用注射富血小板纤维蛋白阻止角化性脱发的发展

Q2 Medicine
International Journal of Trichology Pub Date : 2023-07-01 Epub Date: 2024-04-05 DOI:10.4103/ijt.ijt_116_21
Siddhi Bhalchandra Chikhalkar, Surender Singh, Avani Jatin Kumar Shah, Bhushan Madke, Yallappa Ramchandrappa Kabbannavar
{"title":"用注射富血小板纤维蛋白阻止角化性脱发的发展","authors":"Siddhi Bhalchandra Chikhalkar, Surender Singh, Avani Jatin Kumar Shah, Bhushan Madke, Yallappa Ramchandrappa Kabbannavar","doi":"10.4103/ijt.ijt_116_21","DOIUrl":null,"url":null,"abstract":"<p><p>Discoid lupus erythematosus (DLE) is a chronic variant of cutaneous lupus erythematosus characterized by well-defined erythematous plaques with adherent scales and follicular plugging. The affected scalp shows erythema, edema, atrophy, alopecia, and telangiectasia. Trichoscopy of DLE shows branching capillaries, white patches, keratin plugs, reduced follicular ostia, and white dots and blue-gray dots arranged in speckles pattern. Prompt diagnosis and aggressive, early multimodal therapy helps in preventing disfiguring hair loss and psychosocial sequelae. Hereby, we present a case of reversal of hair loss in DLE with newer modalities of treatment such as injectable platelet-rich fibrin.</p>","PeriodicalId":14417,"journal":{"name":"International Journal of Trichology","volume":"15 4","pages":"163-166"},"PeriodicalIF":0.0000,"publicationDate":"2023-07-01","publicationTypes":"Journal Article","fieldsOfStudy":null,"isOpenAccess":false,"openAccessPdf":"https://www.ncbi.nlm.nih.gov/pmc/articles/PMC11098144/pdf/","citationCount":"0","resultStr":"{\"title\":\"Halting the Progression of Cicatricial Alopecia with Injectable Platelet-Rich Fibrin.\",\"authors\":\"Siddhi Bhalchandra Chikhalkar, Surender Singh, Avani Jatin Kumar Shah, Bhushan Madke, Yallappa Ramchandrappa Kabbannavar\",\"doi\":\"10.4103/ijt.ijt_116_21\",\"DOIUrl\":null,\"url\":null,\"abstract\":\"<p><p>Discoid lupus erythematosus (DLE) is a chronic variant of cutaneous lupus erythematosus characterized by well-defined erythematous plaques with adherent scales and follicular plugging. The affected scalp shows erythema, edema, atrophy, alopecia, and telangiectasia. Trichoscopy of DLE shows branching capillaries, white patches, keratin plugs, reduced follicular ostia, and white dots and blue-gray dots arranged in speckles pattern. Prompt diagnosis and aggressive, early multimodal therapy helps in preventing disfiguring hair loss and psychosocial sequelae. Hereby, we present a case of reversal of hair loss in DLE with newer modalities of treatment such as injectable platelet-rich fibrin.</p>\",\"PeriodicalId\":14417,\"journal\":{\"name\":\"International Journal of Trichology\",\"volume\":\"15 4\",\"pages\":\"163-166\"},\"PeriodicalIF\":0.0000,\"publicationDate\":\"2023-07-01\",\"publicationTypes\":\"Journal Article\",\"fieldsOfStudy\":null,\"isOpenAccess\":false,\"openAccessPdf\":\"https://www.ncbi.nlm.nih.gov/pmc/articles/PMC11098144/pdf/\",\"citationCount\":\"0\",\"resultStr\":null,\"platform\":\"Semanticscholar\",\"paperid\":null,\"PeriodicalName\":\"International Journal of Trichology\",\"FirstCategoryId\":\"1085\",\"ListUrlMain\":\"https://doi.org/10.4103/ijt.ijt_116_21\",\"RegionNum\":0,\"RegionCategory\":null,\"ArticlePicture\":[],\"TitleCN\":null,\"AbstractTextCN\":null,\"PMCID\":null,\"EPubDate\":\"2024/4/5 0:00:00\",\"PubModel\":\"Epub\",\"JCR\":\"Q2\",\"JCRName\":\"Medicine\",\"Score\":null,\"Total\":0}","platform":"Semanticscholar","paperid":null,"PeriodicalName":"International Journal of Trichology","FirstCategoryId":"1085","ListUrlMain":"https://doi.org/10.4103/ijt.ijt_116_21","RegionNum":0,"RegionCategory":null,"ArticlePicture":[],"TitleCN":null,"AbstractTextCN":null,"PMCID":null,"EPubDate":"2024/4/5 0:00:00","PubModel":"Epub","JCR":"Q2","JCRName":"Medicine","Score":null,"Total":0}
引用次数: 0

摘要

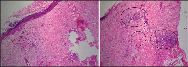
盘状红斑狼疮(DLE)是皮肤红斑狼疮的一种慢性变异型,其特征是界限清楚的红斑,有附着的鳞屑和毛囊堵塞。受影响的头皮会出现红斑、水肿、萎缩、脱发和毛细血管扩张。二联毛囊角化症的三腔镜检查显示毛细血管分支、白色斑块、角质栓塞、毛囊口缩小、白色小点和蓝灰色小点呈斑点状排列。及时诊断和早期积极的多模式治疗有助于防止毁容性脱发和社会心理后遗症。在此,我们介绍一例通过注射富血小板纤维蛋白等新的治疗方法逆转系统性红斑狼疮脱发的病例。
本文章由计算机程序翻译,如有差异,请以英文原文为准。

Halting the Progression of Cicatricial Alopecia with Injectable Platelet-Rich Fibrin.

Halting the Progression of Cicatricial Alopecia with Injectable Platelet-Rich Fibrin.

Halting the Progression of Cicatricial Alopecia with Injectable Platelet-Rich Fibrin.

Halting the Progression of Cicatricial Alopecia with Injectable Platelet-Rich Fibrin.

Discoid lupus erythematosus (DLE) is a chronic variant of cutaneous lupus erythematosus characterized by well-defined erythematous plaques with adherent scales and follicular plugging. The affected scalp shows erythema, edema, atrophy, alopecia, and telangiectasia. Trichoscopy of DLE shows branching capillaries, white patches, keratin plugs, reduced follicular ostia, and white dots and blue-gray dots arranged in speckles pattern. Prompt diagnosis and aggressive, early multimodal therapy helps in preventing disfiguring hair loss and psychosocial sequelae. Hereby, we present a case of reversal of hair loss in DLE with newer modalities of treatment such as injectable platelet-rich fibrin.

求助全文
通过发布文献求助,成功后即可免费获取论文全文。 去求助
来源期刊
CiteScore
1.50
自引率
0.00%
发文量
38
×
引用
GB/T 7714-2015
复制
MLA
复制
APA
复制
导出至
BibTeX EndNote RefMan NoteFirst NoteExpress
×
提示
您的信息不完整,为了账户安全,请先补充。
现在去补充
×
提示
您因"违规操作"
具体请查看互助需知
我知道了
×
提示
确定
请完成安全验证×
copy
已复制链接
快去分享给好友吧!
我知道了
右上角分享
点击右上角分享
0
联系我们:info@booksci.cn Book学术提供免费学术资源搜索服务,方便国内外学者检索中英文文献。致力于提供最便捷和优质的服务体验。 Copyright © 2023 布克学术 All rights reserved.
京ICP备2023020795号-1
ghs 京公网安备 11010802042870号
Book学术文献互助
Book学术文献互助群
群 号:604180095
Book学术官方微信