N6-甲基腺苷相关 lncRnas 在假性剥脱性青光眼中的作用

IF 3.2 3区 生物学 Q3 BIOCHEMISTRY & MOLECULAR BIOLOGY
Epigenetics Pub Date : 2024-12-01 Epub Date: 2024-05-08 DOI:10.1080/15592294.2024.2348840
Jieying Guan, Xiaohong Chen, Zhidong Li, Shuifeng Deng, Aizezi Wumaier, Yuncheng Ma, Lingling Xie, Shengsong Huang, Yingting Zhu, Yehong Zhuo
{"title":"N6-甲基腺苷相关 lncRnas 在假性剥脱性青光眼中的作用","authors":"Jieying Guan, Xiaohong Chen, Zhidong Li, Shuifeng Deng, Aizezi Wumaier, Yuncheng Ma, Lingling Xie, Shengsong Huang, Yingting Zhu, Yehong Zhuo","doi":"10.1080/15592294.2024.2348840","DOIUrl":null,"url":null,"abstract":"<p><p>To explore the role of lncRNA m<sup>6</sup>A methylation modification in aqueous humour (AH) of patients with pseudoexfoliation glaucoma (PXG). Patients with open-angle PXG under surgery from June 2021 to December 2021 were selected. Age- and gender-matched patients with age-related cataract (ARC) were chosen as control. Patients underwent detailed ophthalmic examinations. 0.05-0.1 ml AH were extracted during surgery for MeRIP-Seq and RNA-Seq. Joint analysis was used to screen lncRNAs with differential m<sup>6</sup>A methylation modification and expression. Online software tools were used to draw lncRNA-miRNA-mRNA network (ceRNA). Expression of lncRNAs and mRNAs was confirmed using quantitative real-time PCR. A total of 4151 lncRNAs and 4386 associated m<sup>6</sup>A methylation modified peaks were identified in the PXG group. Similarly, 2490 lncRNAs and 2595 associated m<sup>6</sup>A methylation modified peaks were detected in the control. Compared to the ARC group, the PXG group had 234 hypermethylated and 402 hypomethylated m<sup>6</sup>A peaks, with statistically significant differences (| Fold Change (FC) |≥2, <i>p</i> < 0.05). Bioinformatic analysis revealed that these differentially methylated lncRNA enriched in extracellular matrix formation, tight adhesion, TGF- β signalling pathway, AMPK signalling pathway, and MAPK signalling pathway. Joint analysis identified 10 lncRNAs with differential m<sup>6</sup>A methylation and expression simultaneously. Among them, the expression of ENST000000485383 and ROCK1 were confirmed downregulated in the PXG group by RT-qPCR. m<sup>6</sup>A methylation modification may affect the expression of lncRNA and participate in the pathogenesis of PXG through the ceRNA network. ENST000000485383-hsa miR592-ROCK1 May be a potential target pathway for further investigation in PXG m<sup>6</sup>A methylation.</p>","PeriodicalId":11767,"journal":{"name":"Epigenetics","volume":"19 1","pages":"2348840"},"PeriodicalIF":3.2000,"publicationDate":"2024-12-01","publicationTypes":"Journal Article","fieldsOfStudy":null,"isOpenAccess":false,"openAccessPdf":"https://www.ncbi.nlm.nih.gov/pmc/articles/PMC11086004/pdf/","citationCount":"0","resultStr":"{\"title\":\"Role of N6-methyladenosine-related lncRnas in pseudoexfoliation glaucoma.\",\"authors\":\"Jieying Guan, Xiaohong Chen, Zhidong Li, Shuifeng Deng, Aizezi Wumaier, Yuncheng Ma, Lingling Xie, Shengsong Huang, Yingting Zhu, Yehong Zhuo\",\"doi\":\"10.1080/15592294.2024.2348840\",\"DOIUrl\":null,\"url\":null,\"abstract\":\"<p><p>To explore the role of lncRNA m<sup>6</sup>A methylation modification in aqueous humour (AH) of patients with pseudoexfoliation glaucoma (PXG). Patients with open-angle PXG under surgery from June 2021 to December 2021 were selected. Age- and gender-matched patients with age-related cataract (ARC) were chosen as control. Patients underwent detailed ophthalmic examinations. 0.05-0.1 ml AH were extracted during surgery for MeRIP-Seq and RNA-Seq. Joint analysis was used to screen lncRNAs with differential m<sup>6</sup>A methylation modification and expression. Online software tools were used to draw lncRNA-miRNA-mRNA network (ceRNA). Expression of lncRNAs and mRNAs was confirmed using quantitative real-time PCR. A total of 4151 lncRNAs and 4386 associated m<sup>6</sup>A methylation modified peaks were identified in the PXG group. Similarly, 2490 lncRNAs and 2595 associated m<sup>6</sup>A methylation modified peaks were detected in the control. Compared to the ARC group, the PXG group had 234 hypermethylated and 402 hypomethylated m<sup>6</sup>A peaks, with statistically significant differences (| Fold Change (FC) |≥2, <i>p</i> < 0.05). Bioinformatic analysis revealed that these differentially methylated lncRNA enriched in extracellular matrix formation, tight adhesion, TGF- β signalling pathway, AMPK signalling pathway, and MAPK signalling pathway. Joint analysis identified 10 lncRNAs with differential m<sup>6</sup>A methylation and expression simultaneously. Among them, the expression of ENST000000485383 and ROCK1 were confirmed downregulated in the PXG group by RT-qPCR. m<sup>6</sup>A methylation modification may affect the expression of lncRNA and participate in the pathogenesis of PXG through the ceRNA network. ENST000000485383-hsa miR592-ROCK1 May be a potential target pathway for further investigation in PXG m<sup>6</sup>A methylation.</p>\",\"PeriodicalId\":11767,\"journal\":{\"name\":\"Epigenetics\",\"volume\":\"19 1\",\"pages\":\"2348840\"},\"PeriodicalIF\":3.2000,\"publicationDate\":\"2024-12-01\",\"publicationTypes\":\"Journal Article\",\"fieldsOfStudy\":null,\"isOpenAccess\":false,\"openAccessPdf\":\"https://www.ncbi.nlm.nih.gov/pmc/articles/PMC11086004/pdf/\",\"citationCount\":\"0\",\"resultStr\":null,\"platform\":\"Semanticscholar\",\"paperid\":null,\"PeriodicalName\":\"Epigenetics\",\"FirstCategoryId\":\"99\",\"ListUrlMain\":\"https://doi.org/10.1080/15592294.2024.2348840\",\"RegionNum\":3,\"RegionCategory\":\"生物学\",\"ArticlePicture\":[],\"TitleCN\":null,\"AbstractTextCN\":null,\"PMCID\":null,\"EPubDate\":\"2024/5/8 0:00:00\",\"PubModel\":\"Epub\",\"JCR\":\"Q3\",\"JCRName\":\"BIOCHEMISTRY & MOLECULAR BIOLOGY\",\"Score\":null,\"Total\":0}","platform":"Semanticscholar","paperid":null,"PeriodicalName":"Epigenetics","FirstCategoryId":"99","ListUrlMain":"https://doi.org/10.1080/15592294.2024.2348840","RegionNum":3,"RegionCategory":"生物学","ArticlePicture":[],"TitleCN":null,"AbstractTextCN":null,"PMCID":null,"EPubDate":"2024/5/8 0:00:00","PubModel":"Epub","JCR":"Q3","JCRName":"BIOCHEMISTRY & MOLECULAR BIOLOGY","Score":null,"Total":0}
引用次数: 0

摘要

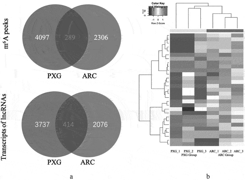
探讨lncRNA m6A甲基化修饰在假性角膜剥脱性青光眼(PXG)患者眼房水(AH)中的作用。选取2021年6月至2021年12月期间接受手术的开角型PXG患者。选择年龄和性别匹配的老年性白内障(ARC)患者作为对照。患者接受了详细的眼科检查。在手术过程中提取 0.05-0.1 ml AH,用于 MeRIP-Seq 和 RNA-Seq。联合分析用于筛选具有不同m6A甲基化修饰和表达的lncRNA。使用在线软件工具绘制lncRNA-miRNA-mRNA网络(ceRNA)。lncRNAs 和 mRNAs 的表达通过实时定量 PCR 进行确认。PXG组共鉴定出4151个lncRNA和4386个相关的m6A甲基化修饰峰。同样,在对照组中检测到了 2490 个 lncRNA 和 2595 个相关的 m6A 甲基化修饰峰。与 ARC 组相比,PXG 组有 234 个高甲基化和 402 个低甲基化的 m6A 峰,其差异有统计学意义(折叠变化(FC)|≥2,p 6A 甲基化和表达同时存在。m6A甲基化修饰可能影响lncRNA的表达,并通过ceRNA网络参与PXG的发病机制。ENST000000485383-hsa miR592-ROCK1 可能是进一步研究 PXG m6A 甲基化的潜在靶途径。
本文章由计算机程序翻译,如有差异,请以英文原文为准。

Role of N6-methyladenosine-related lncRnas in pseudoexfoliation glaucoma.

Role of N6-methyladenosine-related lncRnas in pseudoexfoliation glaucoma.

Role of N6-methyladenosine-related lncRnas in pseudoexfoliation glaucoma.

Role of N6-methyladenosine-related lncRnas in pseudoexfoliation glaucoma.

To explore the role of lncRNA m6A methylation modification in aqueous humour (AH) of patients with pseudoexfoliation glaucoma (PXG). Patients with open-angle PXG under surgery from June 2021 to December 2021 were selected. Age- and gender-matched patients with age-related cataract (ARC) were chosen as control. Patients underwent detailed ophthalmic examinations. 0.05-0.1 ml AH were extracted during surgery for MeRIP-Seq and RNA-Seq. Joint analysis was used to screen lncRNAs with differential m6A methylation modification and expression. Online software tools were used to draw lncRNA-miRNA-mRNA network (ceRNA). Expression of lncRNAs and mRNAs was confirmed using quantitative real-time PCR. A total of 4151 lncRNAs and 4386 associated m6A methylation modified peaks were identified in the PXG group. Similarly, 2490 lncRNAs and 2595 associated m6A methylation modified peaks were detected in the control. Compared to the ARC group, the PXG group had 234 hypermethylated and 402 hypomethylated m6A peaks, with statistically significant differences (| Fold Change (FC) |≥2, p < 0.05). Bioinformatic analysis revealed that these differentially methylated lncRNA enriched in extracellular matrix formation, tight adhesion, TGF- β signalling pathway, AMPK signalling pathway, and MAPK signalling pathway. Joint analysis identified 10 lncRNAs with differential m6A methylation and expression simultaneously. Among them, the expression of ENST000000485383 and ROCK1 were confirmed downregulated in the PXG group by RT-qPCR. m6A methylation modification may affect the expression of lncRNA and participate in the pathogenesis of PXG through the ceRNA network. ENST000000485383-hsa miR592-ROCK1 May be a potential target pathway for further investigation in PXG m6A methylation.

求助全文
通过发布文献求助,成功后即可免费获取论文全文。 去求助
来源期刊
Epigenetics
Epigenetics 生物-生化与分子生物学
CiteScore
6.80
自引率
2.70%
发文量
82
审稿时长
3-8 weeks
期刊介绍: Epigenetics publishes peer-reviewed original research and review articles that provide an unprecedented forum where epigenetic mechanisms and their role in diverse biological processes can be revealed, shared, and discussed. Epigenetics research studies heritable changes in gene expression caused by mechanisms others than the modification of the DNA sequence. Epigenetics therefore plays critical roles in a variety of biological systems, diseases, and disciplines. Topics of interest include (but are not limited to): DNA methylation Nucleosome positioning and modification Gene silencing Imprinting Nuclear reprogramming Chromatin remodeling Non-coding RNA Non-histone chromosomal elements Dosage compensation Nuclear organization Epigenetic therapy and diagnostics Nutrition and environmental epigenetics Cancer epigenetics Neuroepigenetics
×
引用
GB/T 7714-2015
复制
MLA
复制
APA
复制
导出至
BibTeX EndNote RefMan NoteFirst NoteExpress
×
提示
您的信息不完整,为了账户安全,请先补充。
现在去补充
×
提示
您因"违规操作"
具体请查看互助需知
我知道了
×
提示
确定
请完成安全验证×
copy
已复制链接
快去分享给好友吧!
我知道了
右上角分享
点击右上角分享
0
联系我们:info@booksci.cn Book学术提供免费学术资源搜索服务,方便国内外学者检索中英文文献。致力于提供最便捷和优质的服务体验。 Copyright © 2023 布克学术 All rights reserved.
京ICP备2023020795号-1
ghs 京公网安备 11010802042870号
Book学术文献互助
Book学术文献互助群
群 号:604180095
Book学术官方微信