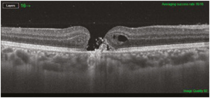
美容师在尝试对 COVID-19 采取特别防护措施时,意外自行暴露于美容激光机,导致全厚黄斑孔。

Q3 Medicine
Alay S Banker, Bansri M Mahadevia, Harita Shah, Ahan A Banker
{"title":"美容师在尝试对 COVID-19 采取特别防护措施时,意外自行暴露于美容激光机,导致全厚黄斑孔。","authors":"Alay S Banker, Bansri M Mahadevia, Harita Shah, Ahan A Banker","doi":"10.4103/JCAS.JCAS_74_21","DOIUrl":null,"url":null,"abstract":"<p><p>A 25-year-old aesthetician was operating Q-switch pulse (SPECTRA) cosmetic laser machine of 1,064 nm wavelength, for the purpose of skin bleaching. The probe suddenly slipped over the plastic sheet that had been placed to avoid COVID-19 exposure after which she complained of sudden loss of vision. She was diagnosed as having vitreous hemorrhage in her right eye and was treated conservatively for one month. She then complained of central scotoma and was diagnosed to have developed a full-thickness macular hole, for which she was advised vitrectomy surgery. The purpose of this case report is to emphasize the importance of taking precautions during the COVID-19 era and while doing that making sure how to handle the machines so as not to inflict any accidental injury to the operating physician. Macular Holes following skin bleaching with Nd:YAG laser occurring in operating aesthetician is rare as compared to that occurring in the patients.</p>","PeriodicalId":15415,"journal":{"name":"Journal of Cutaneous and Aesthetic Surgery","volume":"17 1","pages":"75-77"},"PeriodicalIF":0.0000,"publicationDate":"2024-01-01","publicationTypes":"Journal Article","fieldsOfStudy":null,"isOpenAccess":false,"openAccessPdf":"https://www.ncbi.nlm.nih.gov/pmc/articles/PMC11086931/pdf/","citationCount":"0","resultStr":"{\"title\":\"Full Thickness Macular Hole in Aesthetician Occurring Due to Accidental Self-exposure to Cosmetic Laser Machine Trying to Take Special Precautions Against COVID-19.\",\"authors\":\"Alay S Banker, Bansri M Mahadevia, Harita Shah, Ahan A Banker\",\"doi\":\"10.4103/JCAS.JCAS_74_21\",\"DOIUrl\":null,\"url\":null,\"abstract\":\"<p><p>A 25-year-old aesthetician was operating Q-switch pulse (SPECTRA) cosmetic laser machine of 1,064 nm wavelength, for the purpose of skin bleaching. The probe suddenly slipped over the plastic sheet that had been placed to avoid COVID-19 exposure after which she complained of sudden loss of vision. She was diagnosed as having vitreous hemorrhage in her right eye and was treated conservatively for one month. She then complained of central scotoma and was diagnosed to have developed a full-thickness macular hole, for which she was advised vitrectomy surgery. The purpose of this case report is to emphasize the importance of taking precautions during the COVID-19 era and while doing that making sure how to handle the machines so as not to inflict any accidental injury to the operating physician. Macular Holes following skin bleaching with Nd:YAG laser occurring in operating aesthetician is rare as compared to that occurring in the patients.</p>\",\"PeriodicalId\":15415,\"journal\":{\"name\":\"Journal of Cutaneous and Aesthetic Surgery\",\"volume\":\"17 1\",\"pages\":\"75-77\"},\"PeriodicalIF\":0.0000,\"publicationDate\":\"2024-01-01\",\"publicationTypes\":\"Journal Article\",\"fieldsOfStudy\":null,\"isOpenAccess\":false,\"openAccessPdf\":\"https://www.ncbi.nlm.nih.gov/pmc/articles/PMC11086931/pdf/\",\"citationCount\":\"0\",\"resultStr\":null,\"platform\":\"Semanticscholar\",\"paperid\":null,\"PeriodicalName\":\"Journal of Cutaneous and Aesthetic Surgery\",\"FirstCategoryId\":\"1085\",\"ListUrlMain\":\"https://doi.org/10.4103/JCAS.JCAS_74_21\",\"RegionNum\":0,\"RegionCategory\":null,\"ArticlePicture\":[],\"TitleCN\":null,\"AbstractTextCN\":null,\"PMCID\":null,\"EPubDate\":\"\",\"PubModel\":\"\",\"JCR\":\"Q3\",\"JCRName\":\"Medicine\",\"Score\":null,\"Total\":0}","platform":"Semanticscholar","paperid":null,"PeriodicalName":"Journal of Cutaneous and Aesthetic Surgery","FirstCategoryId":"1085","ListUrlMain":"https://doi.org/10.4103/JCAS.JCAS_74_21","RegionNum":0,"RegionCategory":null,"ArticlePicture":[],"TitleCN":null,"AbstractTextCN":null,"PMCID":null,"EPubDate":"","PubModel":"","JCR":"Q3","JCRName":"Medicine","Score":null,"Total":0}
引用次数: 0

摘要

一名 25 岁的美容师正在操作波长为 1,064 nm 的 Q 开关脉冲(SPECTRA)美容激光机进行皮肤漂白。探头突然滑过为避免 COVID-19 暴露而放置的塑料布,随后她抱怨视力突然下降。她被诊断为右眼玻璃体出血,接受了一个月的保守治疗。之后,她主诉出现中心视力障碍,并被诊断为黄斑全厚孔,医生建议她进行玻璃体切除手术。本病例报告旨在强调在 COVID-19 时代采取预防措施的重要性,同时要确保如何操作机器,以免对手术医生造成任何意外伤害。使用 Nd:YAG 激光漂白皮肤后,在操作美容师身上出现的黄斑孔与在患者身上出现的黄斑孔相比非常罕见。
本文章由计算机程序翻译,如有差异,请以英文原文为准。

Full Thickness Macular Hole in Aesthetician Occurring Due to Accidental Self-exposure to Cosmetic Laser Machine Trying to Take Special Precautions Against COVID-19.

Full Thickness Macular Hole in Aesthetician Occurring Due to Accidental Self-exposure to Cosmetic Laser Machine Trying to Take Special Precautions Against COVID-19.

Full Thickness Macular Hole in Aesthetician Occurring Due to Accidental Self-exposure to Cosmetic Laser Machine Trying to Take Special Precautions Against COVID-19.

A 25-year-old aesthetician was operating Q-switch pulse (SPECTRA) cosmetic laser machine of 1,064 nm wavelength, for the purpose of skin bleaching. The probe suddenly slipped over the plastic sheet that had been placed to avoid COVID-19 exposure after which she complained of sudden loss of vision. She was diagnosed as having vitreous hemorrhage in her right eye and was treated conservatively for one month. She then complained of central scotoma and was diagnosed to have developed a full-thickness macular hole, for which she was advised vitrectomy surgery. The purpose of this case report is to emphasize the importance of taking precautions during the COVID-19 era and while doing that making sure how to handle the machines so as not to inflict any accidental injury to the operating physician. Macular Holes following skin bleaching with Nd:YAG laser occurring in operating aesthetician is rare as compared to that occurring in the patients.

求助全文
通过发布文献求助,成功后即可免费获取论文全文。 去求助
来源期刊
CiteScore
1.10
自引率
0.00%
发文量
60
审稿时长
29 weeks
期刊介绍: The journal will cover aspects of Dermatosurgery and Aesthetic surgery, including cutaneous surgical procedures, lasers, light based treatments and aesthetic treatments. Authors of articles addressing topics such as skin tumours, pigmentary disorders, histopathology, diagnostic techniques, drugs, applications of cosmeceuticals surgical aspects, including pre and post procedural care are highly encouraged to submit with us. The journal also publishes articles on topics in allied specialities suh as plastic surgery, maxillofacial surgery vascular surgery, oculoplastic surgery etc. that are relevant to Dermatosurgery. The journal gives preference to clinically oriented studies over experimental and animal studies. The Journal would publish peer-reviewed Original Research Articles, Systematic reviews, Narrative Reviews, Case reports, Innovations and Debates. Letters to the editor, practice points, pearls in cutaneous and aesthetic surgery, quiz page, images, novel techniques, newer uses of instruments and video presentations and ethical aspects of cutaneous and aesthetic surgery are also invited.
×
引用
GB/T 7714-2015
复制
MLA
复制
APA
复制
导出至
BibTeX EndNote RefMan NoteFirst NoteExpress
×
提示
您的信息不完整,为了账户安全,请先补充。
现在去补充
×
提示
您因"违规操作"
具体请查看互助需知
我知道了
×
提示
确定
请完成安全验证×
copy
已复制链接
快去分享给好友吧!
我知道了
右上角分享
点击右上角分享
0
联系我们:info@booksci.cn Book学术提供免费学术资源搜索服务,方便国内外学者检索中英文文献。致力于提供最便捷和优质的服务体验。 Copyright © 2023 布克学术 All rights reserved.
京ICP备2023020795号-1
ghs 京公网安备 11010802042870号
Book学术文献互助
Book学术文献互助群
群 号:604180095
Book学术官方微信