光动力疗法治疗一颗患有牙本质Ⅱ型牙洞和原发性牙髓病变的上颌侧切牙:病例报告。

Q3 Dentistry
Maryam Amiri, Arezoo Mirzaie
{"title":"光动力疗法治疗一颗患有牙本质Ⅱ型牙洞和原发性牙髓病变的上颌侧切牙:病例报告。","authors":"Maryam Amiri, Arezoo Mirzaie","doi":"10.22037/iej.v19i2.43487","DOIUrl":null,"url":null,"abstract":"<p><p>Endodontic treatment in dens invaginatus anomaly is associated with challenges in all stages. This case report outlines the therapy provided for tooth #10 with occasional pain. In examinations, tenderness to percussion and touch and non-response to sensibility tests were observed, and pulp necrosis and symptomatic periapical periodontitis were diagnosed. Radiographic evaluation showed a structural anomaly related to the dens invaginatus and the associated periapical lesion. Cone-beam computed tomography confirmed the presence of DI type II. Endodontic treatment combined with photodynamic therapy and active irrigation using a dental operating microscope was successful and radiographic examinations showed periapical healing along with bone formation in 6-month and 1-year follow-ups.</p>","PeriodicalId":14534,"journal":{"name":"Iranian Endodontic Journal","volume":"19 2","pages":"130-133"},"PeriodicalIF":0.0000,"publicationDate":"2024-01-01","publicationTypes":"Journal Article","fieldsOfStudy":null,"isOpenAccess":false,"openAccessPdf":"https://www.ncbi.nlm.nih.gov/pmc/articles/PMC10988645/pdf/","citationCount":"0","resultStr":"{\"title\":\"Photodynamic Therapy in a Lateral Maxillary Incisor with Dens in Dente Type Ⅱ and Primary Endodontic Lesion: Case Report.\",\"authors\":\"Maryam Amiri, Arezoo Mirzaie\",\"doi\":\"10.22037/iej.v19i2.43487\",\"DOIUrl\":null,\"url\":null,\"abstract\":\"<p><p>Endodontic treatment in dens invaginatus anomaly is associated with challenges in all stages. This case report outlines the therapy provided for tooth #10 with occasional pain. In examinations, tenderness to percussion and touch and non-response to sensibility tests were observed, and pulp necrosis and symptomatic periapical periodontitis were diagnosed. Radiographic evaluation showed a structural anomaly related to the dens invaginatus and the associated periapical lesion. Cone-beam computed tomography confirmed the presence of DI type II. Endodontic treatment combined with photodynamic therapy and active irrigation using a dental operating microscope was successful and radiographic examinations showed periapical healing along with bone formation in 6-month and 1-year follow-ups.</p>\",\"PeriodicalId\":14534,\"journal\":{\"name\":\"Iranian Endodontic Journal\",\"volume\":\"19 2\",\"pages\":\"130-133\"},\"PeriodicalIF\":0.0000,\"publicationDate\":\"2024-01-01\",\"publicationTypes\":\"Journal Article\",\"fieldsOfStudy\":null,\"isOpenAccess\":false,\"openAccessPdf\":\"https://www.ncbi.nlm.nih.gov/pmc/articles/PMC10988645/pdf/\",\"citationCount\":\"0\",\"resultStr\":null,\"platform\":\"Semanticscholar\",\"paperid\":null,\"PeriodicalName\":\"Iranian Endodontic Journal\",\"FirstCategoryId\":\"1085\",\"ListUrlMain\":\"https://doi.org/10.22037/iej.v19i2.43487\",\"RegionNum\":0,\"RegionCategory\":null,\"ArticlePicture\":[],\"TitleCN\":null,\"AbstractTextCN\":null,\"PMCID\":null,\"EPubDate\":\"\",\"PubModel\":\"\",\"JCR\":\"Q3\",\"JCRName\":\"Dentistry\",\"Score\":null,\"Total\":0}","platform":"Semanticscholar","paperid":null,"PeriodicalName":"Iranian Endodontic Journal","FirstCategoryId":"1085","ListUrlMain":"https://doi.org/10.22037/iej.v19i2.43487","RegionNum":0,"RegionCategory":null,"ArticlePicture":[],"TitleCN":null,"AbstractTextCN":null,"PMCID":null,"EPubDate":"","PubModel":"","JCR":"Q3","JCRName":"Dentistry","Score":null,"Total":0}
引用次数: 0

摘要

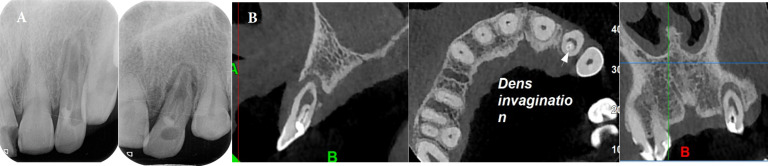
牙根畸形的牙髓治疗在各个阶段都面临着挑战。本病例报告概述了对偶有疼痛的 10 号牙的治疗。在检查中,发现叩诊和触诊有压痛,感觉试验无反应,诊断为牙髓坏死和无症状根尖周炎。放射学评估显示,该患者的牙槽骨结构异常,并伴有根尖周病变。锥形束计算机断层扫描证实了 DI II 型的存在。牙髓治疗结合光动力疗法和使用牙科手术显微镜进行的主动灌洗取得了成功,6 个月和 1 年的随访显示,放射学检查显示根尖周愈合并有骨形成。
本文章由计算机程序翻译,如有差异,请以英文原文为准。

Photodynamic Therapy in a Lateral Maxillary Incisor with Dens in Dente Type Ⅱ and Primary Endodontic Lesion: Case Report.

Photodynamic Therapy in a Lateral Maxillary Incisor with Dens in Dente Type Ⅱ and Primary Endodontic Lesion: Case Report.

Photodynamic Therapy in a Lateral Maxillary Incisor with Dens in Dente Type Ⅱ and Primary Endodontic Lesion: Case Report.

Endodontic treatment in dens invaginatus anomaly is associated with challenges in all stages. This case report outlines the therapy provided for tooth #10 with occasional pain. In examinations, tenderness to percussion and touch and non-response to sensibility tests were observed, and pulp necrosis and symptomatic periapical periodontitis were diagnosed. Radiographic evaluation showed a structural anomaly related to the dens invaginatus and the associated periapical lesion. Cone-beam computed tomography confirmed the presence of DI type II. Endodontic treatment combined with photodynamic therapy and active irrigation using a dental operating microscope was successful and radiographic examinations showed periapical healing along with bone formation in 6-month and 1-year follow-ups.

求助全文
通过发布文献求助,成功后即可免费获取论文全文。 去求助
来源期刊
Iranian Endodontic Journal
Iranian Endodontic Journal Dentistry-Dentistry (all)
CiteScore
1.30
自引率
0.00%
发文量
0
审稿时长
12 weeks
期刊介绍: The Iranian Endodontic Journal (IEJ) is an international peer-reviewed biomedical publication, the aim of which is to provide a scientific medium of communication for researchers throughout the globe. IEJ aims to publish the highest quality articles, both clinical and scientific, on all aspects of Endodontics. The journal is an official Journal of the Iranian Center for Endodontic Research (ICER) and the Iranian Association of Endodontists (IAE). The Journal welcomes articles related to the scientific or applied aspects of endodontics e.g. original researches, systematic reviews, meta-analyses, review articles, clinical trials, case series/reports, hypotheses, letters to the editor, etc. From the beginning (i.e. since 2006), the IEJ was the first open access endodontic journal in the world, which gave readers free and instant access to published articles and enabling them faster discovery of the latest endodontic research.
×
引用
GB/T 7714-2015
复制
MLA
复制
APA
复制
导出至
BibTeX EndNote RefMan NoteFirst NoteExpress
×
提示
您的信息不完整,为了账户安全,请先补充。
现在去补充
×
提示
您因"违规操作"
具体请查看互助需知
我知道了
×
提示
确定
请完成安全验证×
copy
已复制链接
快去分享给好友吧!
我知道了
右上角分享
点击右上角分享
0
联系我们:info@booksci.cn Book学术提供免费学术资源搜索服务,方便国内外学者检索中英文文献。致力于提供最便捷和优质的服务体验。 Copyright © 2023 布克学术 All rights reserved.
京ICP备2023020795号-1
ghs 京公网安备 11010802042870号
Book学术文献互助
Book学术文献互助群
群 号:604180095
Book学术官方微信