一名腹痛和呼吸困难患者的异常发现

IF 1.3 4区 医学 Q4 RADIOLOGY, NUCLEAR MEDICINE & MEDICAL IMAGING
Journal of the Belgian Society of Radiology Pub Date : 2024-05-03 eCollection Date: 2024-01-01 DOI:10.5334/jbsr.3549
Wisam Al-Saad, Nasroola Damry, Gerogiana Pintea Bentea
{"title":"一名腹痛和呼吸困难患者的异常发现","authors":"Wisam Al-Saad, Nasroola Damry, Gerogiana Pintea Bentea","doi":"10.5334/jbsr.3549","DOIUrl":null,"url":null,"abstract":"<p><p>This article discusses the rarity of primary cardiac tumors, particularly angiosarcomas, accounting for 10% of primary cardiac neoplasms. The article highlights the challenge of early diagnosis due to nonspecific symptoms. The importance of sectional imaging, particularly computed tomography (CT) scans, in emergent situations is emphasized. <i>Teaching point:</i> Despite the rarity of primary cardiac tumors, radiologists should remain alert, especially when pericardial effusion is present.</p>","PeriodicalId":55987,"journal":{"name":"Journal of the Belgian Society of Radiology","volume":"108 1","pages":"49"},"PeriodicalIF":1.3000,"publicationDate":"2024-05-03","publicationTypes":"Journal Article","fieldsOfStudy":null,"isOpenAccess":false,"openAccessPdf":"https://www.ncbi.nlm.nih.gov/pmc/articles/PMC11086608/pdf/","citationCount":"0","resultStr":"{\"title\":\"Unusual Finding in a Patient Presenting with Abdominal Pain and Dyspnea.\",\"authors\":\"Wisam Al-Saad, Nasroola Damry, Gerogiana Pintea Bentea\",\"doi\":\"10.5334/jbsr.3549\",\"DOIUrl\":null,\"url\":null,\"abstract\":\"<p><p>This article discusses the rarity of primary cardiac tumors, particularly angiosarcomas, accounting for 10% of primary cardiac neoplasms. The article highlights the challenge of early diagnosis due to nonspecific symptoms. The importance of sectional imaging, particularly computed tomography (CT) scans, in emergent situations is emphasized. <i>Teaching point:</i> Despite the rarity of primary cardiac tumors, radiologists should remain alert, especially when pericardial effusion is present.</p>\",\"PeriodicalId\":55987,\"journal\":{\"name\":\"Journal of the Belgian Society of Radiology\",\"volume\":\"108 1\",\"pages\":\"49\"},\"PeriodicalIF\":1.3000,\"publicationDate\":\"2024-05-03\",\"publicationTypes\":\"Journal Article\",\"fieldsOfStudy\":null,\"isOpenAccess\":false,\"openAccessPdf\":\"https://www.ncbi.nlm.nih.gov/pmc/articles/PMC11086608/pdf/\",\"citationCount\":\"0\",\"resultStr\":null,\"platform\":\"Semanticscholar\",\"paperid\":null,\"PeriodicalName\":\"Journal of the Belgian Society of Radiology\",\"FirstCategoryId\":\"3\",\"ListUrlMain\":\"https://doi.org/10.5334/jbsr.3549\",\"RegionNum\":4,\"RegionCategory\":\"医学\",\"ArticlePicture\":[],\"TitleCN\":null,\"AbstractTextCN\":null,\"PMCID\":null,\"EPubDate\":\"2024/1/1 0:00:00\",\"PubModel\":\"eCollection\",\"JCR\":\"Q4\",\"JCRName\":\"RADIOLOGY, NUCLEAR MEDICINE & MEDICAL IMAGING\",\"Score\":null,\"Total\":0}","platform":"Semanticscholar","paperid":null,"PeriodicalName":"Journal of the Belgian Society of Radiology","FirstCategoryId":"3","ListUrlMain":"https://doi.org/10.5334/jbsr.3549","RegionNum":4,"RegionCategory":"医学","ArticlePicture":[],"TitleCN":null,"AbstractTextCN":null,"PMCID":null,"EPubDate":"2024/1/1 0:00:00","PubModel":"eCollection","JCR":"Q4","JCRName":"RADIOLOGY, NUCLEAR MEDICINE & MEDICAL IMAGING","Score":null,"Total":0}
引用次数: 0

摘要

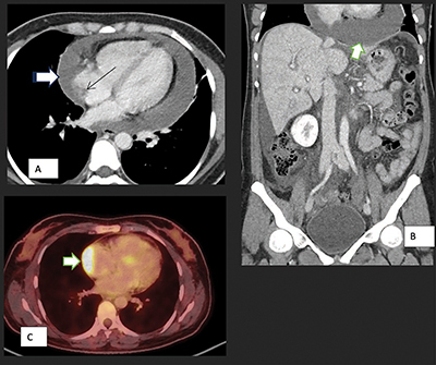
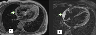
本文讨论了原发性心脏肿瘤的罕见性,尤其是血管肉瘤,占原发性心脏肿瘤的 10%。文章强调了非特异性症状给早期诊断带来的挑战。文章强调了切面成像,尤其是计算机断层扫描(CT)在紧急情况下的重要性。教学要点:尽管原发性心脏肿瘤非常罕见,但放射科医生仍应保持警惕,尤其是出现心包积液时。
本文章由计算机程序翻译,如有差异,请以英文原文为准。

Unusual Finding in a Patient Presenting with Abdominal Pain and Dyspnea.

Unusual Finding in a Patient Presenting with Abdominal Pain and Dyspnea.

Unusual Finding in a Patient Presenting with Abdominal Pain and Dyspnea.

Unusual Finding in a Patient Presenting with Abdominal Pain and Dyspnea.

This article discusses the rarity of primary cardiac tumors, particularly angiosarcomas, accounting for 10% of primary cardiac neoplasms. The article highlights the challenge of early diagnosis due to nonspecific symptoms. The importance of sectional imaging, particularly computed tomography (CT) scans, in emergent situations is emphasized. Teaching point: Despite the rarity of primary cardiac tumors, radiologists should remain alert, especially when pericardial effusion is present.

求助全文
通过发布文献求助,成功后即可免费获取论文全文。 去求助
来源期刊
Journal of the Belgian Society of Radiology
Journal of the Belgian Society of Radiology Medicine-Radiology, Nuclear Medicine and Imaging
CiteScore
0.70
自引率
5.00%
发文量
96
期刊介绍: The purpose of the Journal of the Belgian Society of Radiology is the publication of articles dealing with diagnostic and interventional radiology, related imaging techniques, allied sciences, and continuing education.
×
引用
GB/T 7714-2015
复制
MLA
复制
APA
复制
导出至
BibTeX EndNote RefMan NoteFirst NoteExpress
×
提示
您的信息不完整,为了账户安全,请先补充。
现在去补充
×
提示
您因"违规操作"
具体请查看互助需知
我知道了
×
提示
确定
请完成安全验证×
copy
已复制链接
快去分享给好友吧!
我知道了
右上角分享
点击右上角分享
0
联系我们:info@booksci.cn Book学术提供免费学术资源搜索服务,方便国内外学者检索中英文文献。致力于提供最便捷和优质的服务体验。 Copyright © 2023 布克学术 All rights reserved.
京ICP备2023020795号-1
ghs 京公网安备 11010802042870号
Book学术文献互助
Book学术文献互助群
群 号:604180095
Book学术官方微信