一种令人费解的脱发症状:突发性头发变白及其自然消退

Q2 Medicine
International Journal of Trichology Pub Date : 2023-07-01 Epub Date: 2024-04-05 DOI:10.4103/ijt.ijt_6_22
Gizem Pehlivan, Algün Polat Ekinci, Şule Öztürk Sarı
{"title":"一种令人费解的脱发症状:突发性头发变白及其自然消退","authors":"Gizem Pehlivan, Algün Polat Ekinci, Şule Öztürk Sarı","doi":"10.4103/ijt.ijt_6_22","DOIUrl":null,"url":null,"abstract":"<p><p>A 39-year-old male presented with the complaint of sudden onset and progressive whitening of the scalp hair. The patient documented the situation by regularly taking selfies starting from the moment he noticed that his hair was starting to turn white. A diagnosis of alopecia areata involving pigmented hair was made with clinical, dermoscopic, histopathological, and immunofluorescence findings. Total regrowth of the pigmented hair was observed at 6 months follow-up without any systemic treatment.</p>","PeriodicalId":14417,"journal":{"name":"International Journal of Trichology","volume":"15 4","pages":"157-159"},"PeriodicalIF":0.0000,"publicationDate":"2023-07-01","publicationTypes":"Journal Article","fieldsOfStudy":null,"isOpenAccess":false,"openAccessPdf":"https://www.ncbi.nlm.nih.gov/pmc/articles/PMC11098139/pdf/","citationCount":"0","resultStr":"{\"title\":\"A puzzling Presentation of Alopecia Areata: Sudden-Onset Whitening of Hair and its Spontaneous Resolution.\",\"authors\":\"Gizem Pehlivan, Algün Polat Ekinci, Şule Öztürk Sarı\",\"doi\":\"10.4103/ijt.ijt_6_22\",\"DOIUrl\":null,\"url\":null,\"abstract\":\"<p><p>A 39-year-old male presented with the complaint of sudden onset and progressive whitening of the scalp hair. The patient documented the situation by regularly taking selfies starting from the moment he noticed that his hair was starting to turn white. A diagnosis of alopecia areata involving pigmented hair was made with clinical, dermoscopic, histopathological, and immunofluorescence findings. Total regrowth of the pigmented hair was observed at 6 months follow-up without any systemic treatment.</p>\",\"PeriodicalId\":14417,\"journal\":{\"name\":\"International Journal of Trichology\",\"volume\":\"15 4\",\"pages\":\"157-159\"},\"PeriodicalIF\":0.0000,\"publicationDate\":\"2023-07-01\",\"publicationTypes\":\"Journal Article\",\"fieldsOfStudy\":null,\"isOpenAccess\":false,\"openAccessPdf\":\"https://www.ncbi.nlm.nih.gov/pmc/articles/PMC11098139/pdf/\",\"citationCount\":\"0\",\"resultStr\":null,\"platform\":\"Semanticscholar\",\"paperid\":null,\"PeriodicalName\":\"International Journal of Trichology\",\"FirstCategoryId\":\"1085\",\"ListUrlMain\":\"https://doi.org/10.4103/ijt.ijt_6_22\",\"RegionNum\":0,\"RegionCategory\":null,\"ArticlePicture\":[],\"TitleCN\":null,\"AbstractTextCN\":null,\"PMCID\":null,\"EPubDate\":\"2024/4/5 0:00:00\",\"PubModel\":\"Epub\",\"JCR\":\"Q2\",\"JCRName\":\"Medicine\",\"Score\":null,\"Total\":0}","platform":"Semanticscholar","paperid":null,"PeriodicalName":"International Journal of Trichology","FirstCategoryId":"1085","ListUrlMain":"https://doi.org/10.4103/ijt.ijt_6_22","RegionNum":0,"RegionCategory":null,"ArticlePicture":[],"TitleCN":null,"AbstractTextCN":null,"PMCID":null,"EPubDate":"2024/4/5 0:00:00","PubModel":"Epub","JCR":"Q2","JCRName":"Medicine","Score":null,"Total":0}
引用次数: 0

摘要

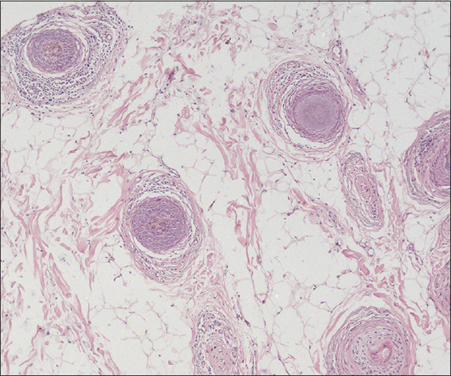
一名 39 岁的男性患者主诉头皮头发突然开始逐渐变白。患者从发现自己的头发开始变白的那一刻起,就经常自拍,记录下了这一情况。根据临床、皮肤镜、组织病理学和免疫荧光检查结果,诊断为色素性脱发。随访 6 个月后,观察到色素头发完全再生,无需任何系统治疗。
本文章由计算机程序翻译,如有差异,请以英文原文为准。

A puzzling Presentation of Alopecia Areata: Sudden-Onset Whitening of Hair and its Spontaneous Resolution.

A puzzling Presentation of Alopecia Areata: Sudden-Onset Whitening of Hair and its Spontaneous Resolution.

A puzzling Presentation of Alopecia Areata: Sudden-Onset Whitening of Hair and its Spontaneous Resolution.

A 39-year-old male presented with the complaint of sudden onset and progressive whitening of the scalp hair. The patient documented the situation by regularly taking selfies starting from the moment he noticed that his hair was starting to turn white. A diagnosis of alopecia areata involving pigmented hair was made with clinical, dermoscopic, histopathological, and immunofluorescence findings. Total regrowth of the pigmented hair was observed at 6 months follow-up without any systemic treatment.

求助全文
通过发布文献求助,成功后即可免费获取论文全文。 去求助
来源期刊
CiteScore
1.50
自引率
0.00%
发文量
38
×
引用
GB/T 7714-2015
复制
MLA
复制
APA
复制
导出至
BibTeX EndNote RefMan NoteFirst NoteExpress
×
提示
您的信息不完整,为了账户安全,请先补充。
现在去补充
×
提示
您因"违规操作"
具体请查看互助需知
我知道了
×
提示
确定
请完成安全验证×
copy
已复制链接
快去分享给好友吧!
我知道了
右上角分享
点击右上角分享
0
联系我们:info@booksci.cn Book学术提供免费学术资源搜索服务,方便国内外学者检索中英文文献。致力于提供最便捷和优质的服务体验。 Copyright © 2023 布克学术 All rights reserved.
京ICP备2023020795号-1
ghs 京公网安备 11010802042870号
Book学术文献互助
Book学术文献互助群
群 号:604180095
Book学术官方微信