histopathologic features resembling classic overgrowth disorders.</p>\",\"PeriodicalId\":53117,\"journal\":{\"name\":\"Autopsy and Case Reports\",\"volume\":\"14 \",\"pages\":\"e2024486\"},\"PeriodicalIF\":0.0000,\"publicationDate\":\"2024-05-08\",\"publicationTypes\":\"Journal Article\",\"fieldsOfStudy\":null,\"isOpenAccess\":false,\"openAccessPdf\":\"https://www.ncbi.nlm.nih.gov/pmc/articles/PMC11104766/pdf/\",\"citationCount\":\"0\",\"resultStr\":null,\"platform\":\"Semanticscholar\",\"paperid\":null,\"PeriodicalName\":\"Autopsy and Case Reports\",\"FirstCategoryId\":\"1085\",\"ListUrlMain\":\"https://doi.org/10.4322/acr.2024.486\",\"RegionNum\":0,\"RegionCategory\":null,\"ArticlePicture\":[],\"TitleCN\":null,\"AbstractTextCN\":null,\"PMCID\":null,\"EPubDate\":\"2024/1/1 0:00:00\",\"PubModel\":\"eCollection\",\"JCR\":\"Q4\",\"JCRName\":\"Medicine\",\"Score\":null,\"Total\":0}","platform":"Semanticscholar","paperid":null,"PeriodicalName":"Autopsy and Case Reports","FirstCategoryId":"1085","ListUrlMain":"https://doi.org/10.4322/acr.2024.486","RegionNum":0,"RegionCategory":null,"ArticlePicture":[],"TitleCN":null,"AbstractTextCN":null,"PMCID":null,"EPubDate":"2024/1/1 0:00:00","PubModel":"eCollection","JCR":"Q4","JCRName":"Medicine","Score":null,"Total":0}
引用次数: 0

摘要

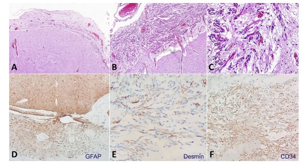
13 三体综合征又称帕陶综合征,是一种常见的非整倍体,具有众所周知的临床表型。本病例报告描述了一名 13 三体综合征患者的异常尸检结果,包括类似贝克维茨-维德曼谱系的特征。由于妊娠期超声波检查异常,对羊水细胞进行了产前核型检查,结果为 47,XY+13。尸检显微镜研究发现,该患者患有脑膜胶质细胞异位症,但未被描述为属于帕陶综合征。其他不典型的检查结果是朗格汉斯胰岛弥漫性增生和肾上腺增大,伴有明显的肾上腺皮质细胞肿大,这是贝克维茨-维德曼综合征的特征性表现。贝克维特-维德曼谱系病未进行分子遗传学检测。尽管如此,由于这两种疾病的罕见性,本报告可支持 13 三体综合征可影响组织结构并导致类似典型过度生长症的异常组织病理学特征的证据。
本文章由计算机程序翻译,如有差异,请以英文原文为准。

Trisomy 13 with unusual histological features typically described in Beckwith-Wiedemann Spectrum.

Trisomy 13 with unusual histological features typically described in Beckwith-Wiedemann Spectrum.

Trisomy 13 with unusual histological features typically described in Beckwith-Wiedemann Spectrum.

Trisomy 13 with unusual histological features typically described in Beckwith-Wiedemann Spectrum.

Trisomy 13, known as Patau syndrome, is a common aneuploidy with a well-known clinical phenotype. This case report describes a trisomy 13 patient with unusual autopsy findings, including features resembling the Beckwith-Wiedemann Spectrum. Due to abnormalities of gestational ultrasounds, a prenatal karyotype of amniotic fluid cells was performed, which resulted in 47, XY+13. Autopsy microscopy studies identified leptomeningeal glioneuronal heterotopia, which was not described as belonging to Patau syndrome. Other atypical findings were diffuse hyperplasia of pancreatic islets of Langerhans and adrenals enlargement with marked adrenocortical cytomegaly, characteristically seen in the Beckwith-Wiedemann Spectrum. Molecular genetic tests were not performed for the Beckwith-Wiedemann Spectrum. Still, due to the rarity of both disorders, this report may support the evidence that trisomy 13 can affect tissue organization and lead to unusual histopathologic features resembling classic overgrowth disorders.

求助全文
通过发布文献求助,成功后即可免费获取论文全文。 去求助
来源期刊
Autopsy and Case Reports
Autopsy and Case Reports Medicine-Internal Medicine
CiteScore
1.20
自引率
0.00%
发文量
60
审稿时长
9 weeks
×
引用
GB/T 7714-2015
复制
MLA
复制
APA
复制
导出至
BibTeX EndNote RefMan NoteFirst NoteExpress
×
提示
您的信息不完整,为了账户安全,请先补充。
现在去补充
×
提示
您因"违规操作"
具体请查看互助需知
我知道了
×
提示
确定
请完成安全验证×
copy
已复制链接
快去分享给好友吧!
我知道了
右上角分享
点击右上角分享
0
联系我们:info@booksci.cn Book学术提供免费学术资源搜索服务,方便国内外学者检索中英文文献。致力于提供最便捷和优质的服务体验。 Copyright © 2023 布克学术 All rights reserved.
京ICP备2023020795号-1
ghs 京公网安备 11010802042870号
Book学术文献互助
Book学术文献互助群
群 号:604180095
Book学术官方微信