纳米姜黄素对对乙酰氨基酚引起的鸽子肝肾毒性的保护作用

IF 1.1 4区 农林科学 Q3 ZOOLOGY
Veterinary Research Forum Pub Date : 2024-01-01 Epub Date: 2024-03-15 DOI:10.30466/vrf.2024.2011585.4009
Saeed Seifi, Nasser Vajdi, Shohreh Alian Samakkhah, Navideh Mirzakhani
{"title":"纳米姜黄素对对乙酰氨基酚引起的鸽子肝肾毒性的保护作用","authors":"Saeed Seifi, Nasser Vajdi, Shohreh Alian Samakkhah, Navideh Mirzakhani","doi":"10.30466/vrf.2024.2011585.4009","DOIUrl":null,"url":null,"abstract":"<p><p>In this study, the effects of nanocurcumin on acetaminophen-induced acute hepatorenal toxicity in domestic pigeons (<i>Columba livia</i>) were investigated. Fifteen pigeons were randomly assigned into three groups. Group I was served as a negative control group and received tap water as a placebo. Pigeons in groups II and III were administered acetaminophen at the beginning of the experiment (hr 0). Group III was further treated with nanocurcumin, at 12 hr after acetaminophen administration, being continued every 12 hr for two days. The birds were observed for clinical signs of acute drug toxicity. Blood samples were collected from the pigeons at hr 0, 12, 24 and 48 of the experiment for biochemical analysis of the serum. The results showed that acetaminophen toxicity increased the serum levels of aspartate aminotransferase, alanine aminotransferase, urea and uric acid in the pigeons. Nanocurcumin treatment of acetaminophen intoxicated pigeons attenuated increases in biomarkers of the liver and kidney functions towards control levels. Also, the consumption of nanocurcumin minimized histopathological changes in the liver and kidney. A mortality of 60.00% was seen in the acetaminophen-induced toxicity group; while, none of the birds treated with nanocurcumin died. It can be concluded that nanocurcumin alleviates the acetaminophen-induced acute toxic liver and kidney damages, which can lead to pigeon mortality.</p>","PeriodicalId":23989,"journal":{"name":"Veterinary Research Forum","volume":"15 3","pages":"145-150"},"PeriodicalIF":1.1000,"publicationDate":"2024-01-01","publicationTypes":"Journal Article","fieldsOfStudy":null,"isOpenAccess":false,"openAccessPdf":"https://www.ncbi.nlm.nih.gov/pmc/articles/PMC11102588/pdf/","citationCount":"0","resultStr":"{\"title\":\"Protective effect of nanocurcumin on acetaminophen-induced hepatic and renal toxicities in pigeons.\",\"authors\":\"Saeed Seifi, Nasser Vajdi, Shohreh Alian Samakkhah, Navideh Mirzakhani\",\"doi\":\"10.30466/vrf.2024.2011585.4009\",\"DOIUrl\":null,\"url\":null,\"abstract\":\"<p><p>In this study, the effects of nanocurcumin on acetaminophen-induced acute hepatorenal toxicity in domestic pigeons (<i>Columba livia</i>) were investigated. Fifteen pigeons were randomly assigned into three groups. Group I was served as a negative control group and received tap water as a placebo. Pigeons in groups II and III were administered acetaminophen at the beginning of the experiment (hr 0). Group III was further treated with nanocurcumin, at 12 hr after acetaminophen administration, being continued every 12 hr for two days. The birds were observed for clinical signs of acute drug toxicity. Blood samples were collected from the pigeons at hr 0, 12, 24 and 48 of the experiment for biochemical analysis of the serum. The results showed that acetaminophen toxicity increased the serum levels of aspartate aminotransferase, alanine aminotransferase, urea and uric acid in the pigeons. Nanocurcumin treatment of acetaminophen intoxicated pigeons attenuated increases in biomarkers of the liver and kidney functions towards control levels. Also, the consumption of nanocurcumin minimized histopathological changes in the liver and kidney. A mortality of 60.00% was seen in the acetaminophen-induced toxicity group; while, none of the birds treated with nanocurcumin died. It can be concluded that nanocurcumin alleviates the acetaminophen-induced acute toxic liver and kidney damages, which can lead to pigeon mortality.</p>\",\"PeriodicalId\":23989,\"journal\":{\"name\":\"Veterinary Research Forum\",\"volume\":\"15 3\",\"pages\":\"145-150\"},\"PeriodicalIF\":1.1000,\"publicationDate\":\"2024-01-01\",\"publicationTypes\":\"Journal Article\",\"fieldsOfStudy\":null,\"isOpenAccess\":false,\"openAccessPdf\":\"https://www.ncbi.nlm.nih.gov/pmc/articles/PMC11102588/pdf/\",\"citationCount\":\"0\",\"resultStr\":null,\"platform\":\"Semanticscholar\",\"paperid\":null,\"PeriodicalName\":\"Veterinary Research Forum\",\"FirstCategoryId\":\"97\",\"ListUrlMain\":\"https://doi.org/10.30466/vrf.2024.2011585.4009\",\"RegionNum\":4,\"RegionCategory\":\"农林科学\",\"ArticlePicture\":[],\"TitleCN\":null,\"AbstractTextCN\":null,\"PMCID\":null,\"EPubDate\":\"2024/3/15 0:00:00\",\"PubModel\":\"Epub\",\"JCR\":\"Q3\",\"JCRName\":\"ZOOLOGY\",\"Score\":null,\"Total\":0}","platform":"Semanticscholar","paperid":null,"PeriodicalName":"Veterinary Research Forum","FirstCategoryId":"97","ListUrlMain":"https://doi.org/10.30466/vrf.2024.2011585.4009","RegionNum":4,"RegionCategory":"农林科学","ArticlePicture":[],"TitleCN":null,"AbstractTextCN":null,"PMCID":null,"EPubDate":"2024/3/15 0:00:00","PubModel":"Epub","JCR":"Q3","JCRName":"ZOOLOGY","Score":null,"Total":0}
引用次数: 0

摘要

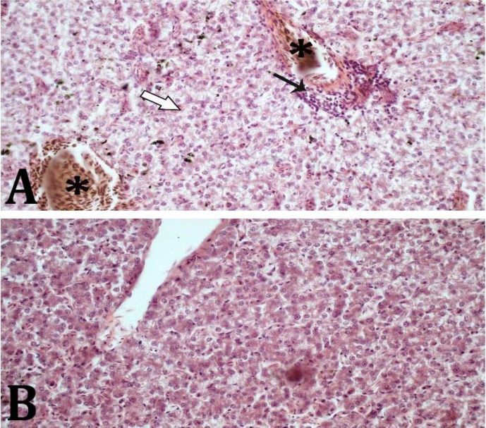
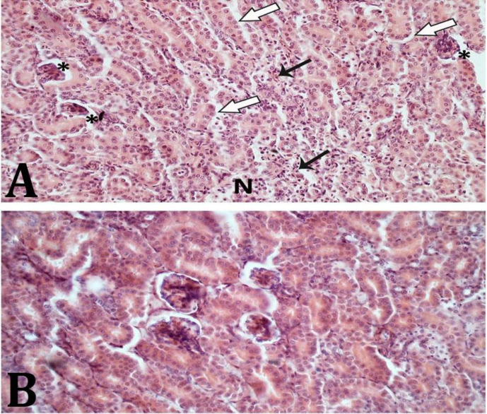
本研究探讨了纳米姜黄素对对乙酰氨基酚诱导的家鸽急性肝肾毒性的影响。15 只鸽子被随机分为三组。第一组为阴性对照组,接受自来水作为安慰剂。第二组和第三组的鸽子在实验开始时(0 小时)服用对乙酰氨基酚。在对乙酰氨基酚给药后 12 小时,第三组鸽子继续接受纳米姜黄素治疗,每 12 小时一次,持续两天。观察鸽子是否出现急性药物中毒的临床症状。在实验的第 0、12、24 和 48 小时采集鸽子的血样,进行血清生化分析。结果显示,对乙酰氨基酚中毒会增加鸽子血清中天冬氨酸氨基转移酶、丙氨酸氨基转移酶、尿素和尿酸的含量。纳米姜黄素治疗对乙酰氨基酚中毒的鸽子可减轻肝脏和肾脏功能生物标志物的增加,使其趋于控制水平。此外,服用纳米姜黄素还能最大程度地减少肝脏和肾脏的组织病理学变化。对乙酰氨基酚引起的中毒组死亡率为 60.00%,而服用纳米姜黄素的鸽子无一死亡。由此可以得出结论,纳米姜黄素能减轻对乙酰氨基酚引起的急性毒性肝脏和肾脏损伤,这种损伤会导致鸽子死亡。
本文章由计算机程序翻译,如有差异,请以英文原文为准。

Protective effect of nanocurcumin on acetaminophen-induced hepatic and renal toxicities in pigeons.

Protective effect of nanocurcumin on acetaminophen-induced hepatic and renal toxicities in pigeons.

Protective effect of nanocurcumin on acetaminophen-induced hepatic and renal toxicities in pigeons.

In this study, the effects of nanocurcumin on acetaminophen-induced acute hepatorenal toxicity in domestic pigeons (Columba livia) were investigated. Fifteen pigeons were randomly assigned into three groups. Group I was served as a negative control group and received tap water as a placebo. Pigeons in groups II and III were administered acetaminophen at the beginning of the experiment (hr 0). Group III was further treated with nanocurcumin, at 12 hr after acetaminophen administration, being continued every 12 hr for two days. The birds were observed for clinical signs of acute drug toxicity. Blood samples were collected from the pigeons at hr 0, 12, 24 and 48 of the experiment for biochemical analysis of the serum. The results showed that acetaminophen toxicity increased the serum levels of aspartate aminotransferase, alanine aminotransferase, urea and uric acid in the pigeons. Nanocurcumin treatment of acetaminophen intoxicated pigeons attenuated increases in biomarkers of the liver and kidney functions towards control levels. Also, the consumption of nanocurcumin minimized histopathological changes in the liver and kidney. A mortality of 60.00% was seen in the acetaminophen-induced toxicity group; while, none of the birds treated with nanocurcumin died. It can be concluded that nanocurcumin alleviates the acetaminophen-induced acute toxic liver and kidney damages, which can lead to pigeon mortality.

求助全文
通过发布文献求助,成功后即可免费获取论文全文。 去求助
来源期刊
Veterinary Research Forum
Veterinary Research Forum Veterinary-General Veterinary
CiteScore
1.50
自引率
0.00%
发文量
0
审稿时长
8 weeks
期刊介绍: Veterinary Research Forum (VRF) is a quarterly international journal committed to publish worldwide contributions on all aspects of veterinary science and medicine, including anatomy and histology, physiology and pharmacology, anatomic and clinical pathology, parasitology, microbiology, immunology and epidemiology, food hygiene, poultry science, fish and aquaculture, anesthesia and surgery, large and small animal internal medicine, large and small animal reproduction, biotechnology and diagnostic imaging of domestic, companion and farm animals.
×
引用
GB/T 7714-2015
复制
MLA
复制
APA
复制
导出至
BibTeX EndNote RefMan NoteFirst NoteExpress
×
提示
您的信息不完整,为了账户安全,请先补充。
现在去补充
×
提示
您因"违规操作"
具体请查看互助需知
我知道了
×
提示
确定
请完成安全验证×
copy
已复制链接
快去分享给好友吧!
我知道了
右上角分享
点击右上角分享
0
联系我们:info@booksci.cn Book学术提供免费学术资源搜索服务,方便国内外学者检索中英文文献。致力于提供最便捷和优质的服务体验。 Copyright © 2023 布克学术 All rights reserved.
京ICP备2023020795号-1
ghs 京公网安备 11010802042870号
Book学术文献互助
Book学术文献互助群
群 号:604180095
Book学术官方微信