短期接触邻苯二甲酸二(2-乙基己基)酯可能会通过调节氧化应激破坏雄性青春期大鼠的肝脏脂质代谢。

Environmental analysis, health and toxicology Pub Date : 2024-03-01 Epub Date: 2024-03-21 DOI:10.5620/eaht.2024007
Eui-Jin Lee, Yeon-Pyo Hong, Yun-Jung Yang
{"title":"短期接触邻苯二甲酸二(2-乙基己基)酯可能会通过调节氧化应激破坏雄性青春期大鼠的肝脏脂质代谢。","authors":"Eui-Jin Lee, Yeon-Pyo Hong, Yun-Jung Yang","doi":"10.5620/eaht.2024007","DOIUrl":null,"url":null,"abstract":"<p><p>Di(2-ethylhexyl)phthalate (DEHP) is commonly used to increase the flexibility of plastics. In our previous study, DEHP may increase hepatic lipid accumulation through modulating of acyl-CoA:diacylglycerol acyltransferase 1 (DGAT1) expression. Nevertheless, it is hard to understand the association between DEHP and DGAT1 in the liver because only one dosage of DEHP was used. Thus, this study performed to investigate the role of DGAT1 on hepatic lipid metabolism after various dosages of DEHP exposure. Four-week-old male Sprague-Dawley rats (n = 5/group) were administered corn oil (vehicle) or DEHP (0.75, 7.5, 15, or 150 mg/kg/day) once daily for seven days. DEHP 150 mg/kg/day treated group increased body weight gain and relative liver weight compared to the control (P = 0.044 and P = 0.049, respectively). In histological observation, elevation of hepatic lipid accumulation was observed in all DEHP-treated groups, except DEHP 150 mg/kg/day, compared to that in the control (all P < 0.001). Portal inflammatory infiltration and acidophilic bodies were observed in the liver at DEHP 7.5 mg/kg/day and above treated groups. In addition, malondiadehyde levels, a marker of lipid peroxidation, in the liver were increased in DEHP 7.5, 15 and 150 mg/kg/day compared to the control (P = 0.017, P = 0.001, and P = 0.002, respectively). The expression of Dgat1 in the liver was significantly increased in DEHP 7.5, 15 and 150 mg/kg/day compared to the control group (P = 0.019, P = 0.002, and P < 0.001, respectively); however, there were no significant changes in the protein levels. Therefore, excessive oxidative stress caused by DEHP may induce liver damage such as inflammation rather than hepatic lipid accumulation by regulating DGAT1 transcription.</p>","PeriodicalId":101307,"journal":{"name":"Environmental analysis, health and toxicology","volume":"39 1","pages":"e2024007-0"},"PeriodicalIF":0.0000,"publicationDate":"2024-03-01","publicationTypes":"Journal Article","fieldsOfStudy":null,"isOpenAccess":false,"openAccessPdf":"https://www.ncbi.nlm.nih.gov/pmc/articles/PMC11079405/pdf/","citationCount":"0","resultStr":"{\"title\":\"Short-term exposure to di(2-ethylhexyl)phthalate may disrupt hepatic lipid metabolism through modulating the oxidative stress in male adolescent rats.\",\"authors\":\"Eui-Jin Lee, Yeon-Pyo Hong, Yun-Jung Yang\",\"doi\":\"10.5620/eaht.2024007\",\"DOIUrl\":null,\"url\":null,\"abstract\":\"<p><p>Di(2-ethylhexyl)phthalate (DEHP) is commonly used to increase the flexibility of plastics. In our previous study, DEHP may increase hepatic lipid accumulation through modulating of acyl-CoA:diacylglycerol acyltransferase 1 (DGAT1) expression. Nevertheless, it is hard to understand the association between DEHP and DGAT1 in the liver because only one dosage of DEHP was used. Thus, this study performed to investigate the role of DGAT1 on hepatic lipid metabolism after various dosages of DEHP exposure. Four-week-old male Sprague-Dawley rats (n = 5/group) were administered corn oil (vehicle) or DEHP (0.75, 7.5, 15, or 150 mg/kg/day) once daily for seven days. DEHP 150 mg/kg/day treated group increased body weight gain and relative liver weight compared to the control (P = 0.044 and P = 0.049, respectively). In histological observation, elevation of hepatic lipid accumulation was observed in all DEHP-treated groups, except DEHP 150 mg/kg/day, compared to that in the control (all P < 0.001). Portal inflammatory infiltration and acidophilic bodies were observed in the liver at DEHP 7.5 mg/kg/day and above treated groups. In addition, malondiadehyde levels, a marker of lipid peroxidation, in the liver were increased in DEHP 7.5, 15 and 150 mg/kg/day compared to the control (P = 0.017, P = 0.001, and P = 0.002, respectively). The expression of Dgat1 in the liver was significantly increased in DEHP 7.5, 15 and 150 mg/kg/day compared to the control group (P = 0.019, P = 0.002, and P < 0.001, respectively); however, there were no significant changes in the protein levels. Therefore, excessive oxidative stress caused by DEHP may induce liver damage such as inflammation rather than hepatic lipid accumulation by regulating DGAT1 transcription.</p>\",\"PeriodicalId\":101307,\"journal\":{\"name\":\"Environmental analysis, health and toxicology\",\"volume\":\"39 1\",\"pages\":\"e2024007-0\"},\"PeriodicalIF\":0.0000,\"publicationDate\":\"2024-03-01\",\"publicationTypes\":\"Journal Article\",\"fieldsOfStudy\":null,\"isOpenAccess\":false,\"openAccessPdf\":\"https://www.ncbi.nlm.nih.gov/pmc/articles/PMC11079405/pdf/\",\"citationCount\":\"0\",\"resultStr\":null,\"platform\":\"Semanticscholar\",\"paperid\":null,\"PeriodicalName\":\"Environmental analysis, health and toxicology\",\"FirstCategoryId\":\"1085\",\"ListUrlMain\":\"https://doi.org/10.5620/eaht.2024007\",\"RegionNum\":0,\"RegionCategory\":null,\"ArticlePicture\":[],\"TitleCN\":null,\"AbstractTextCN\":null,\"PMCID\":null,\"EPubDate\":\"2024/3/21 0:00:00\",\"PubModel\":\"Epub\",\"JCR\":\"\",\"JCRName\":\"\",\"Score\":null,\"Total\":0}","platform":"Semanticscholar","paperid":null,"PeriodicalName":"Environmental analysis, health and toxicology","FirstCategoryId":"1085","ListUrlMain":"https://doi.org/10.5620/eaht.2024007","RegionNum":0,"RegionCategory":null,"ArticlePicture":[],"TitleCN":null,"AbstractTextCN":null,"PMCID":null,"EPubDate":"2024/3/21 0:00:00","PubModel":"Epub","JCR":"","JCRName":"","Score":null,"Total":0}
引用次数: 0

摘要

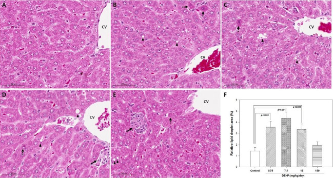
邻苯二甲酸二(2-乙基己基)酯(DEHP)常用于增加塑料的柔韧性。在我们之前的研究中,DEHP可能会通过调节酰基-CoA:二酰基甘油酰基转移酶1(DGAT1)的表达来增加肝脏脂质积累。然而,由于只使用了一种剂量的 DEHP,因此很难了解 DEHP 与肝脏中 DGAT1 之间的关联。因此,本研究旨在探讨不同剂量的 DEHP 暴露后,DGAT1 对肝脏脂质代谢的作用。给四周大的雄性 Sprague-Dawley 大鼠(n = 5 只/组)注射玉米油(载体)或 DEHP(0.75、7.5、15 或 150 毫克/千克/天),每天一次,连续七天。与对照组相比,DEHP 150 毫克/千克/天处理组的体重增加和相对肝脏重量增加(P = 0.044 和 P = 0.049)。组织学观察显示,与对照组相比,除DEHP 150毫克/千克/天处理组外,所有DEHP处理组的肝脏脂质积累均有所增加(P均<0.001)。DEHP 7.5 毫克/千克/天及以上处理组的肝脏中观察到门静脉炎症浸润和嗜酸性体。此外,与对照组相比,DEHP 7.5、15 和 150 毫克/千克/天处理组肝脏中脂质过氧化标志物丙二醛的含量增加(分别为 P = 0.017、P = 0.001 和 P = 0.002)。与对照组相比,DEHP 7.5、15 和 150 毫克/千克/天组肝脏中 Dgat1 的表达量明显增加(分别为 P = 0.019、P = 0.002 和 P <0.001),但蛋白质水平没有明显变化。因此,DEHP 引起的过度氧化应激可能会通过调节 DGAT1 的转录诱发肝脏损伤,如炎症,而不是肝脏脂质积累。
本文章由计算机程序翻译,如有差异,请以英文原文为准。

Short-term exposure to di(2-ethylhexyl)phthalate may disrupt hepatic lipid metabolism through modulating the oxidative stress in male adolescent rats.

Short-term exposure to di(2-ethylhexyl)phthalate may disrupt hepatic lipid metabolism through modulating the oxidative stress in male adolescent rats.

Short-term exposure to di(2-ethylhexyl)phthalate may disrupt hepatic lipid metabolism through modulating the oxidative stress in male adolescent rats.

Di(2-ethylhexyl)phthalate (DEHP) is commonly used to increase the flexibility of plastics. In our previous study, DEHP may increase hepatic lipid accumulation through modulating of acyl-CoA:diacylglycerol acyltransferase 1 (DGAT1) expression. Nevertheless, it is hard to understand the association between DEHP and DGAT1 in the liver because only one dosage of DEHP was used. Thus, this study performed to investigate the role of DGAT1 on hepatic lipid metabolism after various dosages of DEHP exposure. Four-week-old male Sprague-Dawley rats (n = 5/group) were administered corn oil (vehicle) or DEHP (0.75, 7.5, 15, or 150 mg/kg/day) once daily for seven days. DEHP 150 mg/kg/day treated group increased body weight gain and relative liver weight compared to the control (P = 0.044 and P = 0.049, respectively). In histological observation, elevation of hepatic lipid accumulation was observed in all DEHP-treated groups, except DEHP 150 mg/kg/day, compared to that in the control (all P < 0.001). Portal inflammatory infiltration and acidophilic bodies were observed in the liver at DEHP 7.5 mg/kg/day and above treated groups. In addition, malondiadehyde levels, a marker of lipid peroxidation, in the liver were increased in DEHP 7.5, 15 and 150 mg/kg/day compared to the control (P = 0.017, P = 0.001, and P = 0.002, respectively). The expression of Dgat1 in the liver was significantly increased in DEHP 7.5, 15 and 150 mg/kg/day compared to the control group (P = 0.019, P = 0.002, and P < 0.001, respectively); however, there were no significant changes in the protein levels. Therefore, excessive oxidative stress caused by DEHP may induce liver damage such as inflammation rather than hepatic lipid accumulation by regulating DGAT1 transcription.

求助全文
通过发布文献求助,成功后即可免费获取论文全文。 去求助
来源期刊
CiteScore
3.80
自引率
0.00%
发文量
0
×
引用
GB/T 7714-2015
复制
MLA
复制
APA
复制
导出至
BibTeX EndNote RefMan NoteFirst NoteExpress
×
提示
您的信息不完整,为了账户安全,请先补充。
现在去补充
×
提示
您因"违规操作"
具体请查看互助需知
我知道了
×
提示
确定
请完成安全验证×
copy
已复制链接
快去分享给好友吧!
我知道了
右上角分享
点击右上角分享
0
联系我们:info@booksci.cn Book学术提供免费学术资源搜索服务,方便国内外学者检索中英文文献。致力于提供最便捷和优质的服务体验。 Copyright © 2023 布克学术 All rights reserved.
京ICP备2023020795号-1
ghs 京公网安备 11010802042870号
Book学术文献互助
Book学术文献互助群
群 号:604180095
Book学术官方微信