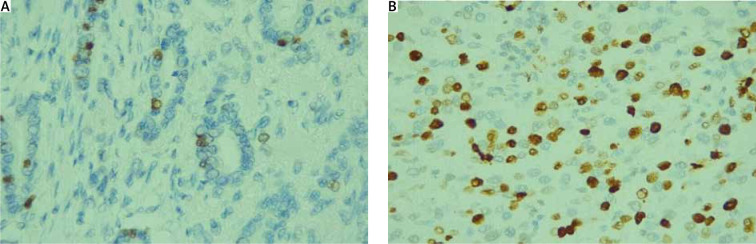
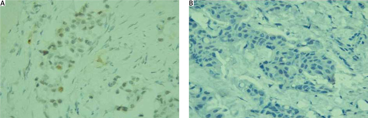
结合治疗后肿瘤的 ypT 分期、ypN 分期、分级和分子亚型,评估诊断性活检的裂解 Caspase-3 和 Ki-67 指数对新辅助化疗的反应。

IF 1.7 Q2 OBSTETRICS & GYNECOLOGY
Przeglad Menopauzalny Pub Date : 2024-03-01 Epub Date: 2024-03-28 DOI:10.5114/pm.2024.136962
Vasil Nanev, Hristo Milev, Desislava Dimitrova, Silvia Naneva, Strahil Asenov Strashilov, Angel Yordanov, Miroslava Mihailova, Simoneta Ivanova, Milena Karcheva, Ivan Ivanov
{"title":"结合治疗后肿瘤的 ypT 分期、ypN 分期、分级和分子亚型,评估诊断性活检的裂解 Caspase-3 和 Ki-67 指数对新辅助化疗的反应。","authors":"Vasil Nanev, Hristo Milev, Desislava Dimitrova, Silvia Naneva, Strahil Asenov Strashilov, Angel Yordanov, Miroslava Mihailova, Simoneta Ivanova, Milena Karcheva, Ivan Ivanov","doi":"10.5114/pm.2024.136962","DOIUrl":null,"url":null,"abstract":"<p><strong>Introduction: </strong>Breast carcinoma is a heterogeneous disease, characterised by diverse clinical behaviour. The aim of this study was to assess how cleaved caspase-3 and Ki-67 index, evaluated on diagnostic biopsy, are related to response to neoadjuvant chemotherapy in the context of molecular subtype, post-treatment tumour, N category, and grade.</p><p><strong>Material and methods: </strong>A retrospective analysis was carried out among 110 breast cancer patients. Ki-67 levels and caspase-3 expression on diagnostic biopsy were explored regarding their relation to tumour grade and molecular subtype, ypT, ypN categories, and T and N categories according to Sataloff tumour response evaluation.</p><p><strong>Results: </strong>A statistically significant relationship was found between Ki-67 levels and tumour grade K-W = 24.2932, <i>p</i> < 0.0001; molecular subtype K-W = 28.5439, <i>p</i> < 0.00000967538; size and invasion of the primary tumour after neoadjuvant chemotherapy K-W = 11.7944, <i>p</i> < 0.0377169; caspase-3 expression after neoadjuvant therapy, evaluated according to the Sataloff classification χ<sup>2</sup> = 5.97, df = 1, <i>p</i> = 0.0145.</p><p><strong>Discussion: </strong>No significant difference was found between Ki-67 expression in patients with pathological complete response, compared to those with partial and no response, a statistically significant difference in cases with different molecular subtype, histology grade, and tumour stage after neoadjuvant therapy. Cleaved caspase-3-positive breast cancer cases are often better responders to neoadjuvant therapy, but with no significant correlation to molecular subtype, high-grade categories, or tumour stage.</p><p><strong>Conclusions: </strong>The caspase-3 and Ki-67 index on diagnostic biopsy are related to post-neoadjuvant treatment prognostic factors (ypT stage, grade), proving them useful for prediction of treatment response to neoadjuvant therapy and further patient management.</p>","PeriodicalId":55643,"journal":{"name":"Przeglad Menopauzalny","volume":"23 1","pages":"31-40"},"PeriodicalIF":1.7000,"publicationDate":"2024-03-01","publicationTypes":"Journal Article","fieldsOfStudy":null,"isOpenAccess":false,"openAccessPdf":"https://www.ncbi.nlm.nih.gov/pmc/articles/PMC11056723/pdf/","citationCount":"0","resultStr":"{\"title\":\"Evaluation of cleaved caspase-3 and Ki-67 index on diagnostic biopsy in response to neoadjuvant chemotherapy in the context of post-treatment tumour ypT stage, ypN stage, grade, and molecular subtype.\",\"authors\":\"Vasil Nanev, Hristo Milev, Desislava Dimitrova, Silvia Naneva, Strahil Asenov Strashilov, Angel Yordanov, Miroslava Mihailova, Simoneta Ivanova, Milena Karcheva, Ivan Ivanov\",\"doi\":\"10.5114/pm.2024.136962\",\"DOIUrl\":null,\"url\":null,\"abstract\":\"<p><strong>Introduction: </strong>Breast carcinoma is a heterogeneous disease, characterised by diverse clinical behaviour. The aim of this study was to assess how cleaved caspase-3 and Ki-67 index, evaluated on diagnostic biopsy, are related to response to neoadjuvant chemotherapy in the context of molecular subtype, post-treatment tumour, N category, and grade.</p><p><strong>Material and methods: </strong>A retrospective analysis was carried out among 110 breast cancer patients. Ki-67 levels and caspase-3 expression on diagnostic biopsy were explored regarding their relation to tumour grade and molecular subtype, ypT, ypN categories, and T and N categories according to Sataloff tumour response evaluation.</p><p><strong>Results: </strong>A statistically significant relationship was found between Ki-67 levels and tumour grade K-W = 24.2932, <i>p</i> < 0.0001; molecular subtype K-W = 28.5439, <i>p</i> < 0.00000967538; size and invasion of the primary tumour after neoadjuvant chemotherapy K-W = 11.7944, <i>p</i> < 0.0377169; caspase-3 expression after neoadjuvant therapy, evaluated according to the Sataloff classification χ<sup>2</sup> = 5.97, df = 1, <i>p</i> = 0.0145.</p><p><strong>Discussion: </strong>No significant difference was found between Ki-67 expression in patients with pathological complete response, compared to those with partial and no response, a statistically significant difference in cases with different molecular subtype, histology grade, and tumour stage after neoadjuvant therapy. Cleaved caspase-3-positive breast cancer cases are often better responders to neoadjuvant therapy, but with no significant correlation to molecular subtype, high-grade categories, or tumour stage.</p><p><strong>Conclusions: </strong>The caspase-3 and Ki-67 index on diagnostic biopsy are related to post-neoadjuvant treatment prognostic factors (ypT stage, grade), proving them useful for prediction of treatment response to neoadjuvant therapy and further patient management.</p>\",\"PeriodicalId\":55643,\"journal\":{\"name\":\"Przeglad Menopauzalny\",\"volume\":\"23 1\",\"pages\":\"31-40\"},\"PeriodicalIF\":1.7000,\"publicationDate\":\"2024-03-01\",\"publicationTypes\":\"Journal Article\",\"fieldsOfStudy\":null,\"isOpenAccess\":false,\"openAccessPdf\":\"https://www.ncbi.nlm.nih.gov/pmc/articles/PMC11056723/pdf/\",\"citationCount\":\"0\",\"resultStr\":null,\"platform\":\"Semanticscholar\",\"paperid\":null,\"PeriodicalName\":\"Przeglad Menopauzalny\",\"FirstCategoryId\":\"1085\",\"ListUrlMain\":\"https://doi.org/10.5114/pm.2024.136962\",\"RegionNum\":0,\"RegionCategory\":null,\"ArticlePicture\":[],\"TitleCN\":null,\"AbstractTextCN\":null,\"PMCID\":null,\"EPubDate\":\"2024/3/28 0:00:00\",\"PubModel\":\"Epub\",\"JCR\":\"Q2\",\"JCRName\":\"OBSTETRICS & GYNECOLOGY\",\"Score\":null,\"Total\":0}","platform":"Semanticscholar","paperid":null,"PeriodicalName":"Przeglad Menopauzalny","FirstCategoryId":"1085","ListUrlMain":"https://doi.org/10.5114/pm.2024.136962","RegionNum":0,"RegionCategory":null,"ArticlePicture":[],"TitleCN":null,"AbstractTextCN":null,"PMCID":null,"EPubDate":"2024/3/28 0:00:00","PubModel":"Epub","JCR":"Q2","JCRName":"OBSTETRICS & GYNECOLOGY","Score":null,"Total":0}
引用次数: 0

摘要

简介乳腺癌是一种异质性疾病,临床表现多种多样。本研究旨在评估诊断性活组织检查中评估的裂解caspase-3和Ki-67指数与分子亚型、治疗后肿瘤、N类和分级的新辅助化疗反应之间的关系:对 110 名乳腺癌患者进行了回顾性分析。根据 Sataloff 肿瘤反应评估,探讨了诊断性活检的 Ki-67 水平和 Caspase-3 表达与肿瘤分级、分子亚型、ypT、ypN 类别以及 T 和 N 类别的关系:结果:Ki-67水平与肿瘤分级K-W = 24.2932,P < 0.0001;分子亚型K-W = 28.5439,P < 0.00000967538;新辅助化疗后原发肿瘤的大小和侵犯K-W = 11.7944,P<0.0377169;新辅助治疗后Caspase-3的表达,根据Sataloff分类评价χ2=5.97,df=1,P=0.0145.讨论:病理完全应答患者的Ki-67表达与部分应答和无应答患者相比无明显差异,在新辅助治疗后不同分子亚型、组织学分级和肿瘤分期的病例中差异有统计学意义。Caspase-3裂解阳性的乳腺癌病例通常对新辅助治疗反应较好,但与分子亚型、高级别类别或肿瘤分期无明显相关性:结论:诊断性活检中的caspase-3和Ki-67指数与新辅助治疗后的预后因素(ypT分期、分级)相关,证明它们有助于预测新辅助治疗的治疗反应和进一步的患者管理。
本文章由计算机程序翻译,如有差异,请以英文原文为准。

Evaluation of cleaved caspase-3 and Ki-67 index on diagnostic biopsy in response to neoadjuvant chemotherapy in the context of post-treatment tumour ypT stage, ypN stage, grade, and molecular subtype.

Evaluation of cleaved caspase-3 and Ki-67 index on diagnostic biopsy in response to neoadjuvant chemotherapy in the context of post-treatment tumour ypT stage, ypN stage, grade, and molecular subtype.

Evaluation of cleaved caspase-3 and Ki-67 index on diagnostic biopsy in response to neoadjuvant chemotherapy in the context of post-treatment tumour ypT stage, ypN stage, grade, and molecular subtype.

Introduction: Breast carcinoma is a heterogeneous disease, characterised by diverse clinical behaviour. The aim of this study was to assess how cleaved caspase-3 and Ki-67 index, evaluated on diagnostic biopsy, are related to response to neoadjuvant chemotherapy in the context of molecular subtype, post-treatment tumour, N category, and grade.

Material and methods: A retrospective analysis was carried out among 110 breast cancer patients. Ki-67 levels and caspase-3 expression on diagnostic biopsy were explored regarding their relation to tumour grade and molecular subtype, ypT, ypN categories, and T and N categories according to Sataloff tumour response evaluation.

Results: A statistically significant relationship was found between Ki-67 levels and tumour grade K-W = 24.2932, p < 0.0001; molecular subtype K-W = 28.5439, p < 0.00000967538; size and invasion of the primary tumour after neoadjuvant chemotherapy K-W = 11.7944, p < 0.0377169; caspase-3 expression after neoadjuvant therapy, evaluated according to the Sataloff classification χ2 = 5.97, df = 1, p = 0.0145.

Discussion: No significant difference was found between Ki-67 expression in patients with pathological complete response, compared to those with partial and no response, a statistically significant difference in cases with different molecular subtype, histology grade, and tumour stage after neoadjuvant therapy. Cleaved caspase-3-positive breast cancer cases are often better responders to neoadjuvant therapy, but with no significant correlation to molecular subtype, high-grade categories, or tumour stage.

Conclusions: The caspase-3 and Ki-67 index on diagnostic biopsy are related to post-neoadjuvant treatment prognostic factors (ypT stage, grade), proving them useful for prediction of treatment response to neoadjuvant therapy and further patient management.

求助全文
通过发布文献求助,成功后即可免费获取论文全文。 去求助
来源期刊
Przeglad Menopauzalny
Przeglad Menopauzalny OBSTETRICS & GYNECOLOGY-
CiteScore
3.40
自引率
11.10%
发文量
32
审稿时长
6-12 weeks
期刊介绍: Menopausal Review is a scientific bimonthly aimed at gynecologists and endocrinologists.
×
引用
GB/T 7714-2015
复制
MLA
复制
APA
复制
导出至
BibTeX EndNote RefMan NoteFirst NoteExpress
×
提示
您的信息不完整,为了账户安全,请先补充。
现在去补充
×
提示
您因"违规操作"
具体请查看互助需知
我知道了
×
提示
确定
请完成安全验证×
copy
已复制链接
快去分享给好友吧!
我知道了
右上角分享
点击右上角分享
0
联系我们:info@booksci.cn Book学术提供免费学术资源搜索服务,方便国内外学者检索中英文文献。致力于提供最便捷和优质的服务体验。 Copyright © 2023 布克学术 All rights reserved.
京ICP备2023020795号-1
ghs 京公网安备 11010802042870号
Book学术文献互助
Book学术文献互助群
群 号:604180095
Book学术官方微信