毛囊性银屑病的临床、皮肤镜和组织病理学研究。

Q2 Medicine
International Journal of Trichology Pub Date : 2023-07-01 Epub Date: 2024-04-05 DOI:10.4103/ijt.ijt_168_20
Maqbool Saep, Manjunath Mala Shenoy, Anuradha C K Rao, Malcolm Pinto, Spandana Prakash Hegde, Amina Asfiya M Iqbal
{"title":"毛囊性银屑病的临床、皮肤镜和组织病理学研究。","authors":"Maqbool Saep, Manjunath Mala Shenoy, Anuradha C K Rao, Malcolm Pinto, Spandana Prakash Hegde, Amina Asfiya M Iqbal","doi":"10.4103/ijt.ijt_168_20","DOIUrl":null,"url":null,"abstract":"<p><strong>Introduction: </strong>Follicular psoriasis is one of the underdiagnosed clinical types of psoriasis. Literature is grossly limited to anecdotal case reports and series. Clinical and investigational aspects are not studied in depth.</p><p><strong>Materials and methods: </strong>A study was conducted to determine the frequency of follicular psoriasis, which includes cases with an exclusive or substantial number of follicular lesions. We analyzed the clinical, dermoscopic, and histopathological features of follicular psoriasis in a descriptive study.</p><p><strong>Results: </strong>A total of 117 patients with psoriasis were screened. An exclusive or substantial number of follicular lesions were found in 22 patients. Four patients had exclusively follicular lesions and others were psoriasis vulgaris with follicular psoriasis. Dermoscopy revealed perifollicular scaling and white homogeneous area with normal terminal hair in all cases. Vascular features were visible in 14 cases and all had dotted vessels, with four having additional globules. Twenty patients revealed one or more features suggestive of follicular psoriasis on histopathology.</p><p><strong>Conclusion: </strong>Follicular lesions can appear exclusively or can coexist with plaque type of lesions in psoriasis. They may indicate early psoriasis lesions. Dermoscopy is a useful and rapid tool to confirm the diagnosis of follicular psoriasis. Histopathology, though confirmatory, demands an astute interpretational skill. Diagnosis of follicular psoriasis can have therapeutic implications.</p>","PeriodicalId":14417,"journal":{"name":"International Journal of Trichology","volume":"15 4","pages":"127-132"},"PeriodicalIF":0.0000,"publicationDate":"2023-07-01","publicationTypes":"Journal Article","fieldsOfStudy":null,"isOpenAccess":false,"openAccessPdf":"https://www.ncbi.nlm.nih.gov/pmc/articles/PMC11098143/pdf/","citationCount":"0","resultStr":"{\"title\":\"A Clinical, Dermoscopic, and Histopathological Study of Follicular Psoriasis.\",\"authors\":\"Maqbool Saep, Manjunath Mala Shenoy, Anuradha C K Rao, Malcolm Pinto, Spandana Prakash Hegde, Amina Asfiya M Iqbal\",\"doi\":\"10.4103/ijt.ijt_168_20\",\"DOIUrl\":null,\"url\":null,\"abstract\":\"<p><strong>Introduction: </strong>Follicular psoriasis is one of the underdiagnosed clinical types of psoriasis. Literature is grossly limited to anecdotal case reports and series. Clinical and investigational aspects are not studied in depth.</p><p><strong>Materials and methods: </strong>A study was conducted to determine the frequency of follicular psoriasis, which includes cases with an exclusive or substantial number of follicular lesions. We analyzed the clinical, dermoscopic, and histopathological features of follicular psoriasis in a descriptive study.</p><p><strong>Results: </strong>A total of 117 patients with psoriasis were screened. An exclusive or substantial number of follicular lesions were found in 22 patients. Four patients had exclusively follicular lesions and others were psoriasis vulgaris with follicular psoriasis. Dermoscopy revealed perifollicular scaling and white homogeneous area with normal terminal hair in all cases. Vascular features were visible in 14 cases and all had dotted vessels, with four having additional globules. Twenty patients revealed one or more features suggestive of follicular psoriasis on histopathology.</p><p><strong>Conclusion: </strong>Follicular lesions can appear exclusively or can coexist with plaque type of lesions in psoriasis. They may indicate early psoriasis lesions. Dermoscopy is a useful and rapid tool to confirm the diagnosis of follicular psoriasis. Histopathology, though confirmatory, demands an astute interpretational skill. Diagnosis of follicular psoriasis can have therapeutic implications.</p>\",\"PeriodicalId\":14417,\"journal\":{\"name\":\"International Journal of Trichology\",\"volume\":\"15 4\",\"pages\":\"127-132\"},\"PeriodicalIF\":0.0000,\"publicationDate\":\"2023-07-01\",\"publicationTypes\":\"Journal Article\",\"fieldsOfStudy\":null,\"isOpenAccess\":false,\"openAccessPdf\":\"https://www.ncbi.nlm.nih.gov/pmc/articles/PMC11098143/pdf/\",\"citationCount\":\"0\",\"resultStr\":null,\"platform\":\"Semanticscholar\",\"paperid\":null,\"PeriodicalName\":\"International Journal of Trichology\",\"FirstCategoryId\":\"1085\",\"ListUrlMain\":\"https://doi.org/10.4103/ijt.ijt_168_20\",\"RegionNum\":0,\"RegionCategory\":null,\"ArticlePicture\":[],\"TitleCN\":null,\"AbstractTextCN\":null,\"PMCID\":null,\"EPubDate\":\"2024/4/5 0:00:00\",\"PubModel\":\"Epub\",\"JCR\":\"Q2\",\"JCRName\":\"Medicine\",\"Score\":null,\"Total\":0}","platform":"Semanticscholar","paperid":null,"PeriodicalName":"International Journal of Trichology","FirstCategoryId":"1085","ListUrlMain":"https://doi.org/10.4103/ijt.ijt_168_20","RegionNum":0,"RegionCategory":null,"ArticlePicture":[],"TitleCN":null,"AbstractTextCN":null,"PMCID":null,"EPubDate":"2024/4/5 0:00:00","PubModel":"Epub","JCR":"Q2","JCRName":"Medicine","Score":null,"Total":0}
引用次数: 0

摘要

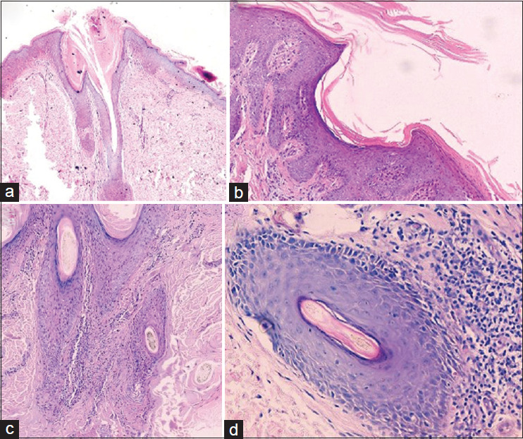
简介毛囊性银屑病是临床诊断不足的银屑病类型之一。文献资料严重局限于传闻病例报告和系列报道。材料和方法:我们进行了一项研究,以确定毛囊性银屑病的发病率,其中包括完全或大量毛囊性皮损的病例。我们在一项描述性研究中分析了毛囊性银屑病的临床、皮肤镜和组织病理学特征:结果:共筛选出 117 名银屑病患者。结果:共筛查出 117 名银屑病患者,其中 22 名患者完全或大量存在毛囊性皮损。四名患者仅有毛囊性皮损,其他患者则是寻常型银屑病合并毛囊性银屑病。皮肤镜检查显示,所有病例均有毛囊周围脱屑和白色均匀区,毛发末端正常。14 例患者可见血管特征,所有病例都有点状血管,其中 4 例有额外的球状血管。20 例患者在组织病理学检查中发现一种或多种提示毛囊性银屑病的特征:结论:银屑病的毛囊性皮损可单独出现,也可与斑块型皮损并存。它们可能预示着早期银屑病病变。皮肤镜是确诊毛囊性银屑病的有效而快速的工具。组织病理学虽然可以确诊,但需要高明的解释技巧。毛囊性银屑病的诊断可能具有治疗意义。
本文章由计算机程序翻译,如有差异,请以英文原文为准。

A Clinical, Dermoscopic, and Histopathological Study of Follicular Psoriasis.

A Clinical, Dermoscopic, and Histopathological Study of Follicular Psoriasis.

A Clinical, Dermoscopic, and Histopathological Study of Follicular Psoriasis.

A Clinical, Dermoscopic, and Histopathological Study of Follicular Psoriasis.

Introduction: Follicular psoriasis is one of the underdiagnosed clinical types of psoriasis. Literature is grossly limited to anecdotal case reports and series. Clinical and investigational aspects are not studied in depth.

Materials and methods: A study was conducted to determine the frequency of follicular psoriasis, which includes cases with an exclusive or substantial number of follicular lesions. We analyzed the clinical, dermoscopic, and histopathological features of follicular psoriasis in a descriptive study.

Results: A total of 117 patients with psoriasis were screened. An exclusive or substantial number of follicular lesions were found in 22 patients. Four patients had exclusively follicular lesions and others were psoriasis vulgaris with follicular psoriasis. Dermoscopy revealed perifollicular scaling and white homogeneous area with normal terminal hair in all cases. Vascular features were visible in 14 cases and all had dotted vessels, with four having additional globules. Twenty patients revealed one or more features suggestive of follicular psoriasis on histopathology.

Conclusion: Follicular lesions can appear exclusively or can coexist with plaque type of lesions in psoriasis. They may indicate early psoriasis lesions. Dermoscopy is a useful and rapid tool to confirm the diagnosis of follicular psoriasis. Histopathology, though confirmatory, demands an astute interpretational skill. Diagnosis of follicular psoriasis can have therapeutic implications.

求助全文
通过发布文献求助,成功后即可免费获取论文全文。 去求助
来源期刊
CiteScore
1.50
自引率
0.00%
发文量
38
×
引用
GB/T 7714-2015
复制
MLA
复制
APA
复制
导出至
BibTeX EndNote RefMan NoteFirst NoteExpress
×
提示
您的信息不完整,为了账户安全,请先补充。
现在去补充
×
提示
您因"违规操作"
具体请查看互助需知
我知道了
×
提示
确定
请完成安全验证×
copy
已复制链接
快去分享给好友吧!
我知道了
右上角分享
点击右上角分享
0
联系我们:info@booksci.cn Book学术提供免费学术资源搜索服务,方便国内外学者检索中英文文献。致力于提供最便捷和优质的服务体验。 Copyright © 2023 布克学术 All rights reserved.
京ICP备2023020795号-1
ghs 京公网安备 11010802042870号
Book学术文献互助
Book学术文献互助群
群 号:604180095
Book学术官方微信